首页/儿童口腔/干货收藏:乳牙的根管治疗的避坑攻略!/
干货收藏:乳牙的根管治疗的避坑攻略!
2022-09-06 10:52:024281浏览
乳牙根管治疗即是通过清除根管内感染物质,根管成型,根管消毒以及利用可吸收材料进行根管充填来消除疼痛,控制炎症,促进病变愈合,使乳牙能正常替换并引导恒牙正常萌出的治疗方法。

一、乳牙的重要性

1、有利于儿童的生长发育。

2、有利于恒牙的萌出及恒牙列的形成。

3、有利于发音及保护心理。

4、对全身的影响。

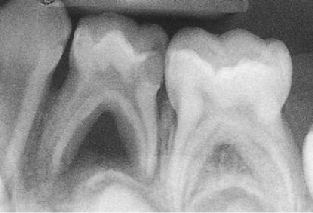
二、解剖生理特点

研究乳牙根管形态的方法有组织切片、镍钛锉探查、X线片、透明牙技术等,但均存在不足之处:组织切片样本量少,不够直观,来源困难;镍钛锉探查及X线平片具有不确定性,容易遗漏根管。

通过CBCT技术对乳牙根管系统进行研究,发现乳牙根管的基本规律如下:

  • 乳前牙一般为单根管。
  • 上颌乳磨牙大部分有3个牙根,远颊根和腭根常融合;近颊根可能有1~2个根管,远颊根和腭根都只有1个根管。
  • 下颌乳磨牙的近中根常见2个根管,远中根常见1个根管,也有2个根管;近中根最常见Vertucci’s types Ⅳ类结构根管,远中根最常见Ⅰ类结构根管;少数存在5个根管。

三、适应症与禁忌症

(一)适应症

1、自发疼痛史;

2、不可逆性牙髓炎、牙髓坏死、根尖周炎;

3、行冠髓切断后仍然流血不止;

4)生理性或病理性牙根外吸收不超过根尖1/3,至少有2/3牙根。

若乳牙根尖周炎破坏范围较大波及恒牙胚,广泛性牙根内吸收或者外吸收超过1/3时,应根据情况拔除乳牙,进行后续相关治疗,以利于继承恒牙正常萌出。

(二)禁忌症

1、大面积破坏的儿牙;

2、X线检查发现乳牙根内吸收;

3、髓室底穿;

4、牙根吸收超过根三分之一;

5、支持骨损失过多,伴有牙周附着丧失;

6、有含牙或滤泡囊肿。

四、治疗步骤

1、常规制备洞形

去除龋坏组织制备洞形,开髓,揭去髓室顶。

2、根管预备

去除髓室顶和根管内的坏死的牙髓,使用根管器械扩挫根管。

活髓:局麻下拔髓或失活后拔髓;

死髓:去除髓室和根管的坏死牙髓。

3、根管消毒

3%过氧化氢液、5.25%次氯酸钠液、生理盐水冲洗根管,吸干。将CP小棉球放置于髓室内,或将含药的棉捻置于根管内,以丁香油氧化锌糊剂封闭窝洞消毒根管。

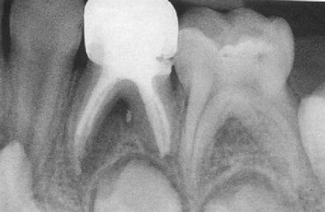
4、根管充填

3~7日后若无症状,去除原封物,冲洗,吸干,在有效的隔湿条件下,将根管充填材料反复旋转导入根管或加压注入根管,粘固粉垫底,充填。 

五、注意事项

方法和步骤基本同恒牙,但治疗时应注意:

1、术前拍X片,了解尖周病变和牙根吸收情况。牙根吸收已达1/3以上者,难获良好的疗效。

2、预备根管时应测根管长度以防器械超出根尖孔,以免将感染物质推出根尖孔或损伤恒牙胚。

3、不送牙胶尖。

4、根充剂仅可采用可吸收的糊剂充填,不影响恒牙交替。

5、术后应拍X片观察根充情况,分类:

①适充填:恰填或距根<1mm;

②欠充填:糊剂未充满根管,距根尖孔>1mm;

③超充填:糊剂超出根尖孔。

六、常用乳牙根管填充材料

(一)良好的乳牙根充剂应具备

1、杀菌性强;

2、可以随乳牙根生理性吸收而吸收;

3、凝固后不发生体积变化; 

4、能阻射X线;

5、超填后对恒牙胚无害;

6、容易充入或取出等优点。

(二)常用乳牙根充糊剂 

1、碘仿糊剂(丁氧膏+黄碘) 

组成:丁香油、氧化锌、碘仿   

缺点:使牙变色,个别发生吸收困难   

 2、vitapex    

组成:氢氧化钙+碘仿+其他    

缺点:价钱昂贵

3、FR糊剂    

成分:粉:氢氧化钙、氧化锌、硫酸钡等。液:愈创木酚、丙二醇、无水酒精。    

缺点:糊剂较粘稠,导入根管后不久即硬化,要求操作要熟练,也会使牙变色。

4、 黄连氧化锌糊剂     

组成:黄连提取液+氧化锌。

七、疗效判定标准

(一)成功标准

1、术后及复查时无自觉症状;   

2、临床无阳性体征,患牙无异常松动,牙根正常无叩痛。    

3、X线显示病变消失或原有阴影缩小,超出糊剂已完全吸收,恒牙胚无异常发育。

(二)失败标准

1、患牙根充后及复查时临床出现不适主诉或阳性体征之一者,如自发痛,咬合痛,牙龈红肿,压痛和瘘管形成,牙齿异常松动,叩痛。       

2、X线显示:牙根病理性吸收或病变扩大等。

友情链接: