首页/骨科精读/锁骨中段骨折合并同侧肩锁关节脱位,如何固定?/
锁骨中段骨折合并同侧肩锁关节脱位,如何固定?
2023-08-11 15:09:572068浏览
锁骨中段骨折合并同侧肩锁关节脱位,如何固定?

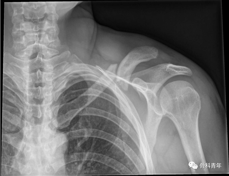
锁骨骨折合并同侧肩锁关节脱位是临床较为少见的损伤,伤后锁骨远端骨块相对游离,合并的肩锁关节脱位可能移位不明显,容易漏诊。

对此类型损伤,通常有几种手术方案,包括长钩钢板、锁骨钢板+钩钢板、锁骨钢板+螺钉固定锁骨至喙突等。但钩钢板长度总体长度较短,近端可能固定不牢靠,锁骨钢板+钩钢板会存在连接处的应力集中,容易再骨折。

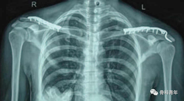
左锁骨骨折合并同侧肩锁关节脱位,采用钩钢板+锁骨钢板固定。


为此,有学者提出采用锁骨钢板+锚钉联合固定的方法,下图所示一例锁骨中段骨折合并同侧IV型肩锁关节脱位患者:


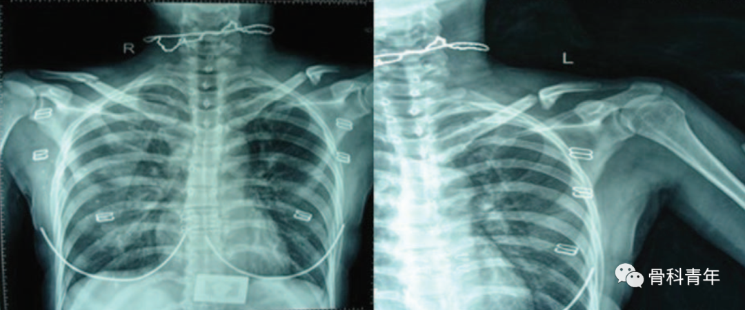
先采用锁骨解剖钢板固定锁骨骨折,复位脱位的肩锁关节后,在喙突置入两枚金属锚钉,并将锚钉自带缝线分别穿过锁骨钢板螺钉孔,在锁骨前方及后方分别打结固定,最后采用缝线直接缝合肩锁韧带及喙锁韧带:



单纯锁骨骨折或单纯肩锁关节脱位均是临床非常常见的损伤,锁骨骨折占全身骨折的2.6%-4%,肩锁关节脱位占肩胛带损伤的12%-35%;但两者的合并伤较为少见。

既往文献中大部分为个案报道,Tightrope与锁骨钢板固定可能是一种新方法,但锁定钢板置入后会影响Tightrope袢钢板的放置,是个需要解决的问题。

另外,对此类合并损失在术前无法评估情况下,建议对锁骨骨折常规检查肩锁关节稳定性,避免遗漏合并的脱位损伤

内容来源于骨科青年!

友情链接: