首页/骨科精读/高清:肘关节常见疾病的影像图谱,一文讲透!/
高清:肘关节常见疾病的影像图谱,一文讲透!
2022-04-29 15:03:142873浏览
肘关节是典型的复关节,关节囊前后薄而松弛,两侧紧张。肘关节也是人体中最易发生脱位的部位之一,年发生率约为0.006%~0.008%,其中49%可合并有骨折。

肘关节是典型的复关节,关节囊前后薄而松弛,两侧紧张。肘关节也是人体中最易发生脱位的部位之一,年发生率约为0.006%~0.008%,其中49%可合并有骨折。


影像检查与解剖基础

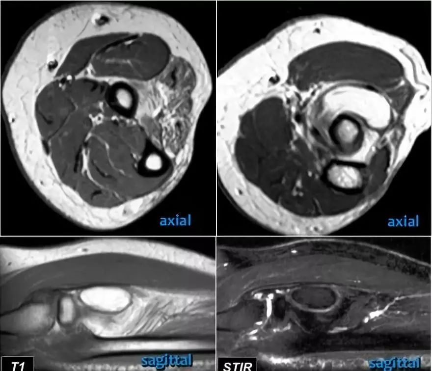
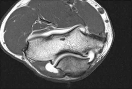
需要确保以标准化的方式正确地获得成像平面,在轴向定位器上使用肱骨髁的轴来规划冠状扫描,矢状图像垂直于冠状扫描进行扫描。

通过这种方式,获得良好的图像,这些是我们所习惯正常的解剖结构

成像序列● T1:在每个被研究的关节中,有一个T1序列,不仅要看解剖结构,还要看看骨髓。T2-fatsat图像将显示骨髓异常,但T1可以帮助告诉我们实际发生了什么。T1还用于MR关节造影术。

● T2-fatsat:T2将向我们展示大部分病理,无论是在骨髓,韧带还是肌肉中,因为含水量高。它也可以用于软骨成像。

● 梯度回波:通过梯度回波,我们可以使用3-D薄层对软骨和韧带进行成像。

● 在MR协议中,我们在所有三个成像平面中进行T1和T2-fatsat。有时使用STIR。

MR-关节造影的适应症● 投掷者的UCL病理● 骨软骨病变和修复● 游离体

当你研究肘部的解剖结构时,最好使用由内而外的方法。首先研究骨骼,然后继续韧带和肌腱,然后是周围的结构。

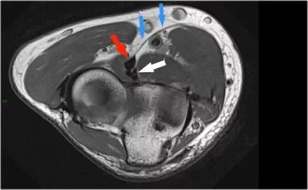
● 肌腱附件● 常见的屈肌腱● 附着在内侧上髁● 尺侧副韧带或UCL● 从内侧上髁的下表面开始,向下延伸到崇高的结节,这是冠突的内侧。● 常见的伸肌腱● 起源于外上髁● 侧副韧带● 起源于普通伸肌腱附件的下方。● 横向尺侧副韧带● 这对于肌腱也是一个有点令人困惑的术语,肌腱也起源于常见的伸肌腱。它在桡骨头后面向下摆动并附着在称为旋后肌嵴的尺骨区域 - 见侧位片。● 二头肌腱● 附着在桡骨结节上。● 肱肌腱● 附在冠突上。● 环状韧带● 附着在尺骨的S形切口的掌侧,并围绕桡骨头延伸并附着在S形切口的背侧。

易混淆的影像

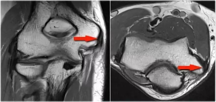
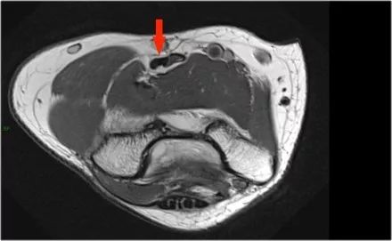
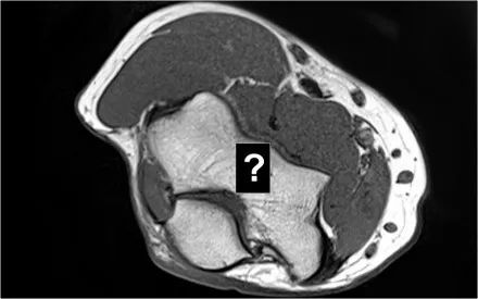
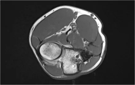
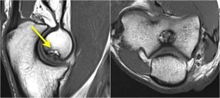
1.假的小凸起这是我们经常在冠状图像上看到。它看起来像是一个骨软骨病变,但是如果看一下矢状位图像,就会发现冠状图像穿过了髁骨的后关节部分,因此,当肘完全延伸,桡骨小头的一部分实际上是肱骨小头的后面。

在冠状视图上,我们将看到被软骨覆盖的桡骨头,并且与髁骨头的非软骨覆盖部分相对,其通常有些不规则。

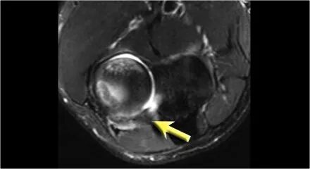
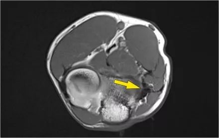
2.假游离体另一个常见的发现是你在矢状图上看到的一小块脂肪,看起来像一个小游离体或软骨缺失。如果我们观察鹰嘴的关节面,可以解释这一点。鹰嘴通常有两片软骨,中间有一小块软骨,里面充满了脂肪。

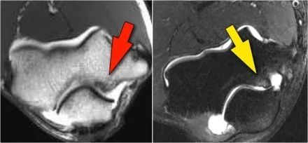
3.滑膜皱襞(plica)有时可以看到关节外侧的这种结构并且是一个皱褶。它可以是突出的,几乎看起来像半月板。这是一种正常的结构,但有时它会变厚或不规则,可能是症状的原因。

投掷动作引起的关节病

肘部作为铰链点,我们可以看到humeroulnar和radiocapitellar联合。另一个关节是近端桡尺关节,旋转允许内旋和旋后。

投掷动作导致许多急性和慢性伤害。投掷动作期间起始阶段,巨大的加速度,产生很大的外翻力量拉动肘部。

过度外翻导致内侧的巨大张力试图拉开关节(黄色箭头),而侧面将处于压缩状态(蓝色箭头)。在后侧,它会引起沿鹰嘴头部的剪切力(黑色箭头)。

外翻过度综合症● 所有这些力量构成了所谓的“外翻过载综合症”,随着时间的推移肘部受到非常特征性的伤害。● 内侧的张力导致尺侧副韧带撕裂。● 侧面的压缩导致头状骨的骨软骨损伤。● 后侧的剪切力引起关节病。

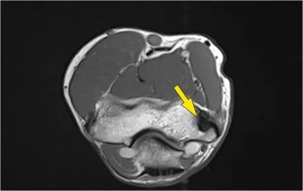
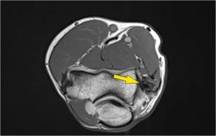
外翻过度综合征的关节病由于外翻过载,在肱骨-尺骨关节的后内侧部分存在剪切力。注意在T1W图像上看到的软骨下硬化(红色箭头)。在T2W图像上存在软骨下骨髓水肿和软骨损失(黄色箭头)。

下图是20岁棒球投手的图像。

冠状图像上有一个美丽的UCL前束,但注意到关节内侧部分有骨赘形成(红色箭头)。当我们按照顺序向下看,可以看到存在一小部分低信号强度(黄色箭头),这是UCL的一部分撕裂。

这是在X线片可以更好地观察(黄箭头 )。

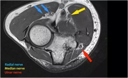
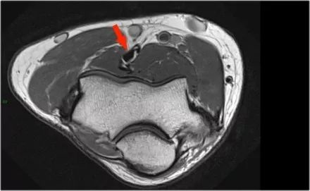
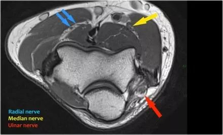
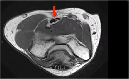
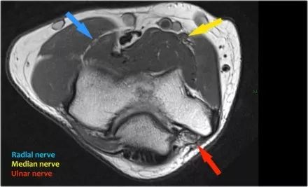
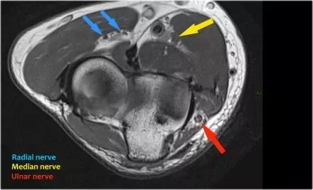
当我们看轴向扫描时,我们可以欣赏巨大的骨赘形成。请注意,尺骨神经(蓝色箭头)紧邻这些骨赘,这些可能指示尺神经出现病变。

肘关节不稳定

● 肘关节有不同的不稳定阶段,最后阶段是脱位。● 在第1阶段,尺骨半脱位并且侧尺侧副韧带撕裂。● 在第2阶段,有更多的损伤,其中冠状突出于滑车,并且有更多的韧带损伤。● 在第3阶段,冠状突最终在肱骨后面以真正的脱位结束,可能撕裂尺侧副韧带,导致一个非常不稳定的浮动 - 肘部。

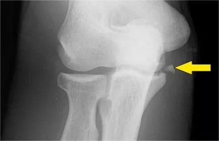
肘关节脱位这是一个患者肘部的侧位片。X光片显示关节积液(红色箭头)和冠状突骨折(黄色箭头)。

下面是MR● 冠状图片:侧副韧带完全剥离(黄色箭头)。桡骨头是半脱位的。由于骨折引起的冠突骨髓水肿(红色箭头)。● 矢状面观:桡骨头稍后有点半脱位(黄色箭头)。大量积液和囊后破裂。● 由于冠状突的撞击(红色箭头)导致的头颅后侧的挫伤。所有这些迹象都是后脱位的结果。

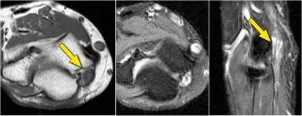
下面是一名23岁的男性,两周前在滑板时摔到在伸出的手上。在体格检查中,肘部的运动范围减小,并且沿侧面方向有压痛。

矢状面:在肘关节后脱位伴有桡骨头前侧(红色箭头)和髁骨后侧挫伤的骨髓水肿的特征。桡骨小头撞击了小头的后部。

桡骨头后面的结构是环形韧带。由于后脱位,它变得不规则和增厚的。

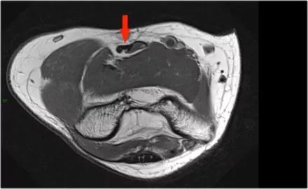
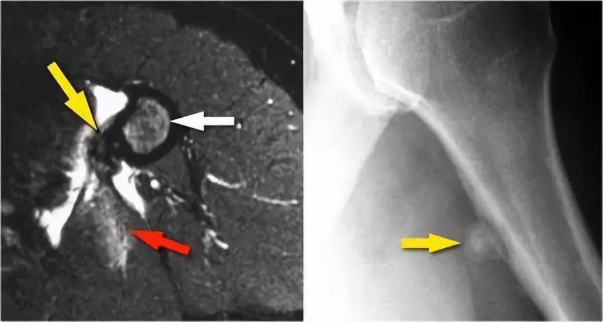
肱骨小头OC病变

慢性过度外翻可导致肘外侧的骨软骨病变。这是重复冲击和剪切力的结果。

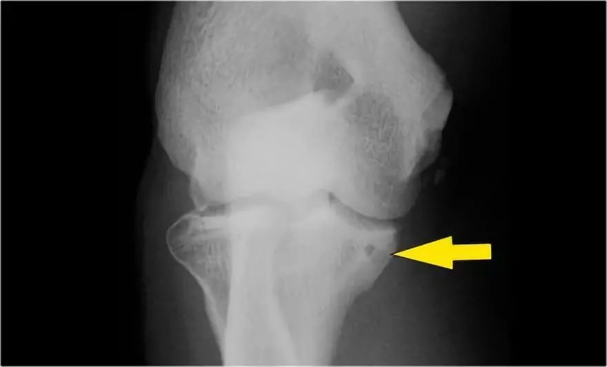
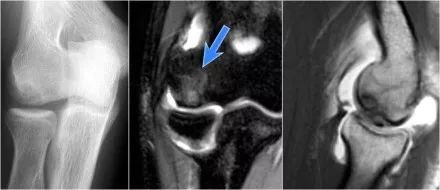
下面的射线照片是一名15岁的棒球运动员,有4年的肘部疼痛史以及最近一次锁定。肱骨小头有一个局部透明度区和一些破碎,这是典型的小头骨软骨病变,

这对于头状骨的是典型的,锁定可能是游离体的结果。

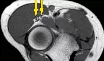
MR-关节造影证实了骨软骨病变。在肱骨和骨软骨病变之间存在钆造影剂,这表明它是不稳定的。注意轴向图像上看到的碎片。

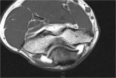
肱骨小头的的骨软骨病变常见于投掷和体操运动员(11-15岁),由于负重,他们会出现很多手腕和肘部问题。下面是一个20岁的体操运动员的另一个案例。

同样,射线照片也有透明度区。MR-关节造影显示冠状视图上的一些骨髓水肿。矢状T1W图像显示软骨下骨异常,但片段不多。有一些软骨变薄,但不是缺陷。这显然是一个稳定的片段,没有游离体。

下面这些图像是一名年轻的棒球运动员,在14岁时出现肘部疼痛。T2W-fatsat图像显示骨髓水肿,并且可能存在软骨下骨折。

然而他要继续投掷,因为他三年后在17岁时才来就诊。T1W图像显示碎片(黄色箭头),游离体(红色箭头)。T2W图像表明片段不稳定,因为片段和肱骨之间存在高信号。

在关节镜检查中,肱骨小头骨软骨有凹陷和不规则。

取出的游离体。

然后执行OATS程序。OATS代表骨软骨自体移植,从一些其他非承重骨中取出软骨和骨头,并转移到肱骨小头。在该患者中,软骨取自膝盖的非承重部分。

然后在肱骨小头孔钻和用自体骨和软骨填充缺陷。,在这里,在肱骨小头的孔填充有四块骨头和软骨。肱骨小头的对侧是桡骨头。

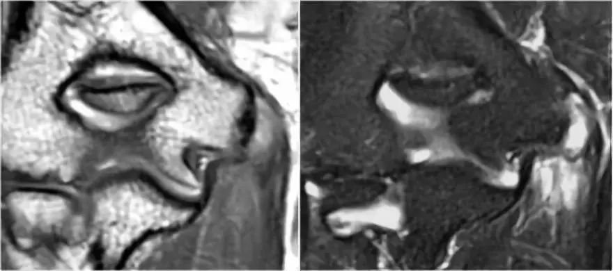
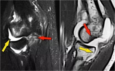
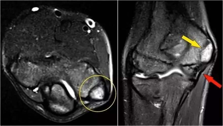
滑车的OC病变

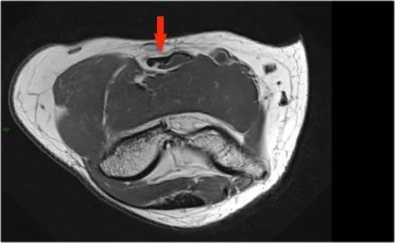
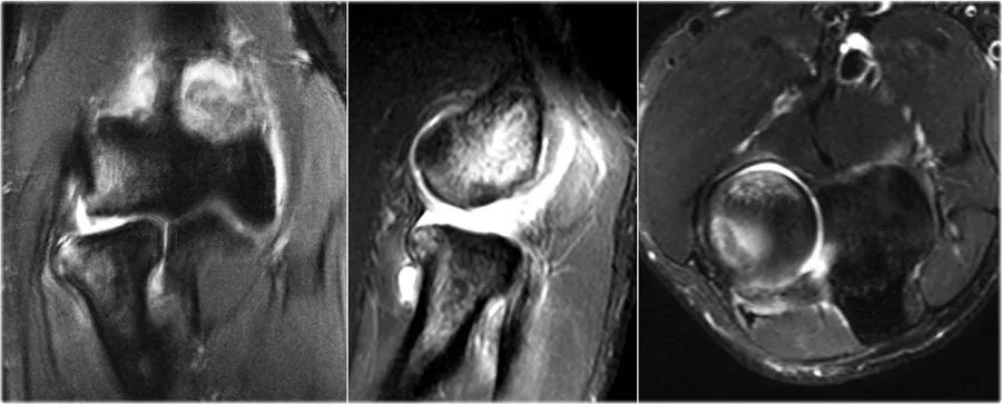
下面这些图像是患有肘前疼痛的患者,最近没有受伤。临床诊断为肱二头肌腱炎或二头肌滑囊炎。冠状MR图像的发现非常罕见。

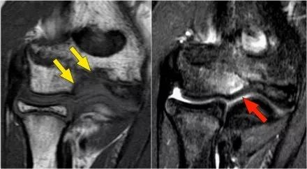
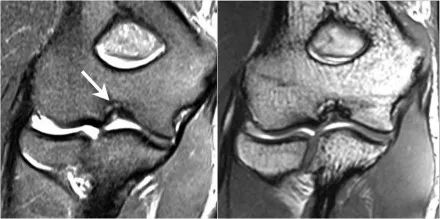
因此,这被称为滑车的骨软骨病变。注意小的囊性变化(白色箭头)。还有一个小的软骨缺陷。

滑车的骨软骨病变通常见于年龄较小的患者,骨骼未成熟。在这种情况下,在侧滑车中可以看到由于在血液供应不足的区域中重复过度伸展。它也可见于内侧滑车,由于松弛和后内侧平台。

下面是一个不同的病人。请注意,这是一个年轻的病人,因为骨骺仍然开放。

外侧滑车(黄色箭头)有一个大的骨软骨病变。注意软骨下骨的水肿(红色箭头)。软骨仍然完好无损。

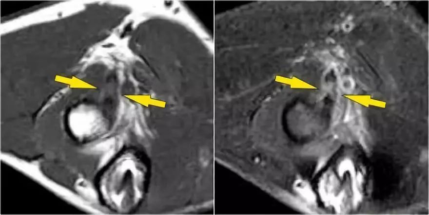
尺侧副韧带

● 尺侧副韧带(UCL)位于内侧,它有三个组成部分。● 前束是最强的组成部分,是抵抗外翻力的主要限制因素。● 在MR上,这是最重要的结构。● 后束在鹰嘴上以扇形远端附着。它形成了肘管的后部。● 横向束从鹰嘴延伸到鹰嘴,所以它没有太多作用。

UCL(黄色)起源于共同屈肌腱原点正下方的内侧上髁下表面。它附着在冠状突内侧的一个小进程,称为高耸结节(sublime tubercle)。

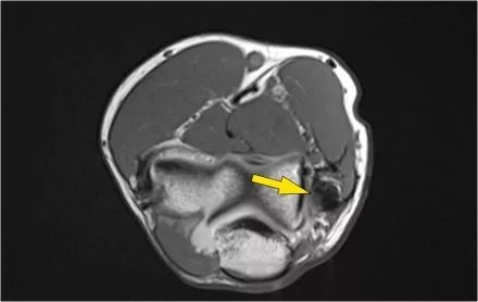
在研究韧带时,尤其是UCL,始终使用轴向图像。如果你看内侧上髁,你会发现后束是一个薄的结构(蓝色箭头)。注意在肘管内的尺神经。

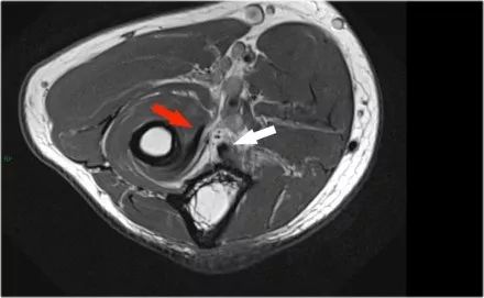
后束形成肘管隧道的地板。支持带覆盖肘管。请注意,前束更厚(白色箭头)。您可以看到前韧带和后韧带之间的区别,即使它们形成一条韧带。走向远端,我们会看到它们合并在一起以附着于崇高的结节。

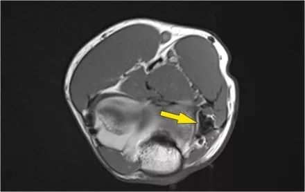
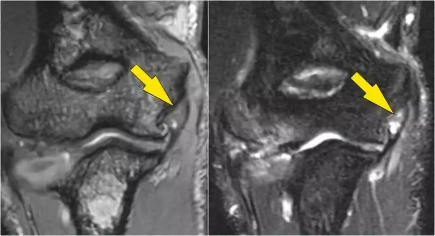
下面的图我们看到UCL的两个连续冠状图像。在近端部分(箭头)看到一些高信号是正常的。注意它是如何牢固地附着在崇高的结节上并将其与下一个图像进行比较。

请记住,UCL应该非常紧密地附着在崇高的结节上。在下面这种情况下它没有,所以即使在这两个图像上你也可以看出它有完全的撕裂。请注意,崇高结节中存在一些骨髓水肿。

UCL受伤的机制通常是慢性拉力,从而产生微型动力学。这可以在投手和其他投掷运动员中看到。撕裂也可以发生在伸出的手下降动作。最常见的是有完全撕裂,但有时会出现部分撕裂,很难看到。这就是为什么在这些运动员通常执行MR-关节造影。

下面是一名18岁的棒球投手,内侧肘部疼痛。看到局部撕裂产生'T标志'。

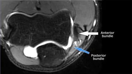
下面的图像,请注意,前束是完整的,并牢固地附着在崇高的结节上(黄色箭头)。在接下来的两张图像上,有一些软组织水肿,后面有更多异常信号(红色箭头)。所以我们怀疑后束的病理学。现在你记得轴向图像可能会有所帮助。

在下面轴向图像上,我们很好地看到前束是o.k. (红色箭头)。它旁边只有一些水肿。

然而,后束不是o.k,有一部分撕裂。这种情况我们偶尔会在投掷运动员中看到,前束完整,肘部不稳定。他们以某种方式撕裂了他们的后束,导致疼痛。他们不需要手术,但它仍然可能让他们在游戏中停留很长一段时间。

下面是一名38岁的男性,已经举重运动员20年。他抱怨间歇性肘部疼痛和砰砰声。请注意,UCL是异常的,一些信号非常高的区域表示部分撕裂。在外侧有软骨和软骨下水肿。这是由于慢性部分撕裂导致的慢性不稳定继发的关节炎。

通过将隧道放置在内侧上髁中来完成UCL修复。它们对耸高的结节进行了操作,并在它们之间放置了移植物。

这张射线照片是一名26岁的职业棒球运动员,他曾进行过UCL重建。注意隧道(箭头)。这种操作通常很有效。

MR图像,您可以看到内侧上髁的隧道。

在尽管高低不平的冠状图像几乎看起来像一个正常的UCL。

下面的图像,我们看到修复后患者表现不佳的图像-骨的碎裂和移植物的破坏。在CT扫描中,更好地理解通过隧道存在裂缝。

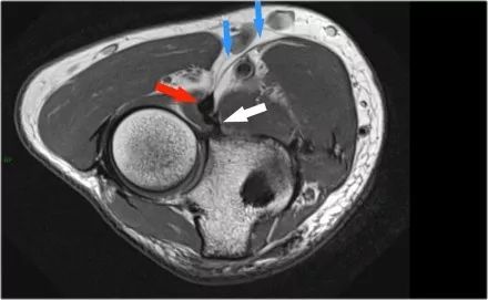
外侧副韧带

这里是外侧副韧带复合体的图示。它由桡侧副,侧尺侧副和环状韧带组成。

当您寻找桡侧副韧带时,首先要尝试识别常见的伸肌腱,因为在它下面你会发现桡侧副韧带(黄色箭头)。

当你向后走时,你会看到LUCL--侧面尺侧副韧带,它在桡骨头后面扫过(白色箭头)。环形韧带通常难以与RCL区分开,但有时可以在矢状MR-关节造影上识别。

我们可以从连续的冠状位MRI图像观察。

常见的伸肌腱起源于外上髁。在T1W图像上,肌腱应具有低信号强度(黄色箭头)。

1.外上髁炎外上髁炎也称为网球肘,但在95%的病例中,非网球运动员可以看到。这是由于常见伸肌腱的慢性应激,导致部分撕裂和肌腱变性。通常,桡侧腕伸肌是所涉及的组成部分。在更严重的情况下,LCL会撕裂,这对保守治疗的反应很差。

下面是一个典型案例。T1和T2W图像上都有增厚和异常的内在信号。

常见的屈肌腱:共同的屈肌腱起源于内侧上髁。在T1W图像上,肌腱应具有低信号强度(红色箭头)。

2.内侧上髁炎下面这是外上髁炎的对应物,也被称为高尔夫球手的肘部。这里涉及共同的屈肌腱。在矢状图像上,很明显它只是部分撕裂,这可能非常痛苦。

下面是有冠状T1W和T2W图像。有部分撕裂,它非常广泛。

小联盟球员的手肘(Little Leaguer’s Elbow):患臂内上髁骨质减少。

在这些情况下,我们通常会要图像求比,因为它可能非常细微。诊断是Little leaguer的肘部是由慢性压力损伤引起的。在X射线照片,它看起来像一加宽的骨骺线,是由于在干骺端软骨向内生长。

● 在MR上,异常非常明显。内侧上髁和相邻骨中存在骨髓水肿(黄色箭头)。● Little Leaguer的肘部也被称为内侧性上睑下垂,有些人称之为骨骺溶解。● 顺便说一下,如果是急性创伤事件,这也可以称为Salter-Harris I型骨折。● 注意正常的尺侧副韧带(红色箭头)。在儿童中,外翻应力的薄弱环节不是尺侧副韧带,而是骨骺。

下面是另一种情况。这个病人年龄偏大。左上髁已经融合,但在右边,古河仍然有点开放。

在MR上有骨髓水肿。请注意,尺侧副韧带附着也有一些水肿,所以也有一些UCL的撕裂。

下面是另外一个患者的不同图像。

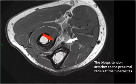
二头肌腱:从肌腱连接处到径向结节上的附着物。

远端肱二头肌肌腱的病理学很像跟腱的病理学。可以有退变,部分撕裂和完全撕裂带或不回缩。以下是73岁男性的超声图像,他们在举起一个盒子时经历了突然的疼痛和撕裂的感觉。在肘关节前方有前旋和旋后疼痛,前方有压痛。

没有瘀斑或可触及的肿块。在矢状图像上,肌腱变厚,但远端肌腱丢失。

在矢状图像上,看起来肌腱完全是刺,但继续下一个图像。

● 远端肱二头肌肌腱撕裂:有完全撕裂,因为如果我们一直跟随肌腱进入桡骨结节,我们可以看到肌腱不附着在那里(绿色箭头)。只有流体。● 肌腱不缩回的原因是因为广泛的萎缩性肌腱 - 也被称为lacertus fibrosus - 仍然完好无损(红色箭头)。● 远端肱二头肌肌腱不仅插入到桡骨结节,而且还通过褶皱纤维进入前臂内侧屈肌旋前肌块的筋膜。

当腱膜也thorn时,肌腱缩回,并且由于收缩的二头肌造成手臂明显肿胀。远端二头肌肌腱撕裂是一种罕见的损伤。大约有5%的肱二头肌受伤。这是肘部弯曲时手臂突然伸展的结果。近端肱二头肌腱撕裂更常见。通常是二头肌的长头完全撕裂。

下面这是另一个例子。在T1W图像上有一些增厚和一些中间信号。这可能是肌腱变性,但总是看T2W图像寻找撕裂。在这种情况下,有部分撕裂。

下面是另一种情况。在矢状图像上,我们不确定可能的撕裂。也许只有一些肌腱炎或肌腱炎。轴向图像显示部分撕裂(红色箭头)。

始终确保你的轴向扫描一直到结节,因为你太早停止,就像在这种情况下,你只会看到增厚的肌腱和一些液体,但你不确定可能的撕裂。

下面是一个简单的案例,因为肌腱缩回,最好在矢状图像上看到。因此,纤维束也必定被撕裂。

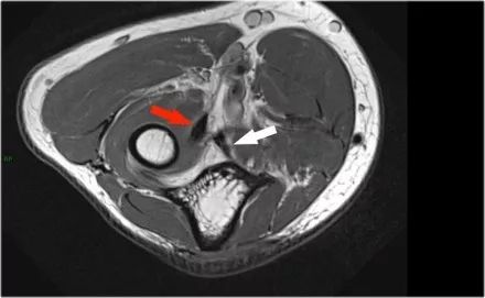
3.桡骨肱二头肌的滑囊炎桡骨肱二头肌的滑囊炎Radiobicipital bursitis

