首页/骨科精读/假体周围骨折怎么治疗?手把手教你!/
假体周围骨折怎么治疗?手把手教你!
2023-07-28 15:13:341541浏览
假体周围骨折怎么治疗?手把手教你!

假体周围骨折特点

常规固定方法难以应用

骨折部位常合并有不同程度骨丢失与骨缺损

必须考虑到假体的稳定性

发病率

确切的发病率很难统计

假体的类型(骨水泥型和非骨水泥型)

初次置换和翻修术

假体植入时间的长短

文献报道总的发病率从0.1%到2.1%不等

Mayo临床关节登记中心统计

初次全髋置换术后为1.1%

初次骨水泥型全髋置换术后为0.6%

初次非骨水泥型全髋置换术后为0.4%

翻修术后为4.0%

骨水泥型全髋翻修术后为2.8%

非骨水泥型全髋翻修术后为1.5%

病因

外伤

轻微创伤是直接原因

因较大创伤所致假体周围折并不多见

骨皮质缺损或穿孔

重要原因之一 ,尤其是缺损位于假体尖端部位时

术后1年内发生的骨折与手术造成的骨皮质缺损有很大相关性

翻修术

翻修术后股骨假体周围骨折的发生率均很高 ~ 4.0%

·对术中开窗或骨水泥取出后遗留的骨缺损处理不当

·骨水泥渗出

Bethea:75%骨折前有假体松动

·松动的假体一般与骨溶解有关,骨溶解造成骨量丢失,进而降低了皮质骨的机械力量

·在假体与骨接触相对少的部位会出现应力集中,假体末端撞击外侧骨皮质

假体松动

骨质疏松

各种原因导致的骨质疏松

·年龄

·原发疾病造成的骨质疏松

·医源性因素造成的骨质疏松

(长期服用类固醇类药物/既往多次手术/骨溶解)

·废用性骨质疏松

➤骨溶解

局部或广泛的骨溶解

导致骨量丢失、骨皮质变薄

骨折(尤其是在假体柄尖端的骨溶解)

文献上存在着很多种分型系统

Johansson分型,1981年

Bethea分型,1982年

Cooke和Newman分型,1988年

AAOS分型,1990年

Mont和Maar分型,1994年

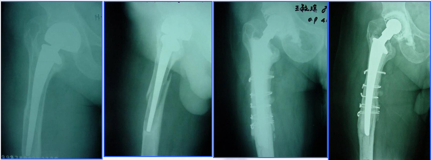
Vancouver分型,1995年

Beals和Tower分型,1996年

Vancouver分型

由Duncan和Masri1991年提出,1995年发表;        

综合考虑了骨折部位、假体的稳定性和宿主骨剩余骨量等因素 ;

已成为大家所公认的最有助于指导治疗和预后的一种股骨假体周围骨折分型

A型:大小粗隆骨折

B型:假体柄周围或刚好在其下端

B1型:假体稳定

B2型:假体松动

B3型:假体松动,严重骨量丢失

C型:距假体尖端较远的骨折

治疗方法

非手术治疗:密切观察或保护下负重 、牵引术 、石膏或支具

适应征:

绝对适应征很少

相对适应征包括假体稳定、没有移位的骨折和有手术禁忌症的患者

密切观察或保护下负重

术中或术后早期发现的发生在股骨近端的不完全裂缝骨折

牵引术

并发症多:长期卧床并发症、骨折不愈合、畸形愈合、肢体短缩、假体松动等 ;

仅适用于体质差、不能耐受手术的病人;

皮牵引可用于手术前或石膏固定前的临时固定,对于不稳定骨折的长期处理,骨牵引要好于皮牵引;

石膏或支具

适用于移位不明显的假体周围骨折

可继牵引4-7周后使用,也可在开始即使用石膏固定

常采用长腿石膏或髋人字石膏

1994年Mont等对文献上26篇文章487个病人进行总结,A型骨折非手术治疗预后良好

手术治疗:

·髓内固定:髓内针、翻修术

·髓外固定:(钢丝钢缆)环扎固定、钢板螺丝钉、异体皮质骨板或联合使用

·联合固定

适应征

一般来说,除无移位的、假体稳定的Vancouver A型骨折可非手术治疗外,如无手术禁忌症,均应手术治疗 ;

强烈适应征包括假体松动或断裂,骨折明显成角畸形、移位或粉碎性骨折                    

髓内固定:(一)髓内针

·逆行髓内针可用来处理发生在假体尖端以远的骨折 ;

·早期有人使用弹性髓内针处理发生在人工股骨头置换术后假体远端的骨折,如Rush氏钉和Ender氏钉 ;

·带锁髓内针:在假体和髓内针之间不要留有空隙,否则术后此部位应力增加,易造成新的骨折;

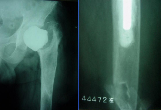
髓内固定:(二)翻修术

①适应征:假体松动的骨折

②原则:

尽可能的保留骨量

尽可能使假体与完整的宿主骨之间获得牢固固定

③假体的选择

长柄远端固定非骨水泥型

假体的长度至少要超过骨折端两倍于股骨直径的距离

骨缺损者,联合异体皮质骨板髓外固定

④对于骨量丢失严重、无法重建的病人:

异体骨假体复合物:适用于年轻的病人,此法可保留软组织和肌肉止点

肿瘤型假体:适用于老年病人,使病人早期负重活动

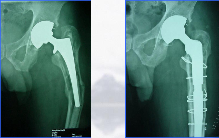
髓外固定:(一)环扎固定

一般用于处理假体稳定的假体柄周围的螺旋形或长斜形骨折(机械力量差,单独使用的情况很少,一般联合钢板螺丝钉、异体骨板或翻修假体使用);

对于在植入假体柄时发生在股骨近端的裂隙骨折,可考虑此固定方法

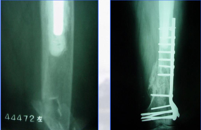
髓外固定:(二)钢板螺丝钉

适用于假体无松动、假体中立位(无外翻)的骨折

成功的关键在于钢板必须和假体末端有部分重叠

假体与钢板重叠部分的固定

环扎方法

特殊钢板

·Ogden钢板 :1988年Zenni :19例 ,17例获得良好临床结果

·Dall-Miles钢板 :2001年Venu :13例 ,10例成功,假体中立位;3例 失败,假体已松动或初始位置为内翻位

·Mennen钢板 :2002年Noorda :36例 ,31%出现了机械固定失败,28%骨折不愈合

髓外固定:(三)异体皮质骨板

优点 :

弹性模量与宿主骨相近 ,作为生物骨板,应力遮挡小

促进骨折愈合

增加宿主骨骨量

容易塑形

缺点 :

费用高

整合过程中机械力量会削弱

异体骨板骨折或不愈合

感染、传播疾病

Emerson:在8.4个月时异体骨板和宿主骨愈合,愈合率96.6%        

Haddad:2002年,对40例假体固定良好的股骨假体周围骨折使用了异体骨板固定,骨折98%愈合,而且在术后第一年内有典型的宿主骨异体骨愈合发生

友情链接: