首页/骨科精读/那些骨科常见的坑,你踩过吗?如何避坑?/
那些骨科常见的坑,你踩过吗?如何避坑?
2023-07-24 14:40:461804浏览
那些骨科常见的坑,你踩过吗?如何避坑?

坑一

先来说个故事吧,一天,主刀带着下级医生做一个取钢板螺钉内固定的手术,手术很顺利,主刀唰唰几下把螺钉都取了,对下级医生说洗洗缝!然后就下台忙别的去了。

第二天拍片一看:嗯?钢板还在!…… 还好病人比较理解,马上又给安排手术取了。

有这么实诚的下级医生吗?!这还真是群里听到别人说的真事!无论是自己不小心踩的还是猪队友推你下的坑,这些年还真遇到过很多「简单的」取内固定手术。

在别人那是故事,在自己这可就成事故了!希望大家可以在这些故事里吸取经验来避免自己发生事故。

内固定取出术很容易成为最大的坑,应该每个骨科医生都会遇到,我们来看一个病例。

患者,男,60 岁,外伤后致右髋部肿痛,活动受限,无昏迷呕吐。

外伤后 X 线片显示:右股骨粗隆粉碎性骨折

体格检查:右髋部软组织肿胀明显,右股骨粗隆处压痛明显,患肢短缩、外旋畸形,活动受限。

临床诊断:右股骨粗隆粉碎性骨折。

治疗经过:入院后行持续右下肢骨牵引,牵引五天后行 PFNA 内固定术。

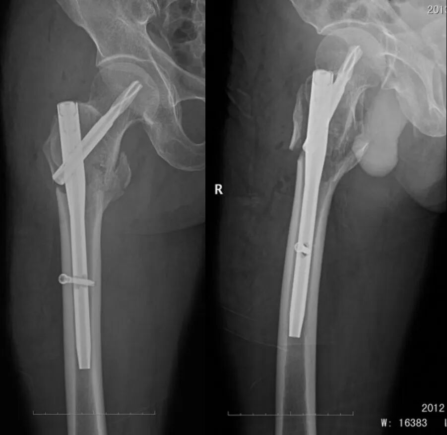
手术后 X 线片

术后 21 个月 X 线片:

患者术后一年半有余,要求去除内固定物来院,未诉不适,大意了,术前阅片不仔细,术中拆除锁钉、螺旋刀片和尾帽,拔主钉后傻眼了 —— 只拔出了上三分之一 ,回头再看片子才发现主钉刚好在螺旋刀片处断裂了。

之前就看骨折愈合得很好,时间也够,当小菜一碟,没有仔细阅片,术中很是被动,想过取,感觉创伤太大,仔细与患者沟通,建议患者不取了,家属也签字了,结果术后还是纠缠不休,最后免费治疗,赔钱走人。教训是惨痛的啊!

还有取出器械与螺钉不配套导致手术时长达 6 小时的;还有螺钉滑丝的;还有患者将片子遗留家中,我要值班医生翻拍电脑上的片子,由于图像模糊导致一个垫片差点遗漏未取出,最后幸亏透视躲过一劫。

上面就是值班医生发给我的片子,大家找找那个差点遗漏的垫片在哪里?

如何避坑:

第一、注意外院做的、时间较长的尽量不要接手(不做事不出事)。

第二、术前片一定一定要仔细看,反复看,确定好内固定物的数量,是否完整,有无断裂,片子要完整包括内固定物,必要时重拍或多角度拍几张。

第三、术前一定要反复与患者沟通,告知有无法取出可能,千万不要夸海口,术前说一句胜过术后一百句,并且签好字(我那一例未取出的就是术中与患者沟通说不取了,结果术后还是找麻烦赔钱)。

第四、要做好充分准备再开台,准备好断钉取出器、金刚钻,有备无患,既然上台了就无论多困难也要将内固定取出。

第五、做完手术一定一定要透视!这才能确保可以睡个安稳觉(我那例垫片遗漏就是因为透视才成功避坑)。

坑二

锁骨骨折大家一定都觉得很简单,但锁骨骨折也有一个并不少见的坑,看看下面的病例:

这个锁骨骨折简单吗?简单!做不就完了吗?

做完了,骨折解剖复位漂亮吧?干得漂亮!等等!怎么肩锁关节脱位了 ……

这个锁骨骨折简单吗?另一位网友分享:

等下,拍个双侧对比看看,锁骨骨折合并肩锁关节脱位,还好术前发现了 ……

这样的病例少吗?还真不少,一搜一大把!

6.8% 的锁骨中段骨折患者伴有同侧肩锁关节脱位。这个坑也不能踩啊!

如何避坑:

第一、体查非常重要,肩锁关节局部有无压痛、有无畸形、有无弹性固定,如果肩锁关节损伤通过仔细体查一般都能发现。

第二、锁骨骨折一定要拍双侧对比片排除肩锁关节脱位。

第三、术中在做完内固定手术后除了透视断端情况之外一定要透视肩锁关节对位情况并且需要多个投照位明确。

坑三

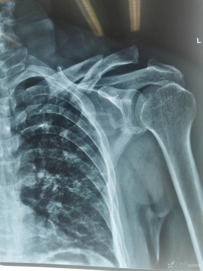
肩关节脱位合并大结节撕脱骨折在临床非常常见,通过我们的各种复位手法复位后是不是效果都非常好?一般在肩关节脱位纠正后大结节撕脱骨折也多自行复位了。

都这么简单吗?还真不一定,如果让你遇到了肩关节脱位合并隐匿性骨折就是一个巨大的坑了。看看下面的病例:

看片子似乎是一个简单的肩关节脱位并大结节撕脱骨折。

整复后拍片复查却成这个样子了…… 

其实这种往往都是合并了肱骨颈部隐匿性骨折。

临床上还真不罕见,只要遇到一例绝对让你头大如斗,因为骨折移位合并脱位处理起来极为麻烦,一般都预后欠佳。

如何避坑:

第一、对于肩关节脱位的患者首先最好完善肩关节三维 CT 检查,排除隐匿性骨折可能。

第二、复位之前一定要谈话签字,并重点告知有继发骨折移位可能。

第三、肩关节脱位的手法复位一定要避免暴力复位,尽量不要采用手牵足蹬法,可以采用外展外旋法或椅背复位法等较轻柔、省力的复位方法。

第四、试行手法复位失败后应在麻醉后再行手法复位,避免患者因疼痛导致肌肉紧张,形成对抗力而继发骨折。

希望各位同道在看过这篇文章后可以成功避开所有的坑,不断成长为大师级骨科医师!

友情链接: