首页/关节/多孔钽重建髋臼缺损在髋关节翻修中的应用/
多孔钽重建髋臼缺损在髋关节翻修中的应用
2024-01-10 11:15:02852浏览
多孔钽重建髋臼缺损在髋关节翻修中的应用

骨溶解和无菌性松动仍然是翻修全髋关节置换术的主要适应症。全髋关节置换术髋臼翻修后的骨缺损是一个具有挑战性的问题,主要原因是骨固定不理想。自20世纪70年代以来,骨移植与骨水泥髋臼组件固定已成为骨缺损的标准治疗方法。然而,经过10年的随访,这些类型髋臼翻修术的失败率很高。类风湿关节炎、骨水泥不完全和髋臼杯位置升高是髋臼假体松动的危险因素。

髋臼缺损-多孔钽

在髋关节翻修过程中大约25%的患者要单独翻修髋臼假体,而大约50%的患者要同时翻修髋臼假体和股骨柄。髋臼假体翻修时常常会遇到髋臼的骨缺损,如何合理处理髋臼骨缺损从而获得正常的髋关节旋转中心和髋臼假体的初始稳定性是一个棘手的难题。髋臼缺损的重建在全髋关节置换术(THA)中是具有挑战性的。实现假体的压合、骨缺损的桥接和髋关节旋转中心的恢复是成功翻修手术的目标。

为了实现这些目标,采取了不同的策略。对于有小缺损的患者,使用合适的外壳可以获得足够的稳定性。巨型部件可用于实现较大椭圆缺陷的稳定性。其他策略包括使用同种异体移植物与骨水泥壳、环或cage、高旋转中心的壳。然而,初级稳定性不足和宿主-骨接触小于50%会阻碍骨固定并导致早期失败。多孔钽金属(TM)的替代新技术已被证明是翻修THA中髋臼大缺损重建的可靠方法。这些植入物具有高孔隙度;摩擦系数高;弹性可与软骨下骨相媲美。多孔钽增强物是结构同种异体移植物的良好替代品,因为它们能够提供生物固定,重建容易,并且可靠地抵抗骨折或失败。

影像学资料

充分显露后,仔细摘除髋臼假体。去除髋臼不规则和残存的假体周围膜,取5个样本进行微生物学检查。根据Paprosky分类对髋臼缺损区进行分类。在髋臼内放置试验性壳或半球形铰刀,根据残存的缺损区选择合适的扩大器,以确定假体的最佳大小和位置。在初步稳定性和最大限度地增加宿主骨接触方面对试验性构建进行了评估。术中使用透视检查以确保正确的定位。髋臼和外壳之间至少60%的接触被接受为可接受的下限。假体植入后用螺钉固定后。

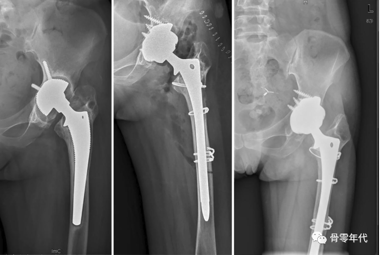
使用多孔钽假体(左髋关节)重建Paprosky IIB缺损的X线片:a)术前和b)术后10年的正位X线片。

应用多孔钽假体重建Paprosky 3A缺损术的一例(左侧髋关节)的X线片:术前(左)、术后(中)和10年后(右)的正位X线片

加强螺钉固定

在复杂的人工全髋关节翻修术中,使用多孔钽TM壳和加强物重建髋臼缺损的技术已经提供了越来越多的证据,证明了已发表的系列报道的良好的早期和长期结果。近年来,Mohammed 越来越多地使用这种技术,虽然这项研究是在中期(平均6.25年)进行的,但它也显示了良好的结果,到目前为止还没有种植体失败的报告。这些结果与类似研究的结果一致,例如Eachempati等人报告的优秀结果(41个髋关节),平均3.3年,没有发现种植失败,存活率为100%。Flecher等人(51个髋关节)也报告了在仅将无菌性松动定义为终点时,5.3年存活率为100%。詹金斯等人58个髋关节在至少5年的随访中报告了97%的假体存活率,其中2个失败病例,其中1个发生在术前帕金森病患者,5个术前帕金森病患在TM壳和骨之间显示透射线,并被认为有进一步翻修的风险。Lochel等人(53个髋关节)也报告了10年随访时92.5%的假体存活率,有两个失败发生在骨盆不连续(骨盆不连续是指由于骨折或其他原因导致的骨丢失使髋臼上、下方连续性中断,即髋臼上方的髂骨与下方的坐骨、耻骨分离)的患者中。Abolghasemian等人(34个髋关节)报告了3个假体无菌性松动,其中两个发生在帕金森病患者术后5年。

Lochel等人和Jenkins等人的发现。其结论是,对于无骨盆不连续的缺陷,TM外壳和增强技术显示出最好的结果,而没有骨盆不连续的Paprosky 3型缺陷似乎是该技术的最佳适应症之一。获得可靠的种植体初始稳定性对于骨整合、改善骨生长和防止种植体失败非常重要。Jenkins等人建议,所有的外壳和加固物都应该始终用多向螺丝固定,即使表面上有良好的初始稳定性,加固杯界面也应该被粘合。Lochel等人报告了两次无菌松动失败,原因是初始固定不良,壳体未用螺丝固定。Jenkins等人还报告了一例失败的病例,其中没有进行贝壳的螺钉固定和贝壳-增强界面的增强和水泥固定。

Siegmeth等人报告说,如果没有用水泥或螺丝固定外壳-增强界面,潜在的微小运动可能会导致碎片的产生。然而Beckmann等人的发现表明,对骨水泥壳体-增强物界面进行额外的螺钉固定并不会导致更大的初始稳定性。另一种选择,如巨型(超大)杯,重建cage,带同种异体骨的胶合壳,结构同种异体骨和高位髋关节中心的壳,在某些程度的缺损中显示出满意的结果,但都有缺点。现成的cage不能提供生物固定,不可能在七到十年内长入并有松动的风险。Beckmann等人对文献进行的系统回顾表明,对于包括骨盆不连续在内的所有类型的缺陷,多孔钽松质金属的植入失败率在统计学上显著更低。使用超大(巨型)髋臼假体可能需要扩髓前柱,因为髋臼的前后径小于超下径,这可能导致髂腰肌腱撞击和初始稳定性不足。同种异体植入和结构性同种异体移植物有移植物吸收、植入物移位、髋臼骨折和疾病传播的风险。

总结

翻修全髋关节翻修术中使用TM外壳和加固物重建大型髋臼缺损后,临床和放射学结果良好。帕金森病患者应考虑其他治疗策略。所有患者均推荐使用螺钉固定外壳和加强物。

友情链接: