首页/骨科精读/常见的腱鞘炎诊治技巧,这篇我打满分!/
常见的腱鞘炎诊治技巧,这篇我打满分!
2022-03-10 18:49:312377浏览
常见的腱鞘炎诊治技巧,这篇我打满分!

随着各类电子产品的普及,“键盘侠”、“鼠标手”日益增多,因此腱鞘炎也越来越常见。

概述

腱鞘就是套在肌腱外面的双层套管样密闭的滑膜管,是保护肌腱的滑液鞘,它分两层包绕着肌腱,两层之间一空腔即滑液腔,内有腱鞘滑液,内层与肌腱紧密相贴,外层衬于腱纤维鞘里面,共同与骨面结合。

长期刺激,使肌腱与腱鞘发生无菌性炎性反应,局部出现渗出、水肿。久之腱鞘机化,鞘壁肥厚,管腔狭窄,肌腱在腱鞘内活动受限而引起临床症状(疼痛和功能障碍)的即为腱鞘炎。

腱鞘结构解剖图

腱鞘炎的病因

  • 摩擦
  • 慢性劳损
  • 寒冷等刺激

流行病学

1、腱鞘炎是一种常见的流行性疾病,患者发病率0.2~2.6%呈明显上升趋势的流行性疾病2、各年龄段均可发病,高峰期年龄为35~60岁。3、女性多见,男 :女 =1:2~4

临床表现

腱鞘炎的分型

桡骨茎突狭窄性腱鞘炎a、其表现特征是腕关节桡侧疼痛,并与拇指活动有密切关系。b、本病多发于40岁以上的女性,但在哺乳期妇女也有发病。 

屈指肌腱狭窄性腱鞘炎a、常发生在拇、示、中、环指。起病初期在手指屈伸时产生弹响、疼痛,故又称“扳机指”。b、患者常自述关节活动不灵活,关节肿胀,严重时关节绞锁在屈曲或伸直位,关节不能伸直或屈曲。

肌鞘炎在腕部活动增多时,腕背近侧出现红肿、发热、局部,压痛,压之可产生捻发音或踏雪音。

尺侧腕伸肌腱鞘炎 在腕部活动度过大时,因反复牵拉或扭伤,可诱发腕尺侧痛,尤其在用力时腕部酸痛无力。

腱鞘炎的诊断

1、肌腱触诊桡骨茎突狭窄性腱鞘炎 若在查体时拇指屈曲,其余四指握住拇指的状态下,使腕关节尺偏时疼痛加剧(Finkelsteins阳性),即可诊断。 

握拳尺偏试验

手指屈肌腱狭窄性腱鞘炎 在手掌远端鞘管起始部有明显压痛,大部分患者可于此处触及结节。 

尺侧腕伸肌腱鞘炎 检查时对抗腕尺偏伸直时,沿尺侧腕伸肌腱,按压可诱发腕尺侧剧痛,即可诊断。

按压尺侧腕伸肌腱    

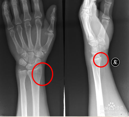
X线检查X片可见肌腱及其腱鞘有钙质沉积。也有助于本病的诊断。

桡骨茎突狭窄性腱鞘炎 X线片

治疗与护理

1、保守治疗①、家庭疗法① 用温水洗手② 适当活动,舒缓方法一:

方法二

②、局部制动疗法:早期患者可以采用外固定支具固定患肢,减少局部活动,缓解肌腱在腱鞘内的摩擦,达到治疗目的。但制动可能并不能保证患肢固定在位,且长时间制动可能导致远期活动僵硬。尽管临床上经验性采用制动辅助其他治疗方法,但治疗效果仍存在争议。

③、局部封闭疗法:作为临床治疗首选保守疗法,局部封闭疗法是指在局部疼痛处进行鞘内注射,以达到局部抗炎的目的。封闭疗法可以将药物注射于疼痛局部、骨节鞘囊、神经干等部位,在较短时间内起到消肿止痛、缓解痉挛等作用,对于局部病变起到最大的治疗作用。

该疗法主要由曲安奈德和盐酸利多卡因配合而成。也可以使用玻璃酸钠注射。但激素可能具有注射后疼痛、局部皮肤色素沉着、局部皮下组织萎缩、症状性桡神经损伤、血糖升高等并发症。

主要禁忌证为对激素过敏者、妊娠期及哺乳期患者。玻璃酸钠可能更具有安全性,且能够预防肌腱周围粘连瘢痕形成、促进肌腱愈合。

封闭疗法临床效果明显,但有临床报道因局部注射不当造成手指坏死。

图3 局部封闭致示指指尖坏死A.手部皮肤呈花斑状;B、C.示指中节以远血供差,指尖坏死

封闭疗法治疗桡骨茎突狭窄性腱鞘炎的注意事项:1)位置准确,在注射药物前一定要回抽注射器,保证注射针头未穿入血管;2)患肢适当制动,避免过早用力劳作;3)激素封闭注射后局部往往有不同程度疼痛、肿胀,甚至疼痛加重,一般2~3d消失,若出现手指疼痛、苍白,应迅速给予解痉、抗凝治疗,有条件则行血管造影明确诊断,必要时尽早行血管探查,以免延误病情;4)激素禁忌证如高血压、糖尿病、心脏病等,不宜用局部封闭治疗。

④、非甾体类抗炎药1)针对患者疼痛, 可以采用非甾体类抗炎药抗炎止痛,缓解症状,常选用口服药与外敷双氯芬酸二乙 胺乳胶剂两种方式。 

2)口服非甾体类抗炎药,如阿司匹林、塞来昔布胶囊等能有效缓解疼痛。双氯芬酸二乙胺乳胶剂具有良好的抗炎止痛效果, 而且具有良好的皮肤通透性, 因此能够从皮肤作用到腱鞘局部炎症处。 

3)非甾体类抗炎药简便可行,安全有效,但是仅用于缓解疼痛,改善症状,至于能否根治本病,仍需进一步研究证实。

⑤、针刀治疗:小针刀治疗是介于外科手术治疗和非手术治疗之间的封闭松解方式,通过对局部病灶的疏通、剥离,使粘连松解,比较有效地解除血管神经束的卡压,同时通过针刀的良性刺激使周围组织血液循环得到了改善,减少炎性渗出,达到消炎、镇痛目的。

⑥、冲击波:是一种保守、非侵入式的治疗方法,该方法的优势在于可以在体外产生能量,并在体内深处的目标区域产生疗效,同时不损伤周同组织。具有促进新陈代谢、加强血液和淋巴循环、改善组织营养,疏通闭塞的微细血管,松解关节软组织粘连的作用。但其在治疗桡骨茎突狭窄性腱鞘炎方面起步较晚,且其研究报道相对较少,仍需要大规模的随机对照研究来提供更多的循证医学证据以便促进其在治疗桡骨茎突狭窄性腱鞘炎疾病上的推广使用。

2、手术治疗

由于保守治疗的主要目的只是缓解疼痛, 改善腕部功能,并未从根本上解决腱鞘狭窄,常导致本病反复迁延。手术治疗能够从根本上解决腱鞘狭窄,并且具有迅速缓解疼痛,恢复功能,使患者早期回归工作家庭的优势。

此外, 手术疗法能准确发现解剖变异,从而提高疾病的治愈率。

1)直接开放手术:常规手术方式是直接在压痛处切开 ,暴露第1 背侧肌间隔,切开增厚的腱鞘,松解腱鞘,以肌腱 能在腱鞘内自由滑动为标准。结果证实了纵切口较横切口更优。

直接开放手术具有见效快的优点, 却具有感染等一系列手术风险, 并且由于术中直接切除背侧支 持带,可能出现肌腱脱位,还可能出现损伤桡神经及静脉的情况。

2)第1肌间隔松解术:这种手术方式不切开增厚的腱鞘, 而是清除第1伸肌间隔内发现的腱鞘囊肿或者切开拇长展肌与拇短伸肌之间的隔膜达到松解第1 背侧伸肌肌间隔的目的。

本法与直接开放手术相似,主要区别在于切开伸肌支持带后, 松解腱鞘,不再是通过切开增厚的腱鞘,而是清除腱 鞘内异常。 

本法虽然有着肌腱的半脱位这样的并发症,但是它保护了第1背侧伸肌间隔,这对于肌腱稳定性的远期疗效要高于直接切除腱鞘的方法。 

此方法的缺点主要是,由于不切除增厚的腱鞘,可能出 增厚的腱鞘远期仍会炎症水肿, 和肌腱摩擦导致本病复发。

3)经皮针松解术:本法创伤更小、瘢痕形成少,而且超声引导下效果更好,但是可能损伤肌腱。

主要适应证为不选择手术或是保守治疗无效的患者、操作要点在于准确经皮 将针导入腱鞘内,其具体疗效需要进一步临床实践。

4)关节镜下骨纤维管扩大术:关节镜下骨纤维管扩 大术能有效治疗桡骨茎突狭窄性腱鞘炎。 

关节镜治疗具有创伤小、治疗周期短、恢复快的优点,相较于开放手术,最大的优点在于不切开伸肌支持带,不会出现肌腱脱位的情况。但是目前仍然存在争议,部分学者认为关节镜手术费用昂贵且耗时较长, 而且其相对于直接开放手术的优势不够明显。因此,关节镜治疗一般不被广大医患所选用。

腱鞘炎的预防

1、日常护理①在日常家务劳动时,要注意手指、手腕的正确姿势,不要过度弯曲或后伸;提拿物品不要过重;手指、手腕用力不要过大。②连续工作时间不宜过长,工作结束后要搓搓手指、手腕,再用热水泡手。③冬天洗衣服时最好用温水,下雪后扫雪也要戴上棉手套,防止手部受寒。④对于长期伏案办公人员来说,应采用正确的工作姿势,尽量让双手平衡,手腕能触及实物,不要悬空。⑤手腕关节做360度的旋转;或将手掌用力握拳再放松,来回多做几次或将手指反压或手掌反压几下,都可以有效缓解手部的酸痛。

2、饮食调理多食新鲜水果、蔬菜。应在饮食营养中注意摄取蔬菜,如油菜、青菜、芹菜等补充植物蛋白;多食富含蛋白质及钙质的食物,以及通过摄食瘦肉、鸡肉、蛋等补充动物蛋白。

友情链接: