首页/骨科精读/Masquelet 技术:骨缺损修复新选择!/
Masquelet 技术:骨缺损修复新选择!
2024-01-26 10:34:332911浏览
Masquelet 技术:骨缺损修复新选择!

1986年,MASQUELET 发现了一种修复骨缺损的方法,即 Masquelet 技术,又称诱导膜技术,是目前解决大段骨缺损的有效的手段之一。

(1)带血管蒂的骨移植不足:对术者显微操作要求高,同时存在受区应力性骨折和供区疼痛等并发症;而局部血管蒂转移技术受血管蒂长度的限制。

(2)Ilizarov 技术是目前治疗大段骨缺损的金标准不足:但其仍存在病程长、外架固定不便于康复及护理、针道感染、不愈合率高、再生骨易骨折、对接点骨不连接等。

第一阶段

彻底清创、大刀阔斧标准:骨端出现新鲜渗血  

骨水泥(Spacer)置入;完全占据髓腔;形成异物刺激-炎症反应-诱导膜

外支架临时固定 ;软组织无张力缝合(可能需要皮瓣技术)

第二阶段(6-8w)

仔细显露诱导膜;锐性切开并剥离,取出骨水泥(Spacer)

用心呵护, “她”的存在,才是未来的希望

植骨(自体松质骨、同种异体骨、BMP)

缝合诱导膜,置入内固定注意内固定系统的放置,尽量减少对诱导膜的干扰

见证奇迹的发生

成骨机制

究竟发生了什么?我们还能够做什么?植骨的准确节点如何把握?

人类活体标本实验

N=14骨缺损大于5cm实施Masquelet技术观察病理切片、诱导膜上培养骨髓干细胞检测ALP活性、PCR分析IL-6、VEGF、Col-1基因表达

微观异物炎症反应----巨噬细胞出现越靠近骨髓腔,炎症反应越明显

富血管化炎症诱导膜内形成血管内皮细胞富血管化是肉芽组织形成的关键

时限变化成熟纤维组织形成血管微循环明显减少------老化

膜内成骨StageII 植骨后出现软骨内成骨与膜内成骨并存,以膜内成骨为主

诱导成骨分泌成骨因子直接影响微血管再生长和成骨效能

成骨活性一个月成骨活性最显著Stage II 植骨的最佳时机 

典型病例

53y  M  车祸损伤左侧胫腓骨远端开放性粉碎性骨折Gustilo IIIB;AO 43-C3

Stage I清创、外支架固定

  • 骨缺损6cm  
  • 软组织缺损 
  • 距骨关节面外露

带抗生素骨水泥旷置游离股薄肌瓣覆盖

术后复查外支架维持稳定Spacer位置理想力线良好

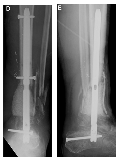
处理流程

  • 细菌培养:金黄色葡萄球菌
  • 敏感抗生素使用2个月(环丙沙星)
  • 复查WBC 、CRP、ESR
  • 8W后,炎症指标正常、创面修复,骨扫描检测(-)
  • 外支架拆除改石膏固定

Stage II取出Spacer   混合材料植骨    仔细缝合软组织覆盖良好

髓内钉内固定踝关节融合

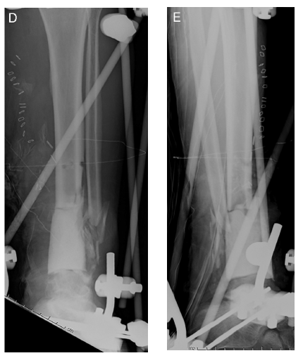
技术改进Stage I   直接使用内固定

长节段骨缺损使用Cage作为局部植骨支架

17cm骨缺损

要点与注意事项

(一)清创

膜诱导重建需要以彻底清除病灶为前提,包括去除死骨、肉芽、内固定等异物。配合清创手术以控制感染的措施还包括消灭死腔、留置引流、骨折固定、局部抗生素和软组织覆盖。

成功的清创手术需要同时达到以下目的:①通过彻底清创降低细菌负荷,配合全身和局部的抗生素控制感染;②骨重建区充分的软组织覆盖,为二次手术创造条件;③坚强固定,避免内植物松动损害诱导膜的新生血供。缺乏血供或者无血供的死骨片均应在术前计划中去除,避免成为感染复发的根源。对难以判定的病灶骨,需要结合后期骨重建的难度进行保留,如桥接骨片应尽最大可能保留。

(二)植骨时机

膜诱导需要大量的自体骨进行重建,而感染会导致骨吸收并最终导致手术失败。在非感染性骨缺损重建病例中,一般认为术后6~8周时诱导膜血管化程度及分泌的促骨修复因子含量最佳,包括血管内皮生长因子(vascular endotheli-al growth factor,VEGF)、骨形态发生蛋白-2(bone morphogen-ic protein-2,BMP-2)、转化生长因子-β(transforming growth factor beta,TGF-β),是最佳的植骨时机。对感染性骨缺损病例,一般是在清创术后2个月,如局部软组织修复良好,复查白细胞计数、红细胞沉降率、C反应蛋白无一致性增高,且能除外感染时可考虑二期手术。植骨术中需要再次行快速冰冻检查,如无急性炎症则可考虑植骨[27]。其中自体骨是最佳的骨移植材料,通常取自髂骨,颗粒大小为3~5 mm3。但由于自体骨来源有限,所以在膜诱导二期植骨时可采用自体骨或异体骨相结合的办法。对节段性骨缺损应用明胶海绵作为植骨中心可有效减少植骨量。文献报道,采用膜诱导与骨搬移相结合的办法,既可发挥膜诱导的优势又可节约骨源。

(三)诱导膜

诱导膜紧贴在骨水泥表面,肌肉组织以下,其作用在于机械包裹松质骨,隔离软组织并提供丰富的血供。术中应全层切开,避免过多分离诱导膜上方的肌肉及皮下组织,减少对其血供的损害(图4)。因此,诱导膜内丰富的血管和其完整性均非常重要[31]。为了减少骨不连的发生,诱导膜通常需要超过骨折端2 cm以上。一期清创术后骨折端需使用骨刀磨除骨皮质,并用骨水泥包裹。感染性骨缺损清创术后通常使用外固定架固定,但外固定架易松动可能会影响骨移植区诱导膜的血供。Yu等[32]报告清创术后采用抗生素骨水泥被覆钢板固定,可达到坚强固定与控制感染的目的。二期手术去除骨水泥时,应注意保护诱导膜的完整性,避免过度牵拉和使用过氧化氢清洗伤口;内固定钢板尽可能置于诱导膜外,以减少其产生的遮挡效应,通常采用的方法是在切口的前方或后方置入钢板(图5),以减少钢板下方的骨吸收。由于移植骨在获得影像学骨愈合后仍然还有较长的皮质化塑形期[33],所以长期使用外固定架固定易出现钉道感染和外固定架松动,不利于移植骨的塑形[34]。Wang等[35]和Luo等[36]在二期重建时均主张使用内固定。抗生素涂层髓内钉在局部释放抗生素杀灭细菌,同时能减少植骨量和维持肢体的长度[37]。

图4 术中应全层切开,避免过多分离诱导膜上方的肌肉及皮下组织,减少对其血供的损害

图5 二期手术去除骨水泥时,应注意保护诱导膜的完整性;内固定钢板尽可能置于诱导膜外,通常在切口的前方或后方置入钢板

(四)抗生素的使用

术前预防性应用静脉抗生素,同时术中配合使用局部抗生素,可增大抗菌谱的范围。文献报道,对于急、慢性骨髓炎,抗生素推荐使用的时间为4~6周,但具体到不同部位和疾病所致的骨髓炎,抗生素使用时间尚无定论。Rod-Fleury等在总结抗生素治疗骨感染的经验中发现,超过6周的静脉抗生素治疗并不比应用抗生素不足3周的患者具有更好的炎症控制率。Haidar等指出术后应用4~6周的静脉抗生素缺乏有力的证据支持。由于清创术中已使用了局部缓释的高浓度抗生素,所以彻底清创术后使用2周的抗生素治疗,也能取得满意的效果。

并发症与预防策略

(一)感染复发

感染复发分为一期术后复发和二期植骨术后复发。一期术后感染复发又分为急性和慢性两种。急性术后感染复发指在伤口愈合以前出现的复发。这部分病例起病急,再次手术通常能找到明确的遗留病灶或因骨折固定、死腔处置、留置引流或局部抗生素使用而导致感染的问题。这些复发病例只能再次进行清创处理。一期术后的慢性复发指在伤口愈合后植骨以前出现的复发。如果复发是因骨水泥外露而导致,则只能再次行清创手术;如果只是伤口渗液,无论是形成还是未形成窦道,则可继续等待,并参考植骨的指征进行处理。

相对一期术后复发,二期术后感染复发的处理显得更加的棘手。因此,判断是否达到植骨的指征非常重要。二期植骨术后感染复发通常表现为渗液,其中一部分病例通过延长抗生素的使用时间可以得到控制;而对未能获得控制并转变为慢性感染的病例,继续使用抗生素无法达到治疗目的。一般需等待6~9个月获得骨愈合后,去除内固定并清创,保留大部分有活力的骨块以减轻重建压力。如果清创术后形成较大的骨缺损,则需要重复一期手术过程。

(二)延迟愈合与骨不连

为避免骨不连的发生,要求抗生素骨水泥包裹骨缺损断超过2 cm;同时二期植骨过程中骨折端需要去皮质化,诱导膜腔内充分植骨(图6)。自体骨的使用比例通常不低于总量的2/3,辅助材料可以是同种异体骨或硫酸钙。一般而言,来自成年人双侧髂后上棘的自体骨在不添加其他材料的情况下,能重建10~12 cm的胫骨或股骨缺损。因术后发生骨不连可能与自体骨的使用比例和植骨量有关,故为避免骨不连的发生,应当增加自体骨的使用比例,并充分植骨。

图6 诱导膜直径超过骨组织的直径,充分包裹骨折断端,植骨材料完全覆盖去皮质化区域,以增加与骨折端的锚合

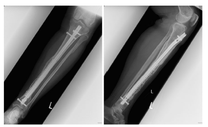
膜诱导重建可加速骨愈合,患者术后早期可完全负重。虽然不同文献报道膜诱导重建术后骨愈合时间不一,但影像学检查示骨愈合时间一般为4~8个月。Yeganeh等研究发现,年龄、骨缺损长度和感染时间均对骨缺损修复无影响,但可能与植骨材料中自体骨的含量过低、骨折固定方式、低毒力细菌感染等相关。当膜诱导重建过程中发生骨延迟愈合后,不要急于外科干预,可指导患者行负重训练,其中一部分患者可在骨移植术后1~2年缓慢愈合(图7)。当内固定已失效或等待时间超过2年时,可考虑再次手术干预。

图7 膜诱导重建过程中发生骨延迟愈合,可行负重训练,其中一部分患者可在骨移植术后1~2年缓慢愈合 A,B 膜诱导重建术后1年正、侧位X线片示植骨区成骨不全,近端发生骨不连 C,D 术后2年,正、侧位X线片示移植骨塑形良好

(三)内固定断裂

内固定发生断裂通常是因固定方式不当、负重时间过早或骨不愈合导致。术后负重是在观察到骨痂形成后再扶双拐逐渐负重行走,通常为术后2个月前后。

对于超过5 cm的长节段骨缺损,单纯使用一块钢板或者髓内钉固定均需要面临很大的骨不连或内固定断裂风险。因髓腔和髓内钉之间的间隙,会造成骨折端与髓内钉间的微动,故预防的措施是在髓内钉固定的同时在诱导膜外辅以小钢板固定。

总之,膜诱导技术是一种基于重建的骨感染治疗新方法,其优势体现在清创与重建兼顾,不单纯依赖抗生素治疗感染,转变了骨感染的治疗策略。清创术后使用内固定、缩短抗生素治疗时间均从不同程度减少了患者的痛苦,为患者的快速康复创造了条件。但膜诱导技术在骨感染领域还存在许多不明确的地方,比如局部抗生素的添加比例,二期重建的手术指针,都值得今后的进一步深入研究明确。

友情链接: