2021-09-16 14:41:12703浏览
“四踝”骨折,如何选择内固定顺序及方式?
手术技巧
① 四踝骨折示意图:1.内踝;2.外踝;3.后踝;4.胫骨前结节(前踝)。

② 四踝骨折典型病例图。

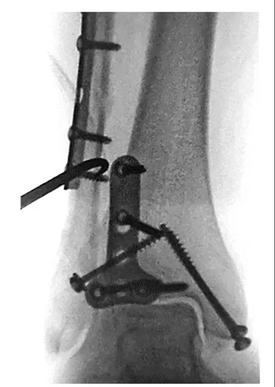
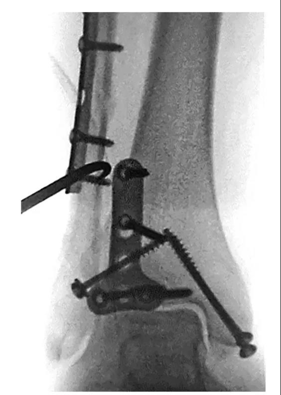
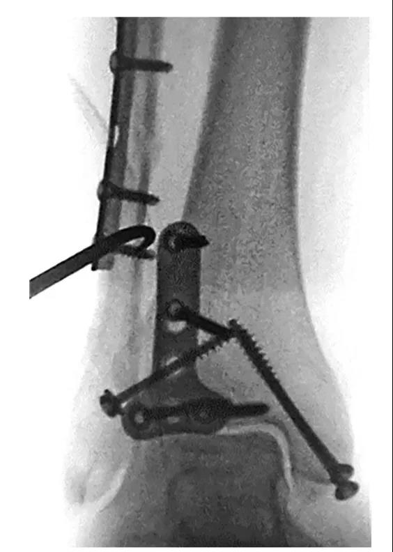
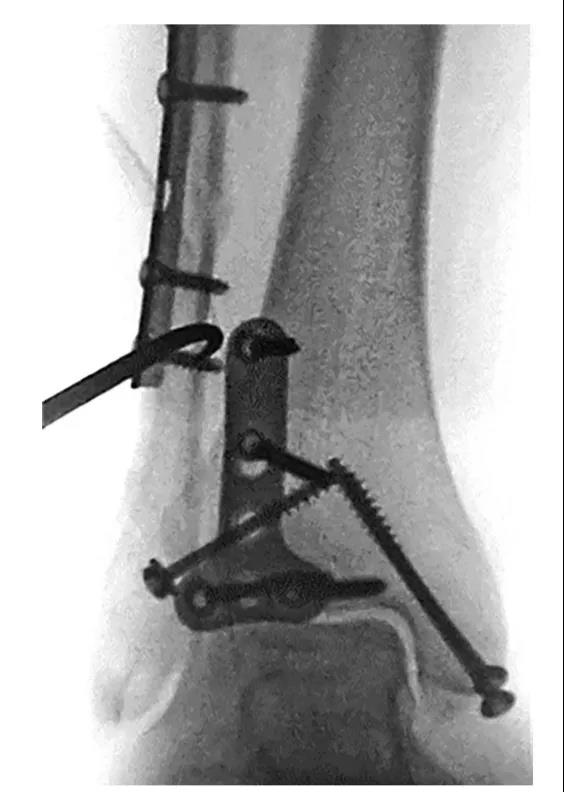
③ 首先俯卧位后外侧入路固定后踝,存在夹层骨块可行克氏针临时固定后抗滑钢板固定后踝。

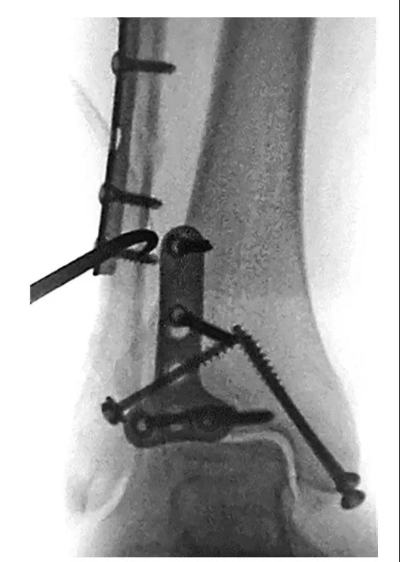
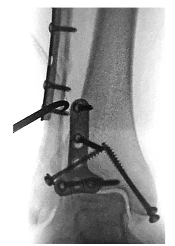
④ 固定后踝后,经同一后外侧切口固定外踝,通常建议采用后侧钢板固定,如腓骨骨折线过高,则重新切口外侧钢板固定腓骨。⑤ 内踝常规切口固定内踝。⑥ 俯卧位患者屈曲膝关节,经前外侧切口固定前踝骨折块,通常选用2.7mm或3.5mm螺钉,并使用垫圈。

⑦ 固定后常规检查下胫腓联合稳定性。

⑧ 复位后典型病例图。

内容来源于骨科青年