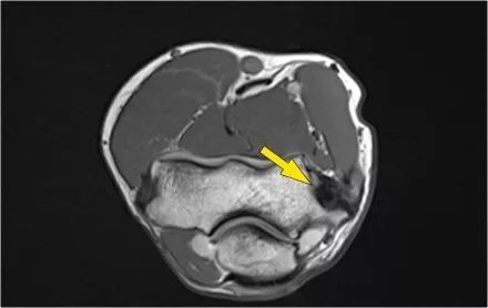
以下是患者的矢状和轴向图像,该患者被转诊给整形外科肿瘤外科医生,用于肘部附近的肿块。肱二头肌肌腱有部分撕裂(箭头),该结构是桡骨肱二头肌的囊,所以这是一个滑囊炎。

请记住,肱二头肌肌腱没有腱鞘,因此腱鞘炎是不可能的。

法氏囊内低强度结构的鉴别诊断是:滑膜软骨瘤病,PVNS和米粒体。在任何滑膜衬里的关节或滑囊中,这些米粒体可以由于滑膜肥大的慢性炎症而形成。

绒毛会长大,血液供应变得坏死,落入关节或囊中。它们被称为米体,因为当你打开关节时,它们看起来就像米饭。

下面是另一种情况。左侧图像中的白色箭头指向滑囊。请注意,二头肌是完整的。骨间囊(红色箭头)。有时这些肿块会模仿肿瘤,或者当它们变得非常大时会对桡神经产生冲击。

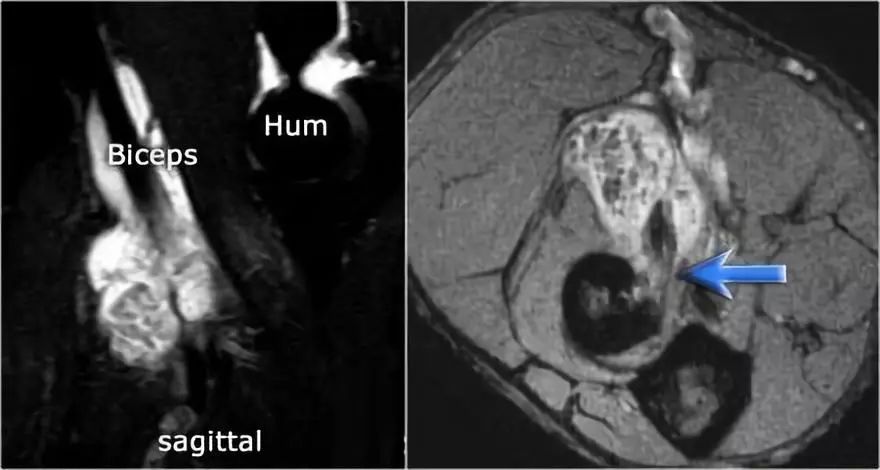
肱肌腱:肱肌起源于肱骨前部的下半部分,靠近三角肌的插入。它比二头肌更深,是一种协助二头肌弯曲肘部的增效剂。厚韧带插入尺骨冠突的前表面。

在矢状面上,比较肱肌腱(黄色箭头)和二头肌腱(红色箭头)时,注意肱肌几乎都是肌肉。它只有一个非常短的肌腱远端。

慢性撕脱伤

这张照片是一名68岁的女性,大约10年前她的手臂受伤,现在该手臂疼痛加剧。

X光片:尺骨的皮质是不规则的,并且在68岁的女性中存在潜在的骨异常的问题,例如骨肿瘤。

MRI:肱二头肌肌腱用红色箭头表示,表现出肌腱变性和部分撕裂。

然而,当我们观察在冠突上插入肱肌腱时,在脂肪抑制的T2W图像上看到有大量骨髓水肿的肌腱撕裂。事实上,这是一种慢性类型的撕脱伤,部分撕裂肌腱。骨反应可以模仿侵袭性骨病变。

下面另一种慢性撕脱伤,被送到肿瘤外科医生,因为担心可能的近端皮质骨肉瘤。但是MR透露了以下内容:● 病变位于背阔肌肌腱插入肱骨(黄色箭头)。● 骨髓有一点点高信号,但看起来不那么异常。● 肌肉也受伤(红色箭头)。● 慢性撕脱伤在青少年中很常见,但在老年患者中也可见。● 问题是他们可能模仿感染或肿瘤。

MRI序列图

10 神经病变

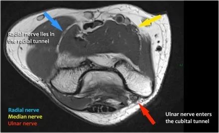
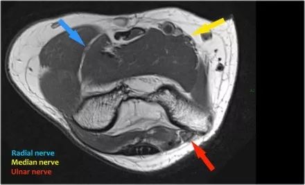
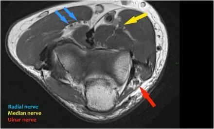
尺神经:在这里,我们看到了肘管内的尺神经。尺骨侧支带的后带形成隧道的底部,而支持带形成屋顶。

该患者有尺神经神经病变。肘管综合征是一种常见的周围神经病变。它产生于肘管内尺神经,其中该神经传递肘管支持带的下方的压缩。

肘管综合征的可能原因● 过度使用● 由于纤维组织中的先天性松弛,尺神经半脱位● 肱骨骨折伴游离体或愈伤组织形成● 由上髁或鹰嘴引起的关节炎● 存在肌肉异常● 软组织肿块:神经节,脂肪瘤,骨软骨瘤,继发于类风湿性关节炎的滑膜炎,感染(例如结核病)和出血。

当他们将尺神经带出隧道时,他们把它放在哪里,它可以是皮下,肌肉下或肌肉内。

因此,当我们回到图像时,您会发现很难找到神经。任何这些皮下结构都可以是转位神经。一种方法是远端跟随结构,直到你发现远端的尺神经位于由脂肪包围的前臂近端的正常位置。然后当你向近端跟随它时,你会发现这是皮下移位。

在这种情况下,有神经炎。神经增大。在T2W图像上有高信号。另一个标志是在矢状图像(箭头)上看到的束的不均匀扩大。

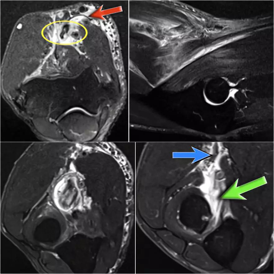
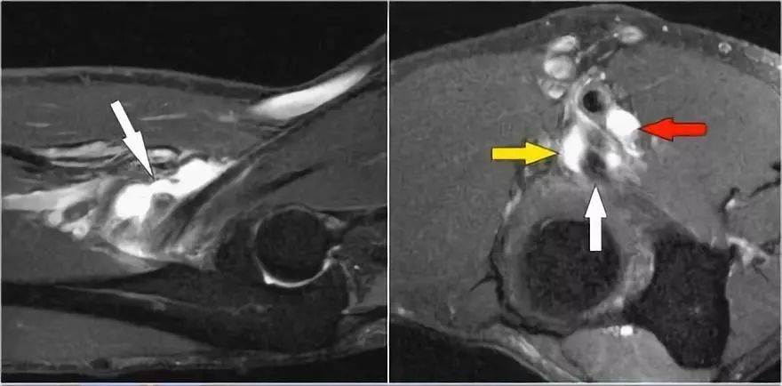
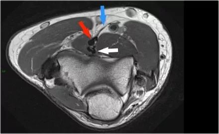
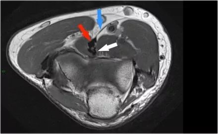
桡神经:在桡骨头水平可以最好地识别桡神经,在那里你可以看到桡骨隧道中的浅表和深支(箭头)。这是寻找桡神经的非常一致的地方。

深分支形成后骨间神经,穿过Frohse拱门(箭头)的旋后肌。

在下图可以看到,在左上方T1W图像中,伸肌中存在高信号脂肪,肌肉体积减少,这表明脂肪萎缩。右上方的轴向图像显示了旋后肌中更近端的质量。

矢状图像证实这是脂肪瘤。因此萎缩是骨间后神经受压的结果,骨间后神经是桡神经的一个分支。

中位神经:正中神经落后于Lacertus纤维,即肱二头肌的腱膜并穿透旋前肌。

失神经支配:当神经炎或神经受压时,神经病理可表现为神经增厚。神经病理学的次要征象是肌肉水肿和/或萎缩的去神经支配。在这种情况下,T1上有高信号的慢性萎缩,这是不可逆转的。在早期或亚急性去神经支配中,突出的征兆是在T2W图像上具有高信号的水肿并且是可逆的。

下面是一名患有马凡氏综合征的48岁男性,右手无力突然发作。这是亚急性去神经支配的一个很好的例子。关于T1W图像的注意事项,没有萎缩。只有T2W图像上的水肿。这是由于近端桡神经病变所致。

11 软组织肿块

在肘部周围可以发生各种软组织肿块,这在其他地方也可见。

如果您无法做出具体的诊断,只需将肿块称为不定性进行活组织检查,因为在很多情况下您无法确定诊断。

下面图像显示一个椭圆形病变,看起来像一个神经鞘瘤,因为它是长形生长,看起来好像它跟着神经,但它一个11岁男孩的滑膜肉瘤。只有在确定特异性诊断如滑囊炎,AVM,脂肪瘤,PVNS或囊肿或血肿时才进行诊断。

下面是一名37岁的男性,在急诊科就诊时出现疼痛,肿胀和左肘肿块,过去3周内一直在增加。在MR上,在内侧上髁上方看到肿块。信号非常不均匀,增强也是如此。根据MR结果,您仍然需要称这种肿块性质待定。

最终的诊断是基于高巴尔通体的猫抓病(cat scratch disease based>

下面里一个26岁的女性,在滑车上区域的肿块的图像。它看起来非常均匀的囊肿。

增强扫描后,注意到矢状超声图像上MRI的不均匀增强和突出的内部血管分布。

所以这不是一个囊性肿块。再次被诊断为不确定包块。活组织检查的最终诊断是淋巴瘤。

下面是一个神经鞘瘤图像,看起来像滑膜肉瘤。

友情链接: