首页/骨科精读/三十个脊柱影像征象,您都见过么?/
三十个脊柱影像征象,您都见过么?
2023-08-21 14:22:037133浏览
三十个脊柱影像征象,您都见过么?

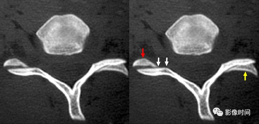
1汉堡包征(脊椎小关节)

本征为颈椎小关节 CT 轴面图像正常的表现。

正常的椎小关节形似汉堡包,椎体上关节突为上部半圆形的小面包样影(黄箭),下关节突位于下部,形成「肉馅」下部的小面包样影(红箭)。小关节突之间的间隙为所谓的「夹馅」(白箭)

认识这一征象,对于小关节脱位和半脱位(A)、退行性改变(B)的诊断有帮助。颈椎 CT 轴面图像:A. 左侧小关节脱位,可见裸面征;右侧小关节半脱位;B. 颈椎小关节退行性变,骨质增生,明显变形,以左侧显著。

(引自丁香园,华夏览雄 http://www.dxy.cn/bbs/ thread/39069083)

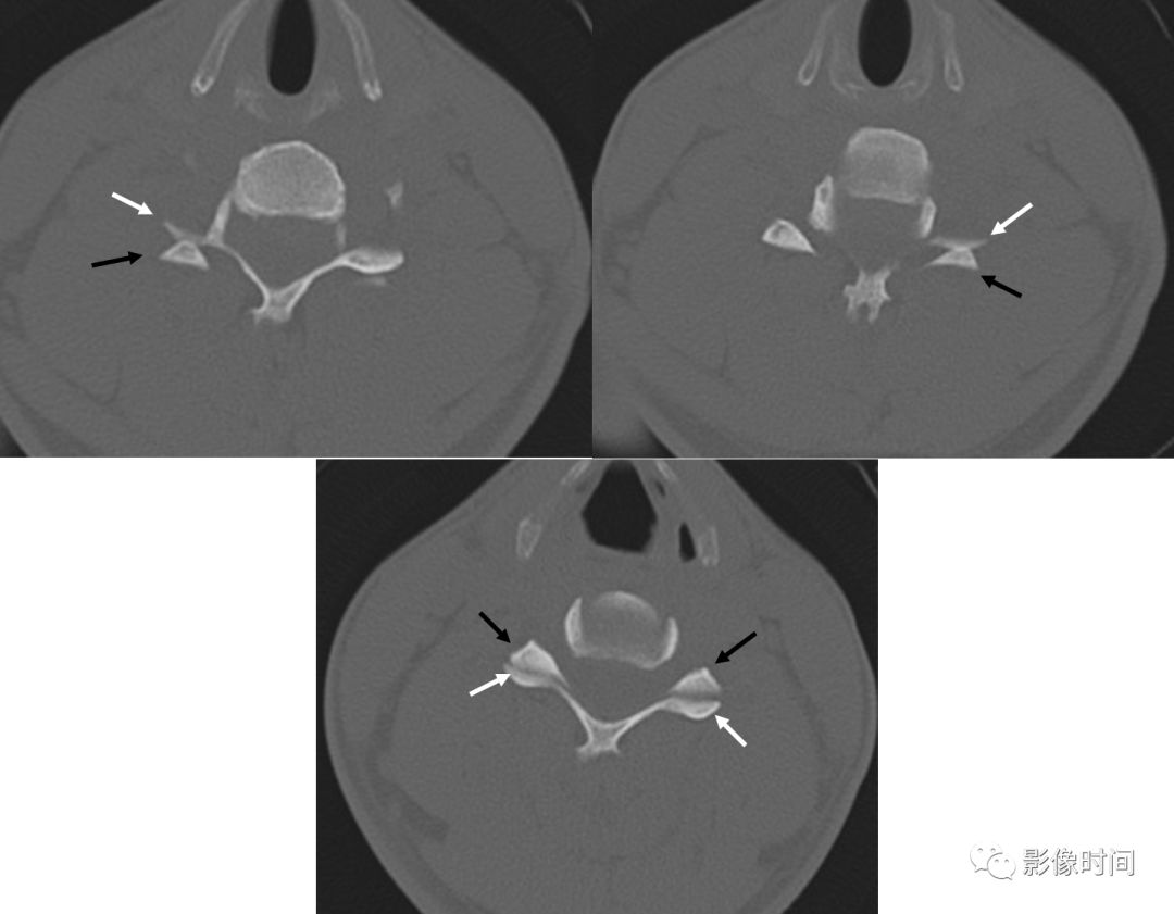
2裸面征

裸面征(naked facet sign),又称反汉堡面包征(reverse hamburger bun sign)

当脊椎小关节脱位时,上关节突脱位可位于上关节突后方,关节面向下显露,表现为关节面裸露,为裸面征(黄箭)。脱位可单侧或双侧出现;本例为左侧脱位,右侧为半脱位:可见上关节突(红箭)外移,相对下关节面显露,表现为关节面部分裸露(白箭之间)。

这是屈曲分离型损伤的特点,提示有严重的韧带损伤和脊柱不稳。

上图为 45 岁男性,交通事故后行轴位 CT 检查。显示右侧颈椎汉堡包征异常。双侧关节突不同程度分离、移位。

(引自丁香园,华夏览雄 http://www.dxy.cn/bbs/ thread/39069083)

典型病例

正常汉堡包征的小关节(下图);外伤后,CT 骨窗示其前部「面包」(上关节突,黑箭)后移,位于下部「面包」(下关节突,白箭)的后方,关节面裸露。

引用自:https://radiopaedia.org/articles/naked-facet-sign-vertebral-column

3双边征

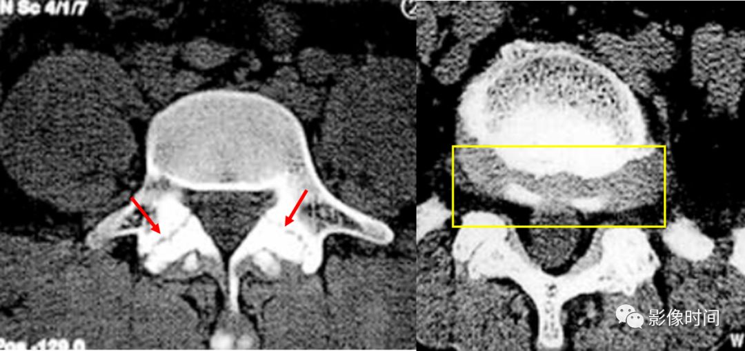
双边征是脊柱前滑脱的 CT 表现之一,指的是在横轴位图像上,上位滑脱椎体下缘与下位椎体上缘显示于同一层面,位置一前一后,呈「双边」样。常见于腰椎椎弓峡部裂伴椎体滑脱。

典型病例

腰椎椎弓峡部裂并椎体滑脱。CT 示双侧椎弓峡部裂隙(红箭),并可见双边征(黄框)。

引用自:张杰,卜庆丰. 腰椎椎弓峡部裂的 CT 诊断. 中国医学影像学杂志,2005,13(6):467-468.


4斯科蒂狗征与狗戴项圈征

斯科蒂狗征(scottie dog sign)/ 猎犬项圈征

斯科蒂狗征,亦有译为苏格兰狗征。是指在斜位 X 线片上腰椎正常结构的投影,横突、小关节突、椎弓根投影构成了酷似斯科蒂狗的轮廓,故而得名。当椎弓狭部裂时,「狗颈部」会出现透亮带,酷似「狗戴上了项圈」,即为狗戴项圈征(也有称为断颈或斩首征的)。

典型病例

两例腰椎椎弓狭部裂。斜位 X 线片示椎弓狭部骨质不连续,可见透亮带影(箭示),呈现狗戴项圈征。

引用自:https://radiopaedia.org/articles/scottie-dog-sign-spine

5倒置拿破仑帽征

倒置拿破仑帽征(inverted napoleon hat sign),亦有译为反拿破仑帽征

倒置拿破仑帽征是指在腰椎正位 X 线片中,腰 5 与骶 1 的投影轮廓重叠,形似倒置的拿破仑帽(蓝箭)。其中帽子的边缘是腰 5 的横突形成,而帽子的圆顶是由腰 5 的椎体投影构成。

