KEYPOINT
1. 背侧硬膜外椎间盘突出移位应与硬膜外后肿块相鉴别,如滑膜囊肿、脓肿、血肿,甚至肿瘤;
2. 硬膜内椎间盘突出病变组织往往很大,在MR轴位T2加权图像上可有“鹰嘴”征,马尾综合征常见;
3. 应仔细检查最外侧区域是否有椎间盘突出,避免漏诊极外侧椎间盘突出;
4. Schmorl结节可能是急性的并引起症状,注意不要将伴有强化或水肿的良性急性Schmorl结节误认为是感染及肿瘤等病变;
5. 椎间盘囊肿需要与椎管内腹侧硬膜外囊肿相鉴别;
6. 钙化椎间盘骨赘也可引起脑脊液漏;
7. 急性钙化性椎间盘炎发生于儿童,临床有快速自发消退的特点。

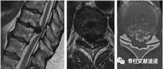
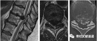
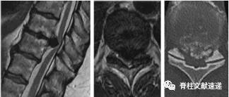
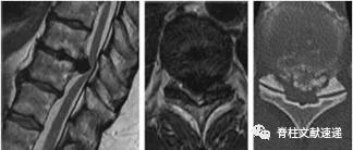
1.背侧硬膜外椎间盘突出移位
背侧硬膜外椎间盘突出移位
- 椎间盘背侧硬膜外突出移位是一种罕见现象。1973年,Lombardi首次将这种情况描述。
- 临床常与滑膜囊肿,脓肿,血肿或肿瘤相混淆。
- 马尾神经综合征在背侧硬膜外椎间盘突出中发生率更高(50%以上),神经根病也很常见。绝大多数发生位于腰椎区域,L3/4最常见,其次是L4/5。

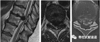
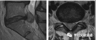
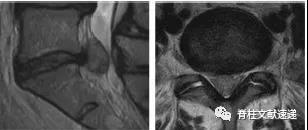
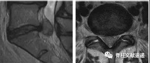
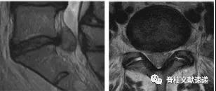
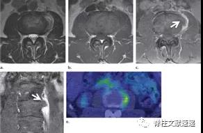
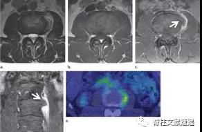
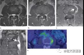
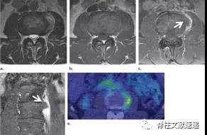
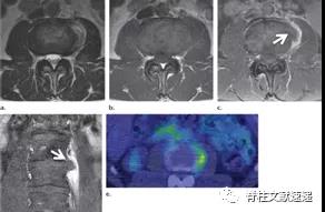
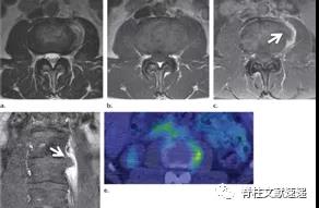
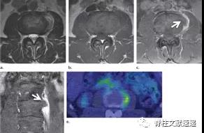
图注:背侧硬膜外椎间盘突出

图注:术前诊断倾向于硬膜外脓肿,术中见病灶呈致密纤维状,组织病理学检查显示纤维软骨盘伴反应性改变。
2.硬膜内椎间盘突出 膜内椎间盘突出
- 1942年Dandy首次描述了硬膜内腰椎间盘突出症,椎间盘组织延伸至硬膜内。
- 不到1%的腰椎间盘突出症发生在硬膜内。L4/5最常见。在胸椎,大多数发生在T8-T11。病变组织往往很大。椎间盘突出穿过纤维环、后纵韧带和硬脑膜。
- 在MR轴位T2加权图像上可有“鹰嘴”征。典型的慢性症状;马尾综合征常见;在颈部和胸部,Brown-Séquard综合征或严重脊髓病的发病率很高。

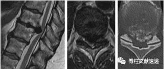
图注:硬膜内腰椎间盘突出

图注:42岁男性,有L4/5椎间盘切除手术史,出现急性马尾综合征。术中见硬脑膜上有小开口,硬膜内部分钙化椎间盘组织。
3.症状性胸椎间盘突出
- 在CT脊髓造影或MR成像中,当突出占椎管40%以上时,称为巨大突出。这些巨大的胸椎间盘突出症通常有密集的钙化,并有侵蚀硬脑膜的倾向。20%的人为无症状的胸椎间盘突出。有症状的胸椎间盘突出,尤其是需要手术的胸椎间盘突出少见。
- 对于有症状的胸椎间盘突出症,最常见的表现是疼痛。局限性疼痛的发生率与轴性疼痛相似,均大于根性疼痛的发生率。大约60%的患者出现脊髓病伴运动障碍,反射亢进或痉挛,感觉障碍的临床表现。膀胱功能障碍不太常见。脊髓病很少是急性的。当椎间盘巨大时,脊髓病的发生率显著增加。

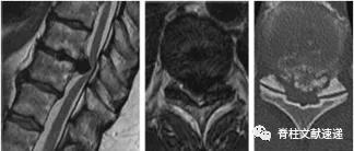
图注:64岁女性,硬膜内胸椎间盘突出症,表现为进行性胸背痛和脊髓损害症状。术中见椎间盘骨赘复合体与硬脑膜紧密粘连。病理组织学检查示椎间盘组织和纤维化伴局灶性炎症改变。
4.极外侧型腰椎间盘突出症 外侧型腰椎间盘突出症
- 大多数腰椎间盘突出症发生在椎管内,只有约7%-10%发生在椎间孔内或椎间孔外。椎间孔外椎间盘突出通常接近椎间孔的出口,约20%的椎间孔外椎间盘突出完全位于椎间孔外侧。
- L4/5最常见。在极少数病例中,突出可以发生在神经鞘内,类似于良性或恶性的神经鞘肿瘤。
- 当临床腰椎间盘突出影像学责任节段与症状体征不一致时,需要考虑是否存在极外侧型腰椎间盘突出。

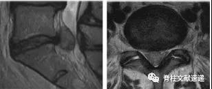
图注:49岁男性,极外侧腰椎间盘突出症。
5.巨大腰椎间盘突出症巨大腰椎间盘突出症
- 巨大腰椎突出症被定义为腰椎间盘突出症占椎管轴向成像的50%以上。
- 文献表明,相比较小椎间盘突出,巨大椎间盘突出有着更大的回缩及吸收倾向。
- 在某些情况下,如果没有明显神经症状或逐渐好转,不一定必须手术治疗。

6.急性Schmorl结节 急性Schmorl结节
- Schmorl结节最早由施莫尔于1927年描述。年轻和老年患者的发病率相似。Schmorl结节在男性较多发。有腰椎症状的患者比没有腰椎症状的患者患病率更高。
- 急性Schmorl结节作为症状或活动性炎症的一种特殊原因在影像成像中是少见的,如MR成像、PET或骨扫描。当出现这种影像学表现时,可能被误认为是其他病变,如恶性肿瘤、骨髓炎或椎间盘炎。

椎间盘突出症少见影像学表现
1.FDG摄取的椎间盘突出症
FDG摄取的椎间盘突出症
- PET成像不能作为评价椎间盘病变情况的主要方法。椎间盘突出,特别是急性或亚急性时,并伴有炎症反应,可导致PET局灶性FDG摄取。

图注:49岁男性,极外侧腰椎间盘突出症,有黑色素瘤病史。(e) 轴位PET图像显示病灶部位有FDG摄取,怀疑黑色素瘤转移。经过3周的保守治疗,病人的病情有所好转。临床上并没有黑色素瘤诊断。
2.椎间盘囊肿 椎间盘囊肿
- 1999年,Kono等人在文献中首次描述。椎间盘囊肿具有明显的男性倾向,年龄相对年轻。
- 病理生理学发现椎间盘囊肿被认为是由于纤维环损伤、液体积聚和假膜形成所致。囊肿内没有间盘组织,囊壁通常是由致密的纤维结缔组织组成。
- 与普通椎间盘突出症相似,椎间盘囊肿可引起背痛和神经根症状,通常沿单侧神经根分布。

图注:椎间盘囊肿

图注:23岁男性,椎间盘囊肿。术中见波动的椎间盘囊肿并切除。
3.椎间盘组织脊髓纤维软骨栓塞椎间盘组织脊髓纤维软骨栓塞
- 1961年,Naiman等人首次描述了这种类型的栓塞。相当多的“特发性”脊髓梗死可能是由于纤维软骨栓塞引起的。纤维软骨栓塞可以是动脉或静脉。在病理检查中,纤维软骨栓塞确实存在于节段静脉、小静脉、动脉和小动脉内,通常同时存在于椎体的静脉窦内。
- 血管和髓核之间需要存在某种类型的接触,才能使得椎间盘组织到达血管系统。
- 症状通常包括在相对较小的创伤或体力劳动后严重的背部或颈部疼痛。通常有一个无症状的时间间隔,之后会出现急性、快速发展为四肢瘫痪或截瘫,这是脊髓血管损伤的典型表现。

图注:如椎间盘组织逆行进入节段动脉(箭头),通过动脉直接流动或从窦进入动静脉。栓子随后通过顺行流到达脊髓,导致脊髓多层次梗死,通常位于脊髓前动脉分布区(脊髓腹侧阴影区)。栓塞物质也可以延伸到椎体的血液供应中,引起骨髓梗死(椎体背侧阴影区)。

图注:29岁女性,纤维软骨脊髓梗塞,因急性截瘫被送到医院。当天早上醒来时,她有轻微的后下颈部疼痛,淋浴时突然出现短暂的带状胸痛和恶心呕吐,下肢无力。
4.钙化椎间盘及骨赘导致脊液漏
- 1998年,Vishteh等人首次描述了腹侧硬膜外间隙钙化椎间盘骨赘导致脊髓脑脊液漏的原因。
- 钙化的椎间盘组织或骨赘骨刺导致硬脑膜缺损、由此产生的脑脊液漏和脑脊液低颅压表现。C5–T7常见。

图注:钙化椎间盘及骨赘导致脊液漏

图注:一位47岁女性因钙化椎间盘后方骨赘导致硬脑膜撕裂、脑脊液漏和颅内压过低。
5.儿童急性钙化性椎间盘炎 儿童急性钙化性椎间盘炎
- 椎间盘钙化在成人影像学中很常见,但有症状的钙化性椎间盘炎(也称为症状性或特发性椎间盘钙化)在儿童中并不常见。
- 患者症状主要发生在颈椎,颈部或背部疼痛、斜颈和活动受限最常见。
- 急性疼痛,自发缓解较快;神经系统症状不常见;治疗的主要方法是保守治疗。
作者简介

张振辉,郑州市骨科医院脊柱一科,天津医科大学硕士研究生毕业;熟练诊治脊柱外科常见疾病;参与完成国家自然科学基金青年项目一项,荣获郑州市科技进步二等奖,发表论著10余篇,SCI收录3篇。