首页/足踝/教学病例:踝关节X线片!/
教学病例:踝关节X线片!
2023-12-26 11:23:232795浏览
教学病例:踝关节X线片!

男,33岁,外伤后踝关节正侧位X线片,能发现哪些异常?

1. Distal fibular fracture2. Distal tibiofibular syndesmotic ligament disruption 3. Simple bone cyst (SBC) calcaneum1、腓骨远端骨折2、下胫腓联合损伤;3、跟骨囊肿

以下是踝关节磁共振显示的跟骨囊肿:

下胫腓关节联合韧带损伤的磁共振视频:

Take home message1、有时常规X线检查不能完全反映实际情况,原因是有时骨折或脱位自行复位,或经急救复位,而于原始踝关节X线片中并不显示下胫腓联合增宽,故很容易忽视下胫腓联合损伤的存在,导致治疗上的失误,当X线片上发现与临床资料不一致时,应摄特殊位X线片或做应力摄片。

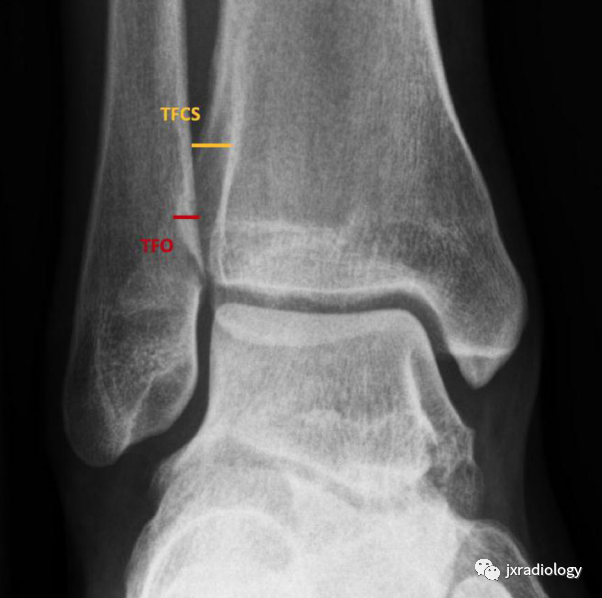
2、正常的踝关节下胫腓联合测量数据:在标准前后位X线片上胫骨远端关节面上1cm水平,下胫腓联合间隙(TFCS)>5mm或胫腓重叠(TFO)在前后位X线片上<10mm,表明存在下胫腓联合损伤。应该进行CT或MRI检查以明确诊断。

下胫腓联合间隙(tibiofibular clear space,TFCS)胫腓骨重叠(tibiofibular overlap,TFO),正常大于6mm

3、下胫腓联合是由胫腓骨远端4条韧带(下胫腓前韧带AITFL、骨间韧带IOL、横韧带TL和下胫腓后韧带PITFL)组成的韧带复合体,既维持着胫腓骨远端的稳定性,又使踝关节保持一定的微动特性。下胫腓联合损伤常伴发于踝关节骨折,治疗不当可能影响踝关节功能,出现踝关节不稳定、关节炎及慢性疼痛等并发症。

随着对踝关节功能恢复要求的提高,下胫腓联合损伤诊断和治疗方法一直在推进和更新。

友情链接: