首页/骨科小技巧/椎间孔和侧隐窝区别!/
椎间孔和侧隐窝区别!
2023-12-14 10:31:102308浏览
椎间孔和侧隐窝区别!

  是脊神经根离开脊髓通过的孔道,其上下壁是椎弓根的切迹;前方为椎体外侧缘、椎间盘和后纵韧带;后方为小关节的关节囊及部分黄韧带。神经通过椎间孔的管道中,被一些蜂窝组织和小血管所包绕。神经根自离开硬膜囊到出椎间孔的一段路程的总称为“神经根管”。它的外侧份为椎间孔,内侧份为侧隐窝。侧隐窝的前壁是椎体和纤维环的后外侧,外壁为弓根内侧面,内侧为硬膜外脂肪及马尾神经囊,后壁为上关节突和黄韧带的侧份。侧隐窝向外下续为椎间孔。椎管狭窄一般分为先天(原发)、后天(继发)两种因素所造成,实际上这两种因素是相互联系、相互影响的。胎生时腰椎椎管呈卵圆形.但随着人体的发育、负重、退行性变和各种超负荷的增加,则促使其向增加力学强度的方向发展。至成年时腰;至骶。和腰4~5大多呈三角形或三叶草形并使腰骶关节承受60%~75%的伸屈活动量。腰。、腰。为15%~20%。此种椎管虽然力学程度增加,但矢状径减少。加之小关节部骨质增生、肥大,.或上关节突过长以及椎体间关节的退行性变,不仅椎管矢状径变短,容积明显减少而且神经根管也相应地细而短。由于管内有效容积的缩小,致使马尾与神经根处于临界状态。任何可以增加管内压力的病理与生理因素,如骨刺、关节囊和黄韧带的松弛与肥厚、椎板、关节突增生肥大.纤维环的膨出等退行性变.增加了狭窄程度,直接压迫或刺激马尾和脊神经根引起腰椎管狭窄症。根据椎管狭窄部位与程度分中央型、侧隐窝型(根型)和混合型。中央型椎管狭窄多见先天软骨发育不良和退行性变。椎管的前后径与宽度均狭小,椎管矢状径小于10~12mm。主要表现为马尾神经源性间歇跛行。侧隐窝狭窄(根管)和椎间孔狭窄多为椎体后外缘骨赘增生或关节突增生肥大,侧隐窝的矢状径小于4mm;椎间孔可行两侧比较判定它有无狭窄。主要表现为根性神经痛。混合型椎管狭窄,即上述两种类型中两种因素的混合,既有间歇性跛行又有根性神经痛。

 侧隐窝位于侧椎管。其前面为椎体后缘,后面为上关节突前面与椎板和椎弓根连结处,外面为椎弓根的内面。内侧入口相当于上关节突前缘。侧隐窝为椎体孔两侧向外陷入部分,向外下方形成脊神经根通道,与椎间孔相续。侧隐窝是椎管最狭窄部分,为神经根的通道,其矢径越小,横径越大,表示侧隐窝越窄越深。侧隐窝狭窄卡压神经根是腰腿痛的原因之一。腰5椎间孔最易引起侧隐窝狭窄,原因是:①椎间孔多呈三叶形;②侧隐窝明显,矢径可小至2~3mm;③上关节突增生变形较多。

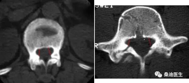
侧隐窝的测量必须满足两个条件:一是必须用骨窗位来测量,二是测量层面必须是完整的椎体层面,即显示出椎弓根的层面。

侧隐窝的测量方法是关节突的内侧缘与椎体后部的连线的长度:

侧隐窝宽窄的判断,小于3mm为肯定狭窄,3mm-5mm为可疑狭窄,大于5mm则不狭窄。

下面这幅图片是从崔志潭、严加和主编的《x线解剖学》中扫描下来的:

友情链接: