首页/骨科精读/腰椎间盘病变的MRI诊断,你都掌握了吗?/
腰椎间盘病变的MRI诊断,你都掌握了吗?
2022-06-01 15:21:005433浏览
腰椎间盘病变是临床最常见的疾病之一,中老年人群发生率为35 %左右。利用 MRI 诊断在临床上非常常见,今天我们就来学习一下腰椎间盘病变的MRI诊断!


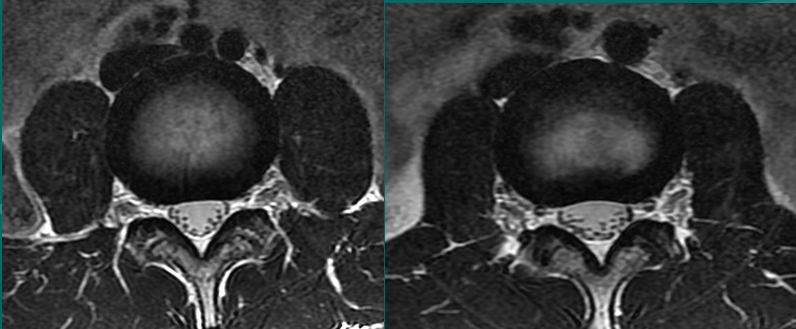
腰椎正常MRI解剖





正常腰椎间盘表现


正常腰椎间盘后缘不超过椎体骨性终板的后缘,且中部略有凹陷呈肾形。




一个健康的45岁男性的L4椎间盘的轴状面观。 


髓核区及周围的纤椎环区。

靠近L5神经根的椎间盘后缘的凹度,这是正常健康椎间盘的象征。


L4发出神经根更靠侧方一点。这就不难理解为什么如果有大的椎间盘突出或椎管狭窄,发出神经根L4及过往神经根L5将同时受压。


在此图中,可清楚地看到悬挂在硬膜囊内的细小的神经根(L5神经根及S1神经根),它们以不完全有绪地状态排列着。注意,神经孔是很开阔的(浅黄色区),表明没有因邻近椎间关节问题形成在的椎管狭窄。T2加权象对于察看退化性椎间盘病是最好的,因为T2像将富含水份的结构表现为亮白色, 含水少的区域表现为黑色。 



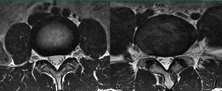
位于椎体之间的椎间盘应是白色的(含水多)。注意黑颜色(脱水的)的L5椎间盘(L5与骶骨之间的椎间盘),这代表了中度到重度的退化性椎间盘病。


后纵韧带(PLL小蓝箭头)在图像中表现为沿着每个椎体及椎间盘后缘垂直向下的黑线。有意思的是,尽管此病人有一个9mm的椎间盘突出(HNP),骨质有一定的翘起,在椎间盘平面以上可见髓核物,但后纵韧带仍然包容着突出的髓核物而没有游离出。这种情况在学术上被称作一个大的包容性椎间盘突出。


 硬膜囊(红星)表现为“超白色”结构,填充在椎体后方的中央椎管内。此囊袋内有可自由浮动的由运动神经纤椎及感觉神经纤维共同组成的脊神经根(马尾)。


黄韧带(绿星)位于每个椎骨之间,增强脊柱的稳定性。此结构可变大或增厚,助长年长者易患的中央型椎管狭窄的形成。



腰椎间盘膨出

1、轻度膨出时表现为椎间盘后缘正常肾形凹陷消失,圆隆饱满。



2、重度时弥漫膨出的间盘边缘明显向四周均匀一致增宽,超出上下椎体边缘,但椎间盘仍然对称,没有局部突出,外形保持椭圆形。严重时可造成硬膜囊受压狭窄 。



腰椎间盘突出


腰椎间盘突出分型:以椎间盘疝出物突出的方向分为四型,即中央型、外侧型、远外侧型和侧前型,前两种为椎管内型,后两种为椎管外型。




腰椎间盘突出


中央型椎间盘疝出物位于椎管中部主要对硬膜外脂肪间隙和硬膜囊形成压迫;



外侧型椎间盘疝出物位于椎管内一侧,未超过椎间孔内口,主要对硬膜外脂肪间隙、硬膜囊和神经根形成压迫;



许莫氏结节 

是指髓核经上、下软骨板的裂隙突入椎体松质骨内。



腰椎间盘脱出



腰椎间盘脱出-髓核游离



椎管狭窄  (先天性、继发性)

定义:椎管(或侧隐窝)变小,引起鞘膜囊及其内容物受压称为椎管狭窄。可合并椎间孔狭窄。

分类

  • 先天性椎管狭窄
  • 继发性椎管狭窄:
  •   1)黄韧带肥厚
  •   2)后纵韧带钙化及骨化
  •   3)椎小关节退行性变
  • 侧隐窝狭窄
  • 椎间孔狭窄


MRI表现

颈腰段椎管前后径:相对狭窄- 12~15mm绝对狭窄-小于10mm。



鉴别诊断

一、椎体转移瘤疼痛加剧,夜间加重,患者体质衰弱,可查到原发肿瘤。MRI可见多个椎体溶骨性破坏,但椎间盘完整。

二、腰椎结核       早期局限性腰椎结核可刺激邻近的神经根,造成腰痛及下肢放射痛。腰椎结核有结核病的全身反应,腰痛较剧,MRI上可见椎体或椎弓根的破坏,并可见椎旁脓肿。对X线片不能显示的椎体早期局限性结核病灶有独特作用。

三、 神经源性肿瘤       为慢性进行性疾患,无间歇好转或自愈现象,常有大小便失禁。脑脊液蛋白增高,MRI可敏感的发现肿块及其与脊髓或椎体的关系。

友情链接: