首页/骨科小技巧/“弯曲的骨骼”——先天性胫骨假关节!/
“弯曲的骨骼”——先天性胫骨假关节!
2023-08-15 15:39:371913浏览
“弯曲的骨骼”——先天性胫骨假关节!

先天性胫骨假关节是病因尚不清楚的一种骨骼不连接的特殊类型的疾病,可在出生时或出生后而发生,先天性胫骨假关节最多见于胫骨中下1/3,有时同侧的腓骨也可发生假关节。

一、病因

病因尚不清楚,目前有许多学说,但都找不到确实的证据,许多学者提出本病与神经纤维瘤有密切关系,但是出生时很少发现咖啡斑及神经纤维瘤结节。

此病在生后6个月内很少发现,随年龄增长而逐渐被发现。显微镜检查骨组织内无神经纤维瘤组织侵入,但可见到假关节内有骨膜组织侵入,提示可能由于这些组织及血运障碍阻碍了骨的生长而发生假关节。

二、病理

与分型先天性胫骨假关节的分类主要根据病理改变而决定。病理分型对治疗、预防及预后有一定意义。1.Boyd分型

  • I型:胫骨前弯同时有假关节,出生时部分胫骨缺如,并有其他畸形存在。
  • Ⅱ型:胫骨前弓同时有假关节,出生时胫骨两端呈尖嘴形亦称葫芦狭窄,2岁时可自发或外伤产生骨折,称此胫骨为高危胫骨,骨端呈圆锥形,骨两端有硬化,髓腔闭塞。此型最常见。常伴有神经纤维病变,预后最差。
  • Ⅲ型:胫骨内有囊肿样改变,先有胫骨前弓后发生骨折形成假关节。多发于胫骨中1/3和下1/3交接处。
  • Ⅳ型:胫骨中1/3和下1/3交界处有髓腔硬化,髓腔闭塞,皮质可有不全骨折,折断后不再愈合形成假关节。此类预后较好。
  • V型:胫骨发生假关节,腓骨发育不良,有的两骨同时发生假关节。
  • Ⅵ型:胫骨内有神经纤维瘤或因schwann细胞瘤病而引起假关节,此型较少见。

2.Heyman分型

  • I型:胫骨向前外侧突,弯曲变形而形成假关节,其他骨不变形。
  • Ⅱ型:有明显的足内翻,胫骨弯曲变形,有时合并其他畸形如并趾、腓骨缺如等,胫骨显示短缩弯曲,凹侧有硬化及肥厚。
  • Ⅲ型:胫骨向后内侧突弯曲变形,此型极为少见。

3.VanNes、Hardinge分型

  • I型:伴有神经纤维瘤病,胫骨前弯形成假关节。
  • Ⅱ型:采用截骨术或外伤后形成的假关节,胫骨向前方弯曲变形。
  • Ⅲ型:胫骨有纤维结构不良病,产生的特发骨折而形成的假关节。
  • Ⅳ型:非神经纤维瘤病或纤维结构不良症所致的胫骨弯曲。

三、临床表现

很少于出生时发现胫骨假关节,多数在生后1~2年出现胫骨弯曲,通常由于骨折引起疼痛就诊而确诊,有时患儿周身有色素沉着的咖啡斑,患侧肢体短缩,肢体变细,足形变小,或是足内翻、胫骨弯曲等,当假关节形成时,胫骨向前成角,有时有异常活动,局部无明显压痛,患侧肢体短,走路有跛行。

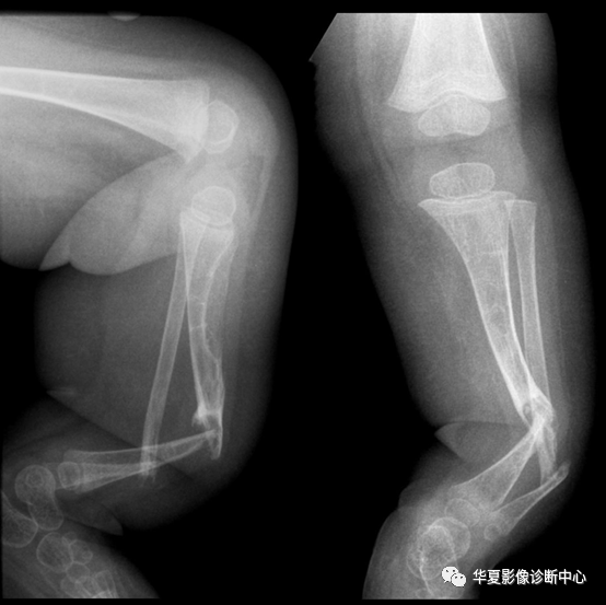
四、X线表现

(1)胫骨中下1/3交界处有假关节存在,假关节两端呈锥形,中间骨质吸收与消失,骨质细长,皮质板薄,腓骨有时出现同样改变。(2)胫骨中下1/3交界处有胫骨前弓,骨皮质增厚,骨髓腔纤维化,胫骨较短,髓腔内有囊性改变,腓骨可正常。(3)胫骨自后向外成角,较短,骨质变粗,髓腔可无变化。

参考文献

  1. 贾卫斗,程开明,宋洁富主编. 小儿骨科学[M]. 2009
  2. Casecourtesy of Dr Olumuyiwa Ifedayo Ajayi, Radiopaedia.org, rID: 82104
  3. Casecourtesy of Dr Andrew Dixon,Radiopaedia.org,rID: 10316
友情链接: