首页/创伤/手术技巧:髓内钛笼联合钢板治疗肱骨近端骨折!/
手术技巧:髓内钛笼联合钢板治疗肱骨近端骨折!
2024-02-21 16:10:071466浏览
手术技巧:髓内钛笼联合钢板治疗肱骨近端骨折!

肱骨近端骨折是上肢常见骨折,在老年患者中常合并骨质疏松和低骨质量。对于三部分、四部分、移位骨折、肱骨头劈裂骨折、骨折合并脱位的患者手术治疗效果远优于保守治疗。

常用的手术方法包括:切开复位内固定、髓内钉、半肩置换、反肩置换等。切开复位内固定的并发症常见,其中之一是肱骨头缺血性坏死(avascular necrosis)。Hertel等人研究发现肱骨解剖颈骨折、与肱骨头相连的的内侧距<8 mm或内侧铰链移位,与肱骨头缺血阳性预测值97%相关。其他研究报道,复杂肱骨近端骨折术后肱骨头坏死率约为35%。肱骨近端锁定钢板术后并发症发生率约为21~43%,包括复位丢失、螺钉切出和肱骨头坏死。目前腓骨髓内移植或1/3管形钢板辅助固定常用来增强和维持复位。然而,最新研究发现,是否移植腓骨增强其失败率相似。

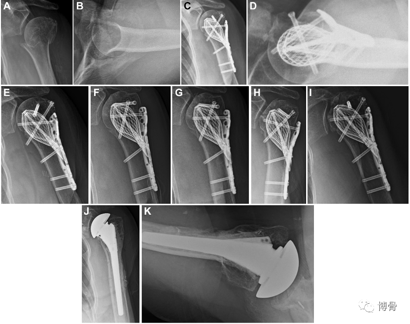
近年来,髓内钛笼技术(cage)逐渐用于肱骨近端骨折的治疗,可在透视引导下置入到肱骨头的中心,其可提供髓内固定,较大的表面积可预防复位丢失。并且可允许螺钉穿入钛笼,不影响钢板的放置。最新研究发现,使用钛笼增强具有高愈合率和低并发症发生率。下面以图为例展示。

肱骨近端三部分骨折,骨折复位后置入钢板,拧入远端锁定螺钉,经扩髓器扩髓后置入钛笼并展开,随后拧入近端锁定螺钉,1年随访骨折愈合良好。

47岁女性术后肱骨干骨折,经更换长钢板后骨折愈合

肱骨近端三部分骨折,术后1年肱骨头坏死,行半肩置换

该技术也非十全十美,应根据病人具体情况选用合适的治疗方式。

友情链接: