首页/骨科精读/手术技巧:髌骨下极骨折的固定、缝合术式!/
手术技巧:髌骨下极骨折的固定、缝合术式!
2022-06-22 11:14:284082浏览
手术的主要目的是恢复关节面和伸膝装置。有几种术式,包括髌骨部分切除术、髌韧带缝合固定;保护钢缆、异形钢板、锁定钢板等固定方式;另外,对髌腱的加强缝合也是髌骨下极骨折,特别是粉碎性及撕脱性下极骨折很重要的环节。

张力带固定是髌骨骨折最常用的方法。但髌骨下极骨折往往在关节外,骨块较小、甚至粉碎,用张力带固定比较困难。

手术的主要目的是恢复关节面和伸膝装置。有几种术式,包括髌骨部分切除术、髌韧带缝合固定;保护钢缆、异形钢板、锁定钢板等固定方式;另外,对髌腱的加强缝合也是髌骨下极骨折,特别是粉碎性及撕脱性下极骨折很重要的环节。本文就髌骨下极的固定及髌腱缝合术式进行简要综述。

01

髌骨部分切除+髌韧带缝线固定术

适合髌骨下极严重粉碎骨折及关节面广泛破坏者。


注意:髌韧带止点重建时应接近残余髌骨的关节面缝合。


02

螺钉固定+保护钢丝/钛缆

适合于髌骨下极横形及粉碎骨折。

对于髌韧带缝合重建者,也可进行钢丝、钛缆保护。

但这种古老的保护钢缆容易形成钢丝/钛缆对胫骨结节骨道的切割。

螺钉固定 +改良的保护钢丝/钛缆

但呈锐角的保护钢丝/钛缆在螺钉头处容易磨断,钝角转弯设计有利于减少术后断丝/缆。

03

篮状钢板+编织缝合

最早在2006年,Matejcic等用篮状钢板进行髌骨粉碎骨折的固定,获得良好效果。

篮状钢板(basket plate),1988年由Branimir Smiljanic 医生设计,主要用于髌骨下极的粉碎骨折。

篮状钢板有利于收集粉碎骨折块、特别是下极粉碎骨折。该钢板有四个钉孔,半螺纹松钉打入对侧骨块以获得骨碎块间的加压。


术中所见

X光所见

04

网状钢板


主要适用于包括下极在内的髌骨粉碎骨折的固定,对骨质疏松及髌骨骨不连者也较适用。

髌骨下极粉碎骨折的网状钢板固定及髌韧带加强缝合术。


尚需与其它固定方式作RCTs的进一步研究对比。

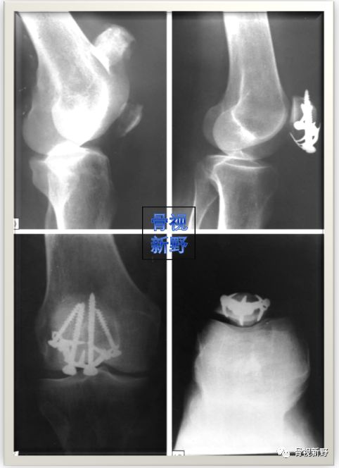
05

锁定钢板


近年来,生物力学研究证明,锁定钢板(或结合线缆)对一些特定的髌骨粉碎骨折具有一定的固定可行性。

髌骨锁定解剖板


ORIF 


Case 1 星形锁定板



Case 2 箭头形锁定板


06

垂直钢板间断缝合+Krackow锁定式缝合


垂直钢丝间断缝合


用2-3根直径 1.2 mm的钢丝从近端骨折块的断端后表面边缘直接向髌骨前上缘穿出(或克氏针预钻孔),钢丝由内向外的方式进行穿孔;远端骨折块用16 号针从髌骨远端骨折块下端边缘穿髌韧带穿入,再将钢丝从针的开口处穿入。以复位钳钳夹及垂直钢丝的牵拉、收紧进行复位。


Krackow 锁定式缝合


间断垂直钢丝复位之后,对髌腱两侧进行连续锁边缝合(Krackow 缝合)。


可用两根抗张线(如爱惜康-5号)编织髌腱。再用2.5mm钻(或克氏针)在髌骨上做3条垂直的骨道,中间的Krackow编织环组成的两个线穿过中间骨道,剩下的内、外侧边线则穿过相应的内侧和外侧骨道。再用针将中间两个线沿髌骨上极穿过股四头肌肌腱,到内侧和外侧相应的打结位置,以减少软组织嵌入线结内。最后,在膝关节屈曲30°时测试张力和打结。



带线锚钉的Krackow缝合




改良的Krackow缝合



Krackow缝合+钛缆加强环



友情链接: