首页/创伤/病例分享:28例骨科内植物术后影像片!/
病例分享:28例骨科内植物术后影像片!
2023-12-27 10:43:18831浏览
病例分享:28例骨科内植物术后影像片!

骨科医生常被戏谑称为是“掌握无菌操作的木匠”,无论是关节置换或骨折内固定,均旨在恢复正常解剖结构,以最终获得功能恢复。本次推荐江阴临港医院骨科黄兵主任的病例影像片,供临床医生借鉴。



1.半髋关节置换




2.全髋关节置换



3.股骨粗隆间骨折


4.股骨骨折(髓内钉)


5.股骨骨折(钢板)


6.胫骨平台骨折(过伸伤)


7.髌骨骨折


8.胫骨结节撕脱性骨折


9.胫骨骨折(髓内钉)


10.胫骨骨折(钢板)


11.胫骨下段伴内踝骨折


12.三踝骨折


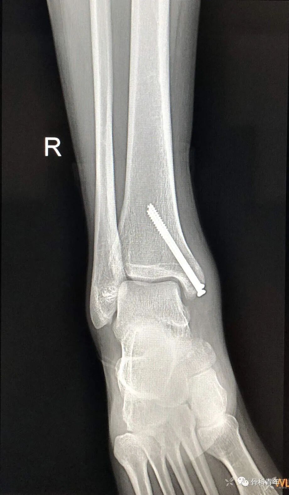
13.内踝骨折


14.跟骨骨折(跗骨窦入路)


15.跟骨骨折(L入路)


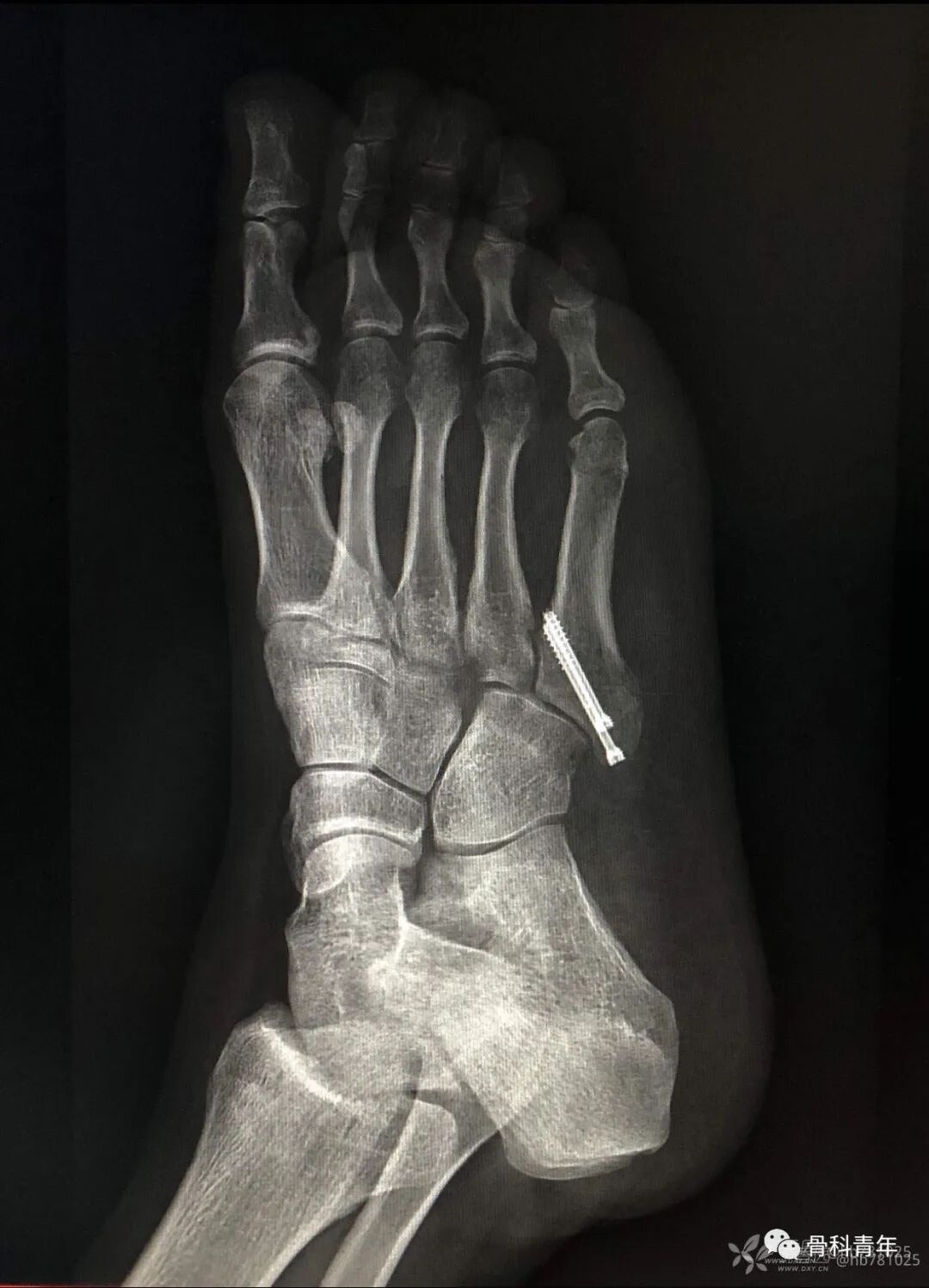
16.第五跖骨基底部骨折(空心钉)


17.第五跖骨基底部骨折(钢板)


18.经皮椎弓根钉


19.肩关节置换术


20.肱骨外科颈骨折


21.肩锁关节脱位


22.漂浮肩


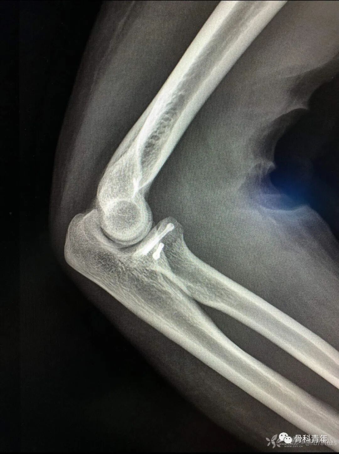
23.尺骨鹰嘴骨折


24.桡骨小头骨折


25.尺桡骨双骨折


26.盖氏骨折


27.桡骨远端骨折


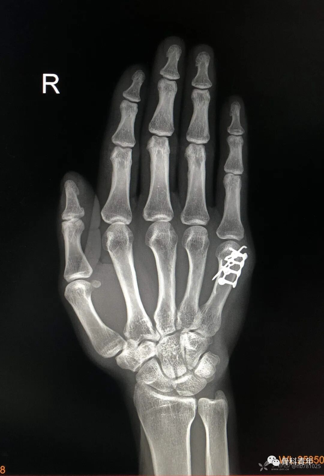
28.掌骨头骨折

友情链接: