首页/骨科精读/跟骨骨折ORIF的十个手术技巧!赶紧收藏!/
跟骨骨折ORIF的十个手术技巧!赶紧收藏!
2021-06-30 11:03:182592浏览
跟骨骨折为临床常见病,发病率高,占跗骨骨折的60%,全身骨折的2%。 跟骨骨折治疗困难,预后差。 治疗方案个体化强,方法多种多样。


概述

跟骨骨折为临床常见病,发病率高,占跗骨骨折的60%,全身骨折的2%。 跟骨骨折治疗困难,预后差。 治疗方案个体化强,方法多种多样。 跟骨骨折后,形态发生复杂的变化,包括G角、B角、宽度、高度、后关节面的对合情况等等。

跟骨的解剖学标志,最重要的就是两个角度

Bohler’s角:缩小、消失或反角,反映后关节面的塌陷Gissan‘s角:反映跟距关节内骨折的严重程度 

力学机制

高出坠落伤,距骨外侧突向楔子一样向下挤压跟骨,使之骨折。常合并脊柱损伤,直接暴力导致的开放伤不多见。

跟骨增宽(剪切力)

跟骨高度丢失(垂直暴力)

分型

跟骨骨折分型有多种(20余种)临床常用的有X线分型和CT分型 

1.Sanders  CT分型 

2.Essex-Loprestis   X线分型

治疗

早在1908年,Cotton和Wilson指出,跟骨骨折切开复位是禁忌的。Mc laughlin也有同感,比喻试图手术固定跟骨骨折为“将牛奶蛋糊陷饼钉到墙壁上”。

Palmmer在1948年报告了对急性关节内跟骨骨折采用手术治疗的经验。

在1960年至1970年期间,大部分的医生继续主张非手术治疗方法。

1990年后,由于有很好的麻醉、抗生素、AO的内固定原则、CT和X线透视,使得外科医生ORIF治疗大部分跟骨骨折获得良好的效果。

治疗原则1.准确复位关节面2.恢复跟骨的整体几何外形和长宽高3.恢复距下关节面的平整和三个关节面之间的正常解剖关系。4.恢复G、B角和后足的负重力线

治疗方法跟骨关节内移位骨折的治疗分为三类1.非手术方法2.手术方法3.早期距下关节融合术

非手术方法(包括手法复位和撬拨复位)

非手术方法难以使其恢复正常的功能,因为跟骨畸形愈合将发生。以致跟骨关节面未获得复位、跟骨仍然缩短和增宽、距骨在 踝关节中仍然处于背屈、跟骨外侧壁引起撞击征和腓骨长短肌健卡压征.

适用于患有严重的内科疾病而禁忌手术的各种类型骨折。严重的开放性骨折、威胁生命的严重损伤。

早期距下关节融合术 有些病人有明显的关节面粉碎性骨折(IV骨折),要想获得解剖复位非常困难,甚至不可能。

 距下关节融合的指证: 

  • 1)距下关节面严重破坏的Sander‘sIV型骨折。
  • 2)难以通过手术恢复距下关节面的平整。
  • 3)术中发现距下关节面软骨严重的损伤。
  • 4)骨折时间≥1月


跟骨骨折ORIF指证

  • 1)跟骨的长度 (轴长和水平长):缩短明显 
  • 2)跟骨的宽度:增加1cm 
  • 3)跟骨的高度降低,跟距高、骰骨至底线高、舟骨至底线高和跟骨高。降低≥2cm o
  • 4)跟骨的Bohler"s角:缩小≥15°、消失或反角 
  • 5)跟骨的Gissan"s角:缩小≥90°或增大≥130° 
  • 6) 跟骨距下关节的不平整:骨折块移位≥2mm(Crosby LA,1996) 
  • 7)跟骰关节的不平整:骨折块移位或间隙≥2mm 
  • 8)伴有的跟骨周围的脱位:跟骨骨折伴有跟骰关节、距下关节或后关             节面的脱位或半脱位。
  • 9)跟骨外膨明显影响外踝下腓骨长短肌腱的活动通道。
  • 10)跟骨轴线有明显的内外翻:大部分发生的是内翻。成角≥15° 
  • 11)跟骨粗隆有明显的外翻。
  • 12)其它有关角度:距骨倾斜角:明显缩小和消失。跟距角、第一舟距角、跟骨倾斜角等有明显的变化或异常。


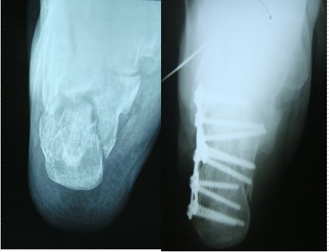
影响跟骨骨折ORIF的十大技巧

目前跟骨骨折的手术指证很宽,因为它属于关节内骨折,恢复关节面的对合关系尤为重要。

技巧一、跟骨板的形态以及螺钉1.三点固定原理,注意板的方向。

2.还要注意此处2个螺钉,指向内上方,固定载距突。3.螺钉要打满,注意要穿过跟骨内侧壁。

就是这两颗螺钉

技巧二、切口及显露

外侧切口,可以广泛显露跟骰关节

保护腓肠神经

手术刀要一刀见骨,将骨膜连同软组织以及腓骨长短肌肌腱一起向上掀起。

切开皮肤后开始用7号丝线协助牵开

技巧三、克氏针的位置剥离骨膜后,3根克氏针牵开皮肤。注意距骨前后一根,骰骨一根。这样显露充分

骨刀将跟骨外侧壁翻开,同时跟骨内翻即可清晰显露距下关节和跟骨后关节面

技巧四、如何恢复跟骨的长度以及高度这样撬拨恐怕只能恢复跟骨的高度,因为没有纵向的牵引。

我们的方法是:大巾钳位于跟骨结节上方,向下后牵引跟腱

技巧五、如何恢复跟骨的后关节面

牵引下骨刀根据距骨关节面,撬起协助恢复后关节面形态

一旦后关节面位置恢复,用2mm克氏针将较大的骨块钉在距骨上。维持复位的状态。

按照上述的1、2、3步(一牵二撬三穿)操作,即可完成跟骨高度、长度、后关节面的恢复。

Bohler“s角、Gissan”s角如果透视可显示正常。

技巧六、如何恢复跟骨的宽度对于Sander‘s分型Ⅳ型骨折,外侧壁膨出,跟骨增粗明显。这时可以用简单的暴力给予复位-----锤击

它带来的额外收益是:跟骨体部的骨质缺损间隙消失,而不必植骨。

复位的工具

在放跟骨板之前,用击锤锤击跟骨外侧壁,恢复跟骨宽度。此时应保持克氏针在维持正常的复位位置

它带来的额外收益是,跟骨体部的骨质缺损间隙消失,而不必植骨。

技巧七、如何使跟骨板贴服跟骨表面

有时板子大了,长了,可以用血管钳 伸进螺钉孔内去折弯

技巧八、是否需要植骨,以及取髂骨方法在放跟骨板之前,用击锤锤击跟骨外侧壁,恢复跟骨宽度。它带来的额外收益是,跟骨体部的骨质缺损间隙消失,而不必植骨。如果一定要植骨,可以劈开髂骨,保留内外板,只取板障内的松质骨。

技巧九、缝合及引流

接负压引流瓶

技巧十、术后处理术毕不打石膏托或者管型。3~5天练习滚酒瓶。三周拆线。

总结

采取外侧入路。丝线与克氏针协助显露。采用“一牵、二撬、三穿、四捶”的手术操作。

友情链接: