首页/骨科精读/易漏诊的Lisfranc 损伤,一定要警惕这几个方面!/
易漏诊的Lisfranc 损伤,一定要警惕这几个方面!
2023-08-15 15:41:162519浏览
易漏诊的Lisfranc 损伤,一定要警惕这几个方面!

Lisfranc 关节即跖跗关节,其命名来源于法国军医Jaqcues Lisfranc de Saint Martin 在为一位士兵治疗前足坏疽截肢时,发现通过这个关节可以不用截断骨骼而快速截肢。


Lisfranc 损伤发生率低,约占全身骨折的0.2%。但是随着工业化进程的迅速发展,Lisfranc 关节损伤呈逐年上升的趋势。


Lisfranc 关节结构复杂、骨关节面重叠大,临床存在较高的漏诊率,高达20%。

基本概念

Lisfranc 韧带:是指起于内侧楔骨外侧,止于第2 跖骨基底跖内侧的韧带,在足部稳定中起着重要作用。其强度约为背侧韧带的3 倍

跖跗关节复合体:其组成主要包括跖跗关节、近侧跖骨间关节和前跗骨间关节、韧带及周围软组织

Lisfranc损伤:发生在跖跗关节的损伤,包括涉及跖跗关节的任何骨性或韧带组织的损伤

跖跗关节参与组成足内侧纵弓、外侧纵弓和中间横弓

跖跗关节在行走时活动很少,其主要功能是负重力调节和分散,使足部受力均衡,使步态后期由柔韧变僵直,推动人体向前行走。

正常步态周期中,足弓是减轻振荡,吸收应力的重要弹性结构

解剖

整个关节结构可以划分为三个柱:

  • 内侧柱:第一跖骨和内侧楔骨
  • 中柱:第2、3跖骨和中外侧楔骨
  • 外侧柱:第4、5跖骨和骰骨

第二跖骨基底部深入到3个楔骨形成的马蹄形凹槽中,在跖跗关节的稳定性中起重要作用。

跖骨的基底及楔骨、骰骨形成一拱形结构,也有较好的稳定作用。

软组织的稳定性:1、跖骨颈部由骨间横韧带将相邻的跖骨连接在一起;2、跖骨基底部除第1、2跖骨外也有骨间横韧带连接;3、侧副韧带和关节囊;腓骨长肌腱、胫前肌腱、和胫后肌腱提供动力稳定。

第1、2跖骨基底间无韧带相连,使第一跖骨具有一定的活动度,也是一应力薄弱部位。

Lisfranc韧带在内、中柱的稳定性中起重要的作用,手术从背侧不能将其修复,只能使用内固定使其达到稳定。

足底韧带的强度明显大于足背侧 ,维持足弓。受到外力易发生背侧损伤或脱位。

除第一跖骨外,其余四个跖跗关节均为向外的斜面,与中轴倾斜约为60°,在矢状面上,向前下方倾斜。各跖骨基底呈上宽下窄倒三角形。

损伤机制

直接暴力1、多为重物坠落砸伤及车轮碾压所致。2、由于外力作用方式不同,导致不同的骨折、脱位类型,常合并开放伤口及严重的软组织碾挫伤,重者甚至可以影响前足或者足趾的存留

间接暴力前足外展外旋损伤:当后足固定,前足受到外展外旋应力时,其作用点位于第二跖骨基底内侧。外展外旋应力如不能引起第二跖骨基底或骨干骨折,则整个跖跗关节仍可保持完整。

在力量逐渐增大时,可以发生第二跖骨基底部骨折,随之发生第2-5跖骨的外侧脱位,因此第二跖骨骨折是外展外旋损伤的病理基础。

足跖屈暴力当踝关节以及前足强力跖屈时,例如芭蕾舞演员用足尖站立的姿势,此时胫骨、跖骨、跗骨处在一条直线上。

因中足、后足有强有力的肌腱及韧带保护,且跖跗关节的背侧是在结构上是薄弱区,其骨性的稳定作用主要由第二跖骨来提供,此时若施加纵轴压缩暴力,就会导致跖跗关节脱位。

伴随骨折:第2跖骨基骨折;足舟骨撕脱骨折;内侧楔骨骨折;骰骨骨折

临床表现

中足疼痛、负重困难;足背肿胀;由于可能的自行复位可致畸形多变。

足底瘀青可出现较晚;跖跗关节局部压痛;轻度跖屈、背伸和旋转应力可显示不稳。

血管神经检查:足背动脉、腓深神经 预防骨筋膜室综合症

影像学诊断

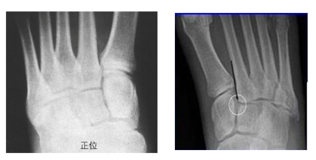
在足正位X线上,第1、2、3跖骨的内外侧缘分别和它相对应的楔骨的内外侧缘呈一直线排列;第一、二跖骨基底间隙和内中楔骨间隙相等。

30°斜位上:1、第四跖骨内侧缘和骰骨内侧缘连续成一条直线2、第三跖骨内侧缘和外侧楔骨内侧缘连续成一条直线3、第二、三跖骨基底间隙和内、中楔骨间隙相等。

侧位上,跖骨不超过相应楔骨背侧缘。从远端的跖骨经过跖跗关节到近端的跗骨,应该是一条不间断的连线

2005年Pearse等提出“ABC”的方法来阅读足部X 线片, 以减少中、前足的漏诊。 A ( alignment)检查跖骨与相应楔骨的对应线 B ( bone)检查每一块骨的轮廓 C ( congruity )检查整体一致吻合, 在正位片上观察内柱, 在斜位片上观察中、外柱。侧位片的常规检查可发现Lisfranc关节矢状面的半脱位及撕脱性骨折

特殊放射学检查应力位摄片:评价跖跗关节的稳定性负重位摄片:评价足的纵弓的稳定性,以及明确第1跖骨间隙的增宽 外侧斜位:诊断细微的第1跖骨间隙的增宽CT 扫描:诊断不明显的跖跗关节半脱位对照位摄片:明确细微的损伤

损伤分型

1.Quenu和Kuss分类

  • 孤立型:至少一块跖骨而非全部跖骨单向脱位。
  • 同侧型:所有跖骨一致向内或更经常是一致向外半脱位或脱位。
  • 分离型:跖骨向不同方向或在一个以上平面分离。

既不能评定严重性,也不能确定合理的治疗或评估预后。

2.Myserson改良分类A型:包括全部5块跖骨的移位,伴有或不伴有第2跖骨基底骨折。常见移位是外侧或背外侧移位,跖骨作为一个整体移位。这类损伤常称为同侧型。

B型:一个或多个关节仍然保持完整。B1——内侧移位,有时累计楔间或舟楔关节。B2——外侧移位,可累及第一跖楔关节。

B1——内侧移位;B2——外侧移位

C型:属于裂开性损伤,根据裂开程度分为C1部分裂开、C2全部裂开。这类损伤通常是高能量损伤,应特别注意筋膜间室综合征。

C1部分裂开;C2全部裂开  

治疗

传统的Lisfranc损伤的治疗方法为闭合复位石膏外固定,此方法的缺点是固定时间长,不利于关节功能的恢复。对于无明显移位的损伤可以采用此法。但有移位的损伤,由于损伤处软组织的肿胀以及跖、背侧的肌腱肌力分布不均衡,外固定不牢靠,容易发生再移位。

保守治疗非手术治疗指征:无移位损伤;负重位或应力位摄片无移位。

短腿石膏;4-6 周不负重;肿胀消退后复查摄片、排除再移位;治疗周期需2-3月。

手术治疗Lisfranc损伤有两个手术时间窗,即伤后6-8h和伤后7天后。

如果不能在伤后6-8小时手术,应耐心等待,待患足肿胀消退出现褶皱时再行手术治疗。若冒然进行手术,可能会加重术后肿胀,或者皮肤不愈合以及皮瓣因压力过大而坏死。

切开复位内固定急诊手术指征:开放性骨折;血管神经损伤(足背动脉);骨筋膜室综合症。

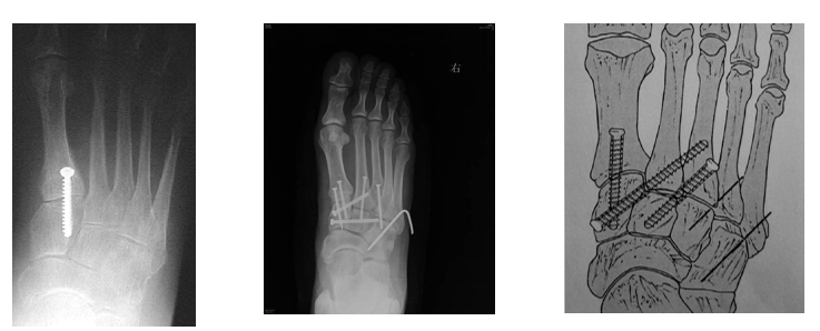
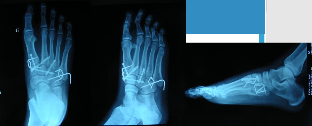
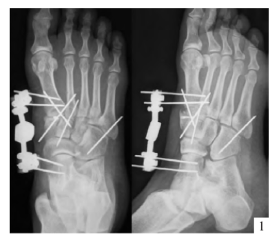
内固定选择1、克氏针:优点是手术简单、时间短、对周围组织损伤小,缺点是固定不坚强、复位丢失等情况时有发生。2、可吸收螺钉:优点是不需行二次手术取出内固定物,缺点是固定强度不及传统螺钉3、小螺钉系统:经典 --- 3.0mm、3.5mm、4.0mm4、空心螺钉:3.0mm、4.0mm、4.3mm 、4.5mm5、微型钢板:跨关节固定,对于严重的跖骨粉碎性骨折的患者,螺钉无法固定时,建议选择微型钢板桥接固定6、骑缝钉

手术切口选择单一切口、双切口

双切口能充分显露所有的跖跗关节;第一切口位于第一、二跖骨之间。该切口利用了两个间隙,一个拇长伸肌腱内侧,一个为拇短伸肌腱外侧。分别可显露第一跖骨、内侧楔骨和第二跖骨、中间楔骨。通过延长皮肤切口,可以直视第三跖骨和外侧楔骨。第二切口位于第四、五跖骨之间,可以显露其与骰骨之间的关节。

根据三柱理论1、首先复位内侧柱并临时固定 2、再复位固定中间柱3、如外侧柱移位可能需双切口

手术从第一跖骨和内侧楔骨开始。首先直视下复位该关节,评价楔骨之间的稳定性,关节囊通常撕裂,但仍然需要掀开以充分显露关节,清除关节内的软组织和软骨碎片。

内侧柱稳定后,开始处理第二跖骨和中间楔骨。点式复位钳由第二跖骨基底部外侧远端斜向内侧楔骨内侧面的近端夹持,注意避免第二跖骨向下移位,发生复位不良。

若楔间关节仍不稳,可使用楔骨间螺钉;固定内侧两跖骨后,通常第三跖骨已经足够稳定,若仍未复位,可以参考第一跖骨固定方法固定。通过第二切口固定第4、5跖骨。可以使用克氏针固定。

Lisfranc损伤骨折复位标准:1、C形臂透视显示正、侧、斜位均为正常解剖复位2、如复位后第1、2跖骨基底间隙和内、中楔骨间隙<2mm,跖跗骨轴线<15°为近解剖复位,可以接受,超过这个范围的移位则无法接受3、复位好后,沿第一跖骨轴线向内侧楔骨逆行拧入一枚4.0mm皮质骨螺钉。螺钉由关节远侧1.5-2.0cm处进入,平行于足底或略向跖侧。

4、从内侧楔骨向第二跖骨置入一枚螺钉,重建韧带。螺钉自内侧楔骨近端的背侧置入,指向第二跖骨背侧皮质的下方,螺钉应通过4层皮质,确保对第二跖骨的双皮质固定

术后管理石膏固定4~6周;如果固定稳定,术后两周可开始功能锻炼,4~6周部分负重,六周后完全负重;术后6~8周可拔去克氏针,术后3~4月可取出螺钉。有些人主张若无症状出现,可无限期地留置螺钉于体内

单纯克氏针、螺钉固定不适用于粉碎性骨折,特别是合并短缩的骨折,后期易导致畸形愈合。克氏针外固定架联合固定可对内侧柱进行支撑复位;对于内侧柱粉碎骨折患者,微型外固定架有一定的优势。

关节融合术当存在主要韧带撕裂、关节多向性不稳、关节内粉碎性骨折,若行切开复位内固定,后期创伤性关节炎发生率极高;另一方面,当切开复位内固定术后疗效不佳时,关节融合术可作为其补救措施。

并发症:创伤性关节炎、骨筋膜室综合症、感染、血管神经损伤、内固定失败、疼痛。

预后

1、功能恢复需一年以上。2、复位不完全导致畸形和慢性足痛发病率增加。3、创伤性关节炎发病率(0-58%)与关节面损伤和粉碎程度相关。

友情链接: