首页/足踝/高能量Pilon骨折的治疗策略及手术技巧!/
高能量Pilon骨折的治疗策略及手术技巧!
2024-01-08 10:51:051250浏览
高能量Pilon骨折的治疗策略及手术技巧!


年轻患者中胫骨Pilon骨折经常是毁灭性的高能量关节内损伤,在学术和诊疗中都是一个困难的临床问题。Pilon骨折约占所有胫骨骨折的5%-7% ,是胫骨远端承重面的撞击损伤。最常发生在40岁和50岁的男性中,通过机动车创伤或从高处坠落造成的轴向载荷机制。Destot于1911年首次描述了术语“pilon”,因为损伤机制类似于研钵和“杵”。该创伤常伴广泛的软组织损伤,并增加手术并发症的风险(例如感染、骨不连、畸形愈合等),以及需要二次手术干预,包括翻修手术或截肢。尽管在过去几十年中治疗取得了进展,但长期功能结局显示持续残疾和创伤后关节炎的发生,从而对生活质量产生负面影响。多达50%的患者可能在损伤后4年内发展为创伤后关节炎,Pilon骨折是功能和健康相关结局最严重的肌肉骨骼损伤。


初始处理

1. 临床评估

继发于高能量创伤的胫骨Pilon骨折常伴有头部、脊柱、胸部或腹部的创伤,以及其他肌肉骨骼系统损伤。因此,应按照高级创伤生命支持协议进行初步评估,之后可将注意力转向患肢。在多系统创伤患者中,总体功能结果通常取决于足踝部创伤的适当处理,因此强调在这种情况下尽快提供最佳护理的重要性。高能量胫骨Pilon骨折总是伴随严重的软组织损伤。因此,在手术干预之前,应识别并记录软组织状态、开放性伤口的情况和任何神经血管损伤。虽然不像胫骨平台或胫骨干骨折那样常见,但有记录表明,2%的胫骨Pilon骨折发生了筋膜室综合征。应考虑可能影响治疗计划的患者因素,包括合并疾病、不良社会行为和/或环境以及职业和娱乐活动。尽管一些研究已经证明预防膝下骨折患者深静脉血栓形成没有益处,但临床医生应考虑预防深静脉血栓形成的必要性。


△图示高能量Pilon骨折患者系列一,通常伴有严重的软组织损伤,表现为明显的肿胀和骨折张力性水泡。


△图示高能量Pilon骨折患者系列二,通常伴有严重的软组织损伤,表现为明显的肿胀和骨折张力性水泡。


△图示高能量Pilon骨折患者系列三,通常伴有严重的软组织损伤,表现为明显的肿胀和骨折张力性水泡。


△图示高能量Pilon骨折患者系列四,通常伴有严重的软组织损伤,表现为明显的肿胀和骨折张力性水泡。


△图示高能量Pilon骨折患者系列五,通常伴有严重的软组织损伤,表现为明显的肿胀和骨折张力性水泡。


2. 影像学和分型

高能量胫骨Pilon骨折的初步影像学评估包括膝关节、胫骨和腓骨、足和踝关节的标准正侧位X线片。计算机断层扫描(CT)对于评估和术前规划是必不可少的,但在初始骨骼稳定(例如,外固定)或初步复位已经发生,因为韧带复位可以提高对骨折形态的了解。Rüedi和Allgöwer最初将胫骨Pilon骨折分为3种类型,但最近开发的OTA/AO分型系统仍然是最广泛使用的。一些部分关节内(43 B型)Pilon骨折可能发生在高能量环境中,前方撞击可能预示着较差的结局。然而,大多数高能量损伤构成43 C型(完全关节内)。虽然腓骨骨折与OTA/AO型43 C型相比更常见,但它们似乎不能预测43 C型损伤的严重程度。


△图示Pilon骨折的Rüedi-Allgöwer分型。


△图示Pilon骨折的OTA/AO分型。


△图示胫骨远端骨折的OTA/AO分型。


利用CT扫描对与Pilon骨折相关的主要骨折块进行分类,由此可以制定手术入路。Cole等人评估了38例43C型损伤患者的轴位CT扫描骨折类型,发现所有患者均包含3个主要关节碎片(前部、内侧和后部),标志性粉碎和嵌顿典型地累及胫骨远端中央和前外侧。Topliss等人提出了使用108例患者可进行CT扫描。他们确定了可能发生的8种类型。Leonetti还提出了一种新的基于CT的分类系统。该系统根据关节受累、关节碎片的描述、原发骨折平面和粉碎性分为4种骨折类型。除了评估骨损伤,CT扫描可用于评估周围的软组织包膜。在这方面,Fokin等人回顾了200例43C型损伤患者的CT扫描,发现90.9%的病例有腓骨肌腱移位,86.8%的病例有踝关节后内侧肌腱或胫后神经血管束卡压。如果在手术过程中没有识别或解决,对这些结构的进一步损伤可能会产生有害的结果,并可能影响实现解剖复位的能力。三维CT重建虽然缺乏CT扫描的细节,但提供了一个全局图像,并有助于更可靠的分型和术前计划。


△图示Cole等提出基于轴位CT3个主要骨折块(前部、内侧和后部)。



△图示Pilon骨折的Topliss分型。


△图示Pilon骨折的Leonetti分型。


4. 开放性骨折

高能量胫骨pilon骨折可在12%至56%的患者中表现为开放性损伤,需要及时给予抗生素,必要时接种破伤风疫苗,并进行手术清创,最好在损伤后24小时内。神经血管检查至关重要; 对169例43 C型Pilon骨折的回顾性分析显示Gustilo-Anderson IIIA型和IIIB型骨折更常见于深部感染,尤其是当创伤伤口位于前方或内侧时。在无法完成创伤伤口一期闭合的病例中,可采用负压伤口治疗的临时方法来促进分期治疗。必要时,可采用负压伤口辅料治疗来覆盖伤口,减少水肿,并为闭合准备伤口床。放置抗生素Spacer或抗生素链珠是一个有用的辅助治疗开放性骨折骨缺损的手段。这些用于填充死腔,消毒局部环境,并产生用于移植的血管化包膜(例如,Masquelet技术)。


△图示术中照片提示高能开放性胫骨pilon骨折,前循环血供完全断裂。



△图示术中Gustilo-Anderson III型开放性pilon骨折,清创术后有严重的骨缺损。采用抗生素骨水泥填充,减少微生物感染,实现止血,改善机械结构,维持间隙,诱导生物膜用于延迟植骨。


△图示Pilon骨折术后采用负压伤口辅料来覆盖伤口。


5. 分期治疗技术

采用临时外固定的分期治疗旨在通过牵引和韧带整复来恢复长度和力线,从而维持暂时复位。虽然没有随机对照试验比较分期治疗和早期确定性固定,但一些历史病例系列显示,在高能量Pilon骨折的情况下,采用早期确定性固定有相当大的并发症风险,包括深部感染率高达37% 。随后的几项回顾性研究评估了暂时性外固定的可行性。外固定后再行切开复位内固定术(ORIF),取得了令人鼓舞的结果。其中一项研究回顾性评价了56例43 C型损伤(34例闭合性和22例开放性),这些损伤最初采用临时外固定和延迟最终重建治疗,闭合性损伤平均治疗时间为12.7天,开放性损伤平均治疗时间为14天;闭合性骨折组29例中1例(3.4%)发生骨髓炎,开放性骨折组19例中2例(10.5%)发生深部感染。


△图示一例多发伤和双侧pilon骨折患者接受了外固定治疗。


最近的研究集中在外固定策略的优化上。有限元分析显示,与Mitkovic(单轨)和单侧固定器配置相比,Delta框架在模拟步态过程中的相对微动最低。将前足保持在跖行姿态需要将Schanz针放置到中足或前足中。有趣的是,一项回顾性研究表明,在踝关节外固定中添加第一跖骨固定钉产生的复位丢失率与不使用第一跖骨钉的情况相当。然而,力线的微小变化在临床上的重要程度尚不清楚;外固定是牵引的一种形式,主要目的是保持长度和力线,并保护软组织,直到可以进行确定的手术。


△图示踝关节Delta框架外固定架。


△图示外固定中添加第一跖骨固定钉将前足保持在跖行姿态。


△图示踝关节环形外固定架。


△图示Pilon骨折通过调整踝关节外固定架恢复长度及力线。


△图示Pilon骨折使用外固定架治疗后软组织肿胀消退等待确定性内固定治疗。


预防感染对于高能量胫骨Pilon骨折的成功结局至关重要。最近的几项研究已经检查了最终钢板和外固定针部位的重叠及其与手术部位感染的潜在关系。一项回顾性研究确定了一个患者亚组,该亚组具有明确的钢板和针部位重叠,相应的深部感染率为12%,与无重叠的病例无显著差异。尽管需要进一步的对照研究,但这些研究表明,结构稳定性可以优先于将钉放置在预期内固定区域之外。


确定性治疗的手术入路

外固定,结合或不结合有限内固定,已被提出作为确定性治疗的概念,特别是在患者合并症或大量软组织损伤可能妨碍ORIF情况下。虽然急性确定性切开复位内固定在特定的胫骨Pilon骨折中被认为是可行的,但高能量损伤可能受益于分期入路,如据报道,高能量pilon骨折早期内固定后深部感染发生率较高。相反,一些研究结果可以接受,故提倡早期切开复位内固定。因此,最终治疗倾向于采用单一方法还是分期方法进行手术需根据术者经验和对个体骨折类型的判断。高能量Pilon骨折ORIF的术前计划需要仔细评估骨折类型、分类、软组织状态和患者因素。决定是否进行腓骨切开复位内固定是多因素的(表I)。


△表I  关于腓骨骨折内固定的几点思考。


传统上,Pilon骨折固定的核心原则是固定腓骨以恢复外侧柱长度并帮助复位。

一般来说,应该由负责最终治疗计划的外科医生做出决定,不然会影响最终重建效果。因为不明智的手术方法或复位不良,特别是在粉碎性骨折中,会影响手术效果。


在分期治疗的情况下,如果由确定性治疗的外科医生管理,腓骨固定通常在外固定时进行。


腓骨固定可以使用开放或者经皮技术。

切口规划必须考虑切口之间需要足够的皮肤桥。

腓骨固定可能不会改善整体力线。

据报道,在进行腓骨固定的患者中,植入物移除率较高。

腓骨固定增加外侧柱的稳定性有可能导致胫骨远端骨不连。

一般而言,腓骨固定可以考虑在初始外固定或最终治疗时,但根据骨折情况而定,不是绝对必要的。


Pilon骨折手术的标准前路方法已得到充分描述。后侧入路也有很好的描述,可以在传统固定中发挥补充作用,直接复位和/或固定特定骨折碎片,并松解嵌顿的软组织结构。部分关节(OTA/AO型-43B)的手术入路相对简单,由移位的关节碎片区域决定。完全性关节(OTA/AO型-43C)损伤需要根据原发骨折线的位置以及关节面压缩区域采用个体化方法。已经提出了各种详细描述骨折复位和固定的手术技术。通常,具体的前路切口和肌腱间隔是基于前外侧(Chaput)和内侧骨折块之间骨折线的位置; 通过这些骨折块的间隙可以进入后方和进入压缩区域(图5)。直接内侧入路可用于支撑内侧柱避免内翻塌陷。


△图示Pilon骨折的术中照片,其中Chaput骨块和内侧骨块之间的骨折线被“翻书样打开”,以便于更靠后地接近压缩区域。一旦后侧复位工作完成,将Chaput骨块和内侧骨块复位并进行固定。


一项关于Pilon骨折手术入路的系统综述发现,与后外侧和前内侧入路相比,直接前路和内侧入路的并发症发生率较低,包括伤口并发症和骨不连。在另一项评估手术入路对Pilon骨折术后感染风险影响的研究中,未检测到相关性。已报告的并发症发生率差异可能是由于软组织的状况和血供所致。每种骨折和患者都必须单独考虑,以优化关节复位和软组织愈合。

△图示胫骨远端水平的轴位切口示意图,描绘了标准手术入路的间隔,包括前内侧和扩展前内侧(A)、前外侧(B)、后外侧腓骨(C)、后外侧胫骨(D)、后内侧(E)和直接内侧(F)。


△图示前内侧入路示意图。


△图示扩展前内侧入路示意图。


△图示扩展前内侧入路。


△图示前外侧入路示意图。


△图示前外侧入路。


△图示后外侧入路示意图。


△图示后外侧入路。


△图示后内侧入路示意图。


△图示后内侧入路。


△图示改良后内侧入路示意图。



△图示Donati垂直褥式缝合(a)和Allgöwer-Donati缝合示意图。


外固定和切开复位内固定

通过过去10年发表的临床研究总结,这些研究评价了ORIF或外固定在高能量胫骨Pilon骨折代表性人群中的应用。几项回顾性研究显示了采用各种外固定技术治疗OTA/AO-43 C型pilon骨折的结局。最近的一项系统综述和荟萃分析在5项研究(239例骨折)中比较了ORIF和环形外固定的结局,发现两组在骨不连、畸形愈合、浅表和深部感染以及继发性关节融合方面无显著差异。3项研究显示两种治疗策略的功能结局相似,1项研究显示环形外固定治疗后功能结局评分显著降低。ORIF治疗的创伤后关节炎发生率明显低于外固定; 然而,ORIF治疗的非计划内植物移除率高于外固定。值得注意的是,在该分析中,采用环形外固定架治疗的严重损伤和开放性骨折比例较高。


在最近的一项回顾性队列研究中,Olson等人回顾了401例闭合性OTA/AO 43 C型胫骨Pilon骨折患者,并与急诊24小时内的ORIF与通过分期ORIF比较; 99例患者接受了急性ORIF,与低能量损伤机制或OTA/AO型43 C1骨折模式的患者相比,这些患者往往更年轻,更可能是女性。在该人群中,早期手术似乎不是术后伤口感染的风险增加因素,但高能量创伤、吸烟、男性和患者年龄增加是深部感染的独立预测因素。在另一项研究中,Olson 等人评估了161例Gustilo-Anderson III型开放性、OTA/AO-43C型胫骨pilon骨折患者,术后平均随访2.1年。3A型开放性骨折24小时内的急诊ORIF显示感染率(38%)高于分期治疗的延迟ORIF(20%)。另一项研究评估了73例接受OTA/AO C型骨折初次ORIF的患者,其中63例(86%)在72小时内进行了固定。有趣的是,作者报告初次外固定与延迟ORIF相关的感染率较高。虽然需要前瞻性随机研究,但回顾性数据似乎表明,一部分患者可以在个体化的基础上接受急诊ORIF治疗。


重要的是要强调,Pilon骨折治疗后的长期结果往往是谨慎的,因为预期的创伤后关节炎和功能下降的发展。据我们所知,评价高能量胫骨pilon骨折治疗后结局的证据等级最高的研究是Pollak等人的II级回顾性预后研究。在他们的研究中,80例患者在手术后2-5年(平均3.2年)接受了评估;大多数患者(74%)为OTA/AO-43 C型损伤,采用ORIF或外固定(伴或不伴有限内固定)治疗。末次随访时的平均年龄为44岁(范围19-72岁),患者在SF-36一般健康评估中的得分显著低于年龄和性别匹配的对照组;最低的领域是由于身体健康造成的残疾。临床上,35%的患者报告踝关节僵硬,33%持续疼痛,29%持续肿胀。在受伤前就业的患者中,43%在随访时没有就业,其中大多数(68%)报告说,受伤使他们无法工作。多变量分析显示,有2种合并症、已婚、没有高中文凭、个人年收入<25,000美元或接受外固定治疗与不良结局相关。


△图示高能开放性OTA/AO型-42C3胫骨Pilon骨折一例。获得了解剖复位,但由于严重的软骨损伤,但由于严重的软骨损伤,预后不佳。


Boraiah等人回顾性评价了59例开放性胫骨Pilon骨折患者,采用分期方式进行初始跨踝外固定,随后延迟ORIF治疗。患者平均年龄47岁,术后平均随访34个月;几乎所有损伤(97% [57/59])均为OTA/AO 43 C型。52例患者在平均14周的时间进展至愈合,确定了2例深部伤口感染和3例浅表伤口感染。最终随访时平均Mazur评分为44.8,大多数(62%)患者的评分较差。虽然对于年轻和健康的患者,通常采用切开复位内固定后的临时外固定,但这些结果仍然令人担忧。



△图示Pilon骨折合并跟骨骨折。跟骨骨折的初始经皮复位和螺钉固定,而Pilon骨折初始采用临时外固定架和外踝骨折的钢板固定。二期Pilon骨折切开复位并予以钢板固定。


确定性治疗的替代策略

1.  微创接骨板固定术(MIPO)技术

MIPO技术由于具有减少软组织包膜手术创伤的优势,可降低伤口感染、破裂和坏死的风险,因此受到越来越多的关注。这些技术中的大多数涉及较大关节碎片的存在无实质性压缩;它们不常用于高能量损伤的情况下,其中复位的质量可能是一个问题,并且经常需要开放的方法。在1项研究中,不同的OTA/AO骨折类型,那些复位>2 mm的台阶更可能有较差的结果;然而,作者在他们的分析中没有考虑骨折的严重程度,这可能是一个潜在的混杂因素。


在Pilon骨折大量累及关节面的情况下,MIPO技术可能最适合于关节面开放解剖复位后跨越干骺端粉碎的情况。在这方面,已经描述了前路ORIF和内侧MIPO的组合,在回顾性病例系列中获得了良好的结果。关节镜辅助复位技术,包括取出不适合重建的小关节碎片,也已被描述,并需要进一步研究。需要进一步的工作来改进MIPO技术,包括优化复位和减少软组织并发症的方法。


△图示内侧微创入路。


△图示利用双反牵引MIPO技术治疗Pilon骨折。

2.  一期融合

考虑到高能量Pilon骨折的短期和长期预后,替代治疗有被提议。这些损伤可能与严重的不可逆软骨损伤有关,保踝治疗并不总是可取的。在某些情况下,可以根据患者和损伤因素考虑进行急性初次关节融合术。已经描述了几种初次关节融合术的方法,包括刀片钢板固定、后足髓内钉固定、环形外固定和钢板内固定。

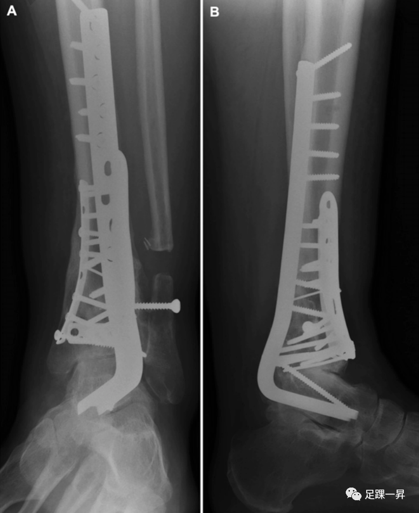
一项回顾性研究显示,在16年的时间内,使用后路刀片钢板对20例OTA/AO型43 B和43 C骨折进行踝关节融合术后的结果,其中17例患者的平均年龄为39岁,至少随访2年。影像学愈合平均132天,所有患者均报告在末次随访时无需辅助装置即可行走。1例患者出现骨不连,需要翻修。Bozic等人报告了类似的结果。

△图示一名Pilon骨折患者接受了解剖复位和内固定,但随后出现关节炎,使用刀片钢板进行胫距关节融合术。


后足TTC髓内钉钉固定术也是下肢严重创伤后关节融合术的一个可行选择。在破坏性后足创伤性损伤中,它可能比更传统的关节融合术结构具有潜在的优势。理论上的好处包括微创插入和减少伤口并发症的可能性;缺点是距下运动的固有限制。多发性创伤和严重胫骨平台损伤的患者可能受益于放置后足髓内钉作为负荷分担装置,允许早期活动。低需求的患者合并疾病,如糖尿病和血管病,是这种微创稳定技术的理想候选人,以限制伤口愈合受损引起感染并发症的风险。

△图示一例开放性Pilon骨折,伴有严重的不可逆软骨损伤。最终治疗采用急性关节融合术,使用胫距跟钉结合腓骨植骨融合。


减少并发症的新兴技术

最近的相关研究集中在辅助策略,以尽量减少高能量Pilon患者的并发症。急性和慢性医学问题的优化(例如血糖控制),确保足够的营养,以及改变消极的社会行为(例如吸烟),这些应认为是最重要的。对于采用分期外固定支架治疗的患者,最佳时机是在等待最终固定时。已经研究了使用万古霉素粉末作为减少高危骨折(包括Pilon骨折)手术部位感染的一种手段。在一项I级、前瞻性、随机临床试验中,接受万古霉素粉末的患者发生革兰氏阳性深部手术部位感染的比例更低。Qadir等人在一个相似的患者人群中得出了相似的结论。因此,在胫骨Pilon骨折确定性固定时添加伤口内万古霉素粉末可能是一种低感染的预防措施,但应谨慎使用,因为高浓度万古霉素会损害骨生成。


还研究了高流量吸氧(FiO2)在减少手术部位感染中的作用。最近的一项I级、多中心、双盲、随机对照补充氧气试验评估了在术后恢复室给予80% FiO2长达2小时的1136例下肢损伤(包括Pilon骨折)患者的效果,包括高感染风险(例如,开放性骨折、需要筋膜切开术的患者和/或延迟超过3天的确定性治疗),其中1006例患者在术后182天进行了评估。与接受30% FiO2的对照组相比,实验组的总体手术部位感染率较低。需要进一步评估较高FiO 2的临床有效性和成本效益及其在减少浅表手术部位感染方面的明显效用。


结论

高能量Pilon骨折是一种极具破坏性的损伤,其功能和总体疗效通常较差。对于大多数高能量Pilon骨折,采用分阶段治疗,先一期外固定后再二期切开复位内固定是首选的治疗策略。根据临床判断,在特定的病例中可以采用替代治疗方法,如急诊ORIF、确定性外固定、MIPO技术和一期关节融合术。使用万古霉素粉末减少手术部位感染可能是有益的。


△表V Pilon骨折的治疗建议以及对其建议的推荐等级。推荐分为A、B、C和I四个等级,代表不同程度的证据等级支持或反对相关行为。


在高能Pilon骨折中,大多数病例应采用暂时性外固定,然后延迟内固定的分期治疗。推荐等级 B

为了帮助术前计划,应在急诊确定性固定前或应用临时外固定器后进行CT扫描。推荐等级 B

外固定架螺钉应放置在生物力学稳定性需要的地方;避免放置在最终钢板固定区域是最佳的,但不是完全必要的。推荐等级 C

对于被认为无法通过重建挽救的关节损伤患者,可以考虑一期关节融合术。推荐等级 C

在以延迟或分阶段方式治疗的病例中,等待的时间段可用于优化患者的合并疾病状况、营养状况和负面社会行为。推荐等级 I

在高能量Pilon骨折中,可以考虑术中切口内使用万古霉素粉末来帮助预防革兰氏阳性感染。推荐等级 B


友情链接: