首页/口腔小技巧/正确认识根管治疗中的断针!/
正确认识根管治疗中的断针!
2023-08-07 15:54:032026浏览
正确认识根管治疗中的断针!

今天与大家谈谈提起根管治疗不得不说的、治疗中可能发生的情况——断针。断针是每个医生和患者都不愿意看到的,由于根管治疗的复杂性,虽然医生竭力避免,但仍然有一定的发生概率,今天就教大家如何正确认识断针。

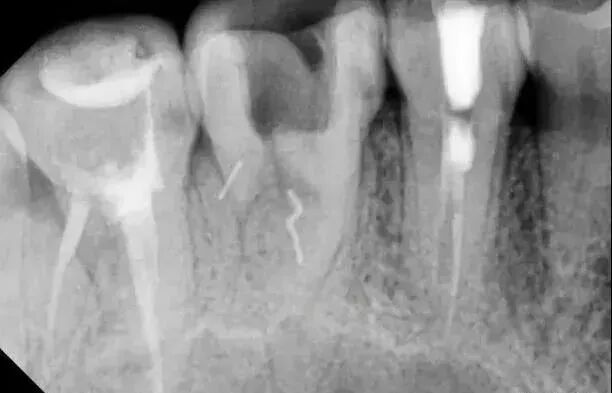
在根管治疗过程中需要用到许多治疗器械,这些器械大多类似针状。有时由于牙根过度狭窄或弯曲,或由于器械的某一部分出现了金属疲劳,器械的一部分就有可能折断在根管内,这就是所谓的“断针”。

“断针’属于根管治疗中一种并不十分常见的并发症,并不是医疗事故。

许多患者在面对这种情况非常紧张,将所有出现的不适反应都认为是“断针”造成的,有时甚至会因之产生很大的心理压力,实际上这种过度担心毫无必要。“断针”是一种对人体无害的物质,讲得通俗些其实就是一小段金属而已。绝大多数的断针都发生在牙齿内部,患者不会有任何感觉。而且“断针”发生在哪个部位,它就会被存留于该部位,不会跑到牙齿外边。“断针”主要的影响是因为它对于医生顺利进行根管治疗产生了妨碍,因而有必要对其作出处理。

有患者提出断针是不是一定需要取出?答案是不一定。

“断针”是否需要取出,应该视其折断的部位和长度、对疗效的影响程度和取出难度而定。很多情况下,“断针”可以被利用作为根管充填的一部分,同样能够取得很好的治疗效果。但是,如果“断针”经医生评估,会对疗效产生比较大的影响,就应该取出。需要说明的是,取“断针”是一项高难度的技术,存在一定的风险,即使是借助于显微镜等特殊设备,由经验丰富的医生进行操作,也无法保证一定成功。因此面对“断针”,医生要从牙齿以及患者的整体状况来考虑适当的处理方案。

温馨提醒

请大家正确认识根管治疗中的“断针”。根管治疗中遇到“断针”首先不必过度紧张,能够与医生进行充分的沟通,彻底了解“断针”对您可能造成的影响及影响程度,然后与医生共同确定一个适当的处理方案,“取与不取”遵循口腔医生的建议。

友情链接: