首页/骨科小技巧/惊奇的“双开门征”!/
惊奇的“双开门征”!
2024-01-04 10:50:351324浏览
惊奇的“双开门征”!

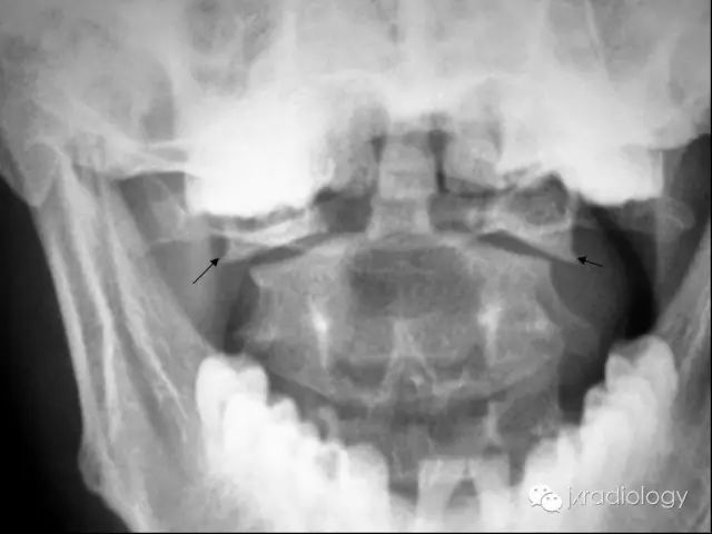
寰椎骨折又名Jefferson骨折(因由Jefferson于1920年首次报道,故此命名)。环形的寰椎遭受轴向压缩和头部向后、下转伸时,暴力经枕骨髁作用于寰椎侧块,并引起寰椎骨环爆裂(散)骨折。寰椎的前弓与后弓双侧骨折,以致侧块被挤压而向四周分离

主要介绍颈椎开口位的X线平片表现:开口位可发现寰椎左右增宽,且与齿突的距离双侧常呈不对称状。如双侧侧方移位总和超过7mm者,则表示寰椎横韧带断裂、寰椎骨折。

正位与齿状突对比似双侧开门样增宽,为此加深记忆,故得此名,如有不妥,敬请谅解(小编)。

友情链接: