髋部疼痛你会考虑什么?1、股骨头缺血性坏死2、髋臼发育不良3、髋关节炎性疾病(TB、肿瘤、骨关节病……..)4、强直性脊柱炎5、其他?
髋臼唇病变:纤维软骨结构,加深髋臼窝,下方由横韧带封闭

髋臼唇的功能1、加深关节腔2、参与本体感觉和损伤后痛觉的神经传导3、髋关节负重时:密闭关节腔,稳定髋关节,防止关节腔内滑液流出损伤后症状1、髋部疼痛:腹股沟(90%)、转子、臀部2、活动受限、关节弹响3、体检髋伸屈和内旋可引起疼痛
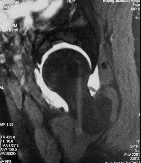
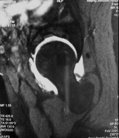
髋臼唇损伤原因:外伤或脱位;退变;先天性髋发育不良;股骨髋臼撞击。发生部位:多在前方和上方盂唇;后唇少见;两处以上撕裂不常见;臼唇与关节软骨交界处诊断方法:MR和MR造影
1935年Smith-Peterson发现髋臼凹陷,臼对股骨头的覆盖过度,臼与股骨颈发生撞击引起的疼痛,做了髋臼前缘切除或矫形术

又有学者发现:股骨头骺滑脱引起髋关节撞击。90年代Gana等系统、全面地研究和总结出FAI的临床表现,诊断和治疗方法,明确指出FAI是造成髋OA的重要原因。
髋关节撞击综合征,又称股骨髋臼撞击综合征femoroacetabular impinglment Syndrome,FAI
近年来,国际关节外科临床研究的热门话题,FAI-导致髋关节骨关节炎的致病机制是-疼痛,症状隐痛,病程缓慢,髋关节畸形不重。
FAI定义:以髋关节解剖结构异常而引发股骨近端何髋臼间发生撞击,导致髋关节盂唇和关节软骨的退行性化。引起髋关节慢性疼痛。髋关节活动范围特别是屈曲加内旋受限,最终为髋关节骨性关节炎。
FAI临床症状髋关节疼痛:腹股沟处疼痛或臀部深处痛。也有大腿前方或膝关节疼痛为首发症状。
疼痛性质:隐痛、酸胀感、起步时疼痛。长距离行走后疼明显,半路行走疼不明显关节闪痛、关节绞锁、关节弹响。
FAI骨科检查:大部分髋关节活动度基本正常
典型体征:所有的髋关节极度屈曲内旋或外旋位可引发髋疼内旋受限﹥外旋受限80%“4”字征阳性(髋疼或外展外旋受限)屈伸髋时可触及髋关节弹响
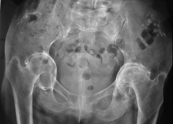
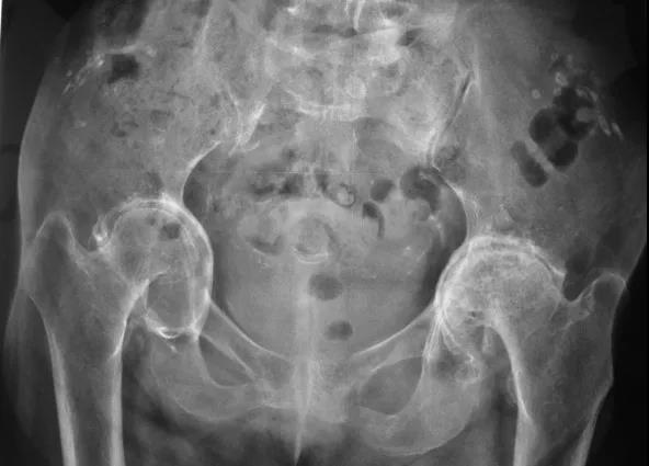
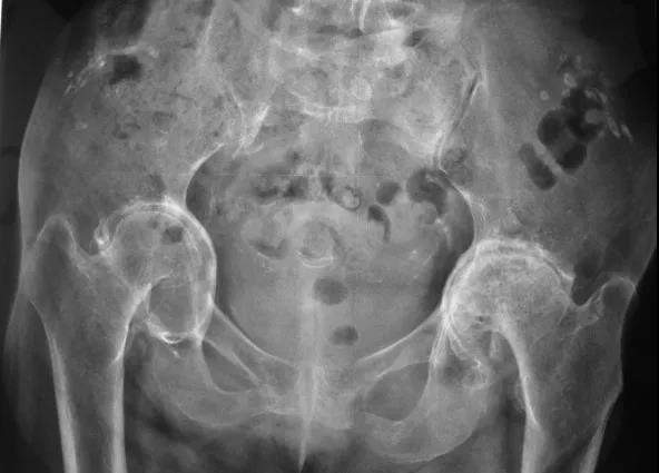
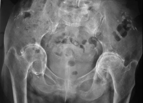
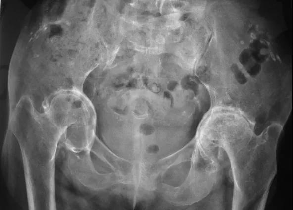
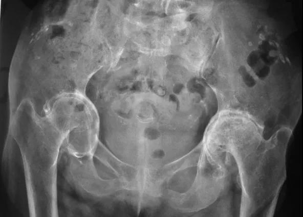
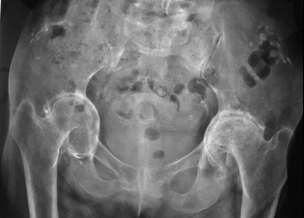
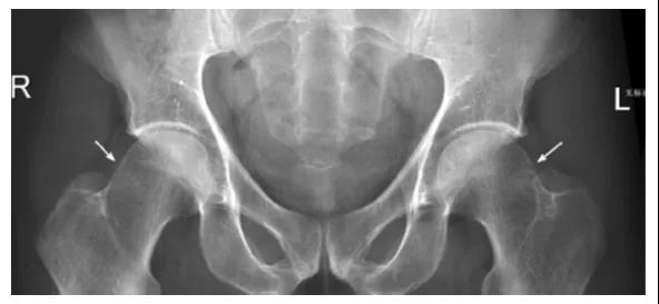
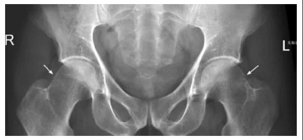
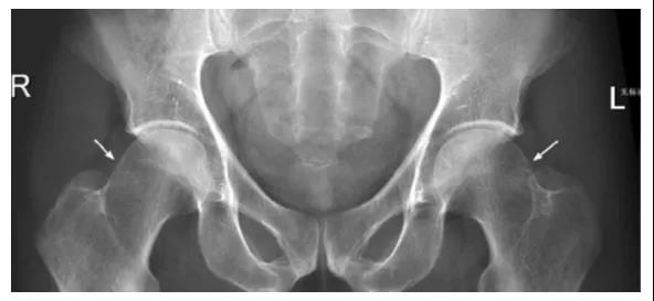
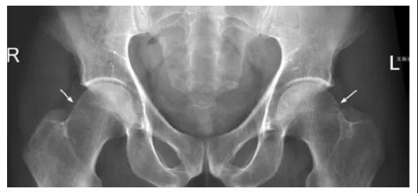
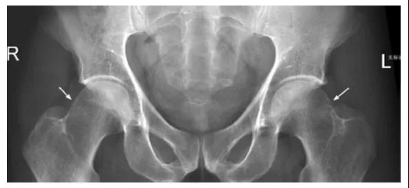
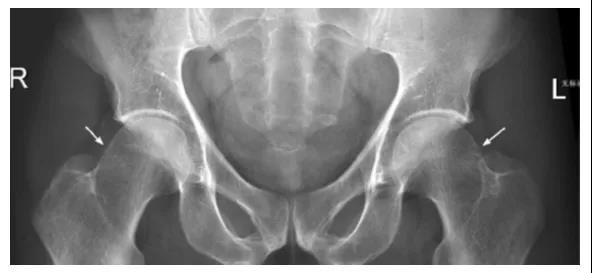
FAI影像学检查前后位片:可见股骨头不同程度的手枪柄样畸形侧位片: 观股骨头颈交界处骨性隆起;CE角﹥40°;髋臼后倾畸形;股骨颈的囊性变





FAI影像学检查CT: 冠状位可见髋臼后倾股骨颈轴位可见头颈交界处骨性隆起α角增大,股骨颈偏心距异常
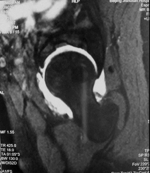
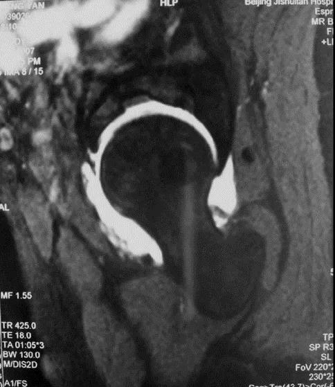
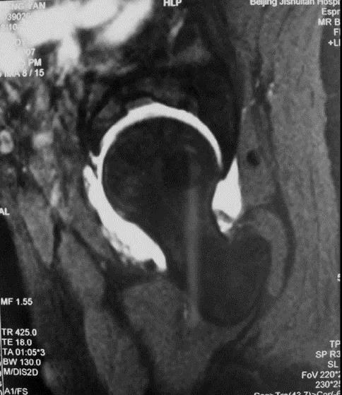
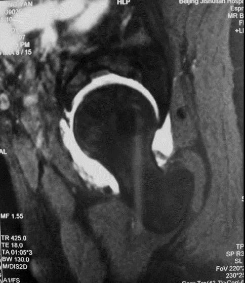
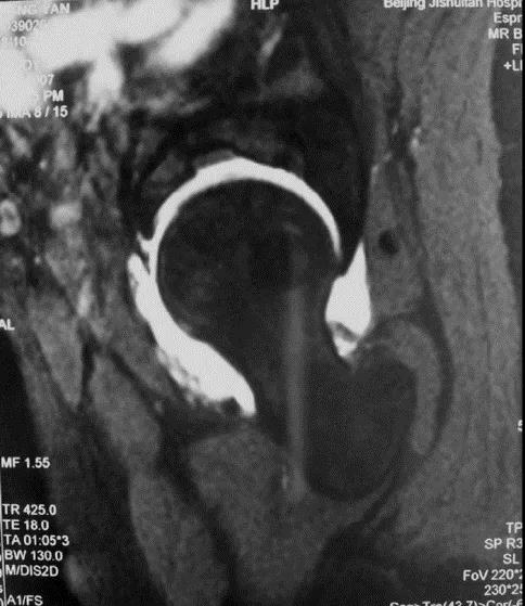
MRI:有不同程度的盂唇撕裂和损伤,对诊断有重要意义






病因:解剖学异常,导致屈曲内收时股骨颈与髋臼缘撞击;臼缘:臼唇损伤;股骨头:骨软骨损伤分型1、齿轮型(cam-type ):股骨头、颈间的凹陷不足2、螯钳型(pincer-type):髋臼解剖异常
- 髋臼后倾、尤其是上1/3的后倾
- 髋臼过深
- 髋臼前突
3、混合型

FAI:齿轮型(cam-type )影像:股骨头、颈间的凹陷不足,可伴局部的骨质增生、硬化、囊变部位:前外股骨头、颈交界区


FAI:螯钳型(pincer-type)横断面显示髋臼后倾尤其是上1/3的后倾


髋臼唇损伤原因:外伤或脱位;退变;先天性髋发育不良或儿童时期疾病(骺滑脱、perthes病);股骨髋臼撞击(FAI)
临床:1、腹股沟区疼痛:长时站立、坐、行走更严重2、“the impingement sign”:屈髋(>90度)、内旋内收时诱发疼痛

FAI的治疗
保守治疗:适应症:髋关节疼痛对日常生活和工作影响不显著者
1、避免重体力劳动、过量运动以及长距离行走2、避免做引起疼痛的髋关节活动3、NSAIDS类消炎止痛药4、软骨保护类药物
手术治疗:适应症:难以忍受的髋关节疼痛和绞锁症状显著者
髋关节镜下关节盂唇修整,股骨头颈交界处骨性隆起磨削成形术
优点:微创技术存在问题:手术技术要求高,学习曲线长,需要达到相应手术量才能取得较好的手术效果。
经股骨大粗隆截骨,髋关节前脱位,关节盂唇修整,股骨头颈骨性隆起切除成形术
优点:该入路能充分保护髋关节的血运,避免出现股骨头坏死;充分显露髋关节的结构。
自我恢复锻炼
拉伸髂胫束一天2次,一次三组,每次保持静力性拉伸30秒。

臀桥训练平躺于瑜伽垫上,双手掌心向下平放于身体两侧,双腿微微分开至略宽于肩并弯曲呈60度,两脚掌平踏于垫面,吸气收紧臀部并腰上挺,使身体呈一条直线,至最高点稍停留然后慢慢放下还原,不要接触地面。15个一组,每次三组。

髋外展力量训练侧躺,身体与大腿呈120度,大小腿呈90度,双脚并拢,呼气时打开膝盖,吸气放下膝盖。15个为一组,每次三组。注意控制节奏,慢抬慢落。

文章整理自娄思权老师的课件!