首页/骨科小技巧/找到这些影像征象,复杂的骨肿瘤迎刃而解/
找到这些影像征象,复杂的骨肿瘤迎刃而解
2021-11-26 19:56:101829浏览
骨肿瘤的基本影像学征象是构成骨肿瘤最基本的元素,无论多复杂的骨肿瘤都由一个或几个基本影像学征象构成,对其透彻理解和准确把握是正确诊断骨肿瘤的重要前提。

一、骨质破坏


正常骨质被肿瘤或肿瘤样组织代替称骨质破坏。根据骨质破坏的形式可分为地图样破坏、膨胀性破坏、浸润性破坏和压迫性骨质缺损。



(一)地图样破坏  地图样破坏是指肿瘤组织在一个局部呈团块状生长造成界限清楚的骨质破坏(图 1、图 2、图 3、图 4)。


病灶可位于骨的中心或一侧部位,呈圆形、卵圆形密度减低区,与正常骨质分界清晰,边缘可有或无硬化带围绕,骨的形态无变化,病灶内可完全透亮或可见粗细不均、大小不等的残留骨嵴,内缘可光滑或呈分叶状压迹。


地图样破坏见于大多数良性肿瘤和肿瘤样病变如单纯性骨囊肿、骨纤维结构不良、血管瘤等、也可见于部分恶性骨肿瘤如骨转移瘤、骨髓瘤等。


图 1  地图样破坏:单纯性骨囊肿   






图 2  地图样破坏:骨纤维结构不良



图 3  地图样破坏:骨内脂肪瘤  





图 4 地图样破坏:骨转移瘤



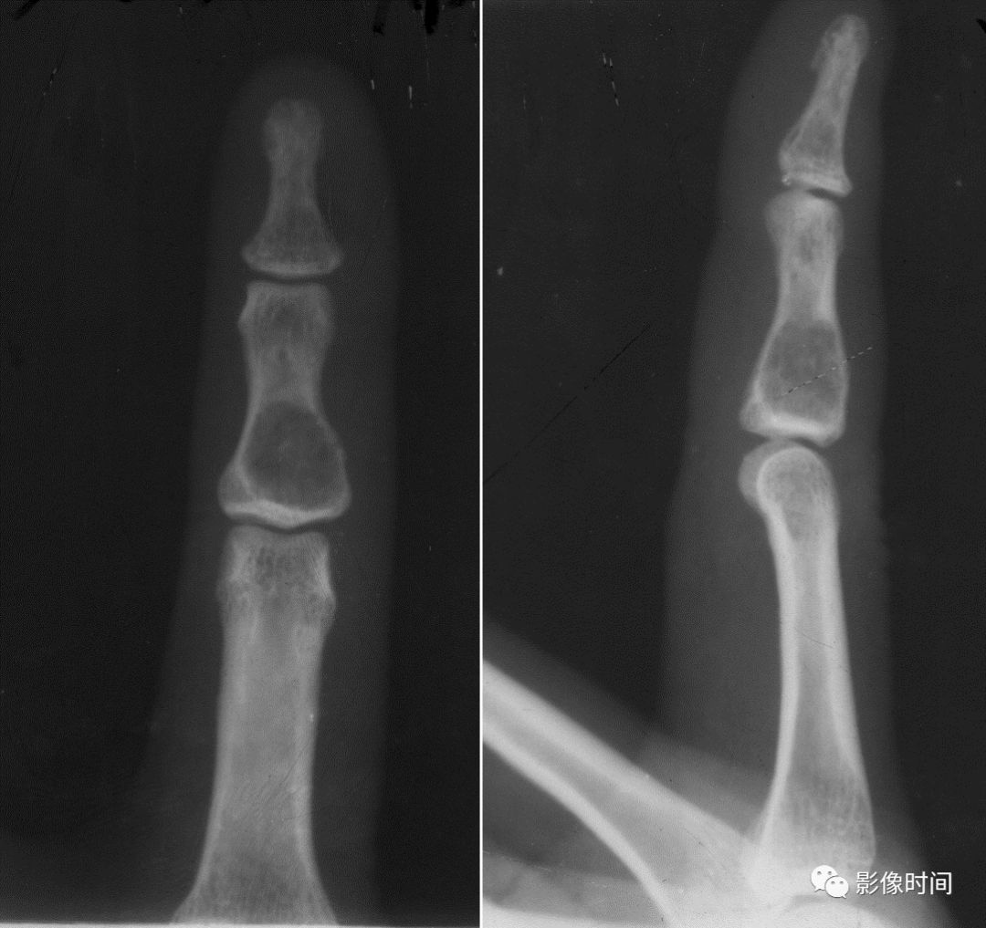
(二)膨胀性破坏  膨胀性破坏是地图样破坏的特殊形式,影像学表现为骨质破坏区骨膨胀,周围可见不同程度扩张的骨壳(图 5、图 6、图 7、图 8)。

膨胀性破坏是由于肿瘤从骨皮质内面破坏,骨外膜增生形成新生骨造成膨胀的。

引起膨胀性破坏见于大多数良性肿瘤和肿瘤样病变如单纯性骨囊肿,动脉瘤样骨囊肿、内生软骨瘤和软骨粘液纤维瘤等,少数也可见于恶性肿瘤如转移瘤、骨髓瘤等。



图 5  膨胀性破坏:动脉瘤样骨囊肿  




图 6  膨胀性破坏:骨巨细胞瘤  



图 7  膨胀性破坏:内生软骨瘤  




图 8  膨胀性破坏:软骨粘液样纤维瘤               




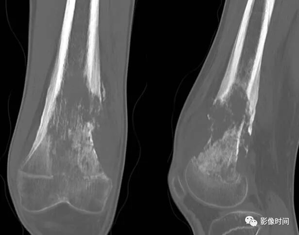
(三)浸润性破坏  浸润性骨破坏(图 9、图 10、图 11)是肿瘤组织沿哈弗氏管呈浸润性生长侵蚀骨与骨髓的结果。往往是分化很差、高度间变、异型性明显的肿瘤组织对骨的侵蚀。

影像学表现为筛孔样、虫蚀样(皮质骨)、渗透样、斑片状(松质骨)和大片溶骨性破坏,其破坏特点是肿瘤边缘模糊,境界不清,与正常骨无明显界限且有融合成片的倾向。

这种不同形态的骨破坏主要是肿瘤对骨侵蚀的程度和部位不同所决定的,不能作为肿瘤定性诊断的依据。



图 9  浸润性破坏:骨肉瘤  




图 10  浸润性破坏:未分化多形性肉瘤 




图 11  浸润性破坏:骨淋巴瘤




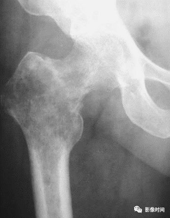
(四)压迫性骨质缺损   压迫性骨质缺损系因骨皮质局部受压,致使骨萎缩以致缺损、消失出现碟形的骨质缺损(图 12、图 13、图 14)。

多为邻近骨表面的软组织肿瘤或邻近骨肿瘤压迫或侵蚀骨质所致。

一般情况下,骨缺损的边缘都相当锐利且与正常骨质间有明显界限。




图 12  压迫性骨缺损:骨软骨瘤                



图 13  压迫性骨缺损:软组织纤维瘤病 



图 14  压迫性骨缺损:软组织血管瘤



二、肿瘤对软骨的破坏



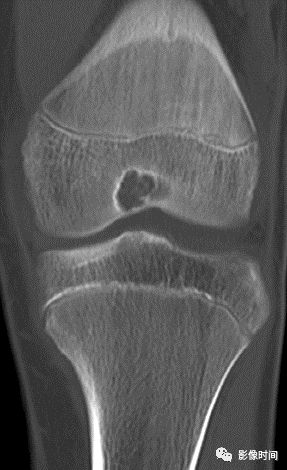
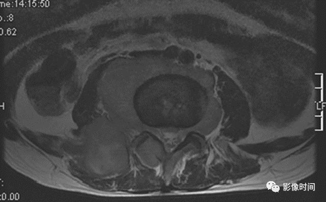
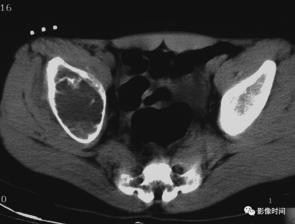
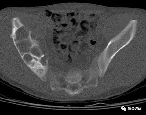
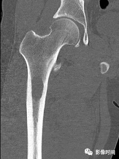
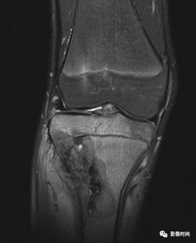
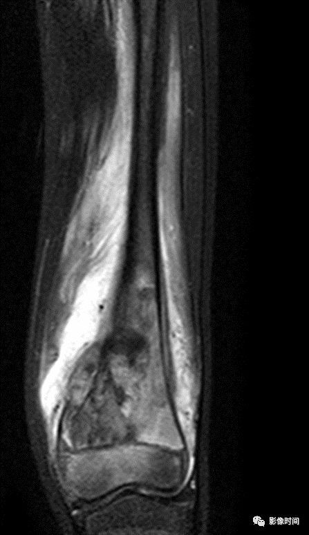
肿瘤对骨骺板和关节软骨的破坏是对骨破坏的继续。缺乏血管的骨骺板对恶性肿瘤有抵抗作用,骨骺板可暂时阻止肿瘤的蔓延,但当肿瘤进一步发展时, 骨骺板亦可被破坏,X 线平片或 CT 可表现为先期钙化带密度减低、中断或消失。MRI 可显示肿瘤从干骺端跨越骨骺板侵犯骨骺(图 15、图 16)。

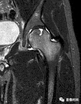
肿瘤突破关节软骨向关节腔发展时, 可表现为关节面破坏、塌陷(图 17), 关节腔内出现软组织肿块。少数良性骨肿瘤如软骨母细胞瘤, 亦可超越骺板向两侧发展或突入关节腔内, 此为肿瘤膨胀生长所致, 而非浸润性破坏。



图 15  骨骺板破坏:骨肉瘤




图 16  骨骺板破坏:骨肉瘤 




图 17  关节软骨破坏:骨肉瘤




三、肿瘤基质


骨肿瘤基质是指肿瘤细胞间的结构,多由骨肿瘤细胞产生,影像学表现特点可反映肿瘤基质的类型。


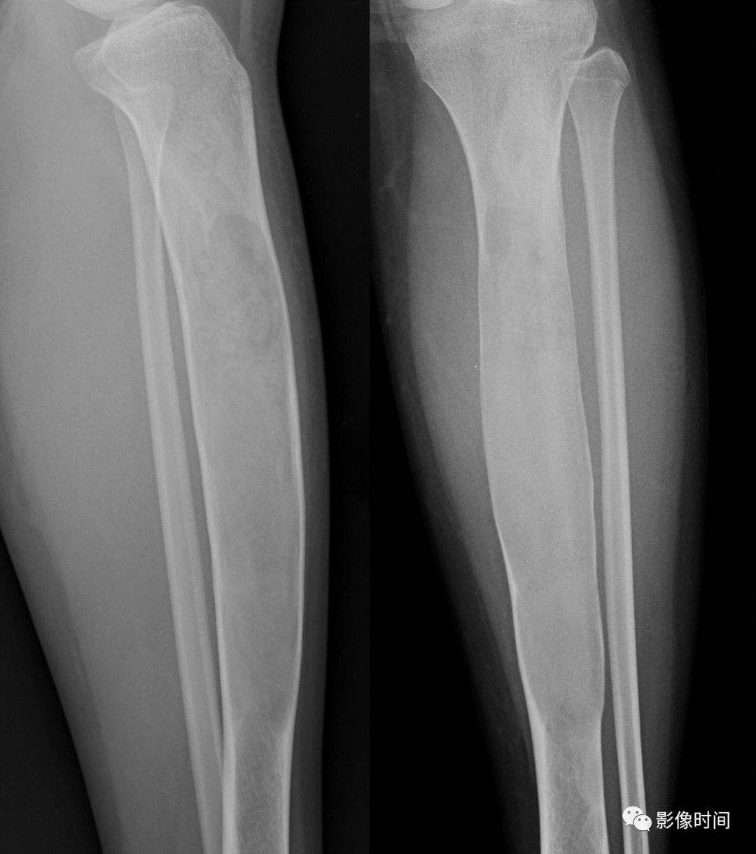
(一)肿瘤骨  肿瘤骨又称瘤骨,是由瘤细胞形成的骨质。

良性肿瘤的瘤骨与正常骨质相似, 如致密型骨瘤的瘤骨与正常骨皮质的结构相似而称实性瘤骨(图 18)。

恶性肿瘤的瘤骨为一些排列紊乱、生长无定向、组织分化较差的骨组织,其基本形态有三种:

  • (1)象牙质样瘤骨  X 线平片或 CT 表现为高度致密的骨化阴影,呈象牙质样,无骨小梁结构,呈团块状聚集在肿瘤的一处,与周围组织分界清楚(图 19、图 20),此种瘤骨细胞分化较好,所形成的骨小梁排列密集,在骨旁肉瘤中表现最明显。
  • (2)棉絮状瘤骨  X 线平片或 CT 表现为斑片状,分布于骨内或软组织肿块中,其密度较低,边缘模糊,无骨结构如棉絮样(图 21、图 22)。
  • (3)针状瘤骨  X 线平片或 CT 上针状瘤骨位于骨皮质外,垂直于皮质,细长而直,平行排列,很像阳光样(图 23)。







病理见针状瘤骨并非骨膜反应,它是肿瘤组织突破骨膜向软组织内发展形成的。大切片见到肿瘤血管的生长都与骨干相垂直,血管周围的瘤细胞直接成骨, 因而形成针状瘤骨,这种瘤骨最多见于骨肉瘤。



图 18  实性瘤骨:骨瘤   



图 19 象牙质样瘤骨:皮质旁骨肉瘤




图 20 象牙质样瘤骨:骨肉瘤




图 21  棉絮状瘤骨:骨肉瘤  





图 22  棉絮状瘤骨:骨肉瘤




图 23  针状瘤骨:骨肉瘤





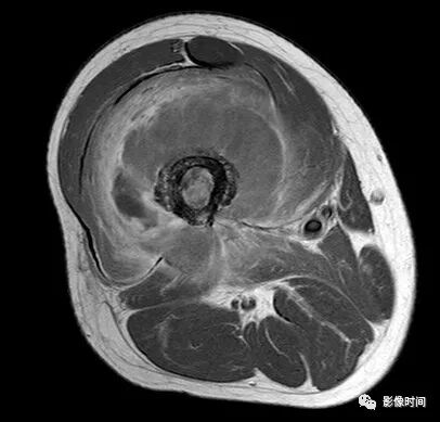
(二)瘤软骨  为肿瘤细胞产生的软骨基质,多来源于软骨类肿瘤,或内有化生瘤软骨成分的其他肿瘤如成软骨型骨肉瘤。瘤软骨为软组织密度,未钙化时,主要通过 MRI 检查显示。

由于瘤软骨多由富含水分及粘多糖的透明软骨构成,故 T1WI 呈偏低信号,T2WI 或 PDWI 呈明显高信号,被低信号的纤维间隔分开呈分叶状(图 24、图 25a-b),增强扫描多呈不均匀分隔状强化(图 25c),主要是纤维间隔强化,瘤软骨强化不明显之故。



图 24  瘤软骨:内生软骨瘤




图 25  瘤软骨:内生软骨瘤





(三)纤维样基质  肿瘤的纤维样基质成分主要由梭形肿瘤细胞和细胞间大量的胶原纤维构成。

良性的纤维性肿瘤其肿瘤组织由梭形的成纤维细胞和丰富的胶原纤维构成,一些还包含有不规则的编织骨小梁构成如骨性纤维结构不良和纤维结构不良,也可单纯由大量的胶原纤维和少量梭形细胞构成如韧带样纤维瘤等。

X 线平片及 CT 不能明确肿瘤的纤维基质成分,但其内如果有散在骨化可表现为磨玻璃样改变如骨纤维结构不良(图 26)。在 MRI 上, 富含胶原纤维的肿瘤如韧带样纤维瘤在 T1Wl 和 T2WI 上其信号强度一般较低(图 27)。




图 26  纤维样基质:骨纤维结构不良



图 27 纤维样基质:骨韧带样纤维瘤




(四)黏液样基质:肿瘤内含有大量的黏液基质,在 MRI 上有一定特征性,T1WI 等低信号,T2WI 呈高信号,增强扫描随着时间的延长可呈渐进性的云絮状强化。

骨肿瘤中富含黏液基质有软骨黏液样纤维瘤(图 28)、黏液纤维肉瘤、黏液软骨肉瘤和脊索瘤(图 29)等。



图 28  粘液样基质:软骨粘液样纤维瘤




图 29  粘液样基质:脊索瘤




(五)囊液 主要指骨囊肿囊壁细胞分泌的液体。X 线平片表现为骨破坏区密度较低,CT 表现为水样密度(图 30),MRI 为典型的液体信号呈 T1WI 低信号和 T2WI 高信号(图 31),CT 和 MRI 增强后均无强化。



图 30  囊液:单纯性骨囊肿




图 31  囊液:单纯性骨囊肿


四、肿瘤内液-液平面 



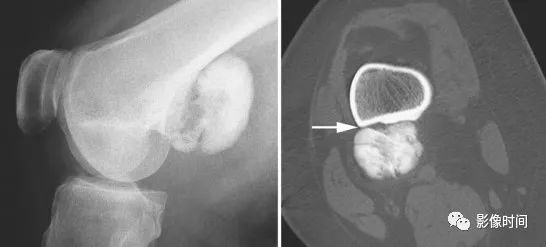
肿瘤内液-液平面多数是病灶内囊变出血所致,MRI T2W1 为上部呈高信号下部呈中低信号的液-液平面。CT 可为上部低密度下部高密度的液-液平面(图 32)。液-液平面常见于动脉瘤样骨囊肿、但也可见于骨内腱鞘囊肿(图 33)、囊性血管瘤病等其他肿瘤和肿瘤样病变。



图 32 肿瘤内液-液平面:动脉瘤样骨囊肿



图 33  肿瘤内液-液平面:动脉瘤样骨囊肿




图 34  肿瘤内液-液平面:骨内腱鞘囊肿




五、骨和软组织钙化 



(一)瘤软骨钙化:瘤软骨常表现为环状钙化, 是诊断软骨类肿瘤较为可靠的影像学征象。环状钙化形成于环状软骨、以及软骨小叶边缘的软骨基质。钙质沉着可呈小点状、小条状、半环状或弧形;亦可浓密相连、重叠呈菜花状。钙化环的形态和密度可反映瘤组织分化程度, 通过观察钙化环的形态和密度,有助于良恶肿瘤的鉴别。

良性瘤软骨之瘤细胞分化好、生长缓慢、血供充分, 钙化环完整,密度高, 边缘清楚。良性软骨类肿瘤如骨软骨瘤(图 35)、软骨母细胞瘤(图 36)、内生软骨瘤(图 37)等均可于瘤组织内发生环形钙化。

恶性瘤软骨则呈密度淡薄, 边缘模糊的不规则钙化,恶性骨肿瘤的环形钙化,最多见于软骨肉瘤(图 38),其次是骨肉瘤。CT 是发现肿瘤内软骨钙化最为敏感的检查方法。




图 35  瘤软骨钙化:骨软骨瘤 






图 36  瘤软骨钙化:软骨母细胞瘤   



图 37  瘤软骨钙化:内生软骨瘤





图 38  瘤软骨钙化:软骨肉瘤 





(二)营养不良性钙化   营养不良性钙化为局部钙盐代谢异常所致的钙化。X 线平片和 CT 表现为无结构的不规则形致密影。

良性肿瘤常见于骨内脂肪瘤(图 39),恶性骨肿瘤则常见于 PNET(图 40)和未分化多形性肉瘤。




图 39  营养不良性钙化:骨内脂肪瘤




图 40  营养不良性钙化:PNET





(三)静脉石   静脉石为软组织血管瘤内静脉血栓形成并发生的钙化。X 线平片及 CT 表现为颗粒状、小环状无结构致密影(图 41)。致密钙化在 MRI T1WI 和 T2WI 均呈低信号(图 42),而骨与软组织内的微细钙化则难以显示。




图 41  静脉石:软组织血管瘤  




 图 42  静脉石:软组织血管瘤




六、骨膜反应




骨膜反应又称骨膜增生,是因骨膜受到刺激,骨膜内层的成骨细胞活动增加所产生的骨膜新生骨。

正常情况下骨膜不显影,若显影通常提示骨内或骨外有肿瘤等病变存在。与骨破坏的类型一样, 不同肿瘤侵犯骨膜可造成不同形态的骨膜反应。


X 线平片和 CT 上可表现为骨皮质外面局限性或广泛性的线状、成层状、放射状、花边状或袖口状高密度影。


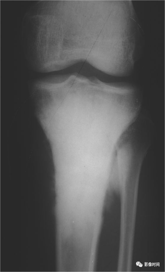
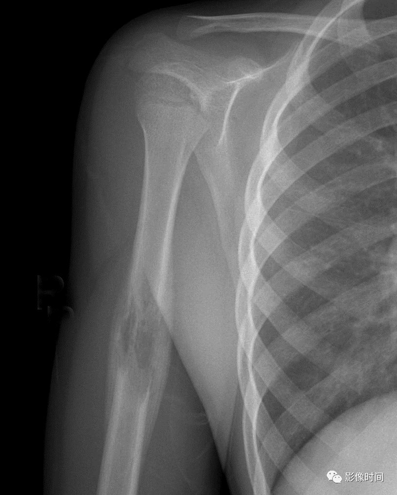
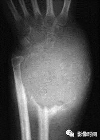
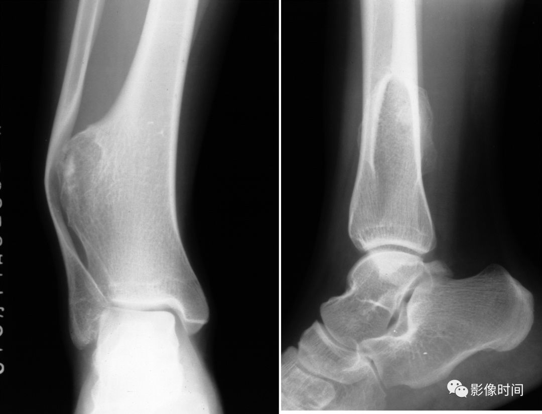
良性骨肿瘤通常无骨膜反应,部分良性肿瘤或肿瘤样病变如动脉瘤样骨囊肿、良性纤维组织细胞瘤以及骨嗜酸性肉芽肿等可出现连续线状(图 43)或葱皮样(图 44)的骨膜新生骨,表面光滑清楚,与骨皮质融合后表现为骨皮质增厚。

恶性骨肿瘤早期可见线状骨膜反应,晚期则出现葱皮样(图 45)或梳状骨膜反应,后期骨膜反应常被肿瘤所突破,X 线平片表现为骨膜反应破坏、中断、残缺不齐,部分形成 Codman 三角(图 46),在非肿瘤疾患中如血源性骨髓炎,脓肿突破骨膜新生骨时,亦可产生同样征象,不要与肿瘤相混。




图 43  线状骨膜反应:动脉瘤样骨囊肿  



图 44  层状骨膜反应:骨嗜酸性肉芽肿




图 45 层状骨膜反应:骨肉瘤  



 图 46  Codman 三角:尤因肉瘤





七、反应骨



(一) 硬化缘  地图样破坏或膨胀性破坏边缘显示宽窄不等的反应硬化带,使病变与正常骨形成明显的边界。


硬化缘宽窄与肿瘤生长速度及病程长短有关,一般而言,肿瘤生长缓慢病程较长者其硬化缘较宽,反之,生长较快发生不久的肿瘤硬化缘较窄,硬化缘的宽窄可以从一个侧面反映肿瘤的生物学特性。


有硬化缘者主要见于良性肿瘤(图 47、图 48、图 49),少数也可见于恶性程度不高的恶性肿瘤(图 50)。无硬化缘多见于侵袭性和恶性肿瘤。



图 47  硬化缘:单纯性骨囊肿



图 48  硬化缘:纤维结构不良




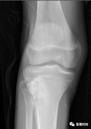
图 49  硬化缘:软骨母细胞瘤 




图 50  硬化缘:甲状腺滤泡型癌骨转移




(二) 反应性骨增生   反应性骨增生是病变周围正常骨组织遭到肿瘤破坏后的反应骨,它并非骨肿瘤的特有征象,在骨创伤、骨感染时也可见到。

良性肿瘤如骨样骨瘤、骨母细胞瘤等周围可见反应性骨增生(图 51、图 52)。原发于骨髓的恶性肿瘤如尤因肉瘤、骨淋巴瘤、骨恶性纤维组织细胞瘤等以及部分骨转移瘤均可在肿瘤周围产生大量反应性骨增生(图 53、图 54)。

X 线平片或 CT 表现为松质骨内斑片状均匀骨化影或大量棉团样骨化影。亦有在多发灶性溶骨性破坏周围产生散在片状骨化影。





图 51  反应性骨增生:骨样骨瘤



图 52 反应性骨增生:骨母细胞瘤骨              



图 53  反应性骨增生:骨淋巴瘤  



图 54 反应性骨增生:骨转移瘤    




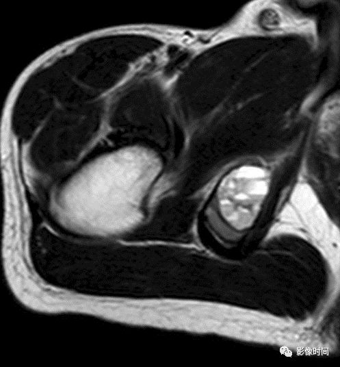
八、软组织肿块 



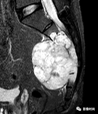
软组织肿块是诊断恶性骨肿瘤重要依据。X 线平片、CT 及 MRI 均可用于软组织肿块的评估,X 线平片显示软组织肿块作用有限,表现为局部软组织密度增高影,边缘隐约可见(图 55),CT 和 MRI 显示软组织肿块明显优于 X 线平片(图 56、图 57),可清楚显示软组织肿块的大小、边缘轮廓外,还可清晰显示软组织肿块内部病理变化,对肿瘤定性诊断有帮助作用。


对于软组织肿块影像学需重点观察其边缘、密度/信号均匀性,是否伴有钙化或骨化,增强扫描后强化特点以及瘤周是否伴发水肿等表现。




图 55  软组织肿块:恶性骨巨细胞瘤



图 56  软组织肿块:骨软骨瘤恶变



图 57  软组织肿块:骨淋巴瘤




九、瘤周水肿



肿瘤周边的骨髓水肿表现为 T1WT 低信号和 T2WI、STIR 高信号边界模糊的片状影,软组织肿块邻近的正常软组织成分,尤其是肌肉内亦可出现水肿,表现为肿块周围沿肌束方向分布的边界模糊的片状或羽毛状影,有时可连成片。瘤周水肿常见于恶性肿瘤(图 58),但也可见于某些良性肿瘤如软骨母细胞瘤(图 59)、骨样骨瘤和骨嗜酸性肉芽肿(图 60)等。




图 58   瘤周水肿:骨肉瘤




图 59 瘤周水肿:软骨母细胞瘤





图 60  瘤周水肿:骨嗜酸性肉芽肿

友情链接: