首页/骨科精读/3分钟get:肱骨远端骨折的复位固定技术及手术细节!/
3分钟get:肱骨远端骨折的复位固定技术及手术细节!
2021-12-29 10:40:351981浏览
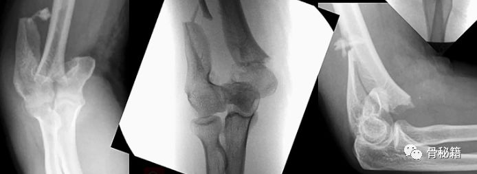
肱骨远端最常出现的并发症:僵硬、骨不连、感染、尺神经、内固定相关

今儿聊聊肱骨远端,说道肱骨远端不得不提一个伟人。我们敬爱的周总理,在延安时从马上摔下来,肱骨髁上骨折。

由于当时延安的医疗条件很差,尽管做了力所能及的处理,右臂还是没有接好。周总理后来到苏联治疗,受伤的手臂已经可以移动,手部的颤抖也减轻。

但是,想要完全恢复已经是不可能的了。

周总理也一直坚持各种锻炼,但是效果不好。周总理返回北京后,陈毅当即跟卫生部联系。卫生部方面说医治此类伤情国内最权威的医院是解放军301医院。于是,当天下午,周恩来即在邓颖超的陪同下前往解放军301医院接受检查。301医院已经接到陈毅亲自打去的电话,自是极为重视,不但安排了本院最好的骨科专家,还从外院请来了最好的医生,给周恩来会诊。会诊最后得出的结论是:伤势严重,但没有形成骨折。不过,“伤筋动骨一百天”,治疗周期预计不会比治疗骨折短,也就是说,至少得两个月。

两个月?那2月14日的出访怎么办?周总理皱起了眉头。经过反复考虑,总理没有接受治疗。

周恩来返回中南海寓所后,已经知晓总理负伤情况的毛泽东让秘书打来电话询问治疗情况。当他得知301医院的结论后,亲自给周恩来打电话,安慰总理不要着急,总有办法解决的,西医不行,还有中医嘛,中国医学博大精深,什么时候都不能丢的,并说已经让陈毅再跟卫生部方面联系了。

卫生部方面认为,中医对于骨伤治疗自有一套独特而行之有效的手段,所以,他们建议是否可以考虑请中医骨伤科专家诊治,可能会有奇效。

郑怀贤,河北安新人,解放前,已经是闻名中外的武林高手,同时精通接骨治疗的本领。解放后,郑怀贤担任了成都体育学院教授。一次,国务院副总理兼国家体委主任贺龙抵达成都,对四川省委书记李井泉说想请郑怀贤先生治疗他在战争年代受过伤、现在还不时疼痛的手,并特地说明这是听北京的一位老武术家介绍而慕名前来的。郑怀贤应邀而来。豪爽而又通晓武术的贺龙一边接受治疗,一边和他谈论武林掌故、奇闻轶事。片刻后,贺龙那只经郑怀贤拿捏过的手就消除了疼痛。贺龙不无惊奇道:“哎,我让警卫员也这样捏过,怎么就没有用?”

贺龙回到北京后,在多个场合说起过郑怀贤的高超医技,引起了其他一些高级干部的兴趣。贺龙遂介绍董必武、徐特立、李先念等前往成都请郑怀贤治疗伤痛,无不奏效。

在郑怀贤的治疗下,周总理的疼痛减少了很多,在进行6次治疗之后,周总理的手臂基本痊愈了,但是永远无法回到最初的样子了。

--------------以上内容源自网络-------------

言归正传,肱骨远端有多难知道了吧

最常出现的并发症:僵硬、骨不连、感染、尺神经、内固定相关

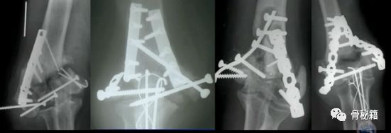
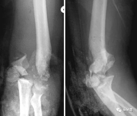
看看这些失败的case,肱骨远端不简单!

手术入路:如下图,都在这个图里,较好的介绍了 就不赘述了,主要围绕肱三头肌展开的几种入路。

术中透视及体位,最常用的侧卧,如下图,

该体位下的透视,正位

侧位

铺单后的体位图

术野显露,术前划线,需要画出中轴线,桡骨头,尺神经,桡神经,骨折断端

国外有那种无菌的止血带,可以术中应用,国内好像没有,一般不用

【骨折的复位和固定】

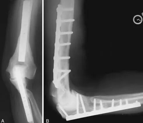
早期的AO技术

AO最早是90-90度钢板的派系,与平型钢板打的火热,后来没打过

1.钢板的形态没有特殊特定的,需要塑性预弯尤其在控制远端的骨折块的时候,钢板和螺钉的角度都必须十分讲究2. 对于滑车的固定只能应用最远端的拉力螺钉,与钢板不能连接3.这种固定在肱骨髁之间无法完成较好的骨折块之前的加压固定

所以对于这样固定的患者就面临一个问题,如果敢早期锻炼,就可能愈合不良,如果石膏固定时间长的话,肘关节就会僵硬

基于应用AO技术的话,固定要点1.一定要将钢板尽量往远端放,把远端骨块固定好2.髁间的固定一定要坚强,加压!3.尽量的坚强固定4.固定基础下早期功能锻炼

AO固定技术流程1.复位时,先把滑车固定好,可应用空心螺钉.

2.然后用克氏针将骨折块经过钢板来进行固定,注意钢板一定要把远端包裹一点。

3.先用普通螺钉固定肱骨近端的孔,完成临时固定,不用拧太紧。

4.然后进行远端的单侧加压固定

5.应用大巾钳和加压螺钉完成髁间的加压固定

具体办法:用大巾钳完成两侧柱的加压后应用螺钉完成固定

同样的完成对侧的固定

7.最后完成其他的螺钉锁定,形成一个完成的肱骨远端力学结构

远端螺钉尽量打满,完成髁间的链接,近端3个以上螺钉。

髁间一定要有链接的长螺钉(对角线螺钉)

以上就是AO技术的基本流程,髁间加压技术对骨折的愈合十分重要!

说到复位的细节,就要了解肱骨远端的解剖

1.解剖中比较重要的就是柱的概念,分为外侧柱和内侧柱,一个重要的滑车结构包含了300度的关节面,在外侧有一个肱骨小头的结构,然后一个冠突窝的结构

2.其中有几个重要的角度,4-8度的轻微外翻角,30度前方的前倾角

肱骨的内外侧柱和滑车构成了一个三角形稳定结构,手术复位的时候一定要完成稳定三角结构的恢复。

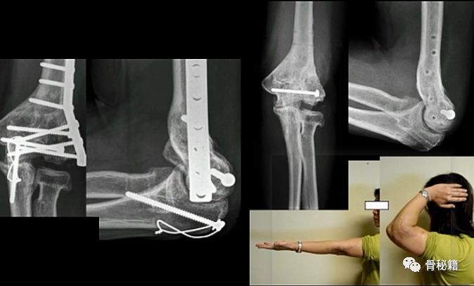
肱骨远端的三个神经也需要注意哦,尤其是后入路的时候,有时需要对桡神经和尺神经都进行显露。

前倾角通常在临床中容易被忽略,因为我们是从后方进行手术,对前倾角度无法进行直接的观察。

前倾角从内侧和外侧观察,角度也不太一样需要注意,内侧大约10-20度,外侧大约30-40度。

前倾角度的复位不良可能造成肱骨的屈伸功能下降,在侧位的时候一定需要注意。

该例患者的前倾角就没有较好的恢复

3.术中如何保证恢复呢和判断呢?

在肱骨前方画一条线,看看该线的位置,是否经过滑车的中心,如果经过则说明复位较好。

肘关节重要的固定就是拿东西时对抗内翻的应力

在这种情况下,就有可能使得不坚强的螺钉拔出而导致了固定的失败

4. 所以 肱骨远端外侧一定要固定的牢固

5. 同时,外侧的钢板一般要比内侧的更长一些,避免在髁上造成了应力集中。

6.复位技巧复位在于一个好的显露,不翻三头肌的复位比较费劲,可能需要很多的克氏针和复位钳。

而翻开三头肌的复位相对简单一些

翻三头肌最常用的鹰嘴截骨入路

需要提到的其中一点,先用摆锯到软骨下骨最后软骨下骨的时候用骨刀来完成

从而避免造成软骨下骨的粉碎进入关节腔

肱骨远端复位原则:先柱还是先关节面?

理论上是滑车first!有的时候也可以先复位简单的。先复位滑车,是功能保证,那300度的关节面的复位需要达到解剖,加压!然后再进行柱的复位

骨折的复位,一般是将C型变B型,B型变A型。

肱骨远端,简单的还好说,复杂的在于 粉碎,骨缺损,骨质疏松,老年患者。

骨缺损 怎么办?

如果出现骨缺损,我们把远端复位好的时候,就需要进行适当的短缩,去掉中间的骨质,从而来完成固定。

后面的步骤同前,同样要完成髁间的骨折加压

关键的一点,不要忘了用磨钻给鹰嘴尖造个窝,要不然肘关节屈伸会有影响。

如果关节面粉碎,没法重建怎么办?

对于前方的关节面,可以不去重建不影响关节,肘关节的稳定主要是在内外侧滑车和肱骨小头这里要尽量重建,如果实在没有可以取髂骨进行重建,或者进行肘关节置换术。

最难的最难的。。。灾难级的!当开放骨折+大量骨缺损遇到了感染你会怎么办?

30岁年轻男性

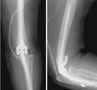
病例的结局

一期行外固定架+抗生素骨水泥控制感染,这个是常规的。

下一步?

二期同种异体肘关节移植术!并且将三头肌支点与原肘进行了重建

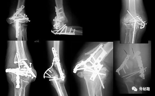
术后18个月,出现了失败和关节的不稳,但宿主和自体骨较好的结合了。

又进行了第二次肘移植,最后终于愈合

友情链接: