首页/骨科精读/膝关节半月板及韧带的MRI诊断,一定要收藏起来!/
膝关节半月板及韧带的MRI诊断,一定要收藏起来!
2022-06-22 11:21:296954浏览
自从MRI用于膝关节半月板损伤诊断以来,膝关节病变的诊断有了很大的进展,具有高的软组织分辨率、多方位成像等特点,准确率可超过90%,目前已经成为膝关节病变的常规的甚至是基本的诊断方法。


膝关节的解剖

膝关节:结构最复杂、损伤最多的关节组成:内、外侧胫股关节和髌股关节包括:骨、半月板、韧带、肌腱、软骨、滑膜等结构


正常膝关节MR解剖

  • 骨髓信号基本同脂肪组织 
  • 正常肌腱、半月板和韧带:通常呈低信号
  • 关节软骨在各种序列中的信号各不相同
  • 正常滑膜因菲薄的缘故常不显示
  • 正常膝关节的关节液很少


膝关节MR解剖(矢状位)

  • 可整段显像髌韧带、前后交叉、外侧附韧带结构
  • 是诊断半月板撕裂或变性最为关键的断面
  • 显示关节边缘层次的结构不理想,如髌支持带和内外侧副韧带等,因容积效应作用而显示不清


膝关节MR解剖(冠状位)

  • 多用于显示内外侧附韧带、腘肌和拱状韧带有无信号和结构改变
  • 能显示交叉韧带,但非韧带截面像,也非纵切 面像,易造成判断的错误
  • 侧重关节胫股软骨的两边和半月板的体部
  • 矢状面则侧重的股胫软骨中部和半月板前后角
  • 两方位相互补充得以取长补短


膝关节MR解剖(横断面)

是三维影像首选的方位,也是为了便于MRI与CT比较可准确地展现髌骨内外侧关节面


半月板解剖

由胫骨和股骨之间纤维软骨构成分为前角、体部、后角三个部分半月板内纤维呈有规律的环形和横向排列环形纤维:占大部分,维持着半月板的形状横向纤维:连接半月板的外缘和内缘,形成半月板的抗张强度(韧性)


正常半月板的MR表现

正常半月板在各个序列中均呈低信号矢状面:半月板前、后角分开2个尖端相对的三角形冠状面:一尖端指向髁间窝的三角形低信号影,宽度一般不超过15mm横断面:5mm层厚对于半月板病变显示的作用不大


半月板病变

包括撕裂、变性、盘状和囊肿 MRI是显示半月板结构最为理想的检查方法T2WI像的半月板和关节液信号对比强烈,利于观察半月板表面质子密度像对板内信号变化十分敏感联合冠状面和矢状面成像基本可满足诊断


半月板损伤

  • 内侧半月板的“C”形结构大,与内侧副韧带的深层(囊韧带)粘连,更容易受到损伤 
  • 外侧半月板活动度较内侧大。
  • MRI分级:根据信号的形态及其与半月板关节面间的相对关系来确定。


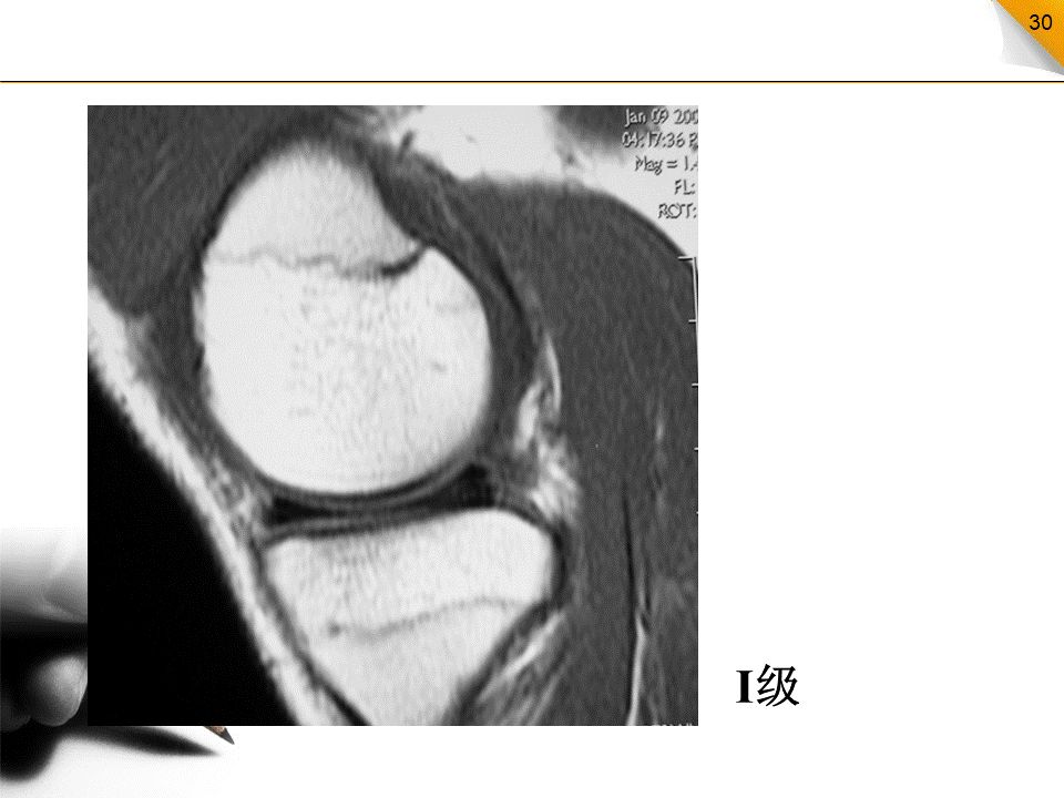
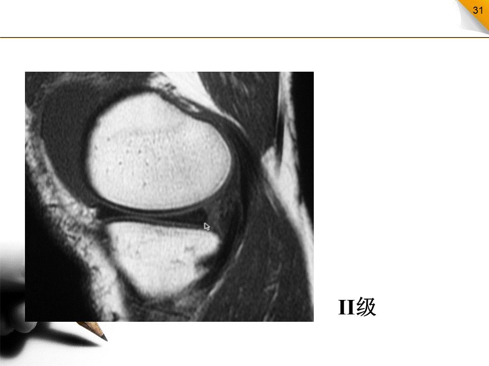
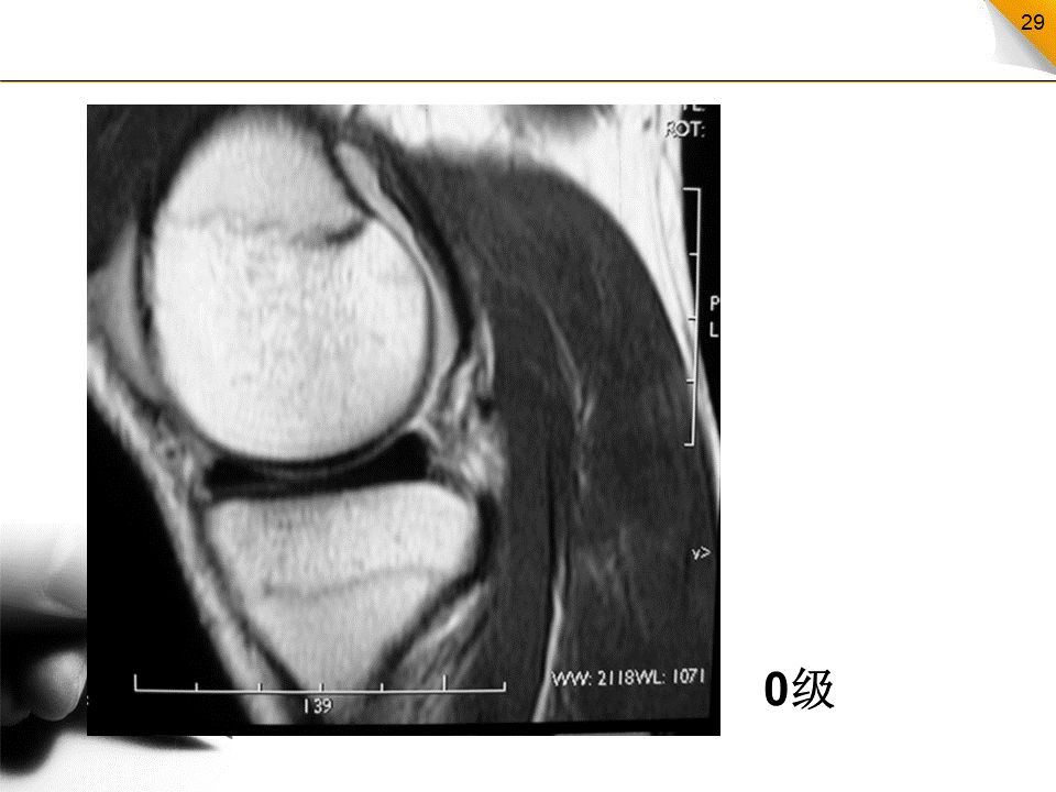
半月板损伤的MR分级

0级:正常半月板,均匀的低信号,形态规则I级:不与半月板关节面相接触的灶性信号增高影II级:半月板内线性信号增高,可延伸至半月板的关节囊缘,但未达到半月板的关节面缘,是I级信号改变的继续,范围更广III级:半月板内的高信号达到半月板的关节面,代表半月板的撕裂IV级:半月板破碎成多块并向关节腔内移位


半月板撕裂的分类

水平撕裂:比较少见,高信号的方向与胫骨平台平行,内缘达半月板的游离缘垂直撕裂:其高信号的方向与胫骨平台垂直斜行撕裂:最常见类型,高信号的方向与胫骨平台成一定的角度纵行撕裂:高信号的方向与半月板的长轴方向平行放射状撕裂:高信号的方向与半月板的长轴方向垂直,好发于外侧半月板的内1/3部

正确分类对半月板手术方案的制定很重要

  • 水平撕裂容易在半月板的囊缘形成半月板囊肿
  • 纵向的垂直撕裂易演化成桶柄状撕裂
  • 斜线撕裂具有活瓣作用,易发生翻转镶嵌

十一

桶柄样撕裂

为纵行撕裂的一个特殊类型。半月板纵行破裂后,其内侧片段发生移位类似于桶的柄,而未移位的外侧片段为桶。多见于内侧半月板,多见于严重外伤所致的年轻患者中。

十二

桶柄样撕裂的MR表现

半月板的宽度减小,同时可见半月板内移矢状面显示残余的前角或后角变小或截断,信号有或无增高矢状面上出现“双前交叉韧带征”或“双后交叉韧带征”。冠状面在髁间窝内有低信号的半月板组织位于交叉韧带旁。

诊断半月板撕裂的注意点诊断以矢状面为主,但需结合冠状面横断面斜形撕裂是最常见类型,但半月板体部的斜行撕裂在冠状面显示较矢状面为好。水平撕裂较少见,有时作为半月板囊肿的伴发症出现。

MRI扫描序列的比较T1WI:显示半月板撕裂敏感性高,但特异性差T2WI:显示半月板撕裂敏感性较差质子加权相:诊断半月板病变敏感性与特异性均较高

十三

半月板假性撕裂

MRI假阳性:小于5%的半月板内撕裂,在关节镜的常规检查中易被漏诊,需用探子探查时才能发现MRI假阴性:部分病例是在关节镜中将半月板的毛刷状改变或纤维化解释为半月板撕裂横韧带:连续层面观察,圆形低信号影自外侧半月板前角一直延伸至内侧半月板的前角板股韧带:连续矢状面观察,假撕裂线逐渐增宽,直至消失半月板松弛:半月板皱褶或波浪样改变,但半月板内无异常信号瘢痕:外侧半月板的游离缘多见,多有手术史或严重的膝关节炎史。半月板本身无异常。 

十四

盘状半月板

属发育变异;外侧(占95%)远比内侧多见临床表现为膝部疼痛、弹响和绞锁盘状半月板易发生半月板撕裂和囊肿并可引起软骨磨损或剥脱性骨软骨炎矢状面:连续三个层面均呈双凹镜样表现冠状面:盘状半月板中部宽度显著增宽,与同侧胫骨关节面宽度的比率(板/胫比率)超过50%。板/胫比率:51%-75%--小盘状半月板;大于75%--大盘状半月板

十五

半月板囊肿

半月板内或囊缘囊性病变多伴有半月板水平撕裂与半月板之间偶可见线样连接,囊肿尖端指向半月板邻近的半月板多呈水平撕裂,呈T1WI低信号、T2WI高信号

十六

膝关节韧带

包括前交叉韧带、后交叉韧带、内侧副韧带、外侧副韧带、囊韧带、板股韧带、髌支持带、横韧带等

最易损伤的是前交叉韧带和内侧副韧带

十七

前交叉韧带撕裂

膝关节韧带中最易损伤断裂病因:当胫骨前移和股骨外旋时最易发生临床表现:膝关节肿胀、疼痛和功能障碍MRI:韧带信号和形态改变-直接征象相关结构的伴发改变-间接征象

十八

前交叉韧带撕裂MR表现

部分撕裂:局部信号增高、边缘毛糙松弛扭曲完全撕裂:连续性中断,断端毛糙呈拖把状急性撕裂:伴有关节腔积液和髌下脂肪垫水肿

前交叉韧带完全撕裂直接征象:连续性中断、韧带增粗、信号增高间接征象:PCL曲度异常、胫骨前移、股骨髁和胫骨平台的骨挫伤、半月板及侧副韧带撕裂等。

十九

后交叉韧带撕裂

后交叉韧带撕裂约占所有膝关节韧带损伤的5%至20%直接向后作用于膝关节的损伤时最常发生易伴发多韧带损伤,继发膝关节不稳定MRI显示韧带信号和形态改变最敏感

二十

后交叉韧带撕裂MR表现

后交叉韧带撕裂MR表现韧带连续性部分或完全中断部分撕裂:局部信号增高、韧带边缘毛糙、松弛完全撕裂:韧带连续性中断,断端毛糙呈拖把状可伴随半月板的变性或撕裂股骨髁和胫骨平台的骨挫伤或骨折较常见

二十一

内侧副韧带撕裂

膝关节屈曲状态下,外展力的作用通常位于股骨髁的附着处,其次位于中段,发生在胫骨附着处则很少见可伴囊韧带、内侧半月板和ACL联合撕裂MRI:冠状面显像佳,韧带信号和形态改变

友情链接: