首页/创伤/罕见的Maisonneuve骨折/
罕见的Maisonneuve骨折
2022-08-26 14:07:461519浏览
Maisonneuve骨折由法国医师 Maisonneuve在1840年首次报道,是一种特殊类型的踝关节损伤

Maisonneuve骨折由法国医师 Maisonneuve在1840年首次报道,是一种特殊类型的踝关节损伤,大约占踝关节的7%,主要包括内踝骨折或三角韧带撕裂及腓骨近端 1/3骨折,常合并下胫腓分离,多因旋转暴力所致,是一种旋前外旋型损伤(1)。


1

漏诊


文献报道 Maisonneuve 骨折初次就诊时的漏诊率为 14.28%~44.4%。漏诊的原因主要是关注踝关节疼痛,忽视了小腿近端的疼痛,影像学检查的时候,不会刻意去关注腓骨近端的影像。当踝关节X线片未见腓骨骨折,但显示内侧结构损伤、下胫腓联合分离或合并后踝骨折,应进行腓骨近端的体格检查及影像学检查(1,2,3)。



2

Maisonneuve骨折的处理


1.腓骨骨折,大部分文献指出对于腓骨近端1/3的骨折可以保守治疗,除非有腓总神经受伤。但在手术过程中要关注腓骨长度,恢复腓骨长度(10)。

2.三角韧带:俞光荣提出三角韧带修复的手术指征为:①踝穴位X线片示内侧间隙较对侧≥5mm,距骨向外侧脱位或半脱位:②踝关节骨折复位后外翻应力试验发现踝关节内侧不稳定;③关节复位后固定后,踝关节内侧间隙仍增宽1mm以上者,可能为断裂的三角韧带或其他组织嵌入(7)。三角韧带的修复以及何种方式修补都存在争议,早期文献指出,外踝的完整修复足以稳定踝关节,三角韧带可以不用修复(8)。但近来文献指出,三角韧带的修复是必要的,有助于恢复内侧稳定性,达到早期功能锻炼的目的。

3.下胫腓联合分离:在Maisonneuve骨折中,对于下胫腓分离,下胫腓螺钉固定是最常用的方法。对于取出下胫腓联合螺钉时间存在争议,取出时间过早会影响踝关节的稳定性,但何锦泉等人指出最好在术后12周取出,以免完全负重发生断裂(4,5)。

4.踝关节脱位:尹博等人指出踝关节的后脱位主要是因为踝关节三角韧带的完全断裂及踝关节前侧关节囊的破裂。即使没有明显骨折的Maisonneuve骨折,条件允许下,都应通过外科手术治疗,因为无骨折的情况下踝关节的韧带损伤更为严重,只有恢复了踝关节的稳定结构,才能避免远期并发症的发生(6)。

3

World Journal of Clinical Cases:case report(10)

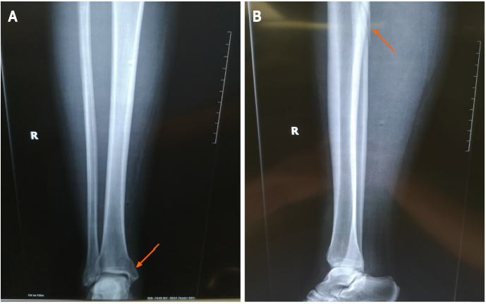
1位31岁女性患者在5天前步行时不小心扭伤了右脚踝。小腿的全长X线片显示腓骨近端骨折,下胫腓关节分离,内踝骨折累及后踝。磁共振成像显示胫腓前下韧带和距腓前韧带断裂。我们诊断出一种罕见的Maisonneuve骨折类型,合并腓骨近端骨折、下胫腓关节分离、内踝骨折以及胫腓前下韧带和距腓前韧带断裂。患者接受切开复位内固定术,术后6个月随访,临床效果良好。此患者同时具有旋前外旋踝关节骨折和旋后内收踝关节骨折的特点。本例腓骨骨折呈长斜骨折,骨折线靠近腓骨。还有下胫腓分离。这些特征与典型的Maisonneuve骨折相似,后者是一种旋前外旋踝关节骨折。而内踝典型的旋前外旋踝关节骨折通常表现为三角韧带的斜位断裂,而不表现为距腓前韧带或跟腓断裂(11)。本例踝内侧骨折为垂直骨折,距腓骨前韧带断裂,与旋后内收踝关节骨折一致。

图1;A:术前踝关节和小腿正位X线片(箭头);B:术前踝关节和小腿侧位X线片(箭头)。小腿全长X线片显示腓骨近端骨折(箭头)和内踝骨折(箭头)

图2:A:踝关节和小腿的CT正面图(箭头);B:踝关节CT扫描(箭头);C:踝关节的矢状位MRI(箭头);D:踝关节的横断面MRI(箭头);A和B:CT显示腓骨近端骨折、下胫腓关节分离、内踝骨折累及后踝(箭头);C和D:MRI显示胫腓前下韧带和距腓前韧带断裂(箭头)。

图3:A:术后踝关节正位X线片;B:术后踝关节侧位X线片。

图4:术后3个月的踝关节和小腿X线片。A、B:拆除内固定前踝关节及小腿正位及侧位X线片;C:拆除内固定后踝关节及小腿正位X线片

友情链接: