2021-11-15 10:50:461197浏览
髌骨骨折手术技巧!
手术技巧
- 外科手术的目的是为了获得解剖复位,并在骨折愈合前以内固定的方式来维持复位状态,恢复髌骨骨折后的伸肌装置。

▲ 示意图
- 前张力带可将股四头肌产生的牵拉力转化为对关节面的压力。
- 采用正中或髌骨旁内侧直切口。
- 暴露所有骨折块并将残留的血肿或异物清除。
- 检查膝关节以清理骨折块并处理所有相关的软骨损伤。
- 伸直膝关节以利于骨折复位。
- 复位钳帮助维持复位,评估关节面复位情况。
- 顺行或逆行打入克氏针。
- 克氏针或螺丝钉应在髌骨前皮质面下大约5mm打入,在骨质内冠状面和矢状面上相互平行。

▲ 示意图
- 在穿过骨折线之前,可用术中透视(正位和侧位)直视下或将手指伸到髌骨下触摸的方式来确保骨折已复位。
- 使用14或16号的导管作为环扎线的通道。将其穿过临近骨质的四头肌腱和髌韧带内以尽量减少由钢丝所致的软组织损伤。钢丝尽可能接近髌骨,这一点很重要。

▲ 示意图
- 然后以导管作为通道将18号钢丝穿入软组织内。
- 钢丝的两端在髌骨前面呈8字形交叉。张力带也可打成非交叉的方式。

▲ 示意图
- 在直视,触摸或同时借助于术中透视的方式下确保髌骨的关节面达到充分复位,这点非常重要。
- 如果复位满意,用老虎钳在两边慢慢拧紧钢丝。
- 8字形钢丝的内外两边要交替拧紧以使横过骨折端的张力均衡。
- 单侧拧紧会导致不均衡压力,并使环另一边的过度松弛无法恢复。
- 钢丝拧得过紧会导致骨折再次移位或者使骨折进一步加重。
- 两平行克氏针的末端剪断后在张力环上翻转180°,上下两端埋入骨内以防止其移位。

▲ 示意图
- 髌骨重建一旦完成,内外侧支持带从各自的上端用 #1可吸收缝线开始修复以恢复其对髌骨的作用。
- 皮下层用2-0可吸收缝合线连续缝合,皮肤缝合方式可由医生自行决定(缝合钉/缝合线)。
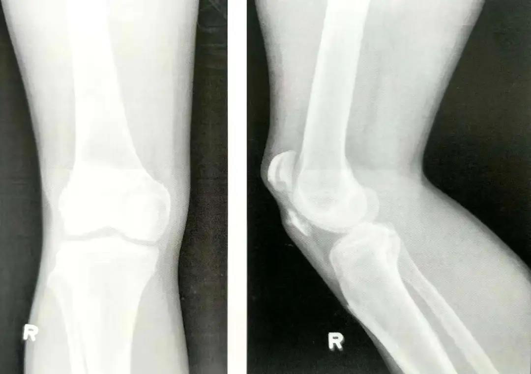
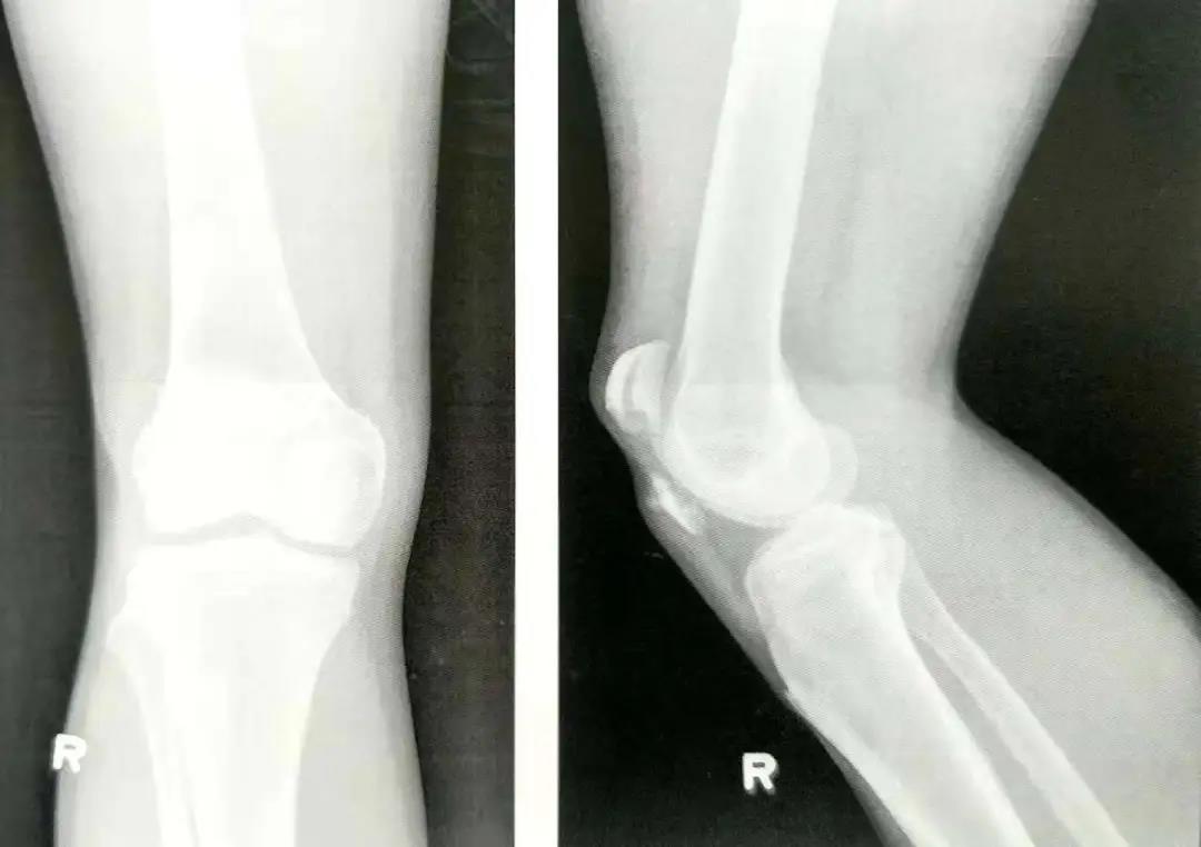
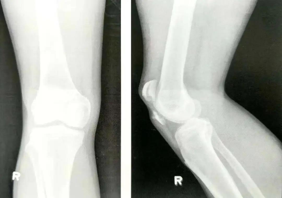
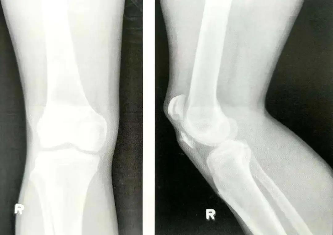
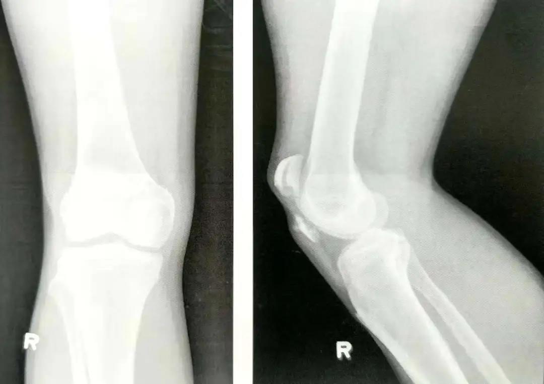
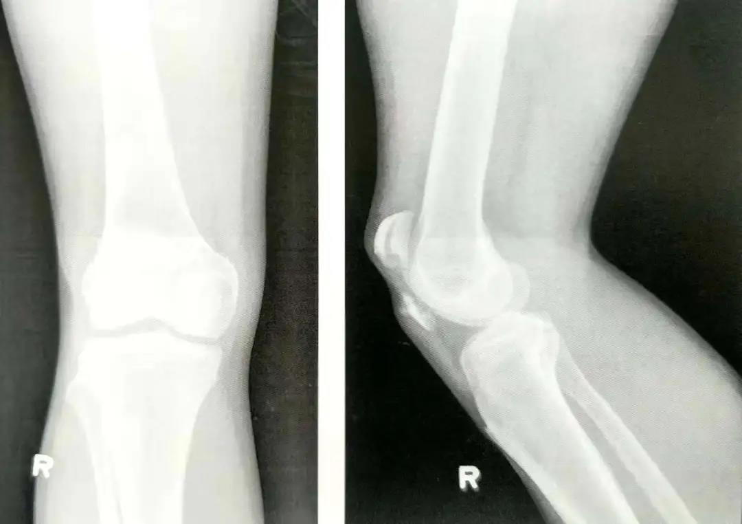
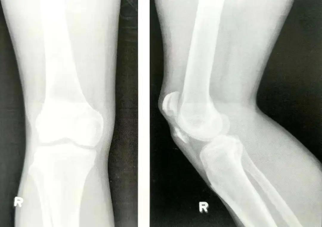
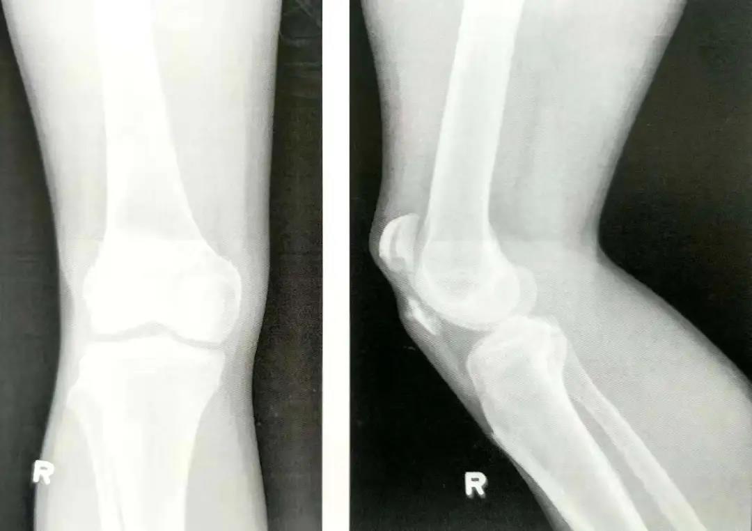
- 在关闭伤口前用术中透视或X线评估骨折复位和内置物的位置情况。
内容来源医贰叁云学院