首页/骨科精读/骨科医生的Kiss技术:这七步法别怪我没告诉你!/
骨科医生的Kiss技术:这七步法别怪我没告诉你!
2022-05-23 11:45:411381浏览
骨科医生的Kiss技术:这七步法别怪我没告诉你!

你们的520都kiss了吗?



别人的kiss和你的kiss




今天带你们围观一下kiss技术,谁还不会kiss咋地。。。

噢,是 髓内钉KISS技术💕


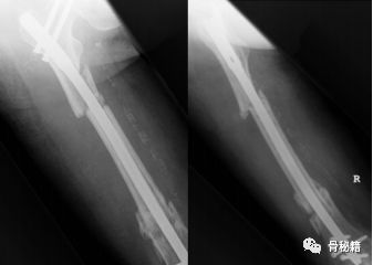
当出现髓内钉假体周围骨折的时候,取出钉子、更换钉子就成了一个难题!

这样的严重骨质疏松患者髓内钉周围骨折来了,你会怎么处理呢?

一、首先要取钉子,但是有几个要求1.微创不切开取2.取出后不要移位重新复位

二,用最简单、快捷、安全的方法换钉子,换长钉、粗钉。

今天介绍的方法被称为Kiss 亲吻技术

患者采用平卧位、屈膝牵引床

Kiss技术示意图💕

第一步:牵引床的基本复位,经过牵引床上基本的牵引复位后,恢复了股骨的力线和旋转

第二步:先取出所有的锁定,仅留存一个来控制钉子的旋转

第三步:置入一个长的导针在髓腔中

第四步:取出最后一个螺钉,并且先往近端植入一点,这样可以更好的恢复复位情况

第五步:近端植入髓内钉,让两个髓内钉Kiss

第六步:从近端向远端逐渐的移动髓内钉,边kiss边从远端退出

第七步:完全完成原钉子的退出和新钉子的植入,最后完成相关的锁定

该方法的优势💕1、简单、快速、安全的复位方法2、微创,不用切开取钉子3、进钉点出钉点通过一条导针链接,术中省去了大量透视来进行复位和固定


今日的七步kiss法你们get了吗?💕

友情链接: