足跟痛是临床常见症状,鉴别诊断包括足底筋膜炎,脂肪垫萎缩,跟骨应力性骨折或骨质疏松,炎性关节炎,肿瘤和感染。
足跟痛中比较难以捉摸的诊断因素之一是足底外侧神经的第一分支卡压(Baxter’s神经撞击)。Baxter’s神经是感觉和运动混合神经,为小趾展肌(Abductor digiti minimi,AbDM)提供运动传递。
Baxter’s神经卡压可产生与足底筋膜炎难以区别的临床症状,虽然见于20%足跟痛的患者,但相对于足跟痛的其他原因常常被忽视。小趾展肌(AbDM)可能存在病变,但临床上很难检测到。MR可用于检测小趾展肌(AbDM)中与神经支配相关的肌肉变化,从而证实对Baxter’s神经卡压的诊断。
解剖
胫神经的两个终末支一是足底内侧神经,二是足底外侧神经,足底内侧神经的皮支分布于足底内侧的皮肤,足底外侧神经的皮支支配足底外侧的皮肤,该神经是小趾和第四趾外侧感觉支,支配小趾展肌和跖方肌运动。
Baxter’s 神经(巴克斯特神经)为足底外侧神经第一分支,也称为跟骨下神经,支配小趾展肌(AbDM)。




足底外侧神经:Lateral plantar nerve(LPN)
足底内侧神经:Medial plantar nerve(MPN)
小趾展肌:Abductor digiti minimi(AbDM)
病理
Baxter神经卡压常见于两个部位(见下图)。


Baxter神经卡压两个潜在部位(椭圆形圈中):
1、当神经穿过外展踇肌深筋膜(AH)和跖方肌内侧足底缘(QP)之间时。
2、当更为远端神经沿着跟骨内侧粗隆的前部通过时,足底跟骨附着点和足底筋膜炎可能导致压迫。
据文献报道,Baxter神经受累的危险因素包括高龄,跟骨骨质增生,足底筋膜炎,足底肿物,血管增粗,肌肉肿大(如运动员),肥胖和足内翻。
影像学表现
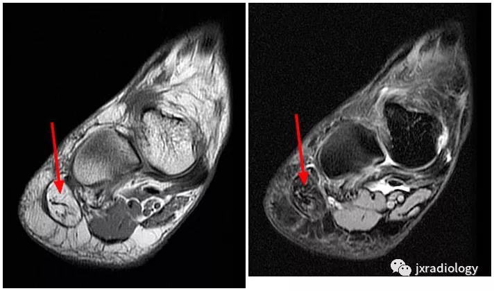
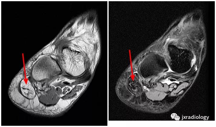
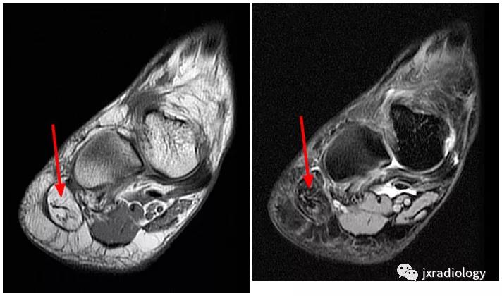
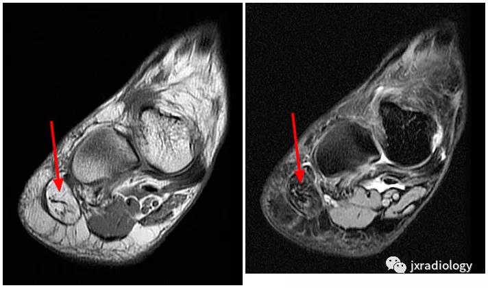
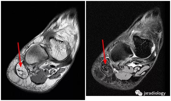
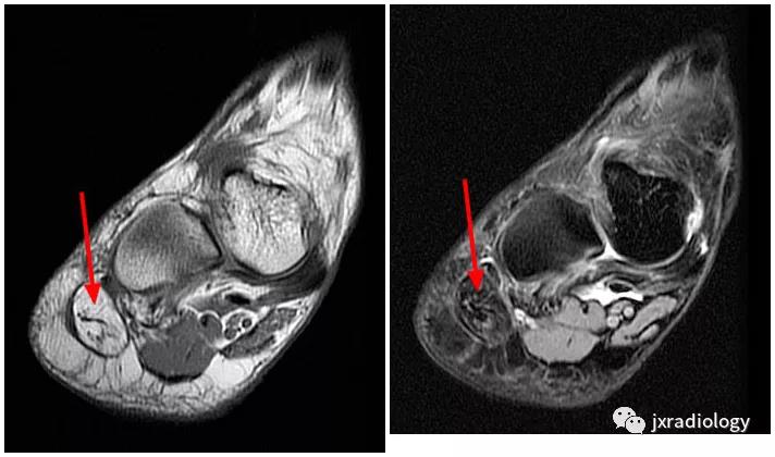
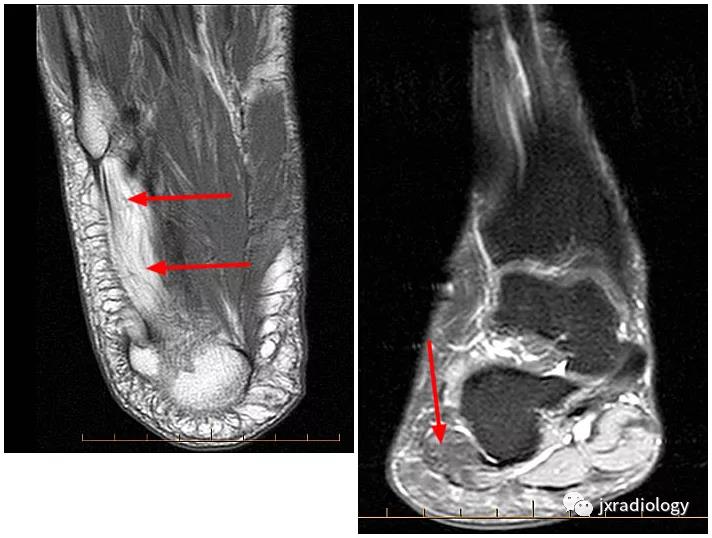
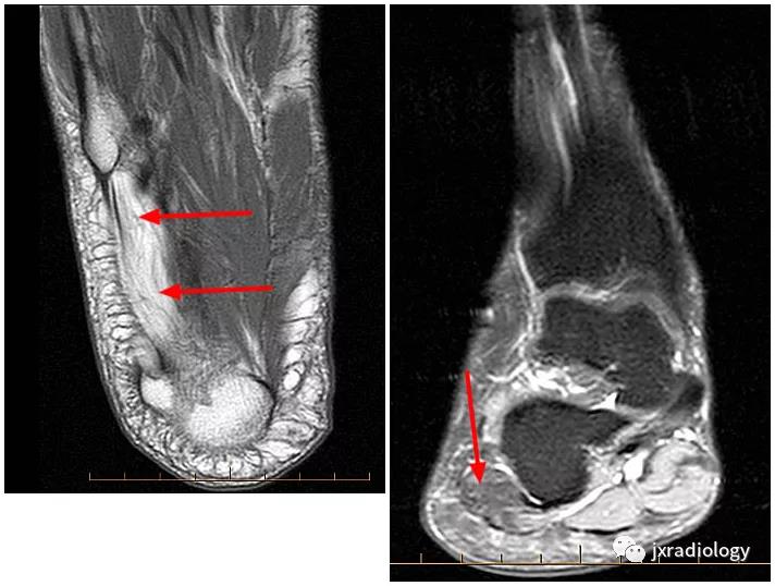
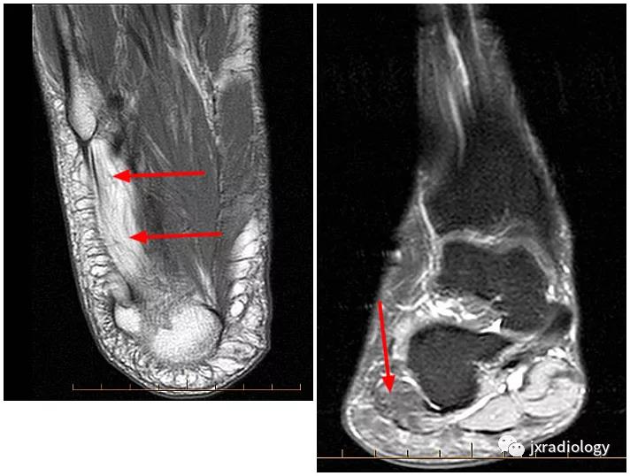
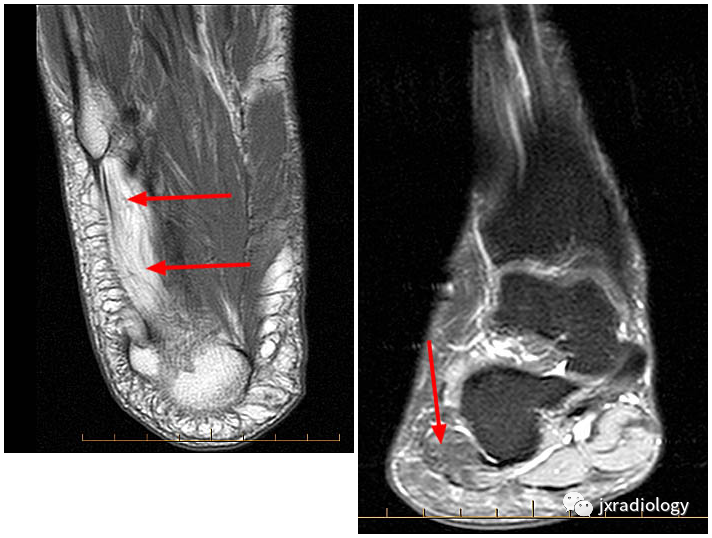
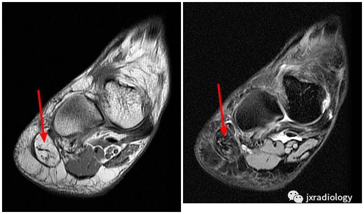
MRI已被证明是非常有价值的显示失神经支配的肌肉相关变化;与超声或CT相比,MRI对肌肉内的组织变化更为敏感;并且与肌电图相比具有优势,因为MRI检查的无创性,优越的解剖细节,能够显示具有双重神经支配的肌肉的病理学改变,并且能够排除其他诊断(骨折,肿瘤、筋膜炎)。正常小趾展肌在T1WI和液体敏感序列上显示等信号(下图红箭)。

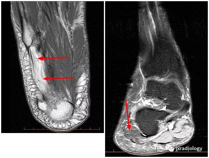
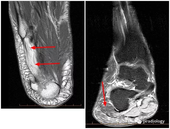
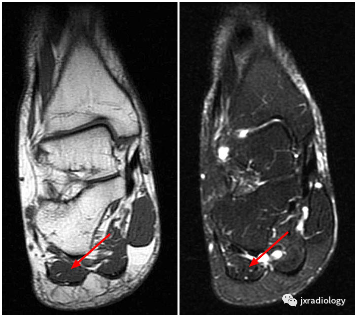
急性和亚急性肌肉失神经支配最好通过液体敏感序列进行评估,例如带有脂肪抑制的T2WI像(T2 FS)或短τ反转恢复(STIR)图像,与正常肌肉相比,其肌腹部的信号增加,与神经源性肌肉水肿相关,增强扫描发生在失神经的急性至亚急性期;在Baxter神经卡压情况下,根据患者的神经支配解剖,肌肉水肿会选择性地在小趾展肌(AbDM)内发生,也有可能发生在趾短屈肌和跖方肌中;慢性期可见明显的肌肉萎缩、脂肪化。

T1像肌肉呈等信号(星号),未见萎缩;抑制T2像可见小趾展肌(箭)和趾短屈肌(箭头)肌肉水肿。

小趾展肌患有严重萎缩和脂肪浸润的患者冠状位的T1WI和抑制PDWI图像,由于慢性Baxter神经受累而选择性地累及小趾展肌;小趾展肌的信号强度(箭)类似于相邻的皮下脂肪,没有明显的肌肉水肿。

另一位慢性Baxter神经卡压患者的横断位T1WI和冠状脂肪抑制PDWI像,显示严重小趾展肌弥漫性萎缩和脂肪浸润(箭)。
Baxter神经卡压初始治疗通常是保守治疗,包括休息、非甾体抗炎药、皮质类固醇注射和矫形器的联合治疗。如果保守治疗后仍存在顽固性疼痛,可以手术治疗。
注意事项
Baxter神经卡压是一项临床困难的诊断,在足跟痛的表现中常常被忽视。MRI可通过识别小趾展肌(AbDM)肌腹部异常来评估神经卡压的失神经作用。
此外,可以发现潜在的撞击原因(例如跟骨骨刺,软组织肿块,血管扩张)和相关的病理学(例如足底筋膜炎,肌腱病),并且可以排除其他鉴别诊断(例如应力性骨折)。
内容来源于jxradiology足跟痛是临床常见症状,鉴别诊断包括足底筋膜炎,脂肪垫萎缩,跟骨应力性骨折或骨质疏松,炎性关节炎,肿瘤和感染。
足跟痛中比较难以捉摸的诊断因素之一是足底外侧神经的第一分支卡压(Baxter’s神经撞击)。Baxter’s神经是感觉和运动混合神经,为小趾展肌(Abductor digiti minimi,AbDM)提供运动传递。
Baxter’s神经卡压可产生与足底筋膜炎难以区别的临床症状,虽然见于20%足跟痛的患者,但相对于足跟痛的其他原因常常被忽视。小趾展肌(AbDM)可能存在病变,但临床上很难检测到。MR可用于检测小趾展肌(AbDM)中与神经支配相关的肌肉变化,从而证实对Baxter’s神经卡压的诊断。
解剖
胫神经的两个终末支一是足底内侧神经,二是足底外侧神经,足底内侧神经的皮支分布于足底内侧的皮肤,足底外侧神经的皮支支配足底外侧的皮肤,该神经是小趾和第四趾外侧感觉支,支配小趾展肌和跖方肌运动。
Baxter’s 神经(巴克斯特神经)为足底外侧神经第一分支,也称为跟骨下神经,支配小趾展肌(AbDM)。
足底外侧神经:Lateral plantar nerve(LPN)
足底内侧神经:Medial plantar nerve(MPN)
小趾展肌:Abductor digiti minimi(AbDM)
病理
Baxter神经卡压常见于两个部位(见下图)。
Baxter神经卡压两个潜在部位(椭圆形圈中):
1、当神经穿过外展踇肌深筋膜(AH)和跖方肌内侧足底缘(QP)之间时。
2、当更为远端神经沿着跟骨内侧粗隆的前部通过时,足底跟骨附着点和足底筋膜炎可能导致压迫。
据文献报道,Baxter神经受累的危险因素包括高龄,跟骨骨质增生,足底筋膜炎,足底肿物,血管增粗,肌肉肿大(如运动员),肥胖和足内翻。
影像学表现
MRI已被证明是非常有价值的显示失神经支配的肌肉相关变化;与超声或CT相比,MRI对肌肉内的组织变化更为敏感;并且与肌电图相比具有优势,因为MRI检查的无创性,优越的解剖细节,能够显示具有双重神经支配的肌肉的病理学改变,并且能够排除其他诊断(骨折,肿瘤、筋膜炎)。正常小趾展肌在T1WI和液体敏感序列上显示等信号(下图红箭)。
急性和亚急性肌肉失神经支配最好通过液体敏感序列进行评估,例如带有脂肪抑制的T2WI像(T2 FS)或短τ反转恢复(STIR)图像,与正常肌肉相比,其肌腹部的信号增加,与神经源性肌肉水肿相关,增强扫描发生在失神经的急性至亚急性期;在Baxter神经卡压情况下,根据患者的神经支配解剖,肌肉水肿会选择性地在小趾展肌(AbDM)内发生,也有可能发生在趾短屈肌和跖方肌中;慢性期可见明显的肌肉萎缩、脂肪化。
T1像肌肉呈等信号(星号),未见萎缩;抑制T2像可见小趾展肌(箭)和趾短屈肌(箭头)肌肉水肿。
小趾展肌患有严重萎缩和脂肪浸润的患者冠状位的T1WI和抑制PDWI图像,由于慢性Baxter神经受累而选择性地累及小趾展肌;小趾展肌的信号强度(箭)类似于相邻的皮下脂肪,没有明显的肌肉水肿。
另一位慢性Baxter神经卡压患者的横断位T1WI和冠状脂肪抑制PDWI像,显示严重小趾展肌弥漫性萎缩和脂肪浸润(箭)。
Baxter神经卡压初始治疗通常是保守治疗,包括休息、非甾体抗炎药、皮质类固醇注射和矫形器的联合治疗。如果保守治疗后仍存在顽固性疼痛,可以手术治疗。
注意事项
Baxter神经卡压是一项临床困难的诊断,在足跟痛的表现中常常被忽视。MRI可通过识别小趾展肌(AbDM)肌腹部异常来评估神经卡压的失神经作用。
此外,可以发现潜在的撞击原因(例如跟骨骨刺,软组织肿块,血管扩张)和相关的病理学(例如足底筋膜炎,肌腱病),并且可以排除其他鉴别诊断(例如应力性骨折)。
内容来源于jxradiology