本征象主要用于描述腰 5 椎体前滑脱(这种滑脱通常为先天性或创伤性,退变性的少见),在腰 5 未滑脱但腰骶部显著前凸时也可以出现此征象。

典型病例

22 岁男性,腰椎侧位片可见腰 5 椎体呈梯形(黑箭头),显著向前、下滑脱(黑箭),正位片形成倒置拿破仑帽征(白箭)。

引用自:1.https://radiologykey.com/natural-history-of-spondylolysis-and-spondylolisthesis2.http://www.learningradiology.com/archives2009/COW%20381-Napoleon%20 Hat%20Sign/napoleonhatcorrect.htm

6

肥胖第 2 颈椎征

肥胖第 2 颈椎征(the fat C2 sign)

所谓肥胖第 2 颈椎征是指在创伤后摄取的颈椎侧位片上,颈 2 椎体(A)的前后径大于颈 3(B)椎体的前后径。此征象提示累及颈 2 椎体的斜行骨折,而骨折线不一定能在侧位片上显示。

典型病例

外伤后颈椎侧位片(左图)示颈 2 椎体前后径(黑箭)明显大于颈 3 椎体前后径(虚线),呈肥胖第 2 颈椎征;未见明显骨折线。断层摄影(右图)示椎体前部(弯箭)及后部(黑直箭)均可见骨折线。

引用自:1.The fat C2 sign.Radiology 2000;217:359-360.2. Smoker WR.The "fat" C2: a sign of fracture.AJR Am J Roentgenol 1987;148:609-614.

7双棘突征

双棘突征(Double spinous process sign),又称幽灵征(ghost sign)

双棘突征是指在颈椎正位片上,一个棘突的投影因为棘突骨折的关系变成了两个较小的棘突投影,两者紧邻,上下分布(黑箭)。本征象用于描述铲土者骨折,多见于颈 6 和颈 7 的棘突,亦可见于上部胸椎棘突。

典型病例

铲土者骨折,正位 X 线片示颈 7 呈现双棘突征(箭),提示颈 7 棘突骨折。

引用自:Baker BK,Sundaram M.Case report 688. Fractures of the spinous processes of multiple thoracic vertebrae.Skeletal Radiol 1991; 20: 463-464.


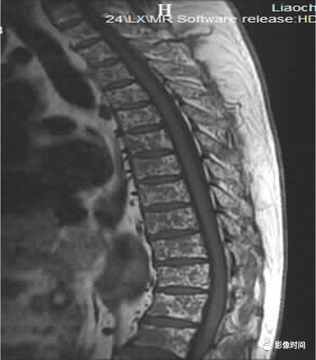
8牙膏征

牙膏征(Toothpaste sign)

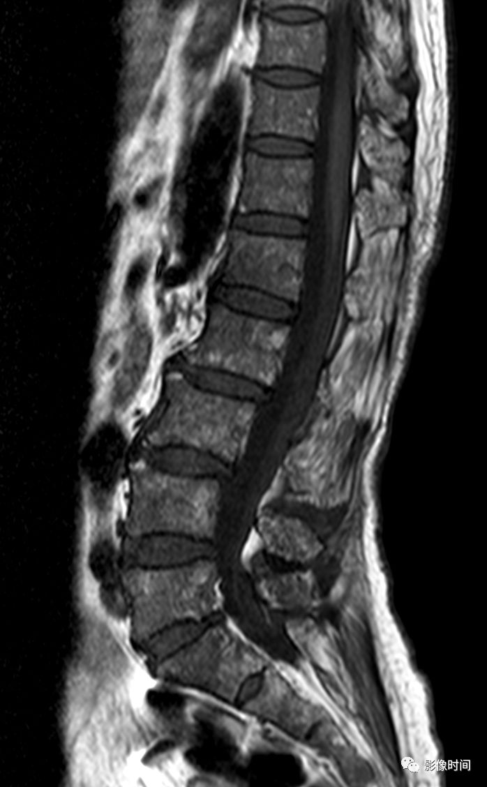
牙膏征是指在矢状位脊柱影像中,脱出的椎间盘突入椎管内并向下游走,形似被挤出的牙膏而得名。

典型病例

矢状位 T2WI 像示脱出的椎间盘突入椎管,形似被挤出的牙膏,呈牙膏征(箭示)。

引用自:https://radiopaedia.org/ articles/ toothpaste-sign

9

MR 液体征

MR 液体征为椎体压缩骨折 MRI 征象,表现为液体敏感序列中在塌陷椎体水肿背景上出现局灶性、线样或三角形更高信号(黄箭),信号强度与脑脊液相仿,T2WI 亦可显示(黄箭)。常提示良性压缩性骨折。

典型病例

67 岁男性,骨质疏松压缩性骨折。MRI 的 T2WI 及脂肪抑制像示两个压缩椎体内可见高信号,与脑脊液相仿(红箭示)。

10栅栏征

栅栏征(The Palisade sign),也称灯芯绒椎体(corduroy vertebra)或灯芯绒征(corduroy sign)

脊椎椎体因病变导致骨小梁吸收、稀疏,为满足承重需要,存留的纵向骨小梁粗大;粗大骨小梁间以细条状密度减低区,形成栅栏样影像,故称栅栏征或灯芯绒椎体。

栅栏征最常见于血管瘤,以单个脊椎居多;骨质疏松如泛发性骨质增生症、老年性骨质疏松等亦可呈现此类表现,一般见于下胸椎、上部腰椎的多个椎体,只是伴有普遍的骨密度减低。有时自颈椎至腰椎全部椎体均出现栅栏征。栅栏征主要见于椎体。

典型病例

病例 1,脊柱血管瘤。胸腰椎 CT 冠状位、矢状位 MPR 重建示胸 12 椎体松质骨密度降低,其中可见粗大骨小梁呈栅栏状。

病例 2,67 岁女性,椎体血管瘤。腰椎侧位片示胸 12 及腰 3 椎体呈现栅栏征,磁共振检查证实为血管瘤。

病例 3,泛发性骨质增生症,男,47 岁。A-C.颈椎、胸椎、腰椎侧位片,显示所有椎体纵向骨小梁粗大、稀疏;粗大骨小梁间以细条状密度减低区,呈栅栏征。D-G.胸、腰椎 MR 冠状、矢状位图像,粗大、稀疏的示纵向骨小梁呈低信号,在邻近富脂肪骨髓信号衬托下呈典型的栅栏征

(引自丁香园,华夏览雄 http://radiology.dxy.cn/bbs/topic/34521015)参考文献:陈凡. 骨关节 X 线征. 武汉:湖北人民出版社,1987:94-95.

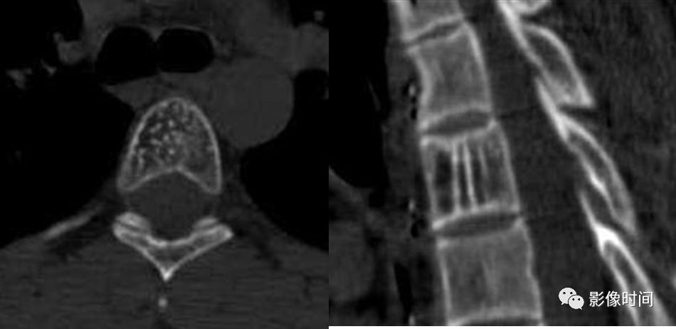
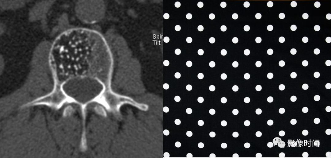
11圆点征

圆点征(Polka-dot sign)

圆点征指的是在横断面图像上,椎体骨松质呈粗大网眼状改变,残留骨小梁增粗呈稀疏排列的多发粗点状高密度影。此征象多提示脊柱血管瘤。

典型病例

胸椎血管瘤。A.CT 横轴位骨窗示椎体右侧部骨小梁稀疏粗大,呈圆点征;B. 矢状位 MPR 图像呈现栅栏征。

12硬币征

硬币征,又称银币征(silver dollar sign)、扁平椎(Vertebra plana)、薄饼椎(Wafer-Thin Vertebra)或煎饼椎(pancake vertebra)

本征象为 X 线平片或 CT 重建像上,椎体压缩变扁呈硬币状,其横径和矢状径均超出正常椎体,相邻椎间隙大多正常。

本征象对于儿童青少年,常提示骨嗜酸性肉芽肿。但也可以见于其他疾病,比如创伤、骨质疏松症、成骨不全导致的压缩骨折或者转移瘤、骨髓瘤、白血病和淋巴瘤导致的病理性骨折。

典型病例

病例 1,18 岁男性,嗜酸性肉芽肿(朗格汉斯细胞组织细胞增生症 LCH)。X 线片示颈 6 椎体变扁,呈现硬币征,其横径及前后径均增大,椎间隙相对增宽。

病例 2,老年性骨质疏松,多发压缩性骨折。胸椎侧位 X 线片示例多发椎体楔形变扁,两个椎体呈扁平椎/硬币征改变(黄箭)。

13椒盐征(脊柱)

椒盐征(salt and pepper sign)

本征象指在脊柱 MRI T1WI 像上可见多发斑点状低信号,分布于高信号骨髓背景内,呈现黑白间杂样改变。常见于多发性骨髓瘤。

典型病例

55 岁男性,多发性骨髓瘤。矢状位 MR T1WI 示在椎体黄骨髓高信号背景下,肿瘤为弥漫性分布的多发点状低信号,呈椒盐征。

14微脑征

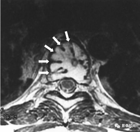
微脑(mini brain)征

本征象指在 MRI 横轴面图像上,病变残存的骨嵴形成曲线状的低信号结构向破坏区延伸,犹如深入脑回的脑沟。多见于椎体孤立性浆细胞瘤。

典型病例

病例 1. 37 岁女性,孤立性浆细胞瘤。横轴位 FSE T2WI 像示椎体信号异常,可见多发条状低信号伸入病变,类似脑沟(箭示)。

病例 2. 60 岁女性,椎体浆细胞瘤。横轴位 FSE T2WI 像示椎体内信号异常,低信号骨嵴伸入病变,其形态似「微脑/迷你脑」。

引用文献:Major NM,Helms CA.The "mini brain": plasmacytoma in a vertebral body on MR imaging.AJR Am J Roentgenol 2000;175:261-263.

15椎弓根征

椎弓根征,又称眨眼猫头鹰征(Winking owl sign)

本征指的是在脊柱正位 X 线片上,一侧椎弓根投影消失,为「闭一只眼」(箭示),另一侧椎弓根投影存在,为「睁一只眼」(圈),相应棘突类似喙,总体形似一只眨眼的猫头鹰。

典型病例

病例 1. 女,37 岁,腰痛 4 月余,肺癌转移。腰椎正位片,示第 3 腰椎右侧椎弓环影破坏消失。

病例 2. 胸椎转移瘤。正位 X 线片示胸 11 左侧椎弓根投影消失(白箭),右侧椎弓根影存在(黑箭),形似眨眼的猫头鹰。

(引用自: https://radiopaedia.org/articles/ winking-owl-sign-spine)

16跳跃征

在脊椎的 MR 各序列中,脊柱的椎体和/或附件多节段受累时,呈现病变脊椎之间有正常脊椎(箭示)的不连续改变,称为跳跃征。常见于脊椎转移瘤。

典型病例

67 岁男性,前列腺癌脊椎转移。磁共振 T1WI 及 T2WI 图像示多椎体多发病灶(箭示),大小不等,分布呈现跳跃征。

17横板征

本征常见于骶椎脊索瘤,表现为在 CT 图像上骶椎病灶内有时可见一个或数个横行高密度影,称为横板征(黑箭),MRI 表现为低信号。其病理基础为:骶椎发生肿瘤时,因骶椎的终板因含钙化的软骨,肿瘤组织对其破坏较慢,因而可较骨质多存留一段时间,并可包含在肿瘤内且随肿瘤的生长而移位。

典型病例

男性,65 岁,骶椎脊索瘤。T1WI 及 T2 压脂像显示肿瘤位于骶椎下部,内部可见残存钙化终板的低信号影(红箭),呈横板征。

(病例引自丁香园 handsomemaster http://www.dxy.cn/ bbs/thread/35323587)

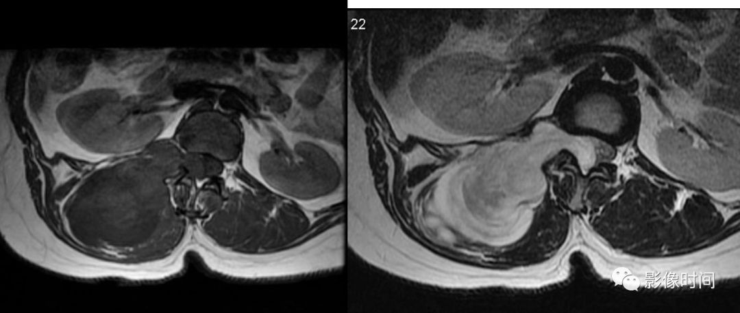
18哑铃征

哑铃征(Dumbbell sign),又称脊柱肿瘤哑铃样表现(Dumbbell appearance of spinal tumors)

所谓哑铃征指的是肿瘤既有椎管内部分也有椎旁部分,其通过椎间孔的部分缩窄(红箭),形似哑铃型,故而得名。此征象最常见于神经鞘瘤,还可以见于神经纤维瘤、神经节细胞瘤、神经母细胞瘤或者脊膜瘤等。

典型病例

病例 1,神经鞘瘤,MRI 横轴位 T1WI 及 T2WI 像示神经鞘瘤跨椎管内外,呈现哑铃征。

病例 2,神经鞘瘤。MRI 横轴位 T2WI 脂肪抑制及 T1WI 增强扫描脂肪抑制像示神经鞘瘤跨椎管内外,呈现哑铃征。

引用自:1.https://radiopaedia.org/articles/dumbbell-appearance-of-spinal-tumours2. https://radiopaedia.org/articles/ spinal-schwannoma

3. Tomii M,Itoh Y,Numazawa S. Surgical consideration of cervical dumbbell tumors. Acta Neurochir (Wien) 2013; 155: 1907-1910.

19竹节椎

竹节椎(Bamboo spine)

竹节椎是用于描述强直性脊柱炎的一个放射学特征,由于椎旁韧带广泛骨化,导致椎体融合强直,这种薄而连续的韧带骨化在正位片使得脊柱的轮廓呈现波浪起伏状,宛如具有多个竹节的一根竹竿,故而得名。

典型病例

强直性脊柱炎。腰椎正位片示腰椎韧带、小关节囊广泛骨化,骨性强直,呈典型竹节椎表现。另可见骶髂关节骨性融合。

引用自:https://radiopaedia.org/ articles/ bamboo-spine-ankylosing-spondylitis

20匕首征

匕首征,或译为短剑征(Dagger sign)

匕首征是指由于棘间韧带骨化,导致在正位 X 线片上呈现垂直的一条硬化带(白箭),形似一把短而窄的匕首而得名。此征象也主要用于描述强直性脊柱炎。

典型病例

强直性脊柱炎。正位 X 线片示棘间及棘上韧带骨化形成匕首征(黄箭)。另可见双侧骶髂关节骨性融合,双髋关节间隙均匀性狭窄。

引用自:1.https://radiopaedia.org/articles/dagger-sign-spine

2. Berens DL. Roentgen features of ankylosing spondylitis. Clin Orthop 1971; 74: 20–33.

21

电车轨道征

电车轨道征(trolley-track sign)

电车轨道征是指在正位 X 线片上,强直性脊柱炎患者由于棘上及棘间韧带骨化,两侧小关节囊骨化强直,形成竖向排列的三条高密度线,类似无轨电车的轨道,故而得名。

典型病例

63 岁女性,强直性脊柱炎。正位 X 线片示由于棘上及棘间韧带骨化以及关节突关节强直,呈现电车轨道征。

引用自:1. Resnick D, Niwayama G.: Ankylosing Spondylitis. Resnick D. Bone and Joint Imaging, 1st Edition, Phyladelphia, Resnick D. W.B. Saunders 1989:299-319.

22亮角征

亮角征(shiny corner sign),又称 Romanus 病灶(Romanus lesion)

亮角征指的是在侧位片或者 CT、MRI 矢状位图像上,椎体的上角或者下角密度(或信号)增高(黑箭),「发亮」,故而得名。本征象主要见于血清阴性脊柱关节病(尤其是强直性脊柱炎)。在 X 线片上此征象的出现是由于于椎体角部炎症性侵蚀而导致的反应性骨质硬化。在磁共振上,活动性疾病表现为 T1WI 低,T2WI 压脂高信号,疾病进程后期则因为脂肪骨髓变性而呈现 T1WI、T2WI 双高信号。

典型病例

病例 1,53 岁男性,强直性脊柱炎。侧位 X 线片示部分椎体前上角密度增高,呈亮角征(黑箭)。

病例 2,男性,38 岁。强直性脊柱炎。A. 矢状位 T1WI 示胸腰段多发椎体角部信号增高(白箭),呈亮角征;B.STIR 序列亦呈稍高信号(白箭, 提示有活动性炎症)。

引用自:https://radiopaedia.org/articles/shiny-corner-sign-ankylosing-spondylitis

23方形椎体/方椎

方形椎体/方椎(Squared vertebral body)

侧位观,A. 椎体前缘正常轮廓是略向内凹陷的;B. 在某些疾病时,椎体前缘失去内凹的轮廓(白箭),变得平直,即称为方椎。本征象多用于描述血清阴性脊柱关节病。

典型病例

男性,33 岁。强直性脊柱炎。侧位片示胸腰段多个椎体前缘失去凹陷轮廓,呈方椎改变。


24

椎体画框征

椎体画框征,又称画框椎(picture frame vertebra)

本征象是指在影像上,病变椎体增大,密度增高,增粗致密的骨纹环绕椎体四周,由于周围部较中央部骨硬化明显,形成椎体画框样改变。本征见于椎体畸形性骨炎(Paget 病),主要是由于皮质增厚及骨小梁粗大所致。

典型病例

畸形性骨炎患者,X 线片示患椎横径及前后径均增大,边缘密度更高,呈现画框椎体改变。

25

象牙椎体征

象牙椎体(ivory vertebra)征

本征象为在 X 线平片或 CT 图像上,一个或多个椎体弥漫性密度增高,椎体内正常骨小梁及骨皮质结构分辨不清,病变范围通常不超过椎体,无累及相邻椎间盘。

本征象常见于成骨型骨转移瘤,其次是尤因肉瘤和淋巴瘤;另外,畸形性骨炎或者肥大细胞增生症等疾病亦可如此表现。

典型病例

病例 1,尤文肉瘤。腰椎 X 线正侧位片显示腰 2 椎体弥漫性密度增高,骨小梁结构不清,呈象牙椎改变。椎体轮廓欠光整,似可见垂直样的骨膜反应。

病例 2,乳腺癌骨转移。A、B. 平片可见一椎体密度普遍性升高;C.CT 横轴位图像示骨小梁结构不清,且累及双侧椎弓根及椎板。

26夹心蛋糕征与橄榄球衫椎

前言:夹心蛋糕及橄榄球衫椎均用于描述椎体,上下终板区域带状密度增高,而中心区域密度相对低,高低密度区间杂。部分同道可能会混用,但两者有所不同,查询国内外书籍、文献及网页,总结如下:中文书籍中的所谓「夹心蛋糕征」,主要用于描述石骨症(也称骨硬化症),与英文「Sandwich vertebral body」(三明治椎体)对应,而橄榄球衫椎(Rugger-jersey spine)主要用于描述甲状旁腺功能亢进(原发及继发),国内主要用于描述肾性骨病,继发甲状旁腺功能亢进。

两者表现类似,区别在于三明治椎硬化带密度更高,边界更清晰,而橄榄球衫椎硬化带边界不够清楚,也没有那么致密(注:确实有混用情况,但大部分如上所说)。

典型病例

病例 1,石骨症。腰椎正侧位片示腰椎椎体上、下终板区域显著硬化,而中央区密度较低,呈夹心蛋糕征/三明治椎体。

病例 2,69 岁女性,肾性骨病。视野内诸骨密度不均匀增高,骨小梁模糊。腰椎椎体上下终板区域密度增高,中心区域密度较低,边界不清,呈「橄榄球衫椎」表现。

引用自:1. Florido Angulo A,Holgado Pérez S.The sandwich vertebral body sign in osteopetrosis. Arthritis Rheumatol 2015; 67: 1686.

