首页/骨科小技巧/腰椎椎板钉,值得一看!/
腰椎椎板钉,值得一看!
2021-09-16 15:11:381022浏览
腰椎椎板钉,值得一看!

腰椎椎板钉

腰椎椎板钉适合经皮微创手术,或作为无法打入腰椎弓根钉时的替代修正。

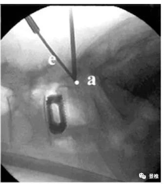
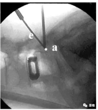
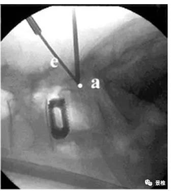
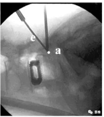
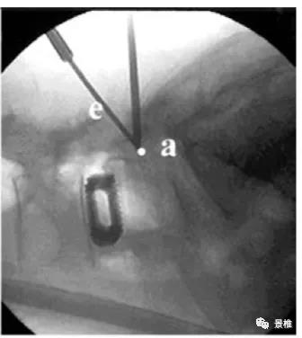
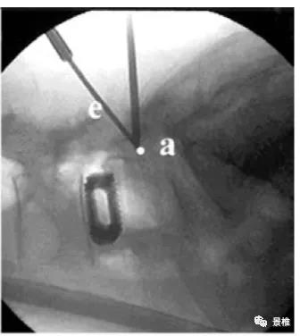
进针点位于棘突根部,指向对侧横突中点与椎弓根外缘交界处。

术中C臂透视正侧位所指向的关键点。

腰椎椎板板障厚度足够,可置入直径4.5mm的螺钉,穿透4层皮质钉住一侧关节突关节。双侧固定生物力学强度足够。



内容来源于景椎

友情链接: