首页/创伤/经验分享:“万能克氏针”之针人针事!/
经验分享:“万能克氏针”之针人针事!
2024-01-10 11:12:455137浏览
经验分享:“万能克氏针”之针人针事!

克氏针可以说是骨科界的“万能之王”,它可以作为临时固定,永久固定,也可以当做阻挡针,导向器,撬拔复位工具等等。


尤其是手外科和创伤骨科医生,几乎每一台手术都需要用到克氏针,克氏针的使用已成为一种日常。


今日分享克氏针在骨科领域的临床应用:


病例1,第5掌骨基底骨折,闭合复位克氏针支架,无需石膏,门诊手术,术后即刻恢复正常工作。

病例2,第4掌骨螺旋型骨折,经皮撬拔,克氏针支架。

病例3,新鲜舟骨骨折,经皮Herbert钉

病例4,新鲜舟骨骨折,经皮Herbert钉

病例5,开放性第3、4掌骨骨折,隔山打牛,克氏针支架。

病例6,开放性第2345掌骨骨折,克氏针支架

病例7,开放性掌骨,指骨骨折,克氏针内固定

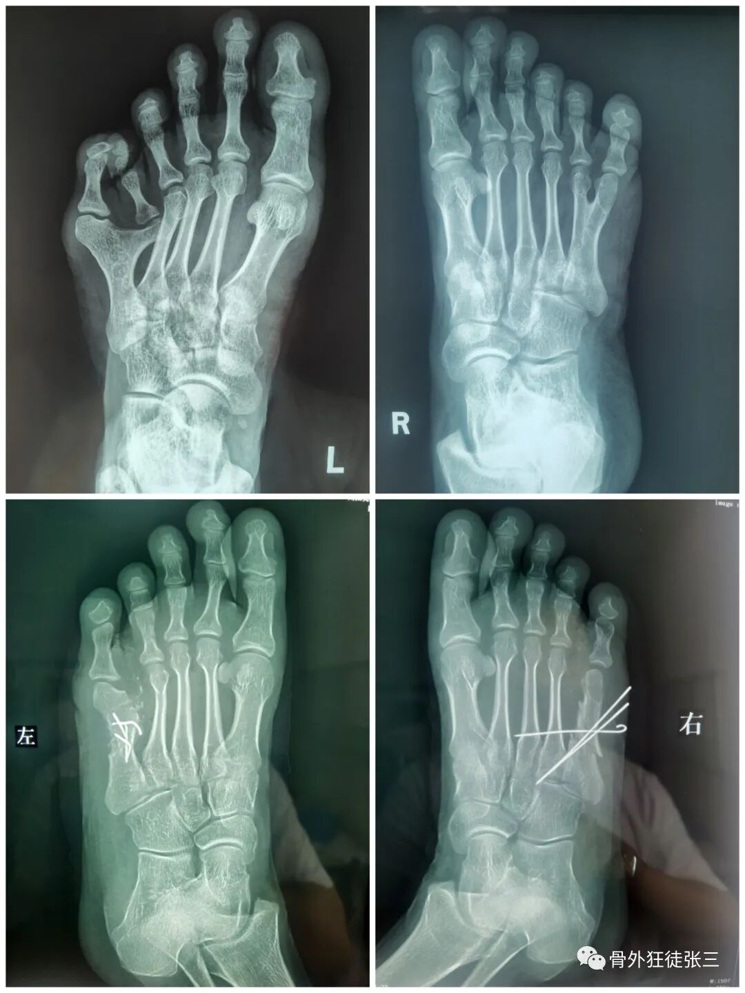
病例8,第234跖骨骨折,闭合穿针

病例9,第4掌骨螺旋骨折,指骨骨折,闭合复位,克氏针支架。

病例10,断指再植,克氏针固定

病例11,第45掌骨基底部骨折、脱位,克氏针支架固定

病例12,严重开放性手外伤保肢,克氏针固定。

病例13,拳击手骨折,克氏针支架,无需石膏,不影响工作。

病例14,儿童髁上骨折零切开,桡侧三枚针发散固定

病例15,儿童髁上骨折零切开,

病例16,儿童髁上骨折零切开

病例17,低位髁上骨折零切开

病例18,第一掌骨基底部骨折,闭合复位,克氏针支架

病例19,第一掌骨基底部骨折,离合复位,克氏针支架

病例20,陈旧性第5掌骨头骨折,畸形,闭合复位,克氏针支架

病例21,指骨粉碎性骨折,闭合复位克氏针

病例22,陈旧性第5掌骨骨折,畸形,闭合复位克氏针支架

病例23,严重复杂手外伤,多发骨折,克氏针固定

病例24,低位髁上骨折零切开,闭合复位克氏针发散固定

病例25,开放性粉碎性指骨骨折,克氏针固定

病例26,严重复杂手毁损伤保指

病例27,严重复杂手毁损伤,保指

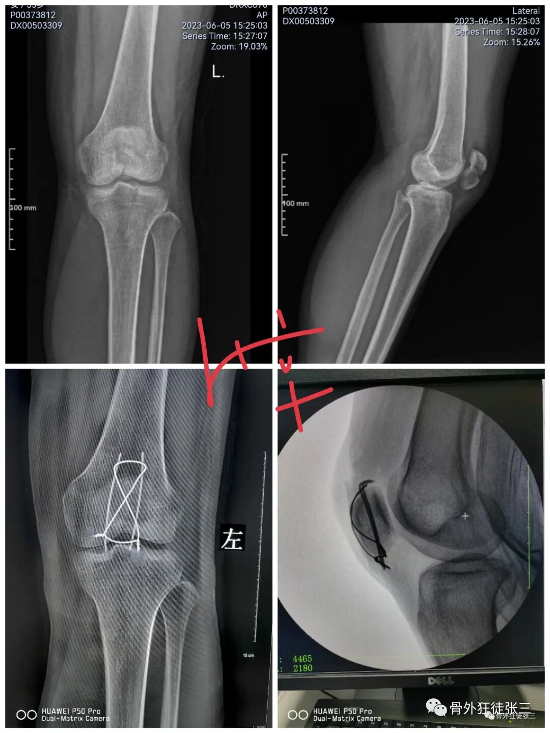
病例28,髌骨骨折,克氏针张力带

病例29,双内踝骨折,克氏针张力带

病例30,股骨干骨折,重建髓内钉,克氏针阻挡针,

病例31,儿童髁上骨折零切开,闭合复位克氏针

病例32,第345掌骨开放性骨折,克氏针髓内+克氏针支架

病例33,开放性Lisfranc损伤+第2345跖骨骨折脱位

病例34,掌骨、指骨粉碎性骨折,闭合复位克氏针

病例35,3型儿童髁上骨折零切开,闭合复位克氏针

病例36,儿童内髁骨折,闭合复位克氏针

病例37,儿童髁上骨折零切开,闭合复位克氏针

病例38,儿童髁上骨折零切开,克氏针发散固定

病例39,多指切除,矫形。

病例40,指骨ilon骨折,牵引,撬拔复位,克氏针

病例41,伸肌腱止点撕脱骨折,石黑法,阻挡克氏针

病例42,人工股骨头置换术后感染,spacer置入

病例43,严重开放性手外伤,克氏针内固定

病例44,股骨转子间骨折,克氏针临时固定

病例45,骨髓炎病灶清除,克氏针+抗生素骨水泥(钢筋水泥)支撑

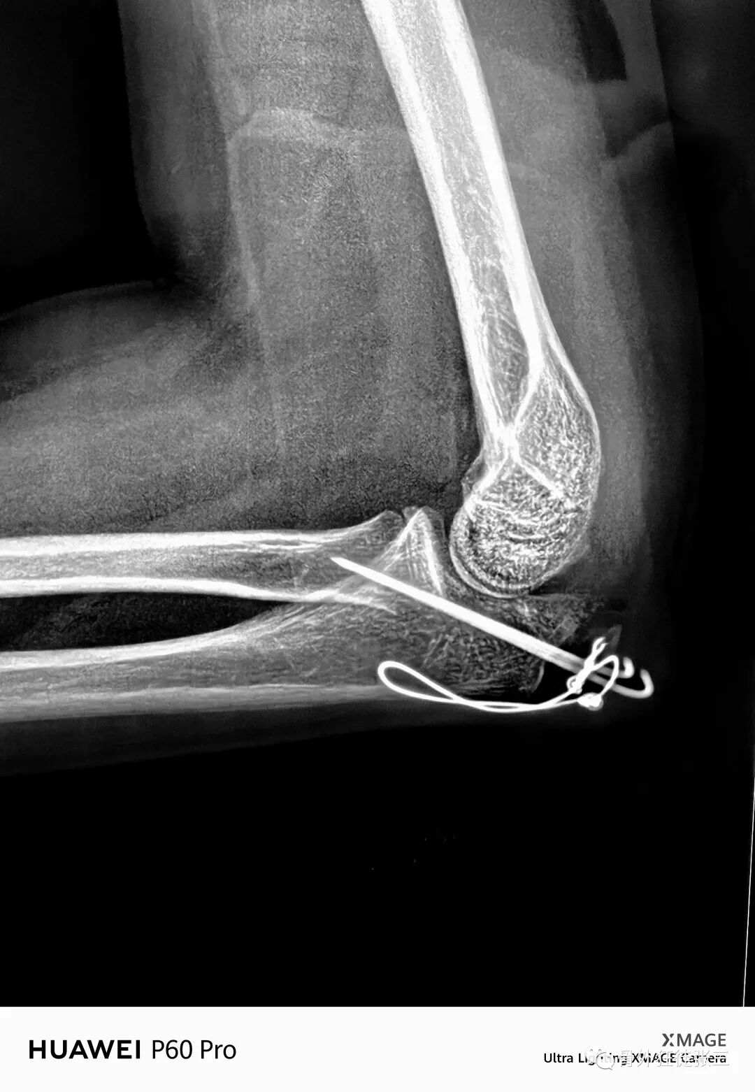
病例46,尺骨鹰嘴骨折,克氏针张力带

病例47,开放性踝关节骨折,二期内踝克氏针内固定

病例48,多发跖骨骨折脱位,克氏针

病例49,陈旧性月骨脱位,克氏针固定

病例51,伸肌腱止点撕脱骨折,石黑法演示

病例52,高位髁上骨折零切开,闭合穿针

53,儿童髁上骨折零切开,交叉针

54,开放性肱骨近端骨折,清创,克氏针支架

病例55,髌骨横行骨折克氏针张力带

病例56 ,创伤性足下垂,肌腱转位+克氏针牵张

简单整理下,这么多功能和病例,万能克氏针,针,名不虚传。

友情链接: