首页/骨科精读/Tillaux 骨折——小骨折大陷阱!/
Tillaux 骨折——小骨折大陷阱!
2023-07-28 16:27:283466浏览
Tillaux 骨折——小骨折大陷阱!

一.什么是Tillaux骨折

Tillaux骨折,指下胫腓前韧带在胫骨起点处发生的,累及胫骨远端骨骺的撕脱骨折。是一种多发于青少年的特殊类型骨折,约占所有胫骨远端骨骺损伤的 2.9%。最早由Cooper在1822年提出,之后法国医生Tillaux做了进一步解剖学试验并详细描述了这一骨折过程,将其命名为Tillaux骨折。常合并踝关节周围其他的骨折及韧带损伤。单纯的Tillaux骨折病例比较少见,多发生于未成年人,在成人中比较少见,加之单靠X片诊断较为困难,故常容易漏诊。一旦误诊或漏诊,延误治疗,有可能导致踝关节不匹配、不稳定,患者会遗留疼痛甚至发展为创伤性关节炎。


二.胫腓前韧带的生理解剖位置与Tillaux骨折的损伤机制

胫腓前韧带是指连于胫骨下端踝关节面前缘和腓骨下端前缘之间的坚韧三角形韧带。其起于胫骨前结节,止于远端腓骨前方,成45度行走,主要功能为限制下胫腓分离与腓骨外旋。

Tillaux骨折常为旋后外旋损伤所致,其发生机制是外旋应力作用在胫腓前韧带,造成胫骨远端前外侧骺板撕脱性损伤。这种骨折多发生在内侧的骺板已经闭合,但骺板的外侧尚未闭合的特定时期,也就是女性12~14岁,男性14~17岁期间,胫骨远端骨骺闭合的整个过程大约历时 18 个月,闭合的过程中,骺板的中央部分首先闭合,其次是前内侧,然后是内、后侧,最后是外侧。闭合和未闭合骨骺的强度不同,这是影响其骨折线走行模式的重要因素。

Tillaux骨折根据其骨折严重程度,可分为4度。

Ⅰ度:下胫腓联合前韧带损伤。

Ⅱ度:腓骨远端斜形或螺旋形骨折。

Ⅲ度:后踝撕脱或者下胫腓联合后韧带损伤。

Ⅳ度:内踝骨折或三角韧带损伤。

三.Tillaux骨折的临床症状与检查诊断

Tillaux骨折常见于青少年。常见主诉是受伤后踝关节前方的疼痛、肿胀以及活动受限。体格检查发现踝关节前方的压痛和肿胀。与踝关节扭伤导致的距腓前韧带损伤症状相似,故而易被误诊。

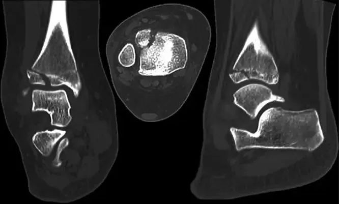
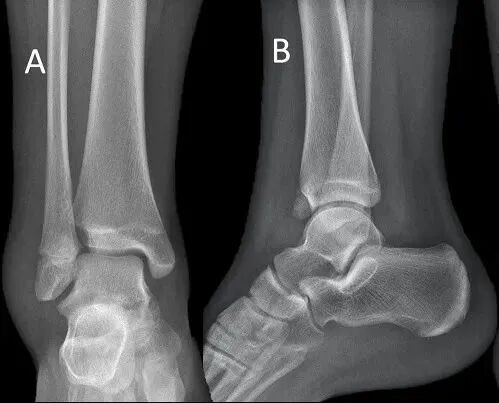
辅助检查上,由于Tillaux骨折片较小、X线片上有胫骨的遮挡以及临床医生认识不足,所以很容易被漏诊。一般来说,正位、侧位和踝穴位 X 片可发现移位超过 2 mm 的 Tillaux 骨折(在踝关节 X 片显示为 Salter-Harris III 型);但如果移位不大,X 片就极易漏诊。临床上对怀疑有该部位损伤时,应摄踝关节内旋30°~45°斜位X线片和CT片,CT 是评估 Tillaux 骨折及其移位程度的最佳术前手段,评估移位不大的 Tillaux 骨折更敏感。


四.Tillaux骨折的治疗

Tillaux骨折属于关节内骨折,故而解剖复位是其主要目标。骨折块移位程度,决定了Tillaux 骨折的具体治疗方案。

移位 < 2 mm 的骨折移位,可以通过闭合复位和夹板、支具固定进行非手术治疗。闭合复位常需要足内旋或者足背伸、旋前然后内旋来实现。复位后早期应用夹板或支具,踝关节轻微背伸外固定。避免负重,运用中西药物方剂外敷与内服,在骨折固定期间,进行适当的下肢活动与锻炼,预防肌肉萎缩,中期骨折线愈合后,以伤科手法配合药物热煨与仪器理疗进行理筋整复,以及后期康复训练等。

移位 > 2 mm 的骨折需要考虑手术治疗。包括闭合复位经皮克氏针或空心螺钉固定、切开复位内固定、关节镜辅助下复位固定。常见的内固定方式有克氏针和空心螺钉。内固定可跨骺板,因为 Tillaux 骨折常为青少年,骨骼接近成熟,因此穿过骨骺很少会发生双下肢不等长等情况,一般愈后较好。

友情链接: