首页/创伤/看神奇的打结技术,在髌骨骨折复位中的妙用!/
看神奇的打结技术,在髌骨骨折复位中的妙用!
2022-09-05 11:11:341636浏览
髌骨粉碎性骨折如何将碎骨块拼接并维持复位,仍是一个难题。关于缝线辅助复位固定的方法已经在肱骨近端骨折维持骨块复位中应用广泛,因此,有学者将Nice结应用于髌骨粉碎骨块的复位与维持,取得了良好效果。

髌骨粉碎性骨折如何将碎骨块拼接并维持复位,仍是一个难题。既往众多研究关注于如何固定骨折块,包括克氏针张力带、空心钉、钢板、髌骨爪等,但关于如何将粉碎骨块进行复位的研究较少。

通常,复位髌骨骨折需切开骨膜,进行拼接,但容易导致骨块旋转、游离,增加拼接难度。关于缝线辅助复位固定的方法已经在肱骨近端骨折维持骨块复位中应用广泛,因此,有学者将Nice结应用于髌骨粉碎骨块的复位与维持,取得了良好效果,研究结果发表在Injury上。

目的(目的)

评估应用Nice结辅助复位技术治疗移位粉碎性髌骨骨折的术中和术后早期临床疗效。[目的:使用Nice结作为移位粉碎髌骨骨折的辅助复位技术来评估术中和术后早期临床结局

方法(方法)

本研究回顾了39例单侧闭合移位粉碎性髌骨骨折患者接受切开复位内固定术(ORIF),其中采用Nice结(NK组,24例)或传统复位(TR组,23例)技术。记录术中手术时间和围手术期血红蛋白。术后临床结果采用VAS评分、膝关节活动范围和Böstman量表进行测量,影像学结果用于评估骨折愈合情况。还评估了包括感染、骨不愈合、植入物松动、骨块移位和内植物疼痛在内的并发症。

[方法:回顾性地评价39例单侧闭合移位性粉碎髌骨骨折患者采用尼斯结(NK组,24例)或传统复位术(TR组,23例患者)进行开放复位和内固定(ORIF)。记录术中手术时间和围手术期血红蛋白。使用视觉镇痛评分、膝关节活动度和Böstman量表测量术后临床结局,并使用影像学结局评估骨折愈合情况。还评估了并发症,包括感染,骨不愈合,植入物松动,碎片移位和疼痛的硬件。]

附:常规髌骨骨折复位需切开骨折表面骨膜,将骨折线完全暴露,但缺乏骨膜附着的骨块很容易游离,导致无法辨认原有位置。在使用Nice时,只需暴露主要骨折块,然后在髌骨两侧韧带中开口,将所有骨块包裹在一个"口袋"中,然后从两侧开口中置入缝线打结。下图为Nice结示意图。

图1:Nice结辅助髌骨骨折复位示意图。

附:Nice结的打法在付中国教授《骨科缝线与打结》一书中有详细记录,见下图示:

NIce结打结第一步

NIce结打结第二步

NIce结打结第三步

Resuits(结果)

住院记录显示NK组的手术时间(32.6分钟)明显短于TR组(63.9分钟)。与TR组(189.1毫升)相比,NK组(64.7毫升)术中失血量也显著减少。NK组和TR组的患者分别平均随访12.9个月和12.5个月。NK组的愈合率为100% (24/24),TR组为91.3% (21/23)。在TR组中,有两例骨折不愈合,包括一个感染引起的骨折不愈合。两组患者在最后一次随访时的VAS评分、膝关节活动范围或Böstman评分均无差异。

[结果:住院记录显示NK组的手术持续时间(32.6分钟)明显短于TR组(63.9分钟)。与TR组(189.1毫升)相比,NK组(64.7ml)的术中失血量也显着降低。对NK组和TR组患者进行了平均12.9个月和12.5个月的随访。NK组的工会率为100%(24/24),TR组的工会率为91.3%(21/23)。在TR组中,有两个非愈合,包括一个感染的非结合。两组之间最后随访时的视觉镇痛评分,膝关节活动范围或Böstman量表没有差异。]

图2:尼斯结术中手术图。A.髌骨粉碎骨折;B.尼斯复位后;C.透视见复位良好;D.克氏针带张力固定。

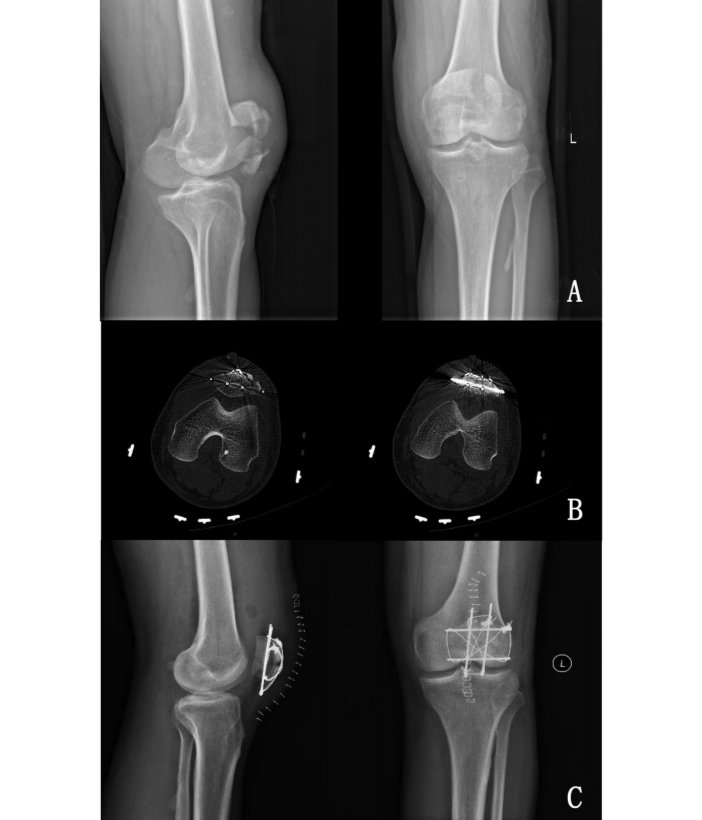
图3:典型病例2

结论(结论)

滑动的、自稳定的Nice结与手术时间减少、术中失血减少以及治疗移位髌骨骨折的满意术后结果相关。未来的研究需要确保这些发现在其他机构的患者群体中的普遍性。

[结论:滑动、自稳定尼斯结与移位性髌骨骨折治疗手术时间缩短、术中失血量减少、术后结局理想相关。需要未来的研究来确保这些发现对其他机构的其他患者群体的普遍性。]

友情链接: