骨水泥渗漏是椎体成形术常见的并发症,可导致神经压迫和肺栓塞等灾难性后果,如何减少和避免骨水泥渗漏一直是研究者探讨的热点。本文从骨水泥渗漏的分类、原因和预防策略三个方面,对椎体成形术中骨水泥渗漏的研究进展进行了综述。
1
骨水泥渗漏的分类
1.按渗漏部位分类
结合渗漏部位的解剖位置,骨水泥渗漏可分为骨水泥椎管内硬膜外、神经孔、椎体间隙(含椎间盘)、脊柱旁软组织、椎旁静脉及混合6型。
2.按渗漏路径分类
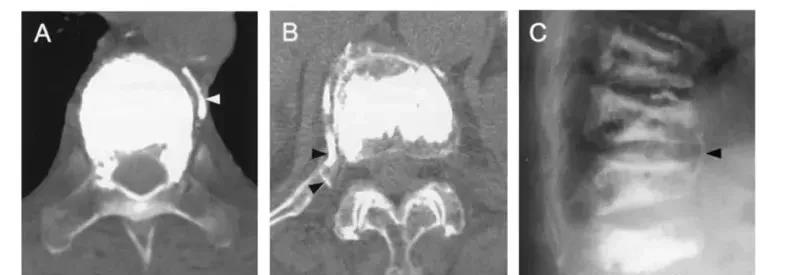
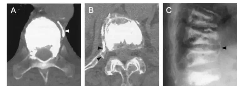
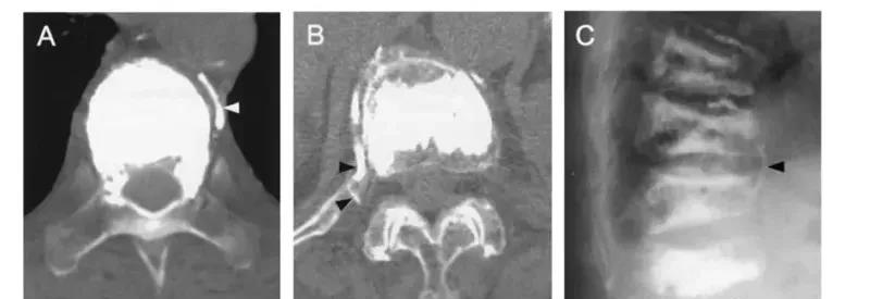
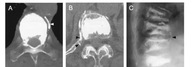
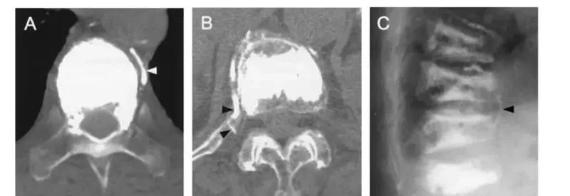
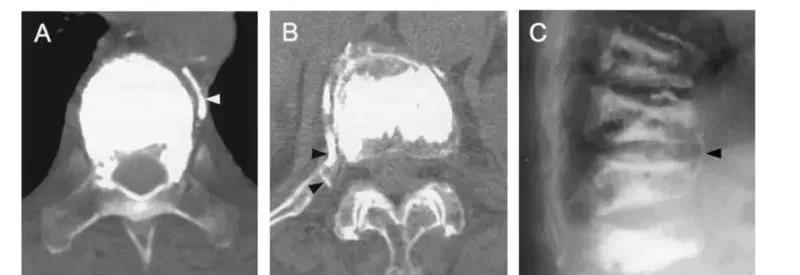
根据渗漏的途径及CT表现,将骨水泥渗漏分为三种类型:B经椎旁静脉渗漏;S经节段血管渗漏;C经皮质缺损渗漏。

B经椎旁静脉渗漏:在椎体后缘相对对称分布。一般不超过椎管横径的1/3。矢状位CT显示会向头尾侧弥散。

S经节段血管渗漏:沿节段静脉走行弥散。轴位CT呈水平走行。有时会顺着血管上下弥散,矢状面呈垂直或斜行。

C经皮质缺损渗漏:顺着缺损区到处跑,椎体周围、椎管内、椎间盘,哪里有路往哪走。
2
骨水泥渗漏的原因
1.椎体的解剖特点
椎基静脉孔是椎体后壁近中央处的皮质缺损区,直接通于椎体骨髓腔,是椎基动、静脉与神经的通道,形态结构复杂,且个体差异明显。椎基静脉和椎基静脉孔的存在会使椎体后壁失去屏障,使骨水泥渗漏至椎管。
2.椎体骨折造成的骨质破坏
椎体在生理状态下骨皮质连续,骨小梁完整,一旦发生骨折就造成了骨裂缝。椎体成形术是在椎体内完成骨水泥的注入,势必会造成骨水泥沿骨折破损处流溢。外伤性椎体骨折由于骨皮质破坏更严重,骨水泥渗漏率更高。
3.椎体骨折造成的椎体内压力过大
椎体压缩骨折即松质骨在椎体内压缩,如果没有有效的复位或撑开,椎体内空间狭小,势必会造成骨水泥在高压下向缝隙处渗漏。椎体成形术前采用手法使椎体复位或者采用经皮椎体后凸成形术可有效降低椎体内压力。
4.骨水泥黏度
骨水泥黏度是影响骨水泥渗漏的重要因素。与低粘度骨水泥相比,高黏度骨水泥具有瞬间高黏度、低聚合温度、可持续时间长等优点,同时可降低骨水泥的渗漏率。
5.注射量
骨水泥注射量与骨水泥渗漏呈正相关。在保证疗效的前提下,控制骨水泥注射量可有效降低骨水泥渗漏并发症,提高手术安全性。
6.注射压力因素
高灌注压可导致骨髓组织中的脂肪进入周围静脉血管系统,形成栓子,经肺循环导致肺脂肪栓塞率。注射骨水泥的过程中椎体内压力逐渐增高,当其压力高于椎体内静脉压时,容易诱发骨水泥向椎体静脉系统渗漏。PKP 通过球囊扩张形成的空腔通道注射骨水泥,压力较低,而PVP是向无空间的椎体内注射骨水泥,压力较高,故其骨水泥渗漏率要高于 PKP。术中可采取由点及面、分点低压多次注射,随时观察和控制骨水泥弥散范围,以有效降低骨水泥渗漏率。
7.椎体周壁破裂
椎体周壁破损是骨水泥渗漏的高危因素之一,骨水泥具有一定的流动性,因此可沿椎体周壁破裂处渗漏。引起椎体周壁缺损的原因是多方面的,血管瘤、多发性骨髓瘤、溶骨性椎体转移瘤等均可破坏椎体周壁的完整性。术者在穿刺针置入过程中应避免暴力操作所致的医源性椎体周壁破裂;一旦发生椎体后缘骨皮质破裂,骨水泥就可能通过破裂处进入椎管及神经管,造成脊髓及神经根受压,引发神经受损症状。
8.与穿刺技术相关的原因
①穿刺路径:椎弓根、椎弓根外侧及前外侧入路是椎体成形术的主要穿刺路径。相较于其他两种入路,经椎弓根入路可延长骨水泥在骨性通道中流动的路程及时间,骨水泥渗漏发生率也相对较低。而与椎弓根双侧入路相比,单侧入路具有手术时间短、透视次数少、创伤小等优点,骨水泥渗漏发生率较低;亦有学者认为,经单、双侧椎弓根入路椎体成形术骨水泥渗漏发生率无统计学差异低。
②穿刺方式:徒手旋转拧入工作套筒不能保证操作过程中不发生晃动,而旋转进针扩大了穿刺通道,工作套筒周围出现缝隙,增加了骨水泥沿穿刺通道渗漏的风险,尤其是注射骨水泥较稀薄时。
③穿刺操作:反复多次穿刺易引起椎弓根骨皮质的破裂,骨水泥可从破裂口渗出,进入椎管及椎间孔,引起神经压迫症状。此外,穿刺针进入椎体时应避免损伤终板结构,否则易导致骨水泥沿缝隙渗入相邻椎间盘。
④针尖位置:针尖位置是否准确与术中、术后骨水泥渗漏的发生密切相关。Eckel和Olan指出,最适宜的针尖位置在椎体前、中1/3 交界处;单侧入路穿刺时,为使骨水泥向两侧均匀分布,增强椎体生物力学上的受力平衡,术中应尽量使针尖接近或越过椎体中线;针尖达到椎体中部时应注意避免损伤内静脉,否则易引起骨水泥渗漏。
此外,术者手术熟练度欠缺;对受伤椎体的情况了解不够彻底;术后拔针过早;术中 C 形臂 X 线机不能满足透视的需要等都可能会造成骨水泥渗漏。
3
预防策略
1.熟悉椎体解剖结构
熟悉椎体解剖结构是进行椎体成形术的基础,也是规避骨水泥渗漏的必备功课。椎体静脉分为椎内静脉和椎外静脉,椎内静脉在椎体中呈放射状,通过椎间静脉与椎外静脉吻合,前部接收椎体内静脉窦流出的血液,后部与穿过黄韧带的交通支吻合。唐志宏等通过 CT 检查发现椎体血管沟分布在椎弓根上 2 /3,认为椎体存在无血管沟分布的“安全区”,穿刺点在“安全区”可有效减少骨水泥渗漏。
2.处理骨质裂缝
椎体骨质裂缝是骨水泥渗漏的主要通道,通过预注骨水泥、应用新型材料等方法,充分对裂缝进行填充、封堵,才能有效预防骨水泥的渗漏。在椎体成形术中,常用明胶海绵与骨水泥混合提高骨水泥黏稠度、降低骨水泥的流动性,以防止骨水泥的渗漏。
此外,椎体后壁的完整性对骨水泥渗漏的影响很大,椎体后壁破坏严重被列为椎体成形术的相对禁忌证。对后壁破裂严重者可先少量注入骨水泥填补骨质裂缝,待其稍加凝固后再分步推注骨水泥。
网袋成形术也是预防后壁骨折骨水泥渗漏的有效途径,网袋由致密的高分子网层结构构成,能包裹大部分骨水泥并允许少部分骨水泥渗透至网层外与组织紧密结合,从而有效防止渗漏。骨折线累及椎基静脉孔的爆裂性椎体骨折可在伤后2 ~ 3 周行椎体成形术,以降低骨水泥渗漏风险。
3.规范手术操作
规范手术操作,能有效降低骨水泥渗漏率。术者应于术前了解伤椎的数目、骨折节段、压缩程度、有无旋转、有无后壁破裂,于术中严格进行规范化手术操作。
①选择正确穿刺点,把握穿刺方向。穿刺针尽量斜行向下,靠近椎体裂缝且与中线保持较大的距离,针尖尽量到达椎体前 1 /3 处,使骨水泥充分布满椎体,又能避开静脉丛。
②熟悉骨水泥的特性,把握注入时机。准确记录调制骨水泥的时间,把握其黏稠度,选择合适时机缓慢注射。骨水泥成形分湿砂期( 粗砂期) 、拉丝期、团状期和硬化期 4 期。骨水泥调制后 5 ~ 7 min 较稀薄、7 ~ 10 min 稍黏稠、10 min 以上呈面团状,注入时机为拉丝期( 呈牙膏状),此时骨水泥较稳定兼有流动性,可控性较好,可以避免随孔隙渗漏,又能使骨水泥有效地与组织结合。
③掌握骨水泥注入的技巧。骨水泥注入时需勤透视,每注入 0. 5 m L 透视一次,即使有渗漏也可以保证渗漏量控制在一定范围,但这要求手术要争分夺秒,防止错过最佳的骨水泥注入时机。此外,有研究证实,分批连续注入少量骨水泥也是防止渗漏的有效办法。
骨水泥注入的量目前尚无定论,要根据具体的情况确定,并非注入的越多越好,一般胸椎注入 2 ~ 4 m L、腰椎注入 4 ~ 6 m L,就能满足维持椎体强度的需要骨水泥注入量与骨水泥渗漏的发生率、术后疼痛缓解程度均呈正相关,过多的注入骨水泥并不能达到更好的临床效果,反而增加了骨水泥渗漏的风险。
骨水泥注入后停 5 ~ 10 min 待水泥固化,再旋转拔出推管或替换空的推注器,可有效防止骨水泥沿针道渗流。推注骨水泥时手下有落空感或突感压力降低,提示可能有骨水泥的渗漏和椎体破裂,应在透视下观察并及时调整针道,防止更严重的渗漏发生。经皮椎体后凸成形术能有效降低椎体内压力,在骨水泥注入时阻力较小,骨水泥渗漏率也较低。术前联合手法减压可以使椎体内形成腔隙,使注射压力减小,从而降低骨水泥渗漏的风险。
④合理利用影像监测。术中影像监测为防止骨水泥渗漏提供了直观的手段,清晰的影像能避免过度和盲目的穿刺,防止骨水泥的渗漏。
4.探索新技术
①在 3D 技术辅助下行椎体成形术,该技术可在冠状面、矢状面和横断面上三维重建类似于 CT 的图像,可清晰观察到穿刺针的位置,防止骨水泥渗漏。
②改良骨水泥推注杆,将其在侧方开口,当术中发现骨水泥渗漏,旋转手柄即可改变骨水泥注入的靶区,可在一定程度上控制骨水泥流向。
③在X线透视引导下通过遥控注射系统注射骨水泥,操作者站在辐射场外,可实时监测骨水泥的注入情况。
④采用腔体成形术,即在注射骨水泥前在椎体内形成一个小而不规则的腔体,可有效减少骨水泥渗漏情况。
⑤采用双侧椎弓根椎体灌洗法,也可减少骨水泥的渗漏。
内容来源于骨今中外