首页/口腔小技巧/一口牙拔掉11颗!只因一个疏忽!/
一口牙拔掉11颗!只因一个疏忽!
2023-08-04 16:20:06775浏览
一口牙拔掉11颗!只因一个疏忽!


牙齿松动竟咬不动肉!

她拔除11颗牙种了10颗牙

26岁的莉美(化名)很早就发现自己的牙齿越来越难看了,牙齿有些移位,牙缝一点点变大,但因为对咀嚼没有太大影响,她没有在意

然而,在之后的几年里,莉美的牙齿开始松动,最近连肉都咬不动了,莉美这才到厦门大学附属中山医院口腔科就诊。

可怕的是,就诊的结果经过主治医师诊断,莉美患上的竟然是——严重牙周炎!医生前后为其拔除了11颗牙齿,又为其种植了10颗牙齿。

而据莉美回忆,早在中学时她就已有,刷牙流血的症状没有在意,也没有就诊

这样的情况并非个例!

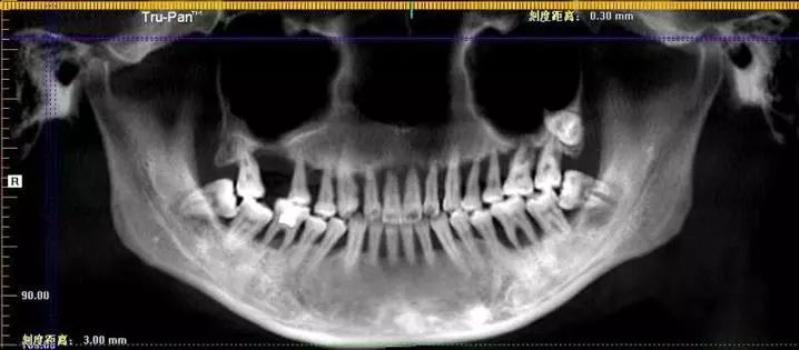
因刷牙时突然一颗门牙脱落,28岁的小萌(化名)到杭州口腔医院就诊,当医生告知上排牙已全部不能保留时,她如同遭遇晴天霹雳。

△牙片中清晰可见小萌的上口牙已摇摇欲坠

据悉,小萌的牙齿大部分有不同程度的松动,近几年来,已逐渐丧失了咀嚼功能,她一日三餐只能吃点软的或是糊的东西,偶尔嘴馋时喝点肉汤或是吞块肉,早已不知道吃肉是什么味道。每次跟同事聚餐,她基本都不动筷子,就稍微喝点汤羹意思一下,大家招呼她多吃点,她只能尴尬地笑笑说:“减肥。”

医生说,导致小萌半口多牙松动至功能丧失的是重度牙周炎。医生检查后,也很震惊:“上排的牙齿已经几乎是悬在口内了,明明才28岁,但你说她80岁,甚至90岁都不为过。90后缺单颗或者多颗牙的不算少见,但像小陶这么严重的我还是第一次碰上。”

为此,小萌上排牙被拔除,镶上了假牙。而拔掉没用的牙齿仅是治疗的第一步,为小萌今后的生活质量考虑,她还得种牙,需花费十五六万

看完这些病例有没有隔着屏幕感到一阵“牙痛”?令人心惊的是他们全都是20多岁的年轻人却都患上了严重的牙齿疾病难以想象会对今后生活造成多大影响

为什么年纪轻轻的90后就开始掉牙了呢?甚至一掉还是半口牙?

今天就为大家揭示这一切的罪魁祸首它就是牙周病!

什么是牙周病?

牙周病,是牙齿支持组织所发生的病变。它是引起成年人牙齿丧失的主要原因之一,也是危害人类牙齿和全身健康的主要口腔疾病。

牙周病的危害有哪些?

让我们看看牙周病到底长什么样子吧,刚刚出现的是牙周病的前身:牙龈炎它的到来意味着我们会时不时牙龈出血,慢慢地牙龈会出现轻微的红肿

随后,长期的牙龈红肿,出血,牙龈萎缩(显得牙齿变长了),牙槽骨吸收,牙龈溢脓,牙齿松动......故事的结尾,就是完好无缺的牙齿,却慢慢脱落了。

很多人不知道,龋齿只会坏掉一颗牙,牙周病会导致一排牙齿脱落,而且除了牙周病,牙髓炎也能掉牙。

导致牙周病的原因有哪些?

列举如下:菌斑、牙石、创伤性咬合、食物嵌塞、不良修复体、口呼吸以及全身因素如内分泌失调、长期服用某些药物等

总结一点:菌斑和牙结石是大多数牙周病患者的罪魁祸首。简而言之,就像是茶杯里的茶垢,牙结石就是我们牙齿上的水垢。

如何预防和治疗牙周炎?

要想预防和治疗牙周炎,应该这样做:

1、关键是控制和消除牙菌斑,最有效的方法是每天坚持正确刷牙

2、除去局部刺激因素, 定期清洁牙齿和刮除牙周的牙石。(切勿随意相信具有治疗牙龈出血功能的牙膏及牙粉,会掩盖病情的。)

3、牙周病发病后应积极治疗,初期疗效尚好,晚期疗效较差,可能丧失牙齿。

好好刷牙,爱护牙齿!这是个严肃的健康问题!

为了大家的牙齿健康

请做好以下笔记!

活到80岁时至少要有20颗功能牙

牙科医生推荐的九大爱牙法则

如何科学护牙以及预防牙病?浙江大学医学院附属第二医院口腔内科副主任孙伟莲给出了九个建议。

1.早晚各刷一次牙,晚上刷牙更重要。

每天两次刷牙是必须的,每次2-3分钟,力度要轻。尤其是晚上的这次刷牙,一定要刷,不要因为懒惰不去刷,晚上不刷牙比早上不刷牙更不卫生。

2.饭后要漱口。

饭后漱口能避免食物残渣残留,减少细菌滋生。而每顿饭吃完刷牙,对大多数人来说没有必要,刷多了反而损伤牙釉质。

3.学会使用牙线。

一般的刷牙方法只能清洁40%-60%的牙面,牙缝是清洁不到的,这些刷毛无法触及的角落,只能通过牙线或牙缝刷才能解决。饭后还可以使用一次性牙线,深入齿缝,清洁口腔。

4.用了冲牙器还要不要刷牙?

刷牙不可替代。有些人用了漱口水或水牙线等冲牙器后,觉得自己口腔很干净了,不用刷牙了,这是个误区,没有什么能够代替刷牙这件事。冲牙器的作用相当于漱口。

5.牙刷怎么选?

首先,刷牙时要选用小头、软毛的牙刷。牙刷最好3个月就换新的,每次刷好牙后,将刷毛朝上摆,并放置在通风的地方,减少细菌的滋生。

如果担心普通牙刷刷不干净,可以试试电动牙刷,但功率不要太大。

6.半年或一年检查口腔,没事也要检查。

口腔一定不要等到出问题了才治,预防是最关键的。孙伟莲建议大家,没事也要定期检查口腔,防患于未然。

7.洗牙有没有必要?

半年或一年牙周治疗一次,可以有效预防牙周炎,及时发现口腔疾病,尽早治疗。牙周基础治疗主要包括洁治和深部刮治。牙周洁治就是所谓的“洗牙”,定期洁治能够保持口腔健康。

8.硬的不要吃,但吃得太软也不行。

除了刷好牙,爱护口腔更要“吃好”。孙伟莲提醒,饼干等又腻又甜的食物是大忌,食物黏在牙齿上,刷牙都刷不干净。硬的不要吃,如山核桃不要直接牙齿咬。但吃得太软也不行。“现在很多孩子需要正畸,吃得太软是一个原因,颌骨发育不足,缺乏锻炼。”

9.少吃糖、少喝碳酸饮料。

这些食品和饮料会导致牙齿脱矿,促进龋病的发生。如果实在忍不住一定要喝,可在吃完、喝完半小时后,再刷牙和漱口。

说了这么多,那么牙到底该怎么刷?浙江大学医学院附属口腔医院牙周科主任李晓军说,目前,最为推荐的还是巴氏(Bass)刷牙法,因为它的普适性最高。

来学正确刷牙姿势——巴氏(Bass)刷牙法

怎么刷牙才对?总结起来就是四点:

① 刷牙时间不少于2分钟,牙刷3个月左右更换一次。
② 刷牙齿内、外表面时,保持刷毛与牙齿表面呈45°角斜放;轻压在牙齿和牙龈交界处,来回颤动牙刷;上牙往下拂刷,下牙往上。
③ 清洁前牙里侧时,把牙刷竖起,上下轻刷。 
④ 不要忘记轻刷舌头表面。


友情链接: