首页/口腔小技巧/乳牙坏了不用管?/
乳牙坏了不用管?
2023-07-21 14:34:061299浏览
乳牙坏了不用管?

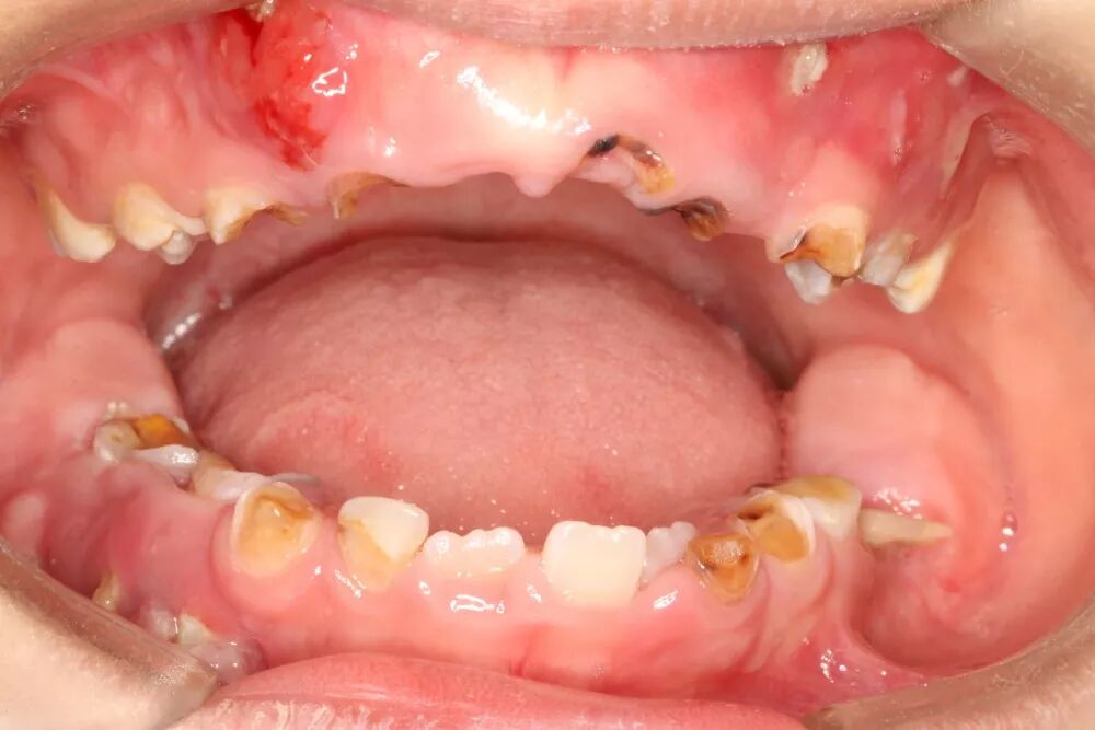
首先,我们先来看一张令人痛心的图片。

这是一名4岁男孩瑞瑞的口内照片,从照片里面可以看出,瑞瑞几乎全口都是蛀牙,大部分牙齿仅剩残冠。

为什么会出现这种情况呢?

瑞瑞的爸爸无奈的说道,瑞瑞有睡前喝奶的习惯,经常含着奶瓶就睡着了,也不爱刷牙,家人也没多加约束,所以在两岁的时候,就开始有了蛀牙。

瑞瑞家人认为,孩子乳牙蛀了没关系,反正会换新牙,就这样一直没有重视。结果到了近日,瑞瑞蛀牙情况越发严重,还经常出现酸痛肿胀等症状,这才带他来口腔医院就医。

原来是猛性龋在作怪

儿童口腔科医生给瑞瑞做了口腔检查后告知,瑞瑞的这种短时间内形成多个进展迅速的满口龋齿叫“猛性龋”又称猖獗龋。与含奶瓶入睡、喝夜奶、不良口腔卫生习惯等因素有关,多见于儿童初萌牙列和头颈部放射线治疗或患严重口干症的成年人。

猛性龋会导致短期内多个牙面同时患龋、并迅速进展,累及口腔内大多数牙,造成大面积龋坏,甚至很快进展到牙髓引起牙髓及根尖炎症,在儿童群体里越来越常见。

医生指出——

在睡觉时,人的口腔唾液分泌会减少,牙齿自洁能力减弱,如果孩子含奶瓶入睡或喝夜奶后不及时刷牙,牙齿就会长时间处在含有大量乳糖、蔗糖等碳水化合物的唾液微环境中,细菌易滋生繁殖,就会造成牙齿脱矿,形成蛀牙。

此外,如果发现蛀牙不及时治疗、口腔卫生状况不好等,也会导致口腔内细菌越积越多,在细菌、饮食、牙和唾液等共同因素作用下,就易导致“猛性龋”的发生。

猛性龋危害大,应该如何预防?

经检查发现,瑞瑞的口腔状况不容乐观。20颗牙齿中,有2颗深龋,有11颗牙齿仅剩残冠,牙根完全吸收。还波及到继承恒牙胚的发育、矿化,钙化,会导致日后新牙萌出后会出现发育不全发育异常等情况。此外,瑞瑞右下有2颗牙齿有严重根尖炎症,造成牙槽骨骨质破坏,如果不尽早处理,这个骨质破坏会继续下去,可能会导致颌骨间隙出现感染,引起颌骨的骨髓炎

(红色区域为牙槽骨骨质破坏区)

同时,瑞瑞下门牙有2颗乳牙因龋坏严重而过早缺失,导致恒牙过早萌出,这2颗“提前上岗”的恒牙,牙根目前仍处于未发育完善的状态,这会导致日后恒牙松动,容易脱落

(2颗过早萌出的恒牙)

医生指出,猛性龋危害大、发展迅速。

不仅会直接造成乳牙缺损,继而发展为牙髓病、根尖周病,甚至可能会导致孩子牙齿早失,影响孩子的咀嚼、消化系统的正常功能,影响恒牙的萌出,使继承恒牙发育异常。

此外,乳牙早失还可能会导致恒牙萌出的正常时间、顺序和位置异常,出现换牙后的牙齿不齐,也直接影响美观,甚至影响吐字发音,孩子的自尊心和自信心很容易受到打击,给孩子身心健康造成不可逆的伤害。

他建议——

孩子乳牙萌出后,要尽量给宝宝戒除夜奶,喝完奶后要擦洗口腔和牙齿,或者用温开水漱漱口。家长还要引导孩子养成良好的口腔卫生习惯,帮助孩子刷牙的同时,指导孩子渐渐学会独立刷牙,学会用牙线清洁口腔。还可以在孩子3岁以后每半年涂一次氟,乳磨牙和恒磨牙长出后做窝沟封闭等措施,预防龋齿。

同时如果家长发现孩子有蛀牙,一定要及时带孩子就医,以免耽误病情,导致“猛性龋”的发生。

友情链接: