正常半月板 MRI
正常半月板在 MRI 上显示的是低信号,呈「领结形」。外侧半月板呈 O 形,且横断面前后较一致;而内侧半月板较大,曲率较低,后角相较于前角较宽和厚。
内侧半月板外缘完全附着在关节囊上,外侧半月板前角和体部附着在关节囊上,而后角大部分附着在关节囊上,中间由腘肌半月板上下纤维束连接半月板和关节囊,上下纤维束中间形成一裂孔,裂孔中有腘肌腱穿过。示意图如下图 1 所示,正常内外侧半月板 MRI 如图 2 所示。

图 1 可看到外侧半月板后角由腘肌半月板纤维束形成裂孔,其中通过腘肌腱。

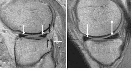
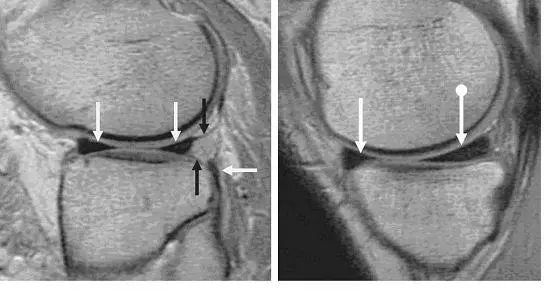
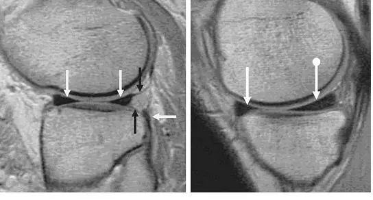
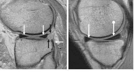
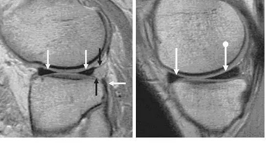
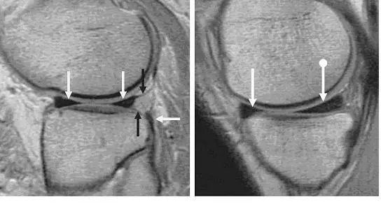
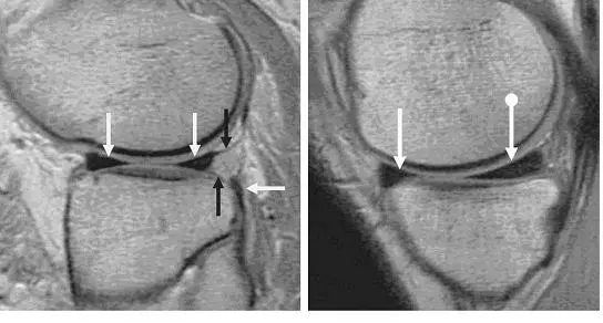
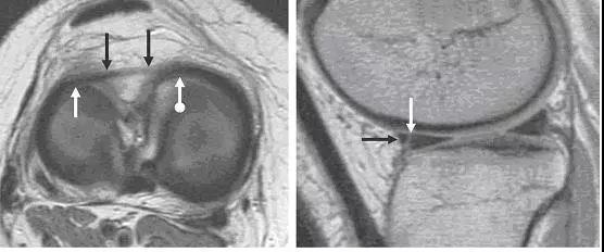
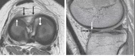
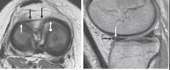
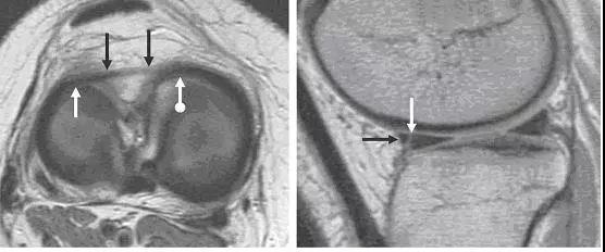
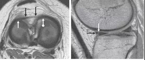
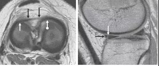
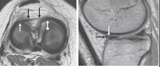
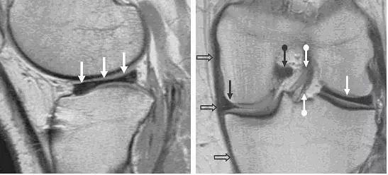
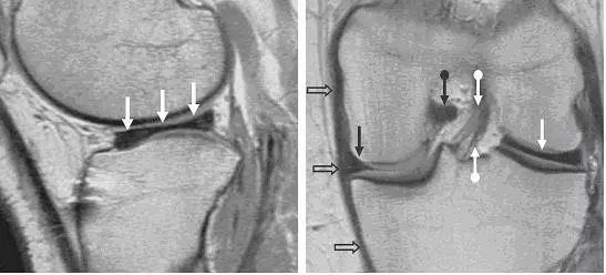
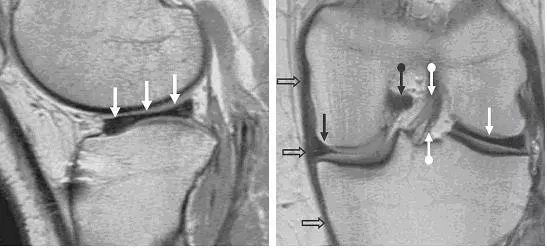
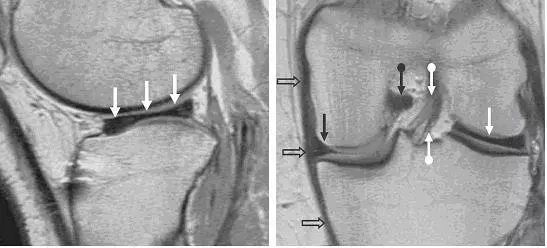
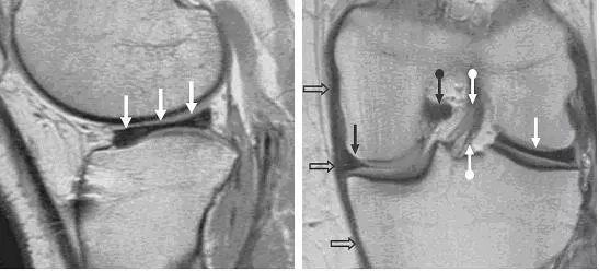
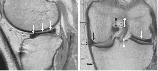
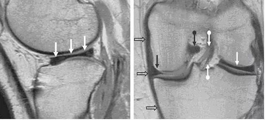
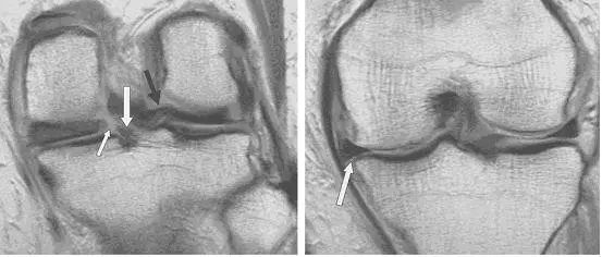
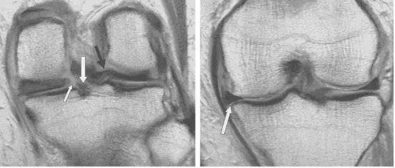
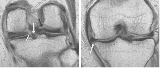
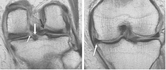
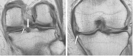
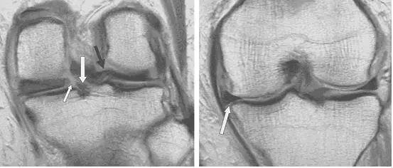
图 2 正常半月板
左图:外侧半月板,由于横截面面积一致,故在MRI 上可见外侧半月板前后角(纵向白色箭头)形状和大小较相似。上下腘肌半月板纤维束(黑色箭头)在外侧半月板后角处,形成裂孔,中间有腘肌腱(水平白色箭头)通过。右图:内侧半月板,可见后角(白色圆箭头),略大于前角(白色直箭头)
内外侧半月板的前角通过半月板横韧带相连,该横韧带与半月板中间的空间有其他组织(如关节液等),呈现高信号,在磁共振上容易误诊为半月板撕裂。
前后半月板股骨韧带(Humphry 和 Wrisberg 韧带 )分别位于后交叉韧带的前后。连接外侧半月板后角和股骨内侧髁外面。

图 3 半月板横韧带和半月板股骨前后韧带示意图

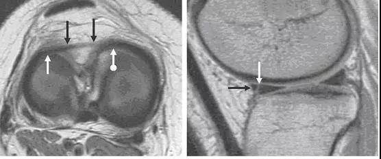
图 4 半月板横韧带
左图:横断面 T1 像显示半月板横韧带连接内侧半月板(白色圆箭头)和外侧半月板(白色直箭头)的前角;右图:经过半月板横韧带(黑色箭头)的矢状面,可见半月板横韧带与半月板前角之间的间隙呈现高信号(白色箭头),易误诊为半月板撕裂。

图 5 正常后交叉韧带和半月板股骨前后韧带
左图:经过后交叉韧带的矢状面,显示连续均质低信号的后交叉韧带(黑色箭头),其前方是半月板股骨前韧带(Humphry 韧带,白色箭头)。右图:冠状位片显示半月板股骨后韧带(Wrisberg 韧带,黑色短箭头不带圆点)从外侧半月板后角(黑色长直箭头)连接到股骨内侧髁外面。同时可见腘腓韧带(白色箭头)从腓骨头到腘肌腱(黑色短圆箭头),P 为后交叉韧带。
异常半月板 MRI
1. 盘状半月板:一种病因未明的半月板发育异常,原本新月形楔状的半月板变为扁平状。MRI 上可见原来「领结样」的半月板变为长条状/长方形。

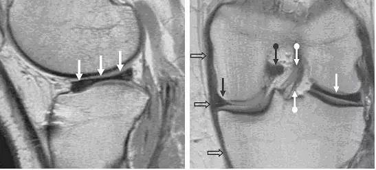
图 6 外侧盘状半月板
左图:矢状位片,可见外侧半月板(白色箭头)失去「领结样」形态,而呈现长条状,可与上图 2 左图对比。右图:冠状位片可更清楚对比,外侧半月板(白色直箭头)呈长条状而内侧半月板(黑色直箭头)呈正常的楔形。图中同时可看到其他软组织的相对关系,如前交叉韧带,可看到前交叉韧带前后束的明显分层(上下白色圆箭头),后交叉韧带(黑色圆箭头),内侧副韧带(空心箭头)。
2. 半月板撕裂
常见的半月板撕裂大致可分为以下几种类型,其中基础类型的三种撕裂(纵行,横行,放射状撕裂)若进一步剥离则分别发展为更严重的撕裂(桶柄状撕裂,水平瓣状撕裂和鹦鹉嘴样撕裂)。其他特殊的撕裂如混合撕裂,根部撕裂等。

图 7 半月板撕裂图解
纵行撕裂:撕裂平面与半月板平面垂直,走形与轴向垂直,剥离则发展为桶柄状撕裂。水平状撕裂:撕裂平面与半月板平面平行,走形与轴向垂直,剥离则发展为水平瓣状撕裂。放射状撕裂:撕裂平面与半月板平面垂直,走形与轴向平行,剥离则发展为鹦鹉嘴样撕裂。
半月板撕裂的两个最主要的MRI影像学征象为:
1. 半月板形状异常;
2. 出现线性高信号,且在2个或多个平面上确认直达上表面或下表面。

图 8 半月板纵行撕裂,箭头所指处均有线性高信号,将半月板分为内外两部分。

图 9 矢状面图像上可看到黑色箭头所指处,有一线性增强信号横贯内侧半月板后角,提示半月板斜行撕裂。

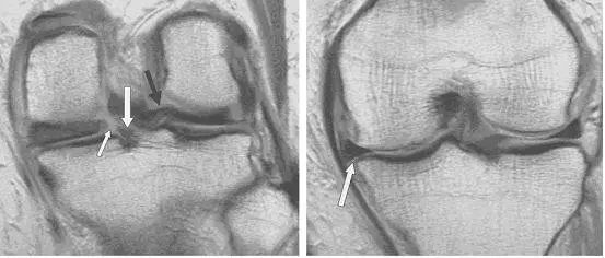
图 10 矢状面显示外侧半月板体的游离缘有点状缺失,变钝,提示放射状撕裂。

图 11 内侧半月板桶柄状撕裂——双后交叉韧带征
左图:经髁间切迹的矢状面,可见剥离开的低信号半月板块(白色箭头)平行于正常的后交叉韧带(黑色箭头)。右图:冠状面可见剥离的半月板块(白色直箭头),在正常的后交叉韧带(黑色箭头)下方。残留的半月板外缘(白色圆箭头)形态异常且比正常(对侧)的小。

图 12 半月板翻转
半月板翻转是一种特殊的半月板桶柄状撕裂。左图:可看到半月板前角(红色箭头)较大且边缘不规则,后角(蓝色箭头)较小。右图:半月板前角线性增强处(黄色箭头)易误诊为前角纵行撕裂,实际为前后角重叠的交界,其前方(蓝色箭头)为半月板前角,后方(红色箭头)是后角撕裂后翻转过来的部分。同时可看到局部的骨髓水肿和软骨压迫(绿色箭头)。

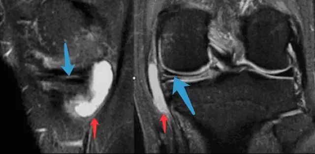
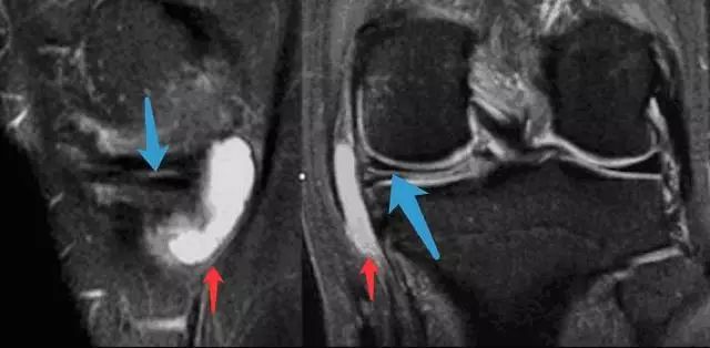
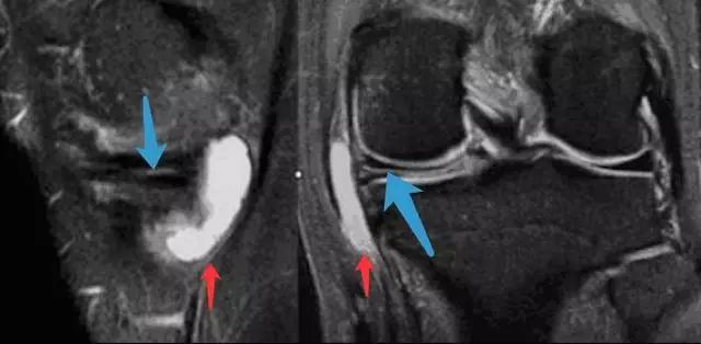
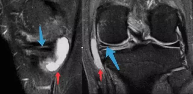
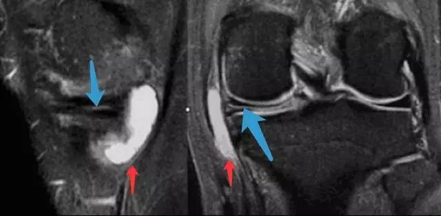
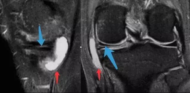
图 13 横行撕裂与半月板囊肿
T2像中可看到明亮的囊肿(红色箭头)和水平走形的线形高信号(蓝色箭头)。半月板囊肿是由于半月板撕裂后组织液聚集在关节腔形成。是否有半月板囊肿对手术入路的选择有重要影响。

图 14 半月板根部撕裂和半月板膨出
左图:冠状面可见内侧半月板后角在与根部(与胫骨连接的部位,白色大箭头)交接的部位有一个全层的撕裂(白色小箭头),可与对侧正常结构对比(黑色箭头)。右图:冠状面可见内侧半月板体部膨出关节(白色箭头),半跨与胫骨平台上。本图还可看到内侧股骨髁的关节软骨有相较于外侧的退行性缺失。