首页/骨科精读/双氧水你真的用对了吗?看完这篇文章再下结论!/
双氧水你真的用对了吗?看完这篇文章再下结论!
2022-05-31 17:09:254006浏览
10年前国内教科书清创用双氧水,近年教科书对此作了修改,清创一律要用生理盐水,1、2、3度开放骨折分别用3、6、9升生理盐水冲洗。 为什么?双氧水有什么作用?什么时候可以用?

10年前国内教科书清创用双氧水,近年教科书对此作了修改,清创一律要用生理盐水,1、2、3度开放骨折分别用3、6、9升生理盐水冲洗。

为什么?双氧水有什么作用?什么时候可以用?

我回答一下这个问题:双氧水具有强氧化作用,氧化过程中的产热可达到80度,可以使蛋白质变性,在把细菌等微生物杀死的同时还会造成机体组织的坏死。鉴于此对于严重污染的大创面及开放骨折伤口,正确的处理方法是用生理盐水反复冲洗,降低细菌的滴度,敞开伤口充分引流,让细菌和炎性渗出液排除体外,同时最大限度的保护软组织。不要试图用双氧水灭菌,双氧水灭菌的同时所造成的组织坏死会给患者的伤口愈合及后续处理造成很大的麻烦。

双氧水冲洗伤口所造成的困惑在于有些手术中可以使用,比如断指再植手术,清创后用双氧水灭菌,而后去除过度氧化的组织,得到无菌伤口,重建修复,然后伤口一期闭合。其它情况下使用要慎重。

还有一些情况下术中使用双氧水,所利用的效应主要是止血而非抗菌消炎,主要用于大创面,比如髋关节返修手术和大创面肉芽清理后的止血、植皮。机理是使小血管在强氧化烧灼下,蛋白变性自动止血,相当于上万个电刀作用。

这是网友做的跟骨伤口裂开后用双氧水换药的情况,皮缘坏死继发感染。

你为什么在清创时用双氧水?

  1. 一直这样用没有考虑为什么
  2. 看老大夫这样用
  3. 传统习惯
  4. 杀菌
  5. 杀厌氧菌
  6. 感觉不用点啥心里不踏实
  7. 双氧水的作用杀菌,对宿主的作用不清楚,这是多数大夫的答案。

8.有些伤口用了也愈合了。9.不知道为啥不能用所以说改变一个医院、或一个科室的习惯是很难的事情,当你想改变时大家都反对。这就是习惯势力。本课件的意义在于改变这种习惯。

病例

患者,男,56岁,脑外伤及下肢开放伤,急诊手术未使用双氧水,生理盐水冲洗伤口,外固定架固定,伤口游离植皮闭合。骨折及伤口获良好愈合





化繁为简固定法

选择进针点,避开重要结构。

Tips

  • 按照多段骨折化繁为简固定方式复位固定近端骨折实现闭合处理。
  • 创面新鲜后植游离皮
  • 尽快下地走路,生理应力促进骨愈合
  • 近端3个月愈合,远端用8个月
  • 而后去除外固定架
  • 如果使用双氧水会造成骨膜破坏,骨坏死外露,而后骨缺损,需要皮瓣植骨或骨搬运。

网友病例


这是一个网友的病例。首先感谢分享。

初次清创应该是用了止血带和双氧水,骨膜去除干净,白骨外露。外固定架固定骨折后一期闭合伤口。手术皮肤坏死,后期做了游离皮瓣。皮瓣感染坏死。


术中处理不当需要纠正的几点:

  1. 清创不要用止血带,不要用双氧水。
  2. 严重外伤皮肤张力大,没有把握不要一期闭合伤口,有潜在张力也不要闭合。
  3. 感染未得到控制,或有潜在感染的可能不要做重建手术。
  4. 尽量不要跨关节固定。
  5. 感染伤口和不可避免的感染不能做重建手术——这是外科的定义。特殊情况可以突破定义但是要有确实可行的措施。

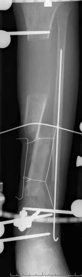
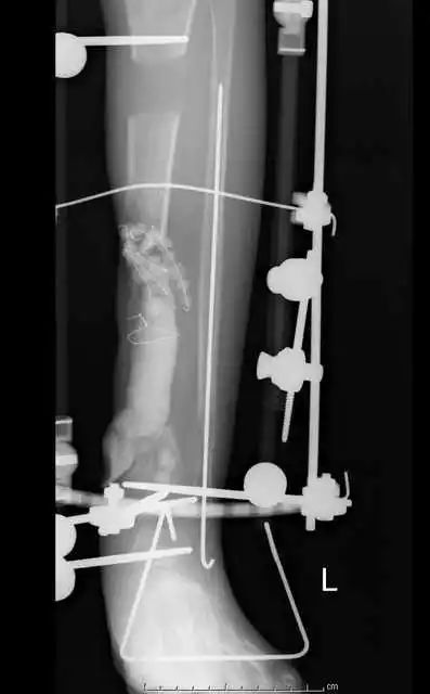
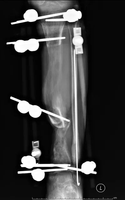
下面1例是我的学生所发。病史清楚,跗骨骨折后伤口开放,每次换药用双氧水冲洗伤口,造成骨坏死

跗骨感染

该例患者需要汲取的经验和教训:不要使用双氧水冲洗伤口死骨密度高是因为不参与代谢周围骨疏松治疗清理死骨后用骨水泥诱发诱导模反复几次做半开放植骨手术后走路刺激骨愈合,改善骨质愈合。

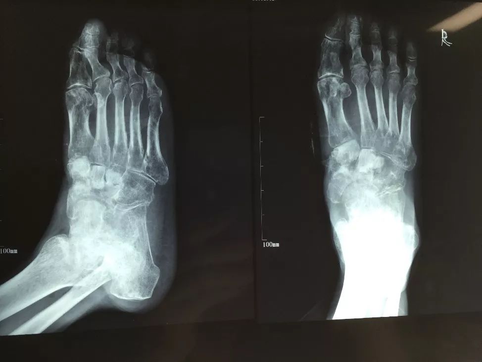
其他应用双氧水病例

(网友提供)

经验与教训:胫骨干骺端骨折皮下传钢板,力线有些差,内翻,但可以接受。伤口感染,如果简单换药引流也无大碍。结果用双氧水冲洗后造成肌肉坏死,胫前肌腱坏死,骨坏死外露,处理困难。最后结果还希望原作者上传,大家共同接受教训。

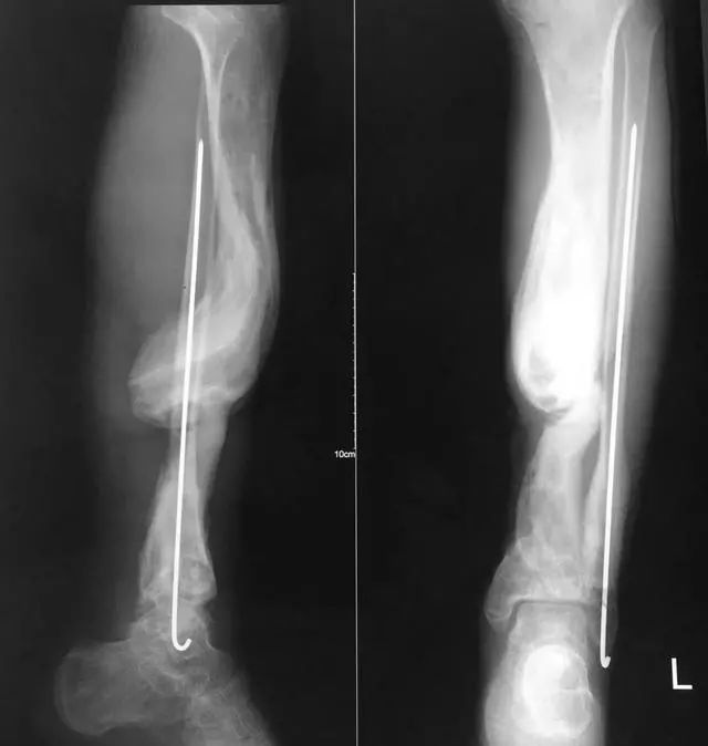
最后一个病例

(网友提供)最后的病例是伤后40天由外地转来。开放骨折外固定架固定,骨坏死外露,用连珠和双氧水冲洗。入院时还存在足下垂,腓神经损伤、胫后动脉损伤。

Tips

  • 接收该患者后第一次手术  清除病灶去除死骨27cm
  • 抗生素骨水泥填塞。远端整块水泥包裹外露骨质,近端连珠以便骨搬移
  • 钢丝克氏针张力牵拉皮肤,缩小创面
  • 5天后下地部分负重走路
  • 联合骨牵引纠正足下垂,5天后足下垂纠正后去除跟骨骨牵引针,保留胫跖骨牵引维持足于功能位。
  • 而后行骨搬移、半开放植骨(如下)




TIPS

  • 第一次的骨水泥于80天后去除,行半开放植骨(植骨表面覆盖抗生素骨水泥)
  • 因为有皮肤缺损,用骨水泥做成瓦片闭合伤口=半开放植骨
  • 自体优质松质骨(如图)
  • 皮肤采用了钢丝牵张闭合
  • 骨搬移+半开放植骨=治疗缺损
  • 植骨后一个月去除瓦片骨水泥,创面新鲜
  • 钢丝克氏针张力闭合伤口加游离植皮
  • 继续骨搬移
  • 修整
  • 入院6个月腓总神经恢复,胫前动脉再通
  • 总的治疗过程2年基本完全康复

TIPS

1、双氧水不要用于急症手术冲洗伤口,也不要用于换药2、应用骨水泥时做骨搬移有阻挡作用3、骨搬移过程中,持续的外伤刺激修复中血管扩张增生,原来闭塞的血管再通或周围的动脉扩张。4、单边外固定架加半环架搬移基  本不影响关节活动5、皮肤牵张法的基本使用方法是 皮内置入细克氏针后钢丝缝合。欢迎指正,谢谢大家。

友情链接: