首页/骨科精读/11个经典病例带你看懂常见骨折的诊断!/
11个经典病例带你看懂常见骨折的诊断!
2021-04-06 17:28:033021浏览
本文总结了一些经典的骨折病例,与大家分享


(一)手部


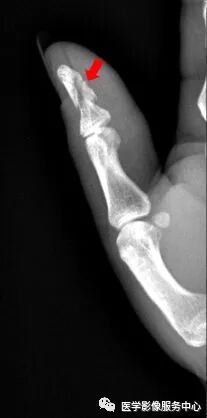
右手拇指远节指骨甲粗隆游离骨碎片影



右手拇指末节指骨见数条骨折线,骨折端对位对线尚可,右手拇指末节指骨粉碎性骨折。



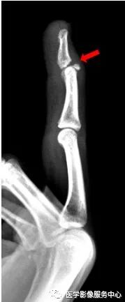
右手拇指近节远端见斜行骨折透亮线,断端稍分离移位,右手拇指近节远端骨折。



右手中指远节近端背侧关节处见游离骨片影,右手中指远节骨折。



右手第五掌骨远端骨皮质不连续,骨折端移位、成角。右手第五掌骨骨折(1-5. 第1-5掌骨)



右手第四掌骨中段、第五掌骨基底部见横行骨折透亮线,骨折端对位对线尚可,第四、第五掌骨骨折。


(二)腕关节

1.舟骨  2.月骨  3.三角骨  4.豌豆骨  5.大多角骨  6.小多角骨  7.头状骨  8.钩骨

右腕关节近三角骨、豆状骨内侧见多个游离骨碎片影,小碎骨片分离移位。考虑为右腕关节三角骨,豌豆骨粉碎性骨折。


右侧桡骨远端可见不规则透亮骨折线,并累及关节面,右侧桡骨远端骨折。

尺骨茎突见游离骨碎片影,左侧尺骨茎突骨折。


(三)肘关节


左侧尺骨上段见骨折透亮线,断端稍移位成角,左侧尺骨上段青枝骨折。

Warmreminder: 青枝骨折多见于儿童,由于骨皮质韧性好,受伤时不易看出,若发现可疑骨折征象。

小妙招:嘱家属过一周~两周再复查,若是骨折,可见新生骨生长。(此患者就是踝关节扭伤,踝关节正侧位未见异常,加拍足正位时发现外踝骨折)



右肘关节内侧见游离骨碎片影,侧位示骨碎片位于右肘关节背侧,右尺骨近端背侧骨质部分缺如,右尺骨近端背侧撕脱性骨折。


(四)前臂


右侧尺骨中段可见斜形骨折线,骨折端稍分离移位,右侧尺骨中段骨折。


(五)肩关节


右侧肱骨大结节骨皮质欠光整,见弧形透亮线。右侧肱骨大结节骨折。



左侧锁骨肩峰端见不规则透亮线,骨折处稍移位,左侧锁骨骨折。


(六)鼻骨


病例显示:鼻骨中远段骨质连续中断,断端向内下方移位,鼻骨骨折。

Warmreminder:鼻部受伤,有时鼻骨骨折不能做出诊断。

小妙招:鼻骨双侧位更容易观察。


(七)脊柱


腰椎侧位示:第1腰椎呈前低后高楔形改变,腰椎第1椎体陈旧性压缩性骨折。

Warmreminder: 陈旧性骨折多在做其他检查时发现,压缩性骨折因受伤时重力向下所致,腰椎、胸椎易发生。

小妙招:此患者腰痛来院,询问病史,十年前从楼上坠落,休息一段时间后无大碍,并没有行检查。


(八)髋关节


左侧股骨大粗隆处见不规则透亮线影,骨折处无明显分离、移位。左侧股骨大粗隆骨折。


(九)膝关节


右侧胫骨粗隆可见低密度骨折线,骨折处稍分离移位,考虑为右侧胫骨粗隆骨折。


(十)踝关节 

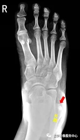
右侧外踝骨皮质连续中断,可见透亮骨折线影,可见软组织稍肿胀影,右踝关节骨折。

Warmreminder:踝关节扭伤,许多大夫只做踝关节正侧位。有时踝关节正侧位不能看出有明显异常,而有局部软组织肿胀,活动受限时,根据我的经验,踝关节扭伤有时只做正侧位是有局限性的;小妙招:足正位也是必不可少的。

此患者就是踝关节扭伤,踝关节正侧位未见异常,加拍足正位时发现外踝骨折。



所示右侧腓骨远端见斜行骨折线,骨折端对位对线尚可,右腓骨远端骨折。


(十一)足部


右足斜位示 右侧跟骨前部见骨折透亮线,右跟骨前部骨折。

Warmreminder:有一些微小的骨折很容易被忽视。

小妙招1.我会先观察患者精神状态;2.了解受伤部位软组织情况,有时为明确部位,也会亲自触诊。因为有些患者对自己受伤的部位不是很清楚,忘记自己怎么受伤。


左侧跟骨见骨折透亮线,后缘骨皮质连续中断,左侧跟骨骨折。



右足第5跖骨基底部见骨折线,断处稍分离移位,右足第5跖骨基底部骨折。

Warmreminder: 儿童时期足第5跖骨处有骨骺存在,骨骺线易与骨折线混淆。

小妙招给你:骨骺线的长轴一般是与第5跖骨长轴平行,而第5跖骨多是横行骨折,换言之骨折线与第五跖骨长轴垂直。


友情链接: