你的手机你能掰断吗?

那换一个PFNA你试试

那么粗的钉子就断了??是不是质量不好?绝对不是!
髓内钉断钉一般只有两种原因,承受了不该承受的应力!什么叫不该承受的应力呢?就是应力过大,突然的外伤导致断钉;载荷过多,骨折没有愈合但长期负重行走。
钉子在测试的时候都是在一定比较理想的状态,“解剖复位”或者部分解剖复位,“理想中的AO分型只有一个骨折线,没有移位。”
看过那么多文献,很少有髓内钉在测试的时候进行了异常状态的测试,比如:内外翻时候的应力循环载荷;不同复位不良情况下的应力循环载荷;进钉点错误,外侧壁骨折,内侧壁缺失的情况等等。
但是出现髋内翻、复位不良在手术中是十分常见的,这个情况下的应力相比解剖复位和相对解剖复位的应力大得多。
另一个方面,涉及断钉还有很多因素,年龄,骨质疏松情况,肥胖情况,康复锻炼情况,抽烟情况等等。
今天简单的提一下,希望大家可以更好的理解
按部位分的话,主要有三种近端、断端、远端:

近端、断端、远端断裂
1.近端是最常见的,大部分的并发症都集中在了近端,主要是导致了切出、穿凿、内翻、退钉等。

头钉过短、内侧支撑不足、导致的6周出现内翻,最后肢体短缩2cm,出现这些的原因,意味着骨折不稳定!初始固定没有达到应该稳定骨折的效果
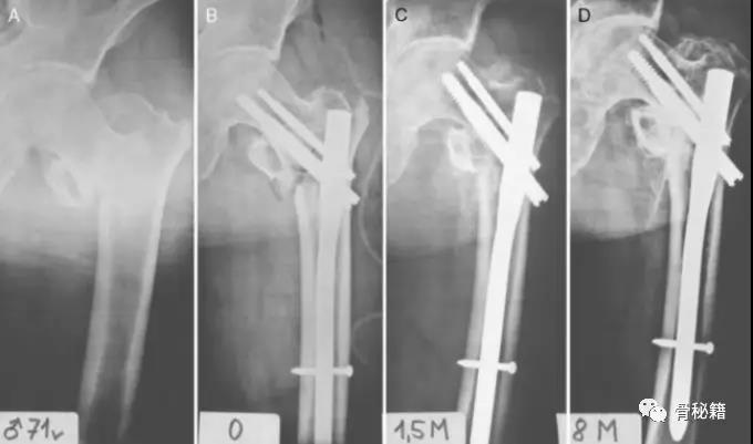
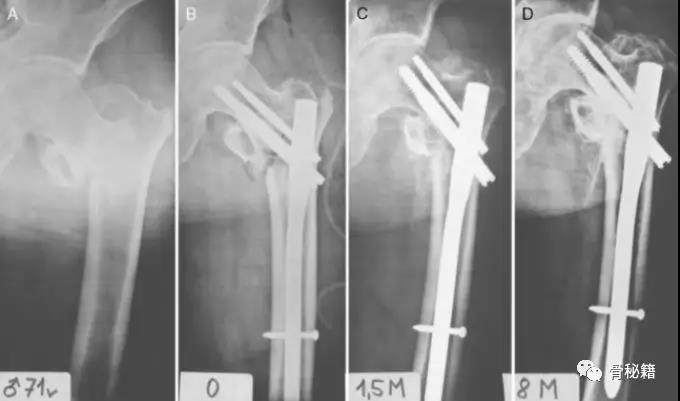
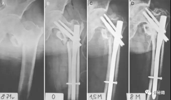
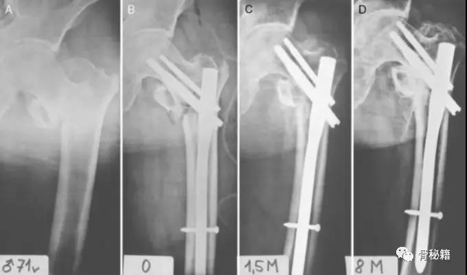
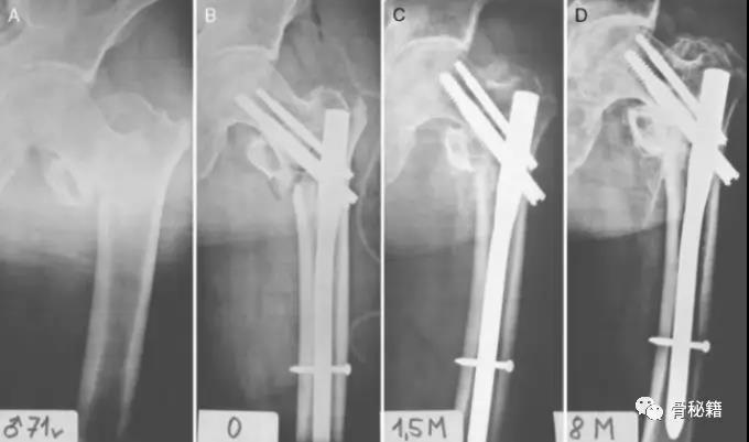
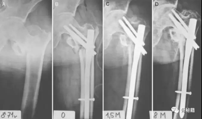
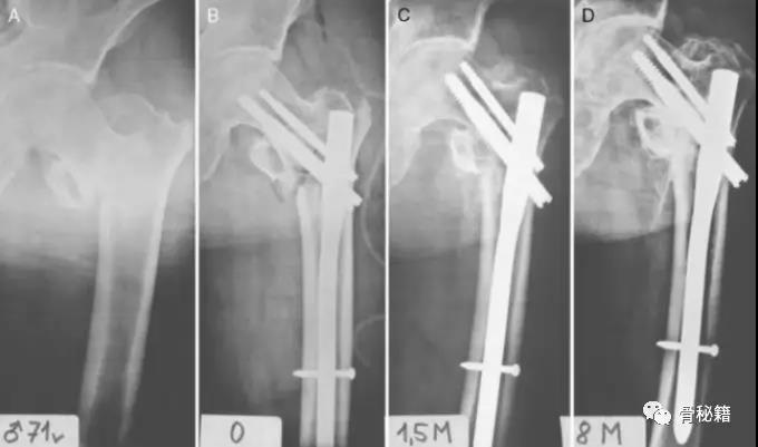
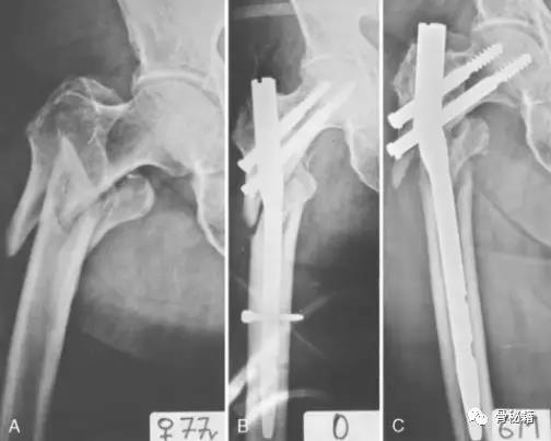
2.断端断裂
断端断裂通常是疲劳断裂,也有部分外伤导致的断裂。疲劳断裂通常在好几个月到几年的时间不等。骨折长期不愈合所导致

骨折复位不良、断端无接触、没有动力化、粗隆下骨折应力较大。骨折延迟愈合,6个月的时候发生了断钉

7个月 骨折延迟愈合断钉
3.远端断钉,比较少见
远端的锁定断裂可能是在远端动力加压时的问题
远端锁定不居中也会引起该问题


髓腔过于宽大的患者,骨折复位不良,头钉固定较好,整体出现应力集中在远端
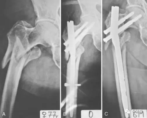
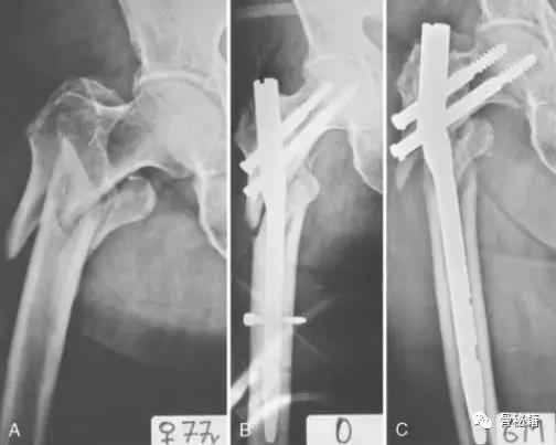
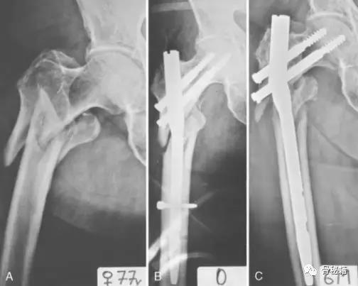
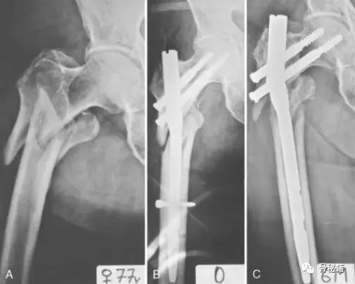
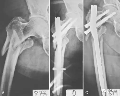
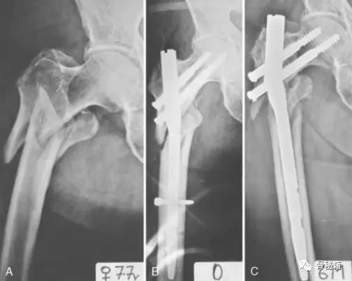
来一个比较有意思的病例大家讨论:

一个双膦酸盐治疗5年的患者粗隆下非典型骨折
采用了髓内钉固定,术后一年内固定失效

更换了DCS+植骨固定,术后四个月又发现了内固定失效再次更换了更长的DCS
这次的固定能成功吗?
内容转载自骨秘籍!