首页/骨科小技巧/改良阻挡钉(Poller钉)技术:远端锁钉的微调/
改良阻挡钉(Poller钉)技术:远端锁钉的微调
2021-11-29 18:32:501637浏览
Poller螺钉可以改变髓内钉方向、纠正骨折侧方移位,在长斜形骨折的髓内钉固定中使用越来越广泛。如何有效置入Poller钉,将Poller钉置于何处,显得尤为重要。既往对Poller钉置入存在诸多迷惑之处,如将Poller钉置于“不想让髓内钉去的地方”或者依据“两短原则”等,无明确理论支撑。

有学者分享了一种改良的阻挡钉置入技巧,发表在Injury上,图例解释如下:

例1:

1a-1b:胫骨中段骨折采用髓内钉固定。可见置入主钉后骨折对线不良,存在侧方移位及成角畸形。


1c-1d:在骨折端成角平面,即冠状面上,拟置入阻挡螺钉部位近端钻孔,拧入松质骨螺钉,推动骨皮质与主钉移位,纠正侧方移位。


1e-1f:在松质骨螺钉置入后,可见端骨折端移位纠正,对线良好,复位后置入阻挡钉,维持复位。

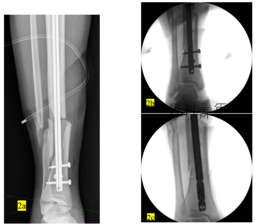
例2:

2a-2c:胫腓骨远端骨折,髓内钉固定,主钉插入及远端锁钉锁定后,可见骨折对线不良,存在移位。

2d-2f:依同法在移位平面拧入螺钉纠正移位,恢复对线后置入阻挡钉维持复位。

友情链接: