首页/骨科精读/后踝骨折及下胫腓联合螺钉取出时机与下胫腓不稳的关系/
后踝骨折及下胫腓联合螺钉取出时机与下胫腓不稳的关系
2021-11-15 20:48:022378浏览
对合并下胫腓联合损伤的内外踝骨折或三踝骨折,常规置入下胫腓螺钉,同时为避免螺钉断裂,恢复下胫腓微动,术者常规在术后6-8周或术后3月取下胫腓螺钉,但下胫腓螺钉取去存在下胫腓不稳风险。为研究双踝/三踝骨折下胫腓螺钉取出的最佳时机,及未固定的后踝与下胫腓稳定性的关系,有学者进行了相关研究,结果发表在近期Injury期刊上。

对合并下胫腓联合损伤的内外踝骨折或三踝骨折,常规置入下胫腓螺钉,同时为避免螺钉断裂,恢复下胫腓微动,术者常规在术后6-8周或术后3月取下胫腓螺钉,但下胫腓螺钉取去存在下胫腓不稳风险。为研究双踝/三踝骨折下胫腓螺钉取出的最佳时机,及未固定的后踝与下胫腓稳定性的关系,有学者进行了相关研究,结果发表在近期Injury期刊上。

Introduction(介绍)


本回顾性研究旨在报告双踝或三踝骨折合并下胫腓联合损伤伴或不伴后踝骨折(PMF)的固定结果,并确定术后6至8周或3个月移除下胫腓螺钉是否更有益。[Introduction:This retrospective study aimed to report outcomes of fixation of bi-malleolar or trimalleolar fractures combined with syndesmotic injury with or without posterior malleolar fracture (PMF), and to ascertain whether syndesmotic screw removal at 6 to 8 weeks or 3 months postoperatively is more beneficial.]


Methods(方法)

我们回顾了2013年1月至2017年12月间接受双踝(不含PMF)或三踝(含PMF)骨折切开复位内固定治疗并伴有下胫腓联合损伤的患者,并进行至少24个月的术后随访。所有患者均出现下胫腓联合不稳定,并使用下胫腓联合螺钉进行治疗,PMF未固定。第一组为术后6-8周移除下胫腓联合螺钉的双踝骨折患者,第二组为术后6-8周移除下胫腓联合螺钉的三踝骨折患者,第三组为术后3个月移除下胫腓联合螺钉的三踝骨折患者。分析人口统计学数据、临床和影像学结果。

[Methods: We retrospectively reviewed patients who received open reduction and internal fixation for bi-malleolar (without PMF) or tri-malleolar ankle fracture (with PMF) with syndesmotic injury between January 2013 and December 2017 with at least 24 months of postoperative follow-up. All patients suffered syndesmotic instabilities and were treated using a syndesmotic screw without PMF fixation. Patients with bi-malleolar fracture with syndesmotic screw removal at 6 to 8 weeks postoperatively were included in Group I, tri-malleolar fracture with syndesmotic screw removal at 6 to 8 weeks in Group II, and trimalleolar fracture with syndesmotic screw removal at 3 months in Group III. Demographic data, clinical and radiographic outcomes were analyzed.]


Results(结果)

共纳入113例患者(第一组47例,第二组43例,第三组23例)。三踝骨折患者(第二组和第三组)的PMF平均大小为14%。各组间踝关节功能结果无显著差异。下胫腓不稳定的复发率在第一组为10.6%,第二组为20.9%,第三组为8.7%。虽然三组间下胫腓联合不稳定的复发率差异无统计学意义(P=0.264),但与其他两组相比,第二组在术后首次X光片和最后一次随访X光片之间的胫腓骨间隙显示出更多的间隔变化(P=0.028)。骨折均愈合,无下胫腓螺钉断裂患者。

[Results: A total of 113 patients were included (Group I, n=47; Group II, n=43; Group III, n=23). Average size of PMF was 14% in patients with tri-malleolar fractures (Groups II and III). No significant difference in ankle functional outcome among groups was observed. The recurrence rate of syndesmotic instability was 10.6% in Group I, 20.9% in Group II, and 8.7% in Group III. Although the difference in recurrence rates of syndesmotic instability among three groups was not statistically significant (P=0.264), Group II showed more interval change in tibiofibular clear space between initial postoperative radiographs and last follow-up radiographs (P=0.028) compared to the other two groups. Fracture union was achieved in
all patients without screw breakage.]

表1:三组患者基线资料

表2:三组患者影像和功能结果


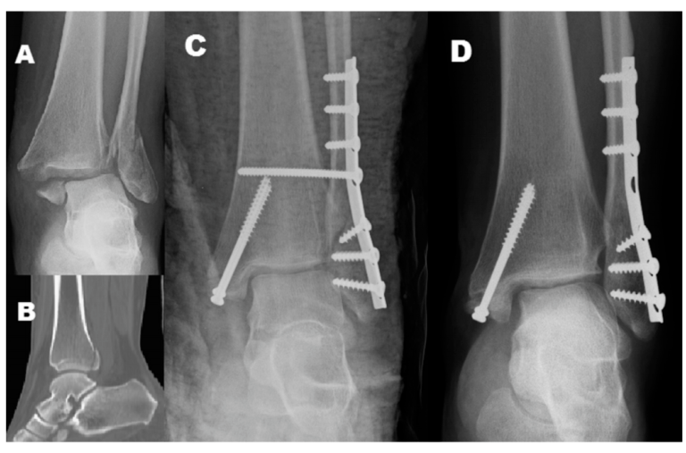
图2:三踝骨折患者,后踝未固定,术后6周取去下胫腓螺钉



Conclusion(结论)

我们建议在术后3个月,而非6-8周取出下胫腓联合螺钉,以降低三踝骨折后下胫腓联合不稳的复发风险。

[Conclusion: We suggest that the better timing for syndesmotic screw removal is 3 months, instead of 6 to 8 weeks postoperatively, to reduce the risk of recurrence of syndesmotic instability for tri-malleolar fracture without posterior fragment fixation.]

友情链接: