2021-09-16 15:08:312537浏览
三大要点,带你掌握股骨颈骨折闭合复位技巧!



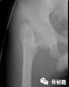
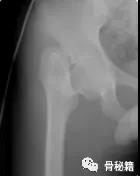
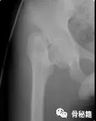
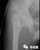
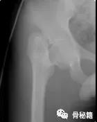
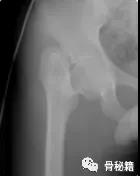
当这种复杂的garden IV型 股骨颈骨折来了。。。
你有什么闭合复位技巧?
复位方法1 Whitman 方法
外展外旋---牵引---内旋内收
这种好像谁都会?
复位方法2 Leadbetter 方法:
原理:当髋部弯曲到 90 度时,髋部周围的所有肌肉都得到最大程度的放松; - 将髋部屈曲至 90 度,轻微内收,并在与股骨一致的情况下施加牵引力;
- 在保持牵引力的同时,将内旋旋转至 45 度;
- 进一步的内旋也会放松 韧带;
- 通过放松这些结构,可以复位;
- 最后,完全屈曲和内收“打开”骨折 部位,然后小腿缓慢外展和完全伸展,同时保持牵引力和内旋;
复位方法3 AO方法

在“骨折断端松散的”状态下,
手动沿股骨颈线牵引对骨折碎片。
牵引力使关节囊形成沙漏状,
从而使未嵌固的骨折碎片重新排列。


由助手支撑受伤腿的脚后跟,
同时外科医生的同侧手沿着股骨颈线拉动,
另一只手控制膝盖。

在沿着股骨颈线保持手动牵引的同时,
腿首先向内旋转,以纠正任何后倾,
然后下降到伸展位置。
复位后的检查透视
1、骨小梁线的连续性

2、 内外侧,上下侧的皮质线,是否为S和倒S型

如果三次复位失败,建议直接切开复位!
否则等待你的,则是骨不连与股骨头坏死