股骨远端单髁或双髁的冠状面骨折均称为Hoffa骨折。
早在1869年,柏林医生Friedrich Busch (1844-1916)就对这类少见骨折有过描述。但直到1904年,Albert Hoffa(1859-1907)首次正式报道了这种骨折,故称Hoffa骨折。
Hoffa骨折属于比较少见的骨折类型,单纯Hoffa骨折占整个股骨骨折的0.65%;占全部股骨远端骨折的8.7%~13%。外髁Hoffa较内髁、双髁Hoffa多,占整个Hoffa骨折的78-85%。股骨髁上、髁间骨折合并Hoffa骨折者占38.1%。
01Hoffa骨折的解剖
股骨远端粗大并发生旋转,呈喇叭状,主要由松质骨组成,向两侧延伸即为股骨髁,为膝关节重要组成部分。
外侧髁较宽大,内侧髁较狭长,位置较低,内外侧髁间深凹为髁间窝,上有2个切迹,膝交叉韧带附着其上。前交叉韧带附着于外髁内面的最后部,后交叉韧带则附着于股骨内髁外面的前部。
因此,发生Hoffa骨折,骨折块上常附有股骨外侧髁或内侧髁后部突起的关节面。外侧髁骨折块常向后、外旋转移位,可有膝前交叉韧带和腘肌腱、腓肠肌外侧头附着;内侧髁骨折块常无后交叉韧带附着。


02Hoffa骨折的损伤机制
高能量损伤 Hoffa骨折多为高能量损伤,青壮年多见。损伤机制多为膝关节屈曲时,轴向剪力作用于股骨髁后部所致。
屈膝内翻或外翻情况下紧急制动,自股骨近端传导的轴向暴力作用于股骨髁,同时来自胫骨远端的暴力传导至胫骨平台,使股骨髁与胫骨平台之间产生巨大的剪切力,从而导致Hoffa骨折。
常见于车祸伤(尤其摩托车交通事故,占80.5%)、高处坠落伤占9.1%。

当高能量暴力作用于股骨远端时,由于股骨远端存在外翻角的解剖特点,往往首先作用于外侧髁,因此,外髁Hoffa骨折明显多于内髁Hoffa骨折。
低能量损伤骨质疏松患者,在摔倒等低能量损伤时,也可能发生Hoffa骨折。
医源性损伤医源性Hoffa骨折见于膝关节ACL重建术。如果骨隧道位置太靠后或较小的股骨放置较粗的韧带,则有导致Hoffa骨折的潜在危险。
03Hoffa骨折的临床诊断
症状/体征:膝关节肿、痛、活动受限;浮髌试验阳性;可出现内外翻应力试验及前后抽屉试验阳性体征。
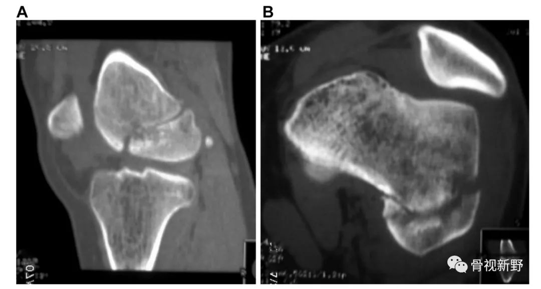
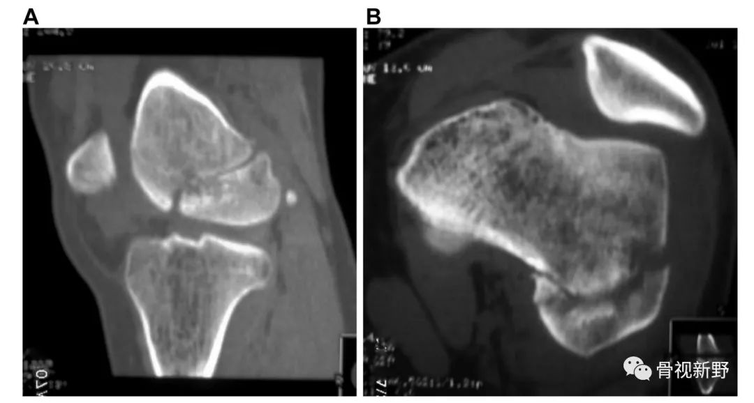
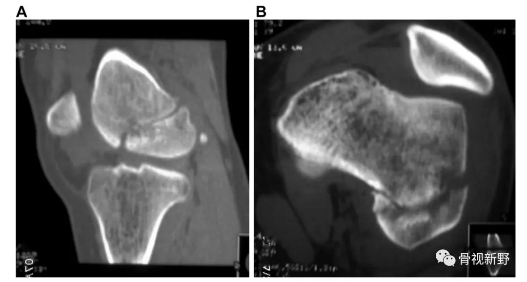
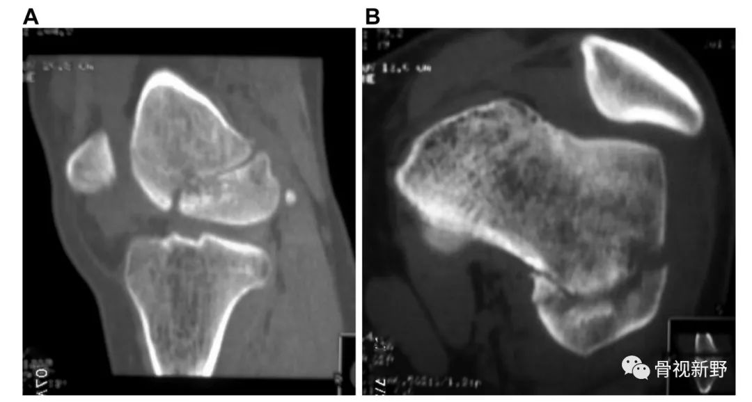
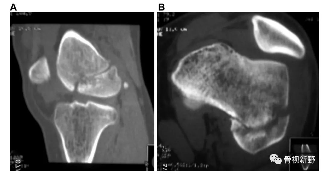
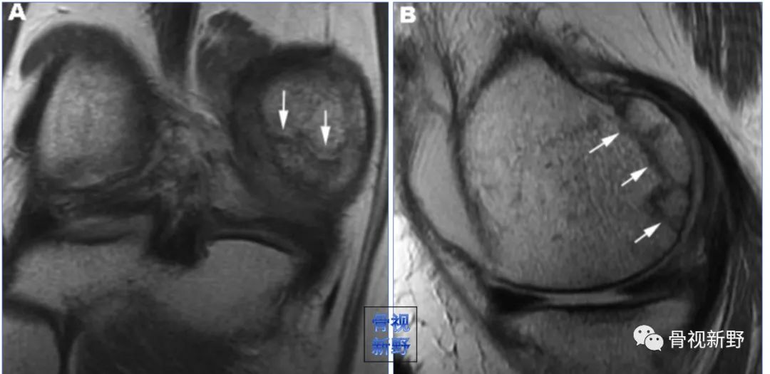
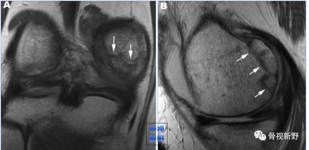
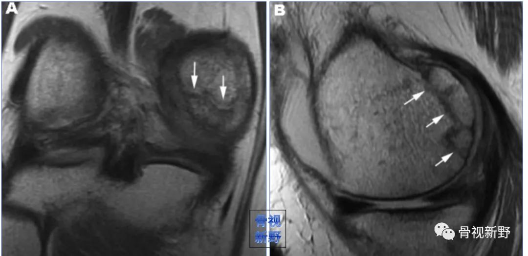
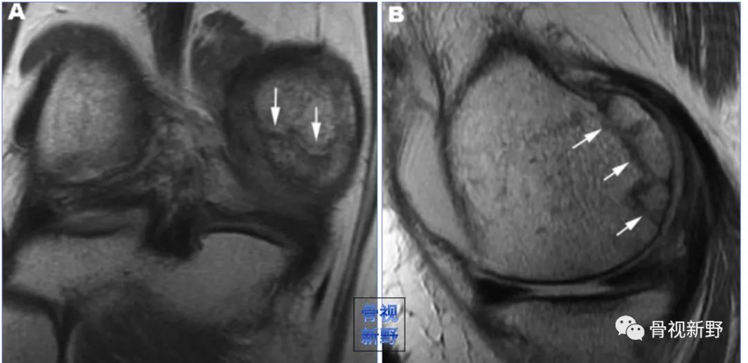
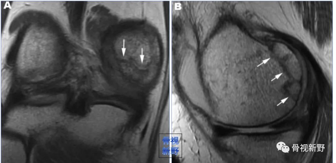
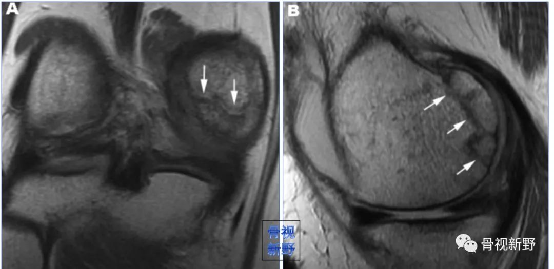
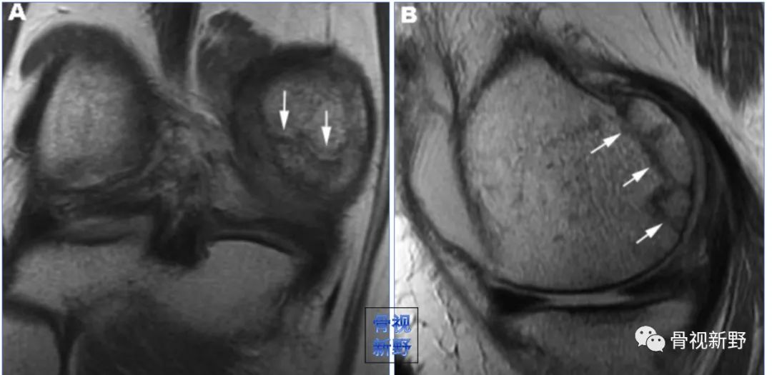
影像诊断:部分Hoffa骨折X线片不能提供明确的诊断,漏诊率较高。需要CT或MRI检查,并根据患者的病史、查体及影像学检查予以确诊。
部分Hoffa骨折普通X光片易漏诊

CT扫描在矢状位、轴位容易发现骨折及骨折线的走形方向

MRI不但可发现隐匿性骨折,还可发现合并的软组织损伤

04Hoffa骨折的分型
Hoffa骨折属AO-B3。但该分型对治疗及预后没有指导意义

Letenneur分型
Letenneur等(1978)根据骨折线的位置分为3型:
Ⅰ型:累及整个后髁并平行股骨后侧皮质的垂直骨折,Ⅱ型:与后髁基底部(后髁切线)平行, 又细分a、b、c三个亚型。Ⅲ型:股骨后髁斜行骨折。

05Hoffa骨折的治疗原则
非手术治疗概况以往,对于没有移位的Hoffa骨折,往往采取非手术治疗。保守治疗包括牵引治疗或石膏固定治疗。保守治疗必须进行密切随访,即使在制动中,由于腘肌和腓肠肌的牵拉也可能导致骨折再移位!
手术治疗原则及要点由于该关节内骨折在屈膝位时是主要的承重部分,且剪力大,因此,不论有无移位,现在大多数医生倾向手术治疗。
解剖复位与微创的平衡:首先,需要准确的复位,以免创伤性关节炎发生。但不能过多地剥离骨膜,因为Hoffa骨折的髁后部多为关节面,软组织连接少,血运较差,以免缺血性坏死发生。解剖复位以以能恢复关节面平滑和关节面的吻合为原则。特别是Letenneur Ⅱ型,其骨折块较小,固定困难,骨折块血运差,易影响愈合。
骨与软组织并重:Hoffa骨折往往也伴有肌腱、韧带附着点的损伤,故对这些组织结构的解剖复位对恢复膝关节的稳定性和功能也至关重要。

(Hoffa合并PCL损伤一期修复)
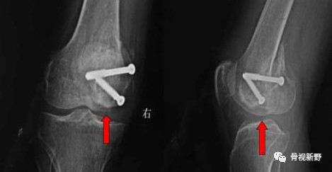
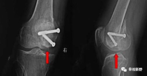
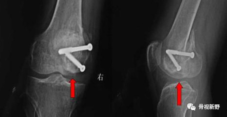
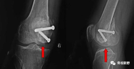
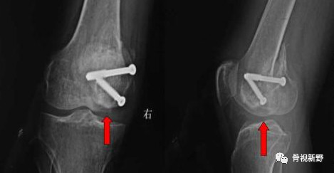
坚强内固定与关节软骨保护:坚强的固定不仅有利于解剖复位的维持,也有利于术后早期功能锻炼。采用空心拉力螺钉治疗Hoffa骨折是经典的内固定方式。AO内固定原则建议6.5mm拉力螺钉固定,尽量避开关节面。如必须穿过关节面固定,则应埋头处理。

(AO内固定原则第三版)
但因6.5mm拉力螺钉尾部大,如穿关节软骨固定,势必造成软骨面较大损伤。因此,也有人用4.5mm、3.5mm直径的拉力钉进行穿关节面固定,但得用2枚以上,且需埋头处理。

另外,对老年骨质疏松患者及髁间有压缩的患者,拉力螺钉的坚强固定可能造成骨质压缩,则会影响关节面的平整、光滑。对这类患者加用支撑钢板固定也许更合适。

Buttress理念:由于Hoffa骨折垂直剪力较大,单纯拉力钉固定易致骨折移位、畸形愈合或不愈合。


因此,使用防滑、支撑的Buttress钢板以对抗垂直剪力有一定的必要性。

早期功能锻炼:有了解剖复位及坚强固定的基础,早期行膝关节功能锻炼能显著提高骨折治疗的效果。06外髁Hoffa骨折的手术入路
直外侧入路
沿股骨外髁与Gerdy结节后缘连线作5cm左右纵行切口,可根据情况向上下延伸(如下图)。

直接外侧入路虽然可以显露股骨远端及外侧部分,但由于髂胫束的遮挡,对股骨髁后侧部分显露不够充分。
直接外侧入路适用于部分骨折块较大的Letenneur I、III型外髁Hoffa骨折,对II型(完全囊内骨折、靠后)及后髁粉碎者不适合。
髌旁外侧入路
即前外侧髌旁关节切开入路。皮肤切口可以髌前正中或髌旁外侧。深部分开股直肌与股外侧肌间隙、切开髌旁支持带及关节囊后进入关节腔。屈膝位向内拉开髌骨可显露股骨外髁前、外侧大部分关节面。

髌前正中切口—髌旁外侧入路

髌旁外侧切口
此入路髂胫束对显露髁后部也有一定的遮挡。主要用于Letenneur I、III型骨折块较大的外髁Hoffa骨折。但此入路对后期如果需要采用外侧髌旁关节切开入路行关节置换术不会影响;且易于钢板固定等操作。
swashbuckler入路
在胫骨结节外侧沿髌骨外侧缘行皮肤切口,延伸至髌骨的外上角,切口长度约12-15cm。
锐性分离膝关节部位皮瓣直至暴露外侧髌韧带,沿髌韧带作梯形手术切口,暴露膝关节,如图1,该切口远端起始于髌腱胫骨止点外侧,沿髌骨边缘的髌韧带延伸至股外侧肌肌腹。
后按一下四个步骤进行股骨远端暴露:1. 使用手指将髌腱从髌后脂肪垫上钝性分离;2. 完全切除髌后脂肪囊和滑囊至半月板韧带水平,注意此时需保护半月板和半月板间韧带;3. 完全松解髌韧带远方胫骨结节止点;4. 最后松解髌韧带上方以获得进入髌上囊的空间。
在胫骨近端靠近内侧半月板水平放置霍夫曼拉钩以牵开髌骨,在髌上囊水平放置另一个霍夫曼拉钩牵开近段股中间肌完成微创swashbuckler入路。

沿髌韧带所作的梯形手术切口,注意该梯形手术切口仍位于髌韧带内而未延伸至股外侧肌腹

微创swashbuckler入路与股骨轴线呈30度角所拍摄的图片。图中整个股骨远端关节面得到接近完整的暴露
Gerdy结节截骨入路
入路同胫骨平台骨折的Gerdy结节截骨入路(如下示意图) 。平行于胫骨纵轴截取Gerdy结节骨块(大约1cm宽*2cm长*1cm厚)。然后将骨块连同其上附着的髂胫束向上翻转后能完全显露整个股骨外髁。
适用于Letenneur I、II、III型外髁Hoffa骨折,特别适合II型及外髁后部粉碎者。

该入路对外髁后部的显露较充分,可直视下由后向前打螺钉或完成支持钢板的固定。外髁Hoffa骨折固定完成后,再以带垫片的螺钉通过预先钻孔将Gerdy结节原位钉回(截骨前预钻孔!)。
后外侧入路
适应症:II型外侧髁Hoffa骨折。操作:自髂胫束和股二头肌之间进入。

改良后外侧入路
适应症:II型外侧髁Hoffa骨折。
操作:自股骨外上髁至腓骨颈做一纵向切口,首先在腓骨颈远侧显露腓总神经,并向近侧游离,切开股二头肌肌腱(前)和腓总神经之间的深筋膜,股二头肌牵向外侧,腓总神经牵向内侧,显露后外侧关节囊,自远侧半月板附着部位向近侧纵向切开关节囊,在半月板位置的关节囊留置缝线,用以牵开关节囊显露股骨远端。
患者仰卧位,自股骨外上髁至腓骨颈做一纵向切口。

切开股二头肌肌腱(前)和腓总神经之间的深筋膜。

显露腓总神经,股二头肌牵向外侧,腓总神经牵向内侧。

复位和临时固定。

07内髁Hoffa骨折的手术入路
髌旁内侧入路
即前内侧髌旁关节切开入路,是传统的TKA常用切口。皮肤切口取髌前正中切口,深层行髌旁内侧入路或直接髌旁内侧切口进入。
髌旁内侧入路仅适合部分骨折块较大的Letenneur I、III型内髁Hoffa骨折。
髌前正中切口—髌旁内侧入路

深部在股直肌与股内侧肌之间进行分离隙、切开髌旁内侧支持带及关节囊后进入关节腔。屈膝位向外推开伸膝装置可显露股骨内髁前、内侧大部分关节面。

直接髌旁内侧入路

此入路向后解剖显露髁后部时容易损伤膝上内侧血管,而后者是股骨后髁最主要的骨外血供,有导致术后股骨髁骨坏死的风险。另外,由于内侧副韧带的遮挡,髌旁内侧入路无法充分显露后髁及其粉碎骨折块。
股内侧肌下入路
指征:大块和小块内侧髁Hoffa骨折。优点:显露复位前侧、后侧的骨折;保护伸膝装置的完整性和髌骨血供;保护股骨内侧髁的血供;不触及髌上囊,术后粘连较少。缺点:可能显露不足(股内侧肌变异)。

操作:屈膝20°,取膝关节前正中纵行皮肤切口,约25cm长,切开皮下并向内侧游离形成内侧全厚皮瓣,保护隐神经髌下支,显露股内侧肌肌腹,沿股内侧肌和髌腱内侧缘切开深筋膜,尽可能避免结扎膝上内侧动静脉。自膝关节囊和内侧肌间隔游离股内侧肌并向上外侧牵开,于内侧副韧带的股骨内上髁起点前缘到内侧半月板近侧纵向切开关节囊,注意勿损伤内侧半月板,检查半月板有无损伤。将髌骨向外侧牵开显露股骨内侧髁关节面。若骨折线偏后需后前位螺钉固定,进一步屈膝(>120°),在内侧副韧带后侧切开关节囊显露髁后部骨折。
自髌骨上极到胫骨结节做膝关节前正中纵行皮肤切口。

切开皮下并向内外侧游离形成内外侧全厚皮瓣。

显露股内侧斜肌的止点(髌骨内侧缘的中上部)。

切开斜浅面的深筋膜(Subfascial dissection of VMO)。

完全显露股内侧斜肌的止点。

在股内侧斜肌深层放置Z形拉钩,股内侧斜肌的髌骨止点保持完整。

在股内侧斜肌髌骨止点远侧标记缝线。

虚线显示内侧关节囊切开线。

自股骨到股四头肌底面,从内到外切开关节囊,上面的拉钩置于关节囊浅层,下面的拉钩置于关节内。

缝合关节囊,股内侧斜肌完整。

右侧股骨内侧髁,股内侧肌下入路的皮肤和浅层切开。黑线示深筋膜切口:沿股内侧肌和髌腱内侧缘切开,可见隐神经髌下支和膝上内侧动静脉。

股内侧肌向近外侧牵开,显露内侧副韧带浅层,两条黑线显示在内侧副韧带前缘和后缘切开关节囊。

在内侧副韧带后侧切开关节囊显露股骨内髁后部。

在内侧副韧带前缘切开关节囊,可以充分显露骨折块复位和固定。

后内侧入路
是由股骨远端内侧入路改良的“股骨远端后内侧入路”( medialposterior distal femur approach)。切口示意图如下:

此切口很容易显露股内侧肌、缝托肌和隐神经,将其牵向前方,显露股薄肌、半腱肌及半膜肌,将半腱肌和半膜肌向后牵开,在股薄肌和腓肠肌内侧头之间进入,显露内侧髁后部骨折及内侧副韧带起点(注意保护)。

此入路主要显露内髁后部,因此比较适合Letenneur II型及髁后部粉碎的内髁Hoffa骨折。
关节镜微创入路
关节镜微创手术可减少软组织剥离和出血量,术后关节功能及软组织恢复较好。但目前仅有少数个案报道,尚并无充分证据支持关节镜辅助Hoffa骨折。

08Hoffa骨折的术后处理
1. 根据骨折类型、固定的稳定程度和有无伴随损伤等综合考虑。
2. 骨折固定不稳定时,可以伸直位石膏外固定2周后更换功能位再固定2~4周;6周内不许负重,12周后允许完全负重。
3. 骨折愈合之前应该避免膝关节过度屈曲