
MC是软骨下椎体骨髓改变,可通过磁共振成像 (MRI) 识别。MC于1987-88年首次由Assheuer等人提出,并根据de Roos和Modic等人利用MRI T1和T2加权像和组织学分析进行分类。分类包括MC1-3型:MC-1代表反应性或炎症性改变;MC-2表现为脂质骨髓替代,MC-3表现为终板和软骨下椎体骨髓钙化。详见:Modic改变分型。其中,MC-1和少部分的MC-2被认为是一个重要的疼痛来源。2006年,Kjaer等人在一项针对40岁丹麦人的基于人群的研究中发现,在MRI上,MC与椎间盘退变相结合与腰痛(LBP)的可能性增加相关。Teraguchi 等和Kovacs 等人的研究也证实了这些发现,他们发现如果存在 MC,单椎间盘退变就与患者报告的结果测量 (patient-reported outcome measures, PROM) 具有临床相关性。然而,在横断面和前瞻性研究中,也有其他论文质疑MC和PROMs之间的关联。
本文重点介绍了磁共振成像中MC的定义和MC分级。全面回顾MC的病因、MC的治疗方案及MC与PROMs之间的关系不在本文的探讨范围内。
描述MC的三篇原始研究论文已被引用2000多次,导致人们对退行性骨髓改变及其分类越来越感兴趣。
- de Roos等人在1987年的第一篇论文中对41名患者的203个椎间盘间隙进行了MRI分析。在所有发生退行性改变的间隙中,有50%的间隙在终板周围出现退行性骨髓信号改变,而正常椎间盘附近则无骨髓改变。他们得出结论,这些信号变化在退变椎间盘周围很常见,不应与感染或肿瘤引起的信号变化混淆。
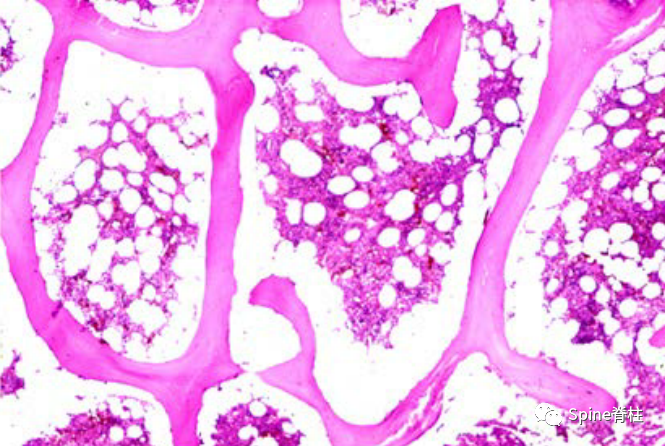
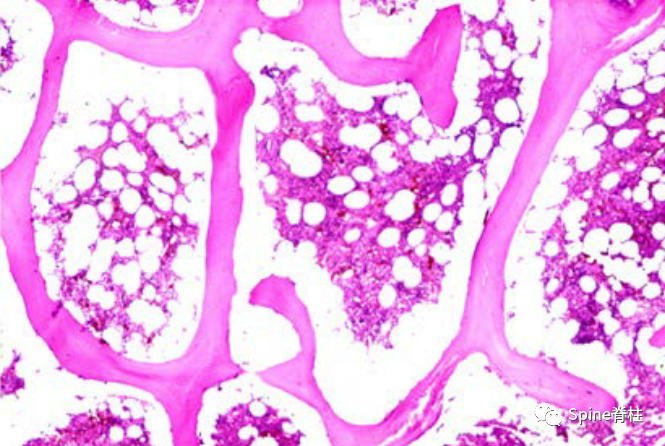
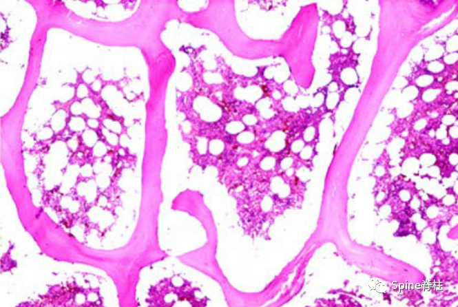
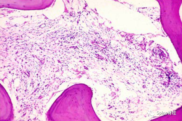
- Modic 等人的第二篇论文回顾了 474 例腰椎成像患者的 MRI。该研究注意到在与椎间盘退行性变有关的终板周围软骨下骨髓中存在两种类型的信号强度变化,MC-1 和 MC-2。该研究包括对 16 名患者进行一到三年的重复 MRI 随访。此外,还对 6 名因椎间盘疾病接受腰椎手术的患者进行了椎间盘-终板-椎体交界处的组织病理学分析,如图 1-3。MC-1 或 MC-2 的骨髓信号变化仅在存在相邻椎间盘退变的情况下发现。在 14 至 36 个月的随访中,六分之五的患者从 MC-1 转变为 MC-2。在 6-12 周内,凝乳蛋白酶注射(Chymopapain injection)会诱导 MC-1 变化和进一步的椎间盘退变。重要的是,该研究得出的结论是,MC-1 可能被解释为对椎间盘退变时椎体骨髓所承受的损伤的急性至亚急性修复反应。而 MC-2 代表更稳定的状态,随着时间的推移没有显著的转换。该研究进一步强调了这些发现与椎间盘退变相关的临床重要性;可与继发于恶性肿瘤或骨髓炎的变化区分开来。
- Modic 等人的第三篇论文也是在1988年发表,其回顾了改进的成像方法对退行性椎间盘改变(包括MC)的影响。该论文包括了对MC-3的描述,MC-3是一种在平片上可见的椎体内致密编织骨的硬化状态。在MRI上,MC-3的特征是缺乏正常骨髓,代表晚期硬化。

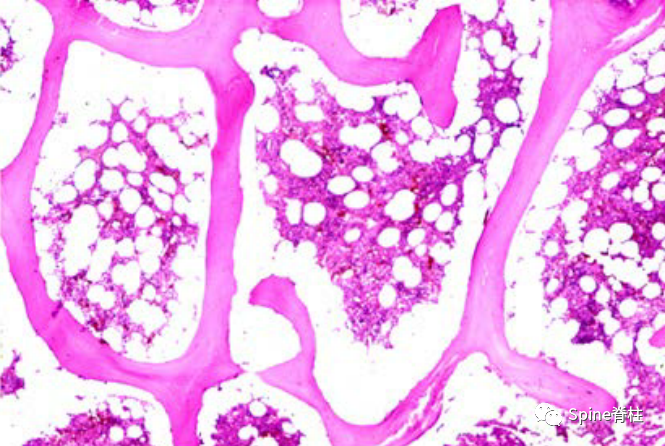
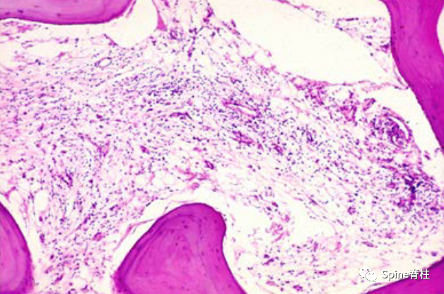
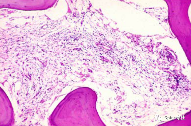
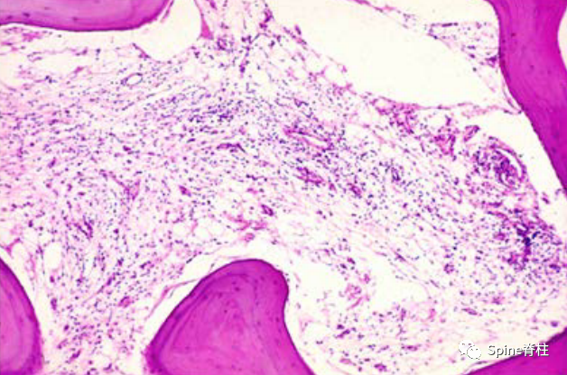
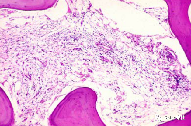
图 1. 终板-椎体交界处的 H&E 染色显示正常组织与椎骨内的造血成分和骨小梁。

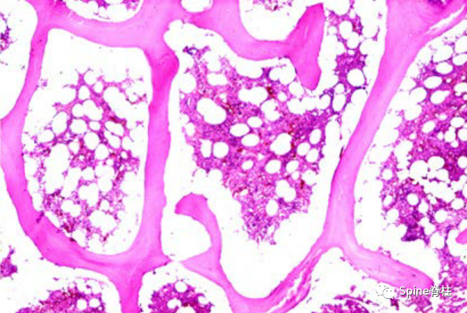
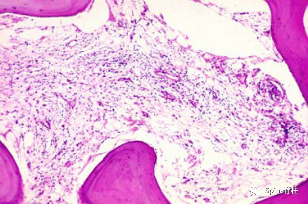
图 2. 具有纤维血管成分和增厚的骨小梁的 MC-1 的组织学 H&E 染色

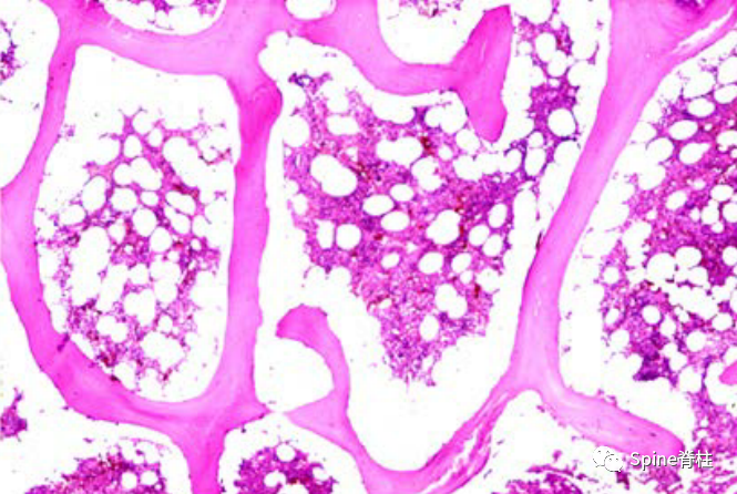
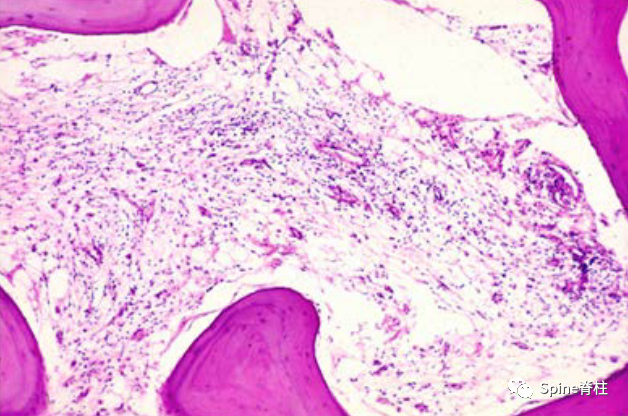
图3.MC-2组织学H&E染色,骨髓间隙脂肪替代,在T1加权图像上显示高信号
这三项原始研究详细描述了如何在 T1 和 T2 加权 MRI 上可视化和表征 MC,包括有关相邻椎间盘改变的细节。随后的研究大多参考了这三项原始研究,以获取有关 MC 的描述和分类的详细信息,而没有说明对这一定义的遵守程度、是否对定义进行了任何修改或使用具有不同磁强度的 MRI 的结果。这导致了关于LBP和腰椎退行性病变患者MC临床意义的不一致结论。在众多研究中,关于MC定义、分类和分级的有限方法细节强调了MC一致性、可重复性特征的需要,以及定义可靠分级分数的需要,以确保整个研究的有效性。本综述旨在描述MC定义和特点的现状,并提出MC评分。
椎体终板 (VERTEBRAL ENDPLATES)
结构与功能
人类脊柱可分为功能性脊柱单元(functional spinal units, FSU),代表具有与整个脊柱相似特性的节段结构。FSU的组成部分是两个相邻的椎体以及它们之间的关节,前面是椎间盘,后面是两个小关节。椎间盘的组成部分包括中央髓核(NP)、外纤维环(AF)和相邻终板。有些人认为终板是独立的解剖结构,而另一些人认为它们是椎间盘的组成部分。
终板为1mm厚的凹形结构,具有两层不同的结构——由透明软骨组成的软骨终板(cartilage endplate, CEP)和由半多孔松质骨组成的骨性终板(bony endplate, BEP)。终板具有脊柱功能所必需的几种生理特性,是营养物质进出椎间盘的关键调节器。在骨骼成熟之前,终板具有来自毗邻BEP的椎骨的穿透性显微血管,在脊柱生长过程中为椎间盘提供血管供应。终板还起到物理屏障的作用,保护椎体免受椎间盘向头尾侧突出的影响。
FSU的退行性改变是多因素的,可以从不同的解剖结构开始。终板改变(Endplate changes, EC),如裂缝和撕裂,会导致CEP中蛋白多糖分子的耗竭和BEP中的微骨折和硬化。详见:终板病损的分类与命名。特别是,退行性BEP改变与椎间盘营养供应减少、AF和NP内蛋白多糖和水分含量下降、椎间盘结构改变以及随后的椎间盘退行性变有关。在患有EC和退行性脊柱改变的个体中,研究表明血管和神经纤维向终板的生长增加,这一机制被认为是LBP的可能原因。详见:椎间盘源性腰痛 (discogenic low back pain)。
本文的重点是MC,它可以被描述为EC的一个子群。EC的其他脊柱状况包括:Schmorl 结节(SN)、创伤(骨折、骨骺松解)、感染/椎间盘炎、退行性改变和医源性损伤,见图4。

图4.终板改变的常见原因概述,有些原因有重叠
腰椎间盘突出症(Lumbar disc herniation, LDH)也与EC密切相关。在椎间盘突出症患者中,BEP改变比纤维环撕裂更常见。此外,与没有BEP连接失败的椎间盘突出相比,椎管内椎间盘突出中存在软骨终板与LBP的可能性增加相关。因此,BEP损伤和形态学改变与椎间盘退变(disc degeneration,DD,此处定义为Pfirrmann分级>2)一致。然而,BEP 和 DD 之间的关联因损伤类型而异——更多的是侵蚀,而SN的程度较小。BEP 损伤类型与相关 LBP 之间存在类似的关系,表明不同临床表现的病因存在差异。
终板改变的可视化
CT 和 MR 成像常用于可视化 EC。MRI 提供有关椎间盘和椎体骨髓特征的详细信息,而 CT 可用于可视化 BEP 改变。
虽然MC的分类主要基于椎体骨髓改变而非EC,但终板改变是MC的特征。研究表明,在MRI上对这些变化进行分类时,观察者之间和观察者之间存在很大的差异。这种可变性可部分归因于MRI机器和技术的差异。其中包括磁强度的差异(低特斯拉<1.0特斯拉)、高特斯拉(1.0-3.0特斯拉)和极高特斯拉(>3.0特斯拉)、表面线圈类型和信号放大、各种序列的使用(T1、T2、STIR、脂肪抑制、自旋回波类型等)。
MODIC改变 (MODIC CHANGES)
MODIC改变的病因
如Modic等在1988年所述,MC是一种可以在MRI上显示的组织学变化。MC似乎是与年龄相关的退变过程。MC-1与持续的腰痛相关,MC-1骨髓改变的减轻与PROMs的改善相关。MC类型之间可以进行转换,最常见的是 MC-1 到 MC-2 或正常。随着时间的推移,MC-2改变似乎更加稳定,并且与 LBP 的关联性较低。它们最常见于 L4/5 和 L5/S1。MC-2改变可能会转化为 MC-1,并伴有叠加的变化,例如外伤、感染或加速退变。
MC并非仅见于椎体和EC,也可在椎弓根中发现,这可能表明除了与退行性椎间盘改变密切相关外,还与生物力学不稳定性有关。
虽然有大量数据表明,这些骨髓改变中有许多是机械性或修复性病因,但越来越多的文献表明,在某些情况下,它们反映了炎症过程,甚至部分由退行性改变促进的感染。磁共振成像检测到的信号强度改变本身并不是因果病理过程,而是某种机械应力或不稳定性和/或伴随的免疫生物学细胞反应的反映。
Modic变化的定义和分类
对于MC的描述,不存在特定的常用方案,使得研究之间的比较不合理,方法上的缺陷导致偏倚和混淆。相反,已经使用了几种分类系统来描述特定模式、BEP 参与程度、混合型 MC(MC-1 和 MC-2 在同一 FSU)和 MC 的范围。缺乏明确的定义和公认的分级系统是以往和当前关于 MC 研究的最重要问题。
Herlin等人对MC、腰痛和活动受限之间的关联进行的荟萃分析发现,在5210篇引文中包含的31项研究中,存在较高的偏倚和异质性风险。尽管综述中描述了一个定义,但它并不符合Modic等人的原始描述。在纳入的研究中,MC存在与否的解释存在很大差异。更重要的是,在大多数研究中,MC没有明确定义,这“使得无法分析不同表型的MC对结果的影响”。这项研究的作者再次强调需要在不同研究中就MC的定义和分类达成一致。
Jensen等人早期的一项系统性综述也描述了MC的患病率及其与PROMs的关系的广泛差异,这可以通过MC定义的差异来解释。Viswanathan等人最近对MC病理学、临床意义和在慢性疼痛中的作用进行的循证叙述性综述将MC命名的异质性描述为一个主要问题,并再次强调了该领域进一步研究的必要性。
总的来说,如果分级系统与临床相关、可靠且适用于大多数MC患者,则可以使用该分级系统。然而,引入太多的变量(例如,大小、体积、位置、BEP参与、骨赘形成)最终会增加评分者之间和内部的分歧。
前进之路:Modic改变定义和分级
需要解决几个关键问题,以确保系统和方法合理地使用术语MC,并调查MC分级的临床相关性。首先,需要就命名法达成共识。我们建议使用广义EC来描述通过组织学分析(BEP和CEP)和/或MRI/CT(BEP)可见的终板结构变化。未引起椎体骨髓改变的BEP改变可根据形态学、位置或病因进行分类,但应与MC区分。对于EC的所有原因(如创伤、感染、退行性变等),更详细的MRI描述至少应包括DD等级(Pfirrmann分类)和EC位置(头侧和/或尾侧终板)的详细信息。
对于用于描述EC [椎体终板信号改变(vertebral endplate signal changes, VESC)、终板信号改变(endplate signal changes, ESC)、MC]的特定术语,我们建议将EC用作包含所有亚组的通用术语。应避免使用VESC和ESC等同义词,以便于研究之间的比较。
EC是存在的,并且是MC的一部分。推测MC起源于EC。屏障功能的改变、椎间盘突出物通过终板进入椎体以及促炎蛋白的上调都被认为是导致MC形成的级联反应的一部分。然而,MRI上描述为MC的改变,实际上是椎体骨髓的信号改变,而不是1 mm厚的BEP/CEP终板中出现的改变。因此,术语 MC 应保留用于在 T1 和 T2 加权 MRI 上可视化的椎体骨髓信号改变。
这种改变与退变有关,但可由外伤、炎症和医源性损伤(包括凝乳蛋白酶注射和椎间盘造影术)引发。MC的椎体骨髓改变特征应遵循de Roos和Modic等人的描述和分类。
其次,MRI描述应至少包括中矢状位的T1和T2加权像。应提供MRI装置的技术细节(包括特斯拉强度、表面线圈和信号放大的使用)和分析序列(T1、T2、STIR和自旋回波类型)。
第三,分级对于术语MC具有任何临床相关性都是至关重要的。MC简单地描述了MRI上存在的骨髓改变。如果没有对椎体受累程度的任何测量,就不可能进行临床相关的分类。与 DD 类似,可以使用 Pfirrmann 分类对其严重程度进行分级,对 MC 的描述需要同时考虑骨髓改变的类型和分级。既往研究已经通过使用MC分级证明了临床和统计上显著的相关性。Weishaupt发现,与涉及<25%椎体高度的MC相比,涉及>25%椎体高度的MC与椎间盘源性疼痛密切相关。Mättä等人使用相同的分级系统发现,MC-1在垂直方向上比MC-2大。观察者内的信度范围为0.69-1.00,观察者间的信度对于MC的高度为好到高(k>0.80)。在同一研究中,MC占椎体相对高度的25%或更高的受试者的整体椎间盘退行性改变程度高于较小MC受试者(<椎体高度的25%)(p=0.001)。类似地,特别是 MC-1 成分的变化不仅与长期的、严重的、致残的 LBP 相关,而且水平大(覆盖整个 AP 方向或整个终板)、垂直最大的 MC 与严重长期的和致残的 LBP 相关。同样,在Saukkonen等人的基于人群的出生队列研究中,严重长期的和致残的LBP不仅与MC-1有关,而且与MC的垂直和水平范围有关。
表1说明了可用于所有类型MC的MC分级评分。

根据de Roos和Modic等人描述的标准和分类,应在矢状位T1和T2加权图像上测量骨髓改变的程度。MC改变可以出现在一个或两个相邻的椎体上,且在大多数情况下,椎间盘应该表现出 DD 的迹象(PF≥2)。如果同一FSU内存在不同/混合型MC,则应描述最具临床意义的MC(即MC-1,然后是MC-2,再然后就是MC-3)。因为MC-1代谢活动增加,组织学分析发现炎症,与混合型MC、MC-2和MC-3相比,其与PROMs的关联性更强。而最严重的分级,根据椎体内MC垂直范围最大的矢状切面,应使用C级> B级> A级,以清楚地描述FSU最具有临床相关性的变化(表1)。
进一步的研究应寻求验证 MC 分级,并确保所使用的术语适合于在研究内部和研究之间进行比较。此外,在未来的国际脊柱会议上讨论用于描述 EC 和 MC 的共同共识和提议的命名法也很重要。
结论
MC是重要的临床相关发现。然而,在临床决策中如何定义、分类和使用,存在着差异和不一致性。我们目前的“最新”综述强调了与EC和MC相关的问题,并提供了MC一词的定义和分级评分,包括Modic类型和椎体受累程度。未来的研究应寻求在临床相关人群中验证MC分级评分。