肩关节解剖
肩袖是由冈上肌、冈下肌、肩胛下肌及小圆肌的腱性部分组成的鞘状结构。它包绕盂肱关节、肱骨头、关节囊,形成近似袖套样肌样结构,具有保持肱盂关节稳定,维持上臂各种姿势和完成各种运动的功能。

图1肩关节骨解剖 1.锁骨2.肩胛骨3.肩峰4.喙突5.肱骨头6.关节盂

图2 肩袖解剖 1.肩胛下肌 2.冈上肌 3.冈下肌 4.小圆肌


图3 肩袖肌肉解剖肩袖损伤病因
1.创伤是青少年肩袖损伤的主要原因。2.血供不足引起肩袖组织退行性变。3.肩部慢性撞击性损伤。Neer(1983)认为95%肩袖损伤是长期肩部撞击磨损的结果,循环障碍和创伤不是主要原因。肩袖损伤分型
肩袖损伤有多种分型方法,主要依据肩袖损伤的深度、撕裂大小、肌腱的质量等因素进行分型。一、Neer肩袖损伤病理分期I期 可逆的水肿炎症期,肌腱出现水肿和出血,尤其是冈上肌腱II期 腱性组织纤维化和慢性炎症期(包括不伴有肩袖撕裂和合并有部分肩袖撕裂)III期 肩袖纤维完全性坏损,全层撕裂二、肩袖损伤四种类型(1)新月形撕裂(2)U形撕裂(3)L形和倒L形撕裂(4)巨大回缩性不可移动性撕裂

图4 A.新月形;B.U形;C.L形;D.巨大回缩不可移动性
三、肩袖损伤根据深度可分为部分损伤和全层损伤。部分损伤可分为滑囊侧损伤、关节侧损伤以及肌腱内损伤,全层肩袖损伤有Post分型和Gerber分型等。1、Post分型(1)小型损伤,<1cm(2)中型损伤,1-3cm(3)大型损伤,3-5cm(4)巨大损伤,>5cm2、Gerber分型①小型损伤,仅涉及1条肩袖肌腱②巨大损伤,涉及2条及以上肩袖肌腱③不可修复性损伤,涉及2条或2条以上肩袖肌腱,并且MRI显示肌腱内脂肪浸润,术中松解后在外展60°仍不能将肩袖组织外移至肌腱止点处。

图5 Gerber分型临床表现及诊断
肩袖损伤多见于40岁以上男性,主要临床表现为肩关节疼痛和活动受限。疼痛多位于肩前方,三角肌前方及外侧,多在活动或增加负荷后加重;压痛多见于肱骨大结节近侧,或肩峰下间隙部位。主动活动受限以外展、外旋及上举受限较明显;被动活动受限不明显。肩袖损伤的诊断应综合考虑患者主诉、体格检查和影像学检查等。一、查体1、视诊和触诊:视诊主要观察三角肌、肩胛肌、方肩等。触诊需要检查肩锁关节、肱骨大结节、结节间沟的压痛,看是否合并其他病变。2、活动度:活动度检查包括主动活动度和被动活动度检查,两侧对比。肩关节活动度包括前屈上举、体侧外旋、体侧内旋、外展90°外旋及内旋等。通过Apley Test(摸背实验)可以粗略的观察肩关节内旋、外旋活动度。

图6
二、特殊试验








三、影像学检查1、X线检查X线检查用来评估肩峰形态,肱骨头和肩盂的关系,以及除外其他疾病。

图15 a.正常肩关节 b.肩峰撞击

图16 巨大肩袖损伤,肩峰下间隙<9mm
2、MRI检查MRI目前是诊断肩袖疾病中最常用的检查,可以直观的观察肩袖肌腱。
图17 冈上肌

图18 冈下肌

图19 肩胛下肌

图20 小圆肌

图21 斜冠状位(临床常用)a.T2,b.T1

图22 斜矢状位 a.冈上肌出口,肩袖诊断不如斜冠状位;b.冈上肌及肌腹脂肪浸润成度,评估手术与否

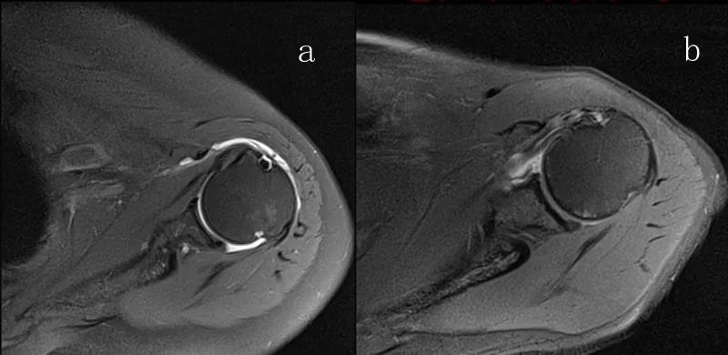
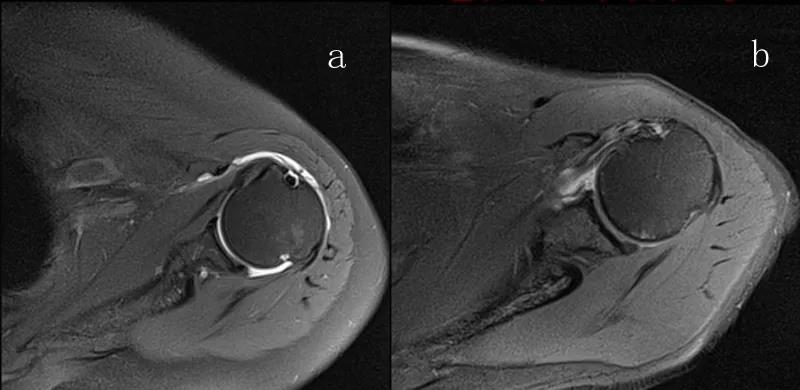
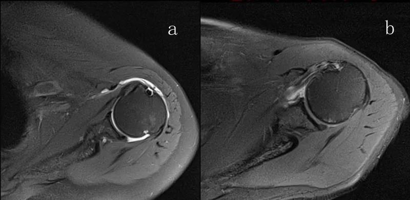
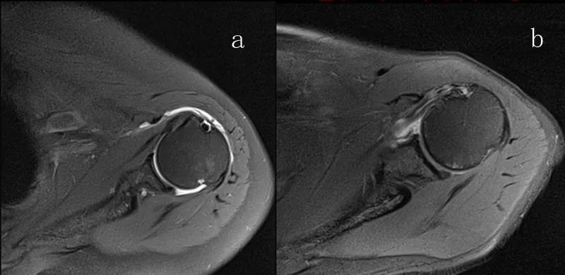
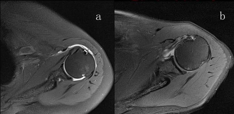
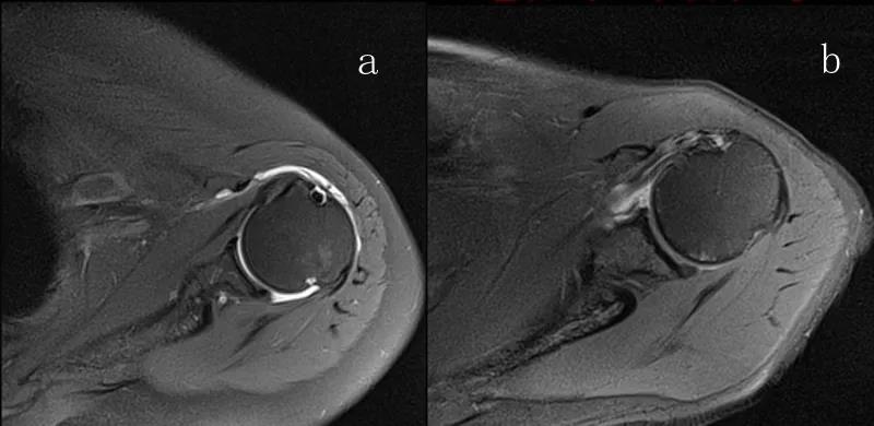
图23 横断位a.正常肩胛下肌;b.肩胛下肌损伤

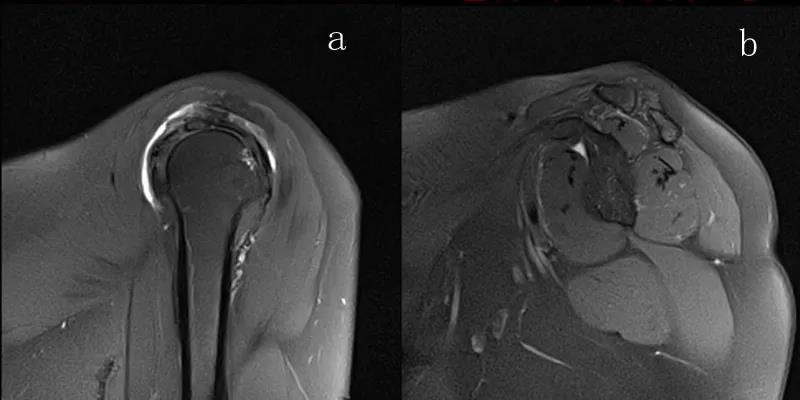
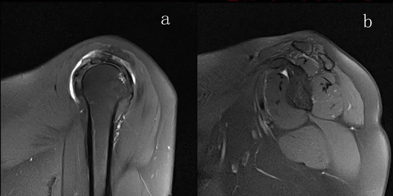
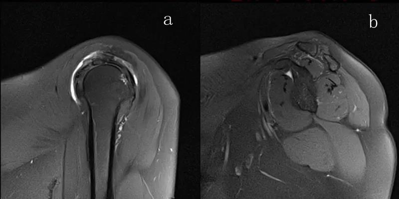
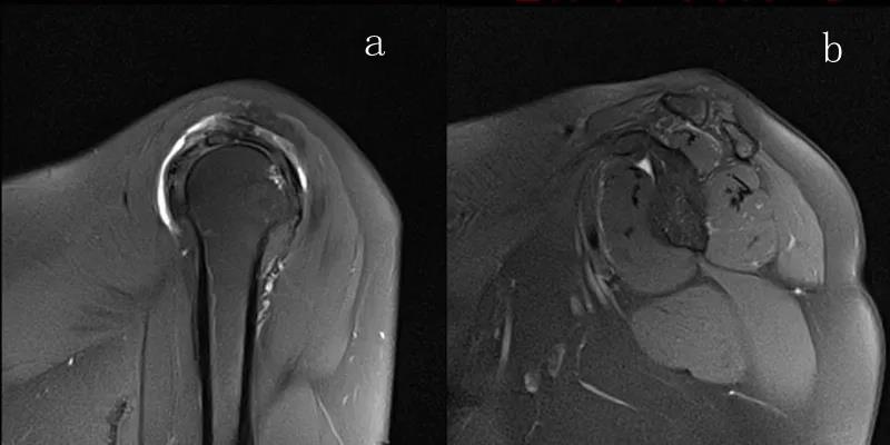
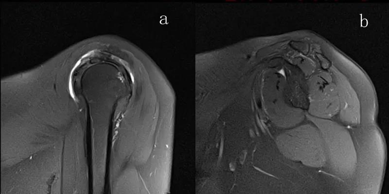
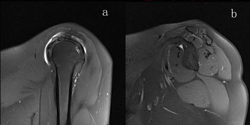
图24 a.肩袖全层撕裂;b.正常MRI

图25 巨大肩袖损伤(冈上肌)

3、超声检查
超声检查是一种可靠、快速的检查手段,可以同时检查双侧肩关节,但其准确性对操作者依赖性较强。鉴别诊断
1、肩周炎(冻结肩,五十肩),主要表现为主动活动和被动活动均受限明显。2、肱二头肌长头腱炎,主要表现为结节间沟压痛明显。3、钙化性肩袖肌腱炎,通常表现疼痛剧烈,通过X线可诊断。4、四边孔综合征,以肩外侧麻木和肩外展无力或受限为表现,通过电生理检查可发现三角肌丢失神经支配电位,腋神经传导速度减慢。5、创伤后肩关节粘连治疗方式
肩袖损伤治疗分为非手术治疗和手术治疗,两者均有各自适应证,应严格把握。一、非手术治疗对于怀疑有肩袖损伤的老年患者或活动量小、病程短、肩袖部分撕裂的患者,早期多主张进行保守治疗。包括(1)非甾体类抗炎药物;(2)肩峰下封闭注射;(3)物理治疗,包括离子导入、超声透疗、神经电刺激、推拿等。治疗同时配合肩关节功能锻炼,可获得良好疗效。二、手术治疗如保守治疗3-6个月,病情无好转,或完全肩袖损伤的患者则考虑手术治疗,其目的是阻断病理过程、解除疼痛、恢复肩关节稳定功能。目前手术方式包括开放或关节镜下修复,肩袖部分撕裂清创或修复,肩峰下减压,肌腱转位、补片技术及上关节囊重建,反肩置换术等。肩袖损伤在治疗上存在很多不确定因素,要针对患者制定个性化治疗方案,严格把握治疗指征,深入理解肩袖损伤,是提高治疗肩袖损伤成功率的关键。




康复训练
肩袖损伤后,无论手术治疗或非手术治疗后,都应进行系统的康复训练。所有康复训练都应在康复治疗师指导之下完成。术后康复训练:患者术后佩戴肩吊带,摘除时间听从临床医生意见。根据治疗方案分为三个阶段:第一阶段(术后0~ 6周):正常关节制动4周,将发生相当程度挛缩,而受伤关节制动2周,就会导致结缔组织纤维融合,关节运动功能丧失,如果肿胀不及时处理,持续超过1-2周,就必然会加重局部粘连,限制功能活动。因此,我们要求患者进行肩部冰敷,以减轻肿胀、提高痛阈,同时主动活动手、腕及肘部,抬高患肢,被动活动肩部以减少粘连术后0~3周内采用肩吊带舒适体位悬吊保护,不应负重及过分用力。否则将影响组织愈合剂功能恢复。肩吊带保护时间视疼痛、肌力情况而定。1.圈、钟摆:健手辅助患侧上肢做前后、左右摆动及顺、逆时针划圈。钟摆运动,又称柯德曼氏运动,是肩关节的一种自我松动方法。体前屈(弯腰)至上身与地面平行,在三角巾和健侧手的保护下摆动手臂。首先是前后方向的,待适应基本无痛后增加左右侧向的,最后增加绕环(画圈)动作,逐渐增大活动范围,但不超过90°。

2.手、腕、前臂及肘的相邻关节活动练习(主动):均为3次/d,5~10个/次。手:抓握,伸展腕:掌屈、背屈、尺偏、桡偏、环转前臂:旋前、旋后肘:屈曲、伸展

图片来源:三九脑康复
3.冷敷痛区:3~6次/d,每次20---30min。4.被动活动练习:术后第1天开始被动活动肩关节前屈和体侧外旋,术后第3~4天开始被动活动肩关节外展、内旋及外展外旋。肩关节前屈:患者应平卧于床上,伸直患侧上臂,健侧手扶患肢肘部。在患肢不用力的情况下,由健侧手用力使患肢尽可能上举达最大角度,并在该角度维持1分钟。

肩关节体侧外旋:患者平卧床上。患侧肘关节屈曲90°并紧贴在体侧。健侧手用一根木棒顶住患侧手掌。在维持患侧肘关节紧贴体侧的同时,尽力向外推患侧手,达到最大限度时同样维持1分钟。肩关节外展:患者应平卧于床上,双手持一木棒于体前,健侧向患侧推,使患侧上肢贴于床面,肩关节展开,达到最大限度时同样维持1分钟。肩关节外展外旋:患者应平卧于床上,患侧肘关节屈曲90°,肘不必紧贴于体侧,患侧肩关节尽可能外展,90°以内,90°为最佳,健手患手均握木棒一端,健手尽力向外推患手,注意上臂不可离开床面,达到最大限度时同样维持1分钟。肩关节内旋:患者站立位,患肢背在背后,而健侧手背在脑后。两手分别握住一条毛巾的两端。患肢不用力的情况下,由健手通过所握的毛巾尽力将患手向上拉,达到最大限度时维持2分钟。5. 术后2周拆线后进行三角肌等长收缩训练:分别锻炼前、中、后部,均为3次/d,5~10个/次。患者平卧床上。患侧手握拳,肘关节屈曲90°并紧贴在体侧。在保持身体、肩关节、上肢位置不动的前提下,进行前方,外侧,后侧的抵抗训练,抵抗物可为床,健手及墙面等。第二阶段(7~12周):1. 除吊带后主动辅助关节活动训练:肩梯、滑轮等。2.站立位利用棍棒等进行前屈、外展、外旋等练习,均为3次/d,5~10个/次。3.继续进行肩部肌肉等长收缩练习。此阶段训练可以站立位进行,不过要保持躯干、患侧肩及上肢保持不动的原则

4.姿势纠正。与日常生活中保持良好的习惯及姿势,与康复训练同样重要。既可以很好的帮助康复训练,并且避免不必要的并发症的发生。① 睡觉如果睡觉质量好且醒来没有疼痛,那么不要改变习惯。如果你睡觉时有肩膀不适,那么避免用患侧肢体枕着头动作,因为那样对血液循环不好。同时,可以使用多个枕头来保持肢体稍微的外展② 日常生活活动早期避免双上肢高于肩膀水平面持物工作需要长时间的反复操作或持重物时,保持肘关节弯曲,并靠近身体。上举过头顶取物时尽量使用脚垫或者小板凳③姿势训练:a.收下颌部同时后伸肩胛坐位或站位,内收下颌部,同时向后向下后伸肩胛,避免前屈或后伸颈部,保持目光向正前方。b.主动前屈肩关节并保持斜方肌上部肌肉放松:上肢前举,并保持肩关节放松,避免耸肩。可在镜子前训练,或置对侧手于肩上。

5.日常生活动作训练(梳头、洗澡等)。训练前可先进行热敷,待肌肉放松后开始训练。注意:患侧不能负重,练习时不要快速反复重复动作,尽量用患侧进行日常活动。第三阶段(12周以后):此阶段时重建或修复的肩袖已基本愈合,除继续强化之前的动作之外,可进行终末牵拉和力量练习。①利用门、桌子等进行肩关节各方向牵拉,3次/d,5~10个/次,每次需持续10~20s;a.门框胸肌牵拉训练上臂外展,曲肘前臂置门框。躯干缓慢转向对侧,直到感觉到了胸肌牵拉感。b.肩关节后牵拉训练水平内收前屈90度水平面内收肩关节,对侧手在肘关节处加力帮助牵拉。c.肩前屈牵引训练立位面向墙壁,手向上滑动,缓慢靠近墙面以增加牵引。②利用哑铃、弹力带等进行各方向力量练习,2—3次/d,15个/次,到达终末点时需持续5— 10s。以下为几个重点练习的动作,保持肩关节肌肉力量的平衡。a.肩关节体侧抗阻内外旋训练手握一弹性皮筋一端,皮筋另一端固定于某处,向外侧用力牵拉皮筋。至最大角度保持一定时间或完成动作为一次。可通过皮筋的松紧调节阻力的大小。

图片来源:三九脑康复
b.肩关节抗阻后伸训练手握一弹性皮筋一端,皮筋另一端固定于某处,向后用力牵拉皮筋。至最大角度保持一定时间或完成动作为一次。可通过皮筋的松紧调节阻力的大小。c.肩关节抗阻前屈训练手握一弹性皮筋一端,皮筋另一端踩于脚下,向上用力拉皮筋。可通过皮筋的松紧调节阻力的大小。注意不可耸肩,保持拇指向上。复合运动训练:可让患者小运动量的游泳、慢跑和球类运动等以恢复患者上肢的协调性和运动的精确性,但半年内不能进行竞赛类运动。内容为德医学院原创整理,未经允许禁止转载,如有侵权,请联系删除!