2. https://radiopaedia.org/articles/sandwich-vertebral-body

3.https://radiopaedia.org/articles/rugger-jersey-spine-hyperparathyroidism


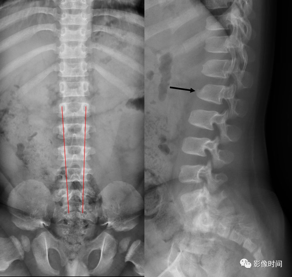
27子弹形椎

子弹形椎(Bullet-shaped vertebra)

子弹形椎指的是椎体的一种形态,即椎体前部呈楔形变尖,类似子弹样。

此名称一般用于描述软骨发育不全的椎体形态改变,但也可以见于黏多糖病和先天性甲状腺功能减退。

(引用自:https://radiopaedia.org/articles/bullet-shaped-vertebra-3)

典型病例

病例 1,5 月男孩,软骨发育不全。脊柱侧位片课件胸腰段后凸,部分椎体呈子弹形(黑箭)。

病例 2,2 岁男孩,软骨发育不全。腰椎侧位片可见椎体呈子弹形(黑箭),另外还可以见到椎体后缘扇贝样凹陷,正位片课件典型的腰椎弓根间距逐渐缩小(红线)。

28H 型椎体

H 型椎体(H-shaped vertebrae),也称为林肯原木椎体(Lincoln log vertebrae)

H 型椎体是指椎体终板中央边界锐利的凹陷,使得椎体呈现字母 H 或者林肯原木样的形状,因而得名。本征象通常用于描述镰状细胞贫血的脊柱改变,偶然也可以见于其他疾病,比如地中海贫血或者戈谢病。这种椎体形态的改变是终板的微血管梗死所致。

典型病例

病例 1,镰状细胞贫血患者,胸椎侧位片示椎体上下终板中部凹陷,使得椎体呈字母 H 样改变。

病例 2,镰状细胞贫血患者,胸椎 CT 矢状位重建骨窗图像示椎体上下终板中部凹陷,呈字母 H 样改变。

引用自:https://radiopaedia.org/articles/ h-shaped-vertebra

29鱼椎

鱼椎(Fish vertebra),又称鳕鱼椎(codfish vertebrae)

所谓鱼椎是指椎体上下终板双凹导致的椎体形态改变,与鱼类椎体(双凹)形态相似而得名。这种凹陷是平滑的,与 H 型椎体的凹陷边界相对截然的不同。本征象通常用于描述成骨不全的椎体改变,但也可以见于骨质疏松症、肾性骨病、骨质软化、高胱氨酸尿症等疾病。

典型病例

病例 1,1 岁男孩,成骨不全。腰椎侧位片示椎体密度减低,多发椎体双凹畸形,呈「鱼椎」样。

病例 2,骨质疏松症。CT 矢状位骨窗示椎体密度减低,骨小梁稀疏,多发椎体「鱼椎」样双凹变形。

引用自:

1. Ntagiopoulos PG,Moutzouris DA.The "fish-vertebra" sign.Emerg Med J 2007;24:674-675.

2. https://radiopaedia.org/articles/fish-vertebra

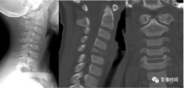
30黄蜂腰征

黄蜂腰征(wasp-waist sign),也译为细腰征

黄蜂腰征是 Klippel-Feil 综合征(先天性颈椎融合畸形)患者的影像学表现。因椎体融合导致受累椎体(融合椎间盘处)的前后径小于邻近未受累椎体的前后径,形似黄蜂的细腰而得名。

典型病例

Klippel-Feil 综合征,颈椎侧位 X 线片示颈 4-6 椎体融合,呈黄蜂腰征。

引用自:1. https://radiopaedia.org/articles/wasp-waist-sign-spine2. https://radiopaedia.org/articles/klippel-feil-syndrome-3

来源: 影像时间,作者:yellow1688

友情链接: