首页/骨科精读/面对可怕的 “死亡之冠” ,你会怎么处理?/
面对可怕的 “死亡之冠” ,你会怎么处理?
2021-12-29 10:50:422245浏览
Corona mortis 是源于拉丁文 Corona=crown mortis=death,顾名思义 死亡之冠。今天就来介绍一下,我们这个死亡之冠到底有多可怕!

Corona mortis 是源于拉丁文 Corona=crown mortis=death,顾名思义 死亡之冠。今天就来介绍一下,我们这个死亡之冠到底有多可怕!

【死亡之冠的组成】

髂外血管的腹壁下动静脉和髂内血管的闭孔动静脉之间的交通支,有两条,一条静脉一条动脉。一个是死亡之冠皇上(动脉),一个是死亡之冠皇后(静脉),有时只有一条静脉70%,有时只有一条动脉40%左右,有时都有

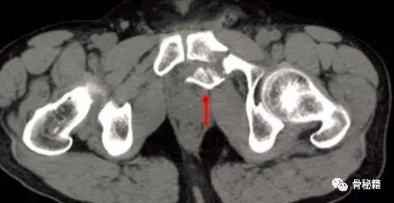
具体位置,位于耻骨联合外4-6cm处

【存在率】

Beatrice在2184个尸体研究中发现,死亡之冠存在率49%,静脉41.7%,动脉17%,亚洲人59.3%,欧洲人42.8%,北美人44.3%。

其中女性更多,单边更多,大骨盆更多。

【粗度】

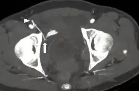
有的时候很粗是静脉,有的时候比较细是动脉

4.为动脉 5.为静脉

为什么害怕?出血啊!!大量出血!!如泉涌

【容易损伤的时间】

1.骨折时损伤有一定的报道提示骨盆骨折时该血管断裂损伤,尤其是在耻骨支外4-6cm处骨折时需要注意。

2.手术时损伤corona mortis”一般在腔隙韧带的后面,骨盆的髂腹股沟入路,Stoppa入路,腹直肌旁入路时均有可能损伤该血管,其中髂腹股沟入路由于入路的角度和视野有限,最容易损伤。

Stoppa和腹直肌旁基本可以直视进行结扎与缝合等处理。

3.最害怕的事情外科医生总是幻想过很多最害怕的事情,一不小心损伤了死亡之冠,里面呼呼的冒血!什么都看不清,只能压着,一压发现死亡之冠回缩到了腹壁内动脉那边……这个时候困扰我的绝对不是那三个富有哲理的问题我是谁?我从哪来?我到哪去?而是,该不该叫领导还是自己整?还是赶紧压住给三线主任打电话吧

【处理】

1.受伤时怀疑损伤可以做CT,腹部B超,腹腔穿刺等来进行诊断,B超的敏感性不强,CT有时可以发现耻骨附近的血肿。实在不行可以做造影。

【术中处理】

术中一定要轻轻剥离,钝性分离,不要用电刀,小刀等。发现之后果断结扎,血管比较细的可以用电凝,粗的一定要结扎。不要让他缩到了你找不见的地方,切记切记。术中出血只能靠压迫,找寻断端 ,分离,止血了。说的容易,但是做起来就复杂的多了。实在不行可以考虑血管栓塞。老年患者 尤其需要注意。

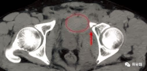
一个老年女性患者骨盆骨折,没有移位,住院后给予保守治疗后出院,出院三天后在上厕所时,腹部疼痛、尿少、心动过速、血压减低,立即入院后查体发现下腹部疼痛,压痛反跳痛,腹膜炎表现。

行CT,发现腹腔有10*10*15的血肿位于耻骨骨折旁边。

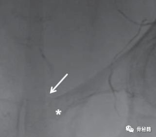
行血管造影后确定了为死亡之冠出血,后行血管栓塞闭孔动脉后,出血停止。一周后康复出院。

在骨盆手术入路时损伤比较多,在此给大家推荐一个神器,普外科的连发可吸收钛夹,看到之后咔咔两下夹死。

妈妈再用不用担心我的打结技术和死亡之冠了!真心好用

死亡之冠 不怕啦动脉 我“咔咔”(钛夹声)静脉 我"咔咔"(钛夹声)骨盆手术我卡卡卡做完回家啦

友情链接: