国庆长假里,不少人都选择外出旅游或者参加户外活动。但有时难免会发生些小意外,如果在游玩时不慎扭伤了,应该如何处理呢?
踝关节的负荷
踝关节的负荷与其关节面接触面积的大小有关。
①静止情况下全足放平站立负重时,踝关节承受的压缩应力相当于体重的2倍;
②前足站立时相当于体重的3倍;
③负重期的推进期,关节面受到的应力相当于体重的5倍左右。
距骨在踝穴内有无倾斜,会通过影响关节面接触面积而影响关节所受应力的大小。有轻度倾斜,关节面所受到的应力会因为承重面积变小而明显增加。
扭伤机制
旋后损伤(内翻)旋前损伤(外翻)外旋损伤

旋后位扭伤
- 最为常见
- 距骨体前宽后窄,当踝关节背屈时,其宽部进入踝穴,能防止踝关节向后脱位;当跖屈时,其窄部进入踝穴,则关节不稳,易向侧方活动。
- 小腿屈肌力量大于伸肌力量,内翻肌力大,内侧韧带比外侧韧带强,足跖屈腾空时,足自然处于跖屈内翻位(即旋后位),落地时如果重心不稳,易造成内翻损伤。
旋后扭伤分类

依据韧带损伤程度(美国医学会分类),分为如下三类:
- Ⅰ级:韧带过度拉伸
- Ⅱ级:部分韧带撕裂
- Ⅲ级:韧带完全撕裂

依据损伤结构,分为如下三类:
- Ⅰ度:ATFL损伤
- Ⅱ度:ATFL+CFL损伤
- Ⅲ度:ATFL+CFL+PTFL损伤

依据临床表现,分为如下三类:
- 轻度:轻微功能丧失,无跛行,无肿胀或轻度肿胀,轻微压痛
- 中度:中度功能丧失,踝关节不能背屈,行走时跛行,局部肿胀、压痛
- 重度:弥漫性压痛和肿胀,病人需要拄拐行走
按治疗方法分类:通过临床查体明确踝关节的稳定性,依据治疗方法的不同分类

旋前位扭伤足在受伤时处于旋前位,距骨在踝穴内受外力而外展,内侧韧带受损。因外踝较长,胫后肌群较强,足不易产生旋前的损伤动作,但是一旦损伤就比较严重,如发生断裂,一般都引起一定程度的关节不稳,且多合并其他韧带损伤和骨折。

外旋位扭伤受伤时距骨受到外旋外力,或小腿内旋距骨受到相对外旋外力。随着外旋暴力增大下胫腓联合主要韧带断裂,下胫腓联合分离。严重的多合并外踝骨折或内侧韧带断裂。

辅助检查
在出门旅游时要尽量避免穿着皮鞋或高跟鞋,最好穿旅游鞋;且根据关节特点下坡时最容易发生关节扭伤,所以下山、下坡尤要注意。已经有脚踝旧疾者可使用护踝等防护装备,就可以减少踝关节扭伤的几率。
虽然有所防备,但有时难免发生意外。这时,患者可以先自行评估是否出现关节畸形移位或形成假关节(骨头断裂)等,如果遇到这类严重情况应固定后立即就医,如果只是局部的肿胀瘀斑,疼痛程度较低,就可以先自我急救。伤者在进行急救处理后,如有条件最好在医院进行X线或CT检查,因为小骨头的断裂或撕裂等问题并不会引起强烈的疼痛或肿胀等,但如果没有有效的医疗支具固定可能会致骨折错位或损伤进一步加剧,后期恢复不充分,还会导致陈旧性软组织受伤,在关节尤其负重部位容易引发骨关节病等慢性疾病。
X线片:基本的辅助检查(应注意某些情况并非骨折)CT:能进一步检查隐匿性骨折或撕脱性骨折MRI:可检查肌腱、韧带的损伤肌骨超声:可代替或结合MRI检查软组织的损伤
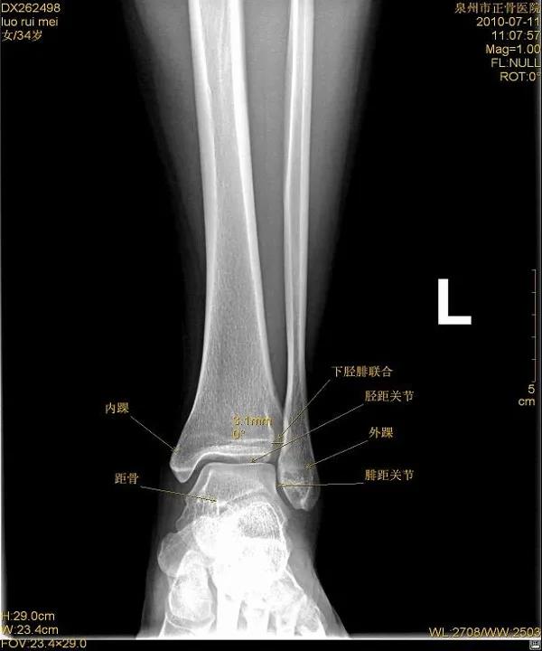
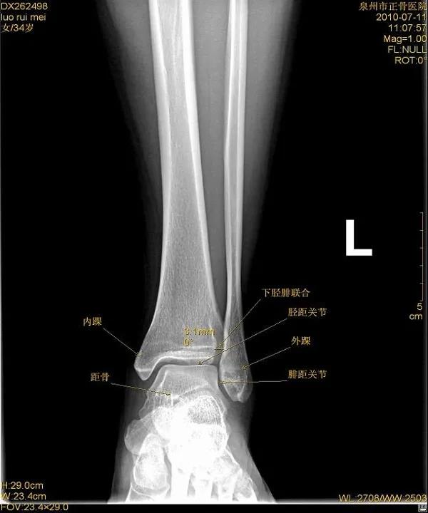
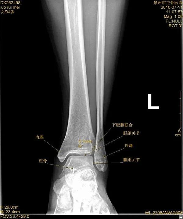
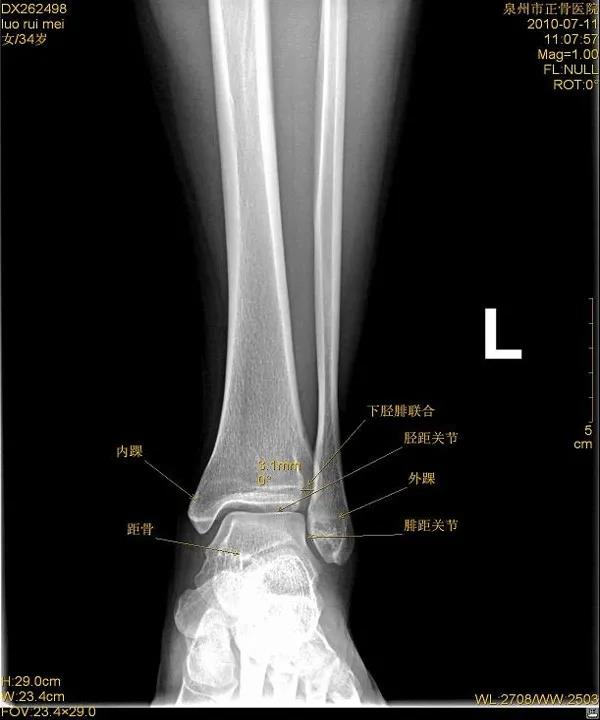
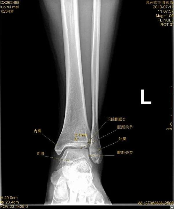
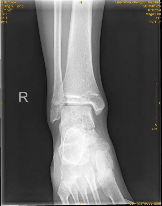
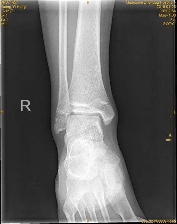
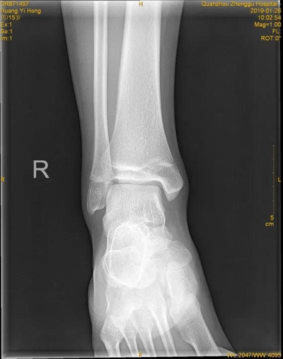
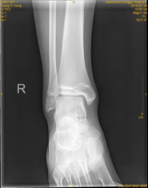
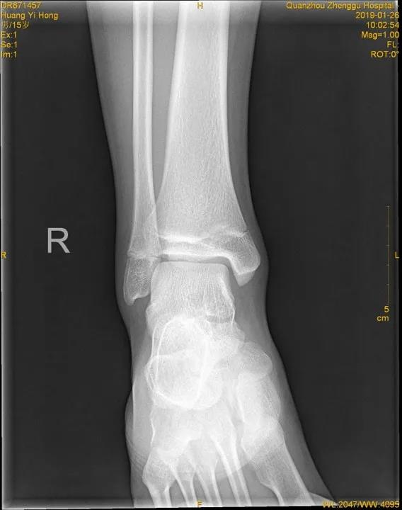
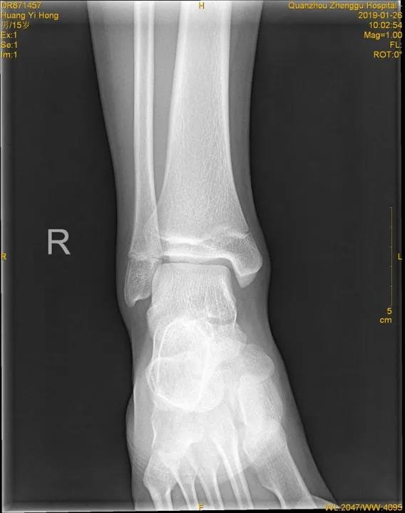
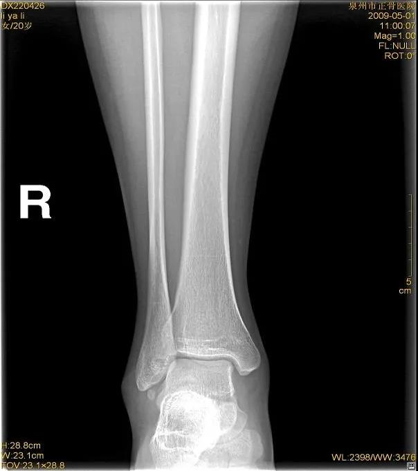
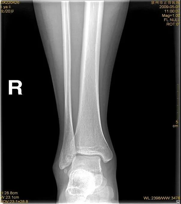
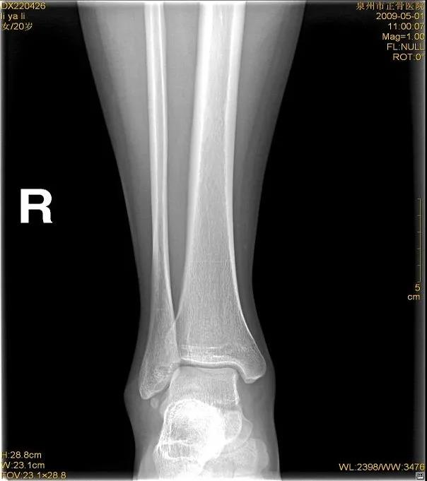
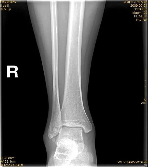
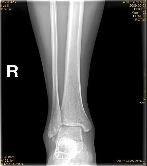
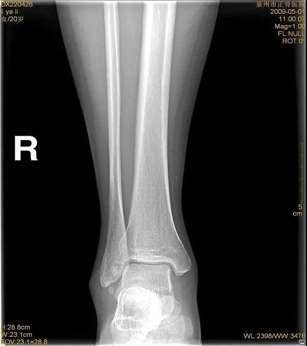
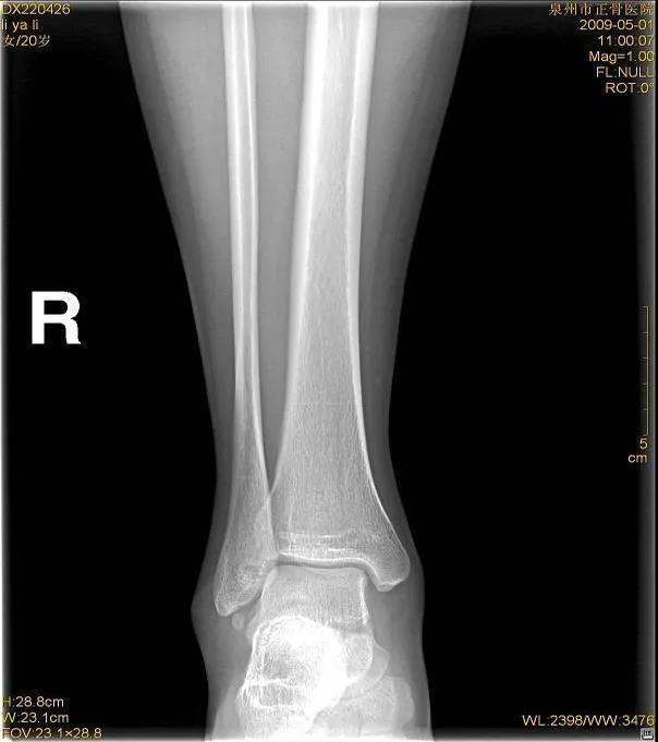
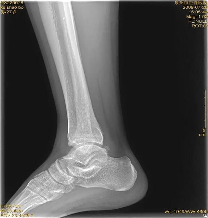
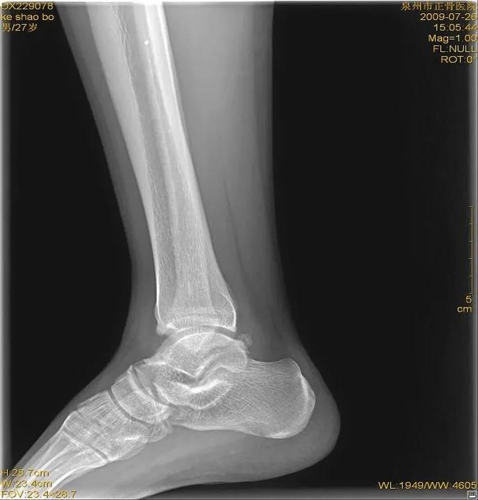
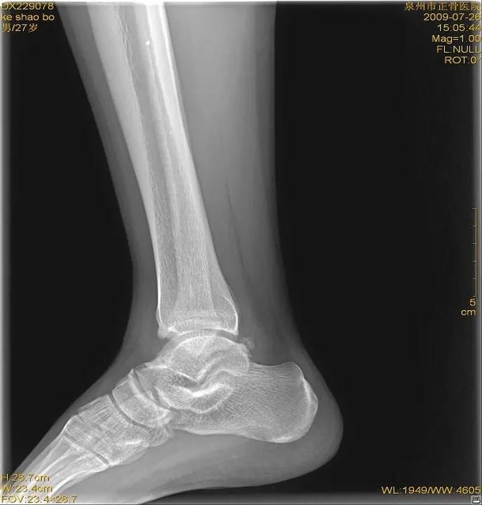
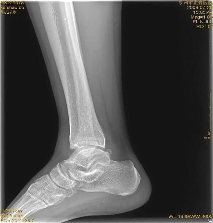
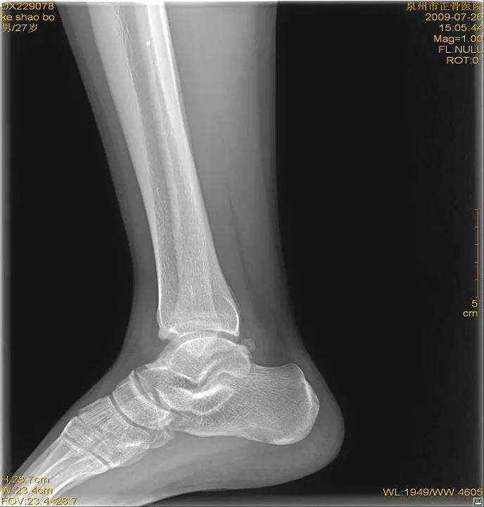
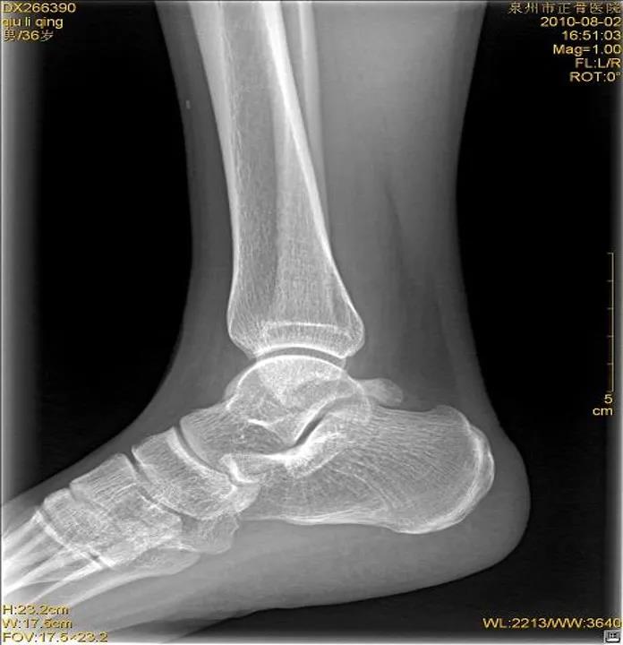
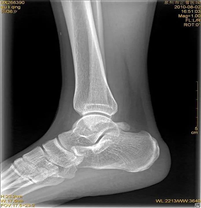
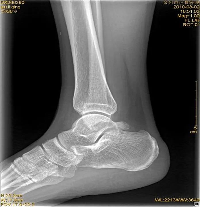
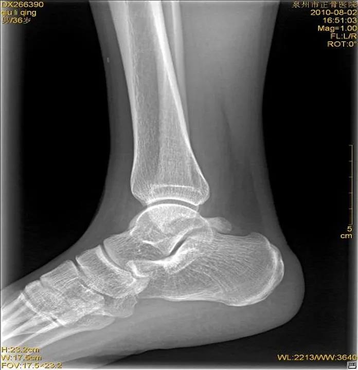
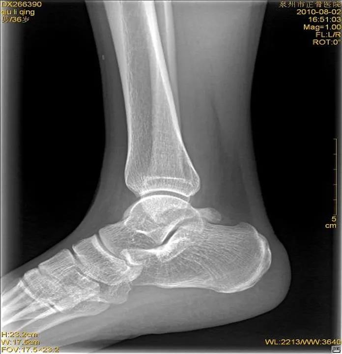
X线

踝关节正位

踝关节侧位

儿童骨骺未闭

腓骨下骨


距后三角副骨

籽骨

儿童正常骨骺
MRI:





三角韧带撕裂
肌骨超声相比X线、CT、MRI等,具有无创、无辐射、无禁忌症、廉价等优点能够对肌肉、肌腱的运动进行实时动态观察高频超声探头的应用,细微分辨率的显著提高,能清晰显示肌肉、肌腱、韧带、神经等组织病变,可以和CT、MRI互补。







治疗
急性期扭伤原则:RICE
- R:休息(REST)。发生损伤时要停止运动,让伤部休息,减少出血和肿胀,避免二次受伤和加重损伤。脚踝扭伤后,休息是很必要的,暂时限制肢体活动,有利于损伤韧带的修复,如敷药加上休息可以大大缩短治疗时间。一般脚踝扭伤需要修养2周~3周。
- I:冰敷(ICE)。在受伤后48小时内,用毛巾包裹冰块,放在受伤部位间断进行冷敷,一日可冰敷3次,可酌情增加时间,一次大约20~30 分钟。该措施非常关键,能有效起到收缩血管,减少液体渗出,限制炎症,减轻疼痛和肌肉痉挛,减缓细胞新陈代谢,防止组织破坏的作用。注意的是不可直接将冰块敷在患处,可用湿毛巾或布包裹冰块,以免局部冻伤,48小时后可进行间断热敷。
- C:加压包扎(COMPRESSION)。用弹性绷带包扎受伤部位,如足、踝、膝、大腿等部位,以限制关节活动,来减少内部出血,减轻肿胀及淤血,促进吸收和消肿,可连续加压包扎。但不可加压过度,否则可能引起包裹以远的肢体过度肿胀、缺血。
- E:抬高患肢(ELEVATION)。脚踝扭伤后最好请旁人搀扶,尽可能避免足部负重和运动,条件允许的话可以购置临时拐杖或者自制拐杖来帮助缓解患足负重。回到驻地后应抬高患肢,一般要求抬高于心脏的位置,可有效促进血液及淋巴液回流,有利于肿胀消退。

手法推伤治则治法:舒筋活络,活血止痛,滑利关节。常用手法:按揉,推,拔伸,摇等操作步骤:
- 患者仰卧位或坐位,医者用按揉法于踝部,先从患部到周围,并逐渐向上经小腿到膝下
- 拔伸踝关节并做小幅度的摇法和屈伸内外翻等被动活动
- 用推法自局部向周围分推多次

物理治疗物理治疗的种类:
- 声(超声波等)
- 光(激光、红外线、远红外线、紫外线等)
- 电(低频电、中频电、高频电、高压静电等)
- 磁(磁振热、低频磁疗、旋磁等)
- 热(蜡疗、红外线等)
- 冷(冰敷等)
物理治疗的作用:
- 消炎、消肿
- 改善循环
- 镇静、镇痛
- 兴奋神经-肌肉
- 缓解痉挛、软化瘢痕、消散粘连
- 加速伤口愈合、加快骨痂生长
- 增加机体免疫
禁忌症:
- 高热惊厥
- 出血或出血性疾病
- 活动性结核
- 心肺功能不全、恶性肿瘤
- 植入心脏超搏器、局部金属异物
- 妊娠
物理治疗应用于踝关节扭伤,可根据病情选用
- 急性期可选用冷疗,慎用热疗
- 早期可消肿止痛、缓解痉挛、改善循环
- 中后期可软化瘢痕、消散粘连、兴奋肌肉-神经、促进组织修复
西药治疗主要是对症处理:
- 止血、减少渗出
- 消炎止痛
- 改善循环、促进消肿
- 缓解肌痉挛
护具处理1级:韧带存在拉伸,仅在微观上有韧带纤维的损伤,疼痛轻微,给予“软保护”。

弹力绷带包扎方法

内踝扭伤

外踝扭伤
2级:部分韧带纤维断裂,中等程度的疼痛和肿胀,活动度受限,可能存在关节不稳。需要应用夹板或支具进行固定。

3级:韧带完全断裂,存在明显的肿胀和疼痛,关节不稳定。建议“U”型石膏轻度“矫枉过正”固定,撕脱骨折可同法处理。


功能锻炼第一阶段:急性期肿痛剧烈,应避免患肢活动,护具保护肿胀疼痛减轻后尽早练习跖趾关节屈伸活动踝部肿痛进一步减轻,应加强不负重的背伸、跖屈活动活动强度应逐渐增加,至活动后无疼痛肿胀,背屈接近正常
第二阶段:进行踝关节内翻、外翻活动配合踝关节肌群等长练习、足背伸抗阻练习、提踵采用患肢单腿站立恢复踝关节本体觉开始练习负重和行走,逐渐过渡至跑步,然后做“8”字跑,进而训练跳跃,直至单足跳跃●整个阶段循序渐进,逐渐增加训练强度●开始时可佩带护具,以防再次损伤,肌力较强后再将护具去除

手术治疗不提倡早期手术治疗!有研究显示选择手术治疗和非手术治疗的结果类似:
- 75~100%的患者有良好的治疗效果
- 踝关节不稳、肿痛、关节僵直、肌力下降等后遗症发生率大致相似
- 主张对急性损伤实施非手术治疗,无论其稳定与否
- 非手术治疗花费更低,并发症更少,并且同样良好的治疗效果
- 后遗问题经二次手术修复重建,仍然有较好的效果
早期选择手术治疗有争议,仅用于有以下严重损伤的年轻运动员:
- 韧带完全断裂后持续踝关节脱位
- 内翻试验时倾斜大于10°
- ATFL和CFL同时断裂
手术方法包括:
- 直接缝合修复
- 带线锚钉修复
- 伸肌支持带加强修复
- 肌腱移植重建
术后处理:
- 屈伸0°,轻度外翻位短腿石膏或步行靴固定
- 7~10d后可拆除石膏进行背屈和外翻活动
- 4w后穿马镫支具活动,轻柔内翻和跟腱拉伸
4招帮你防崴脚

容易崴脚主要有3类原因:1)关节周围肌肉韧带缺乏锻炼,力量不够,控制力不够;2)平衡能力不够,遇到不平坦的路容易摔倒;3)大脑神经反应速度慢,本体感觉不佳,当崴脚时不能及时感觉到进行调整姿势,导致受伤。
那么在日常生活中有没有锻炼关节肌肉的方法呢?教大家4种训练共7个小动作,帮你防崴脚。
抗阻训练:

以弹力绷带为阻力,套在脚上,分别做勾脚、绷脚、足内翻以及足外翻的4个练习小动作,每个动作要以最大的幅度用力去伸屈,稍作停顿6-8秒后慢慢放开。以上所有动作每次反复做5-10次,休息30秒,每天做3组,当肌肉力量增加后,可以慢慢加大锻炼力度,但值得注意的是一定要避免运用大腿的力量来对抗。
平衡练习

锻炼平衡能力的方法很简单,就是金鸡独立。相信大家都很熟悉,主要是注意锻炼时的安全问题,可站在软垫上进行,锻炼区域手可触及地方有牢固固定的扶手。
控制能力联系:

坐位踩球。找一找椅子坐下,光脚将网球进行360°的旋转操控,锻炼对网球的操控能力。
提踵练习:

双脚脚掌踩在台阶上,足跟及足弓在台阶以外,慢慢将脚后跟踮起,稍作停顿后再慢慢下落,休息30秒,反复做20次,共做4~6组,每天做1~2次。
所有的锻炼均应在不痛的范围内进行,因为疼痛是人体防御体系发生的警告,所以如果在动作过程中感到异常疼痛,请立即停止,并咨询专业人员。
最后小编提醒您出门游玩注意安全祝您国庆长假玩得愉快!
内容综合整理自网络,部分内容来源于丁香园及健康人报,未经允许禁止转载,如有侵权,请联系删除,谢